Moyamoya

Klassifikation nach ICD-10
I67.5 Moyamoya-Syndrom
{{{02-BEZEICHNUNG}}}
{{{03-BEZEICHNUNG}}}
{{{04-BEZEICHNUNG}}}
{{{05-BEZEICHNUNG}}}
{{{06-BEZEICHNUNG}}}
{{{07-BEZEICHNUNG}}}
{{{08-BEZEICHNUNG}}}
{{{09-BEZEICHNUNG}}}
{{{10-BEZEICHNUNG}}}
{{{11-BEZEICHNUNG}}}
{{{12-BEZEICHNUNG}}}
{{{13-BEZEICHNUNG}}}
{{{14-BEZEICHNUNG}}}
{{{15-BEZEICHNUNG}}}
{{{16-BEZEICHNUNG}}}
{{{17-BEZEICHNUNG}}}
{{{18-BEZEICHNUNG}}}
{{{19-BEZEICHNUNG}}}
{{{20-BEZEICHNUNG}}}
Vorlage:Infobox ICD/Wartung {{{21BEZEICHNUNG}}}
ICD-10 online (WHO-Version 2019)
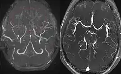
Links die MR-Angiographie eines 11-jährigen Mädchens mit Moyamoya. Das typische, wolkige Gespinst anstelle der normalen vorderen und mittleren Hirnarterien ist markiert. Rechts MRA eines Gesunden zum Vergleich.

Als Moyamoya-Erkrankung (von jap. moyamoya „nebelig“) bezeichnet man eine Krankheit der Gehirngefäße, bei der es zu einer Verengung oder einem Verschluss von beidseitigen Hirn-Arterien kommt, im Regelfall der Arteria carotis interna und der Arteria cerebri media, und bei der sich dadurch eine relative Blutarmut (Schlaganfall und transitorische ischämische Attacke) im Gehirn einstellt. Es bilden sich viele kleine kompensatorische Gefäße als Umgehungskreisläufe aus, die diese Minderdurchblutung kompensieren sollen, andererseits auch so fragil sind, dass sie platzen und zu Hirnblutungen führen können.

Der Name der Erkrankung leitet sich von der Tatsache ab, dass die vielen dünnen Gefäße in der Angiografie wie ein Nebelgebilde aussehen.

Synonyme sind: Nishimoto-Syndrom; englisch Nishimoto-Takeuchi-Kudo-Disease

Die Erkrankung ist in Europa selten und tritt vor allem in Asien (insbesondere in Korea und Japan) auf. Bei nicht-asiatischen Patienten wurde eine hohe Rate spät und falsch diagnostizierter und therapierter Patienten beschrieben. Ein wissenschaftlicher Artikel von 2019 nennt Fehldiagnoseraten über 60 % und Dauern bis zur korrekten Diagnose von über 5 Jahren bei europäischen Patienten. Die Erkrankungshäufigkeit zeigt ein zweigipfliges Maximum – im Alter von 2 bis 10 Jahren sowie 30 bis 40 Jahren. Während die Bezeichnung „Moyamoya-Erkrankung“ die idiopathische (ohne erkennbare Ursache) Form bezeichnet, wird der Begriff „Moyamoya-Syndrom“ für das angiographische Bild im Rahmen anderer Erkrankungen wie Arteriosklerose, Neurofibromatose von Recklinghausen, Down-Syndrom, Bestrahlungsfolge etc. verwendet. Bei asiatischen Patienten spielt die erbliche Veranlagung mit dem RNF213-Gen eine ursächliche Rolle, wobei andere Trigger und Einflussfaktoren zusätzlich hinzu kommen. Bei nicht-asiatischen Patienten sind unterschiedliche Erbfaktoren als ursächlich diskutiert worden.

Patienten mit Moyamoya-Erkrankung neigen zur Entstehung von Hirninfarkten und Gehirnblutungen. Das klinische Bild entspricht diesen Gefäßerkrankungen. Darüber hinaus können Kopfschmerzen und Bewegungsstörungen sowie vielfältige Symptome auftreten. Die Diagnose wird mittels Angiografie und Magnetresonanztomografie gestellt und sollte spezialisierten Zentren vorbehalten sein. Die Erkrankung kann nach der Suzuki-Klassifikation in verschiedene Stadien von I-VI eingeteilt werden[1].

Neben einer konservativen Behandlung mit Acetylsalicylsäure oder ähnlichem, erscheint vor allem eine neurochirurgische Bypass-Behandlung erfolgversprechend. Dabei wird eine operative Verbindung zwischen der Schläfenarterie (Arteria temporalis superficialis) und einer Hirnarterie (Arteria cerebri media) gelegt.

Literatur

  • Peter Vajkoczy: Surgical Techniques in Moyamoya Vasculopathy: Tricks of the Trade. Thieme, Stuttgart, New York, Delhi, Rio de Janeiro 2020, ISBN 3-13-145061-4.
  • C. Roder, N. Khan: Moyamoya Erkrankung. In: H. Bächli u. a. (Hrsg.): Pädiatrische Neurochirurgie. Springer, Berlin 2018, ISBN 978-3-662-48699-3.
  • C. Roder, B. Krischek: Genetics of Moyamoya Angiopathy. In: J. E. Wanebo, N. Khan, J. M. Zabramski, R. F. Spetzler: Moyamoya Disease – Diagnosis and treatment. Thieme, New York 2013, ISBN 978-1-60406-730-9.
  • Klaus Poeck, Werner Hacke: Neurologie. 12., aktualisierte und erweiterte Auflage. Springer, Heidelberg 2006, ISBN 3-540-29997-1.
  • Markus Kraemer, Wilhelm Heienbrok, Peter Berlit: Moyamoya Disease in Europeans. In: Stroke. Band 39, 2008, S. 3193–3200, doi:10.1161/STROKEAHA.107.513408.
  • Jonas Graf, Jan Claudius Schwitalla, Philipp Albrecht, Roland Veltkamp, Peter Berlit, Hans-Peter Hartung, Orhan Aktas, Markus Kraemer: Misdiagnoses and delay of diagnoses in Moyamoya angiopathy-a large Caucasian case series. In: J Neurol. Band 266, Nr. 5, Mai 2019, S. 1153–1159. PMID 30805794

Einzelnachweise

  1. Suzuki Klassifikation. Abgerufen am 4. April 2020 (deutsch).