Morbus Whipple
| Klassifikation nach ICD-10 | |
|---|---|
| K90.8 | Sonstige intestinale Malabsorption – Whipple-Krankheit |
| M14.8* | Arthropathien bei sonstigen näher bezeichneten, anderenorts klassifizierten Krankheiten – Arthritis bei Whipple-Krankheit |
| ICD-10 online (WHO-Version 2019) | |
Der Morbus Whipple (Whipple-Krankheit, Whipplesche Krankheit, intestinale Lipodystrophie; englisch Whipple’s disease) ist eine seltene bakterielle Infektion des Dünndarms, ausgelöst durch Tropheryma whipplei. Die klassischen und unspezifischen Symptome sind Gelenkschmerzen (Arthralgien), Bauchschmerzen und Durchfall.
Geschichte
Der Morbus Whipple wurde 1907 erstmals von George Hoyt Whipple (1878–1976) beschrieben,[1] einem Pathologen aus Rochester im Bundesstaat New York. Er beschrieb auch bereits stäbchenförmige Strukturen in Lymphknoten als Ursache, ohne sie identifizieren zu können. Diese wurden erst 1961 als Bazillen erkannt und 1991/1992 als Tropheryma whipplei aus der Gruppe der Aktinomyzeten identifiziert.
Epidemiologie
Während das Bakterium Tropheryma whipplei ubiquitär in der Natur verbreitet ist, und es in Studien in bis zu 20 % der Stuhlproben von gesunden Personen nachgewiesen werden konnte, ist eine Infektion sehr selten. Die Inzidenz wird mit etwa einem Fall pro eine Million Personen pro Jahr angegeben.[2]
Pathogenese (Krankheitsentstehung)
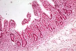
Wahrscheinlich über die orale Aufnahme gelangen die Bakterien (Tropheryma whipplei) in den Magen und oberen Dünndarmabschnitt. Dort werden sie von Makrophagen phagozytiert, bleiben in der Schleimhaut (Mukosa) liegen und verursachen einen Lymphstau. Dadurch wird die Nährstoffaufnahme durch die Darmwand gehemmt und es kommt zum Malabsorptionssyndrom. Verquollene Darmzotten, atrophisches (verdünntes) Epithel und weite Lymphgefäße bestimmen das histologische Bild. In der Mukosa liegen Speicherzellen mit Lipidtropfen und anfärbbaren Bakterien im Zytoplasma. Die Speicherzellen (Makrophagen) erscheinen in der PAS-Färbung leuchtend rot.
Klinische Erscheinungen
Die Beschwerden bei Befall des Verdauungstrakts zeigen sich in Fettstühlen oder auch Durchfällen, zu denen Bauchschmerzen hinzutreten. Die Erkrankung führt zu einem Malabsorptionssyndrom mit starkem Gewichtsverlust.[3]
Bei vielen Patienten zeigen sich auch Beschwerden durch Manifestationen der Erkrankung an anderen Organen. So treten bei rund 60 % bis 95 % Gelenkbeteiligungen im Sinne einer Arthritis, einer Sakroiliitis oder einer Spondylarthropathie auf.[4] Die Gelenkbeschwerden gehen oft den Beschwerden am Verdauungstrakt voraus. Hier kann eine Latenz von mehreren Jahren bestehen. Darüber hinaus können auch Zeichen einer systemischen Entzündung wie Fieber oder eine Polyserositis auftreten. Am zentralen Nervensystem kann sich die Whipple-Erkrankung durch Störungen der Augenbeweglichkeit, Myoklonien oder einer Ataxie äußern. Bei Befall des Herzens kann das Beschwerdebild auch einer Endokarditis gleichen oder sich durch Herzklappenfehler äußern. Auffallend ist bei manchen Patienten auch eine bräunliche Verfärbung der Haut.[3]
Diagnostik

Der Goldstandard zur Diagnose der Whipple-Erkrankung stellt die Kombination eines für die Erkrankung typischen Biopsieergebnisses und des Nachweises des Erbmaterials des Erregers mittels PCR dar. In der feingeweblichen Untersuchung zeigen sich Makrophagen mit PAS-positiven Einschlüssen. Zum Ausschluss einer mykobakteriellen Infektion sollte am Präparat auch eine Ziehl-Neelsen-Färbung durchgeführt werden. Die PCR sollte im positiven Fall durch eine Genomsequenzierung oder erneute PCR-Untersuchung bestätigt werden. Bei fehlenden Manifestationen im Magendarmtrakt sowie fortbestehendem Verdacht auf eine Whipple-Erkrankung in Organsystemen, die der typischen feingeweblichen Beurteilung nicht zugänglich sind, kann die PCR alleinig wegweisend für die Diagnose aus z. B. Punktionsflüssigkeit der Pleura oder Rückenmarksflüssigkeit sein. Vor Einleitung einer antibiotischen Behandlung sollte eine Liquorpunktion erfolgen, um eine asymptomatische ZNS-Beteiligung abzuklären.[5]
PAS-Färbungen aus Biopsien aus dem Dickdarm oder dem zentralen Nervensystem sind nicht wegweisend. Ebenso PCR-Nachweise aus dem Stuhl oder dem Speichel. Sie sind für die Diagnose der Whipple-Krankheit nicht zielführend.[5]
Therapie
Klassisches Therapieprinzip bei der Erkrankung ist eine zweiwöchige intravenöse Antibiotikagabe gefolgt von einer langen Erhaltungstherapie, welche in Tablettenform eingenommen wird. Die intravenöse Anbehandlung sollte mit Ceftriaxon erfolgen. Alternativ können auch Meropenem oder Penicillin G verabreicht werden.[6] Dieser Behandlung sollte die einjährige Einnahme von Cotrimoxazol folgen. Neben dem empfohlenen Therapieschema gibt es Studien, welche auch Doxycyclin oder Hydroxychloroquin anwenden.[5]
Zusätzlich sollte eine angemessene Substitution von Elektrolyten, Vitaminen und Spurenelementen erfolgen. Der Therapieerfolg kann durch Kontrollendoskopien überwacht werden.
Bei rund 10 % der behandelten Patienten kommt es zu einem Immunrekonstitutionssyndrom (IRIS), welches mit einem Aufflammen der Entzündungsaktivität einhergeht. Ein solches Syndrom kann auch Jahre nach der eigentlichen Behandlung noch auftreten. Das IRIS zeigt sich durch Fieber, Gelenkentzündungen, Erblindung, Dünndarmdurchbrüche, Brustfellentzündung, Hirnhautentzündung oder auch einer Endokarditis.- Das Risiko für ein IRIS steigt mit schwerem Befall des ZNS oder vorangegangener immununterdrückender Behandlung. Das Syndrom wird mittels Glucocorticoiden behandelt.[5]
Prognose
Bis zur Einführung der Antibiotikabehandlung verlief die Whipple-Erkrankung tödlich.[7] Sichere Daten zur Sterblichkeit unter aktueller Therapie liegen nicht vor. Die Ergebnisse von Behandlungsstudien sehen jedoch eine gute Heilungsaussicht.[5]
Literatur
- B. Desnues, M. Ihrig, D. Raoult, J. L. Mege: Whipple’s disease: a macrophage disease. In: Clin Vaccine Immunol., 2006 Feb, 13(2), S. 170–178. Review, PMID 16467322.
- F. Dutly, M. Altwegg: Whipple’s disease and “Tropheryma whippelii”. In: Clin Microbiol Rev., 2001 Jul, 14(3), S. 561–583. Review, PMID 11432814.
- F. Fenollar, D. Raoult: Whipple’s disease. In: Clin Diagn Lab Immunol., 2001 Jan, 8(1), S. 1–8. Review, PMID 11139188.
- D. A. Relmann u. a.: Identification of the uncultured bacillus of Whipple’’s disease. In: New England Journal of Medicine. Band 327, 1992, S. 293–301.
Weblinks
- whipplesDisease.net
- S2k-Leitlinie Gastrointestinale Infektionen und Morbus Whipple der Deutschen Gesellschaft für Gastroenterologie, Verdauungs- und Stoffwechselkrankheiten e. V. (DGVS). In: AWMF online (Stand 01/2015)
- Neue Erkenntnisse zur Behandlung von Morbus Whipple. Einfachere Antibiotika-Therapie wirksam gegen schwere bakterielle Erkrankung. In: Charité – Universitätsmedizin Berlin. 24. März 2025, abgerufen am 24. März 2025.
Einzelnachweise
- ↑ G. H. Whipple: A hitherto undescribed disease characterized anatomically by deposits of fat and fatty acids in the intestinal and mesenteric lymphatic tissues. In: Bulletin Johns Hopkins Hosp. 18, 1907, S. 382–391.
- ↑ Camila D. Odio, Corey R. O’Brien, Jeremy Jacox, Dhanpat Jain, Alfred I. Lee: Clinical Problem-Solving: Cryptic Cachexia. In: New England Journal of Medicine. Band 383, Nr. 1, 2. Juli 2020, Band 383, S. 68–74. DOI: 10.1056/NEJMcps1817531.
- ↑ a b Gerd Herold und Mitarbeiter: Innere Medizin – Eine vorlesungsorientierte Darstellung. Köln, 2020, S. 473.
- ↑ Wilfried Obst, Ulrike von Arnim, Peter Malfertheiner: Whipple’s Disease. In: Viszeralmedizin, 30. Juni 2014, PMC 4513828 (freier Volltext) (englisch).
- ↑ a b c d e A. Stallmach et al.: S2k-Leitlinie Gastrointestinale Infektionen und Morbus Whipple. Z Gastroenterol 2015; 53: 418–459, doi:10.1055/s-0034-1399337.
- ↑ Gerd Herold und Mitarbeiter: Innere Medizin 2021. Selbstverlag, Köln 2021, ISBN 978-3-9821166-0-0, S. 474.
- ↑ Hans Adolf Kühn: Sprue (idiopathische Steatorrhoe). In: Ludwig Heilmeyer (Hrsg.): Lehrbuch der Inneren Medizin. Springer-Verlag, Berlin/Göttingen/Heidelberg 1955; 2. Auflage ebenda 1961, S. 828.