Mukoziliäre Clearance

alternative Beschreibung
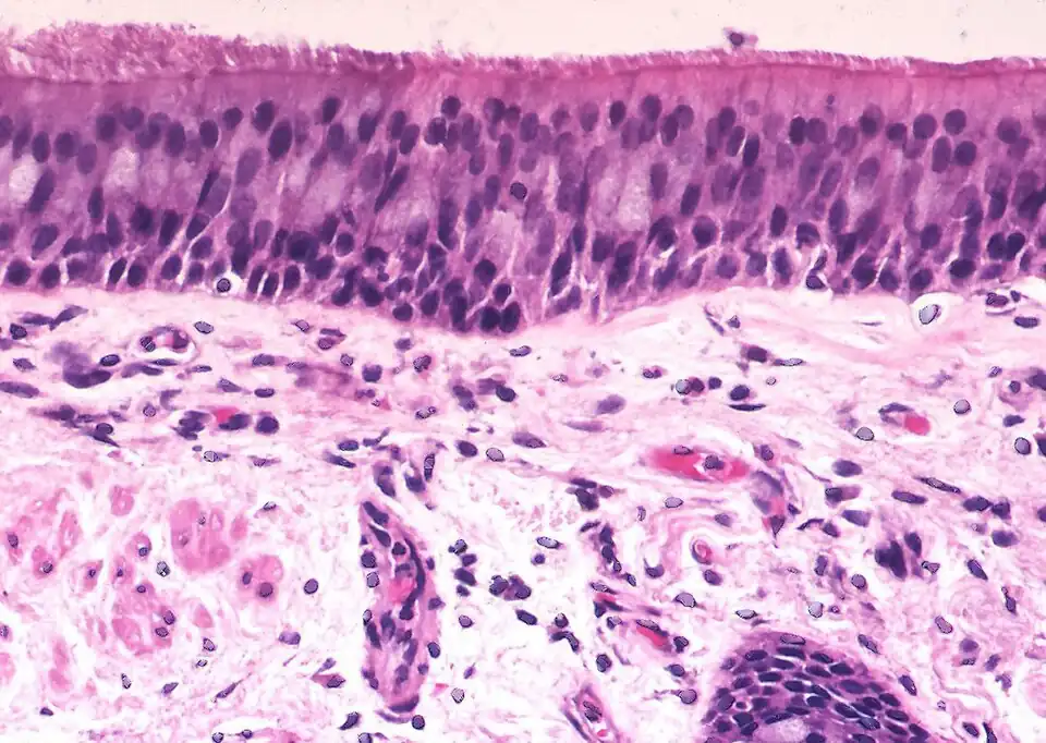
Histologisches Schnittbild des respiratorischen Epithels:
Flimmerzellen mit Zilien an ihrer Oberfläche, Becherzellen sowie Basalzellen und das subepitheliale Bindegewebe

Mukoziliäre Clearance, auch mukoziliäre Reinigung, mukoziliarer Transport, mukoziliärer Apparat oder Mucociliar Clearance (MCC) genannt, abgeleitet von mucus (lat. Schleim), Zilie (Flimmerzelle des Oberflächenepithels im Atmungstrakt) und clearance (engl. Reinigung), bezeichnet den Selbstreinigungsmechanismus des Atmungstraktes und ist der Abwehrmechanismus der Atemwege.[1]

Die mukoziliäre Clearance stellt einen der beiden Abwehrmechanismen der gesamten Atemwege, also Nase, Nasennebenhöhle und Lunge dar. Durch sie werden eingeatmete Partikel, z. B. Staub, Pollen einschließlich Krankheitserreger wie Bakterien und Viren aus der Nase bzw. der Lunge abtransportiert, bevor sie das empfindliche Lungengewebe erreichen können. Der andere Clearance-Mechanismus wird durch den Hustenreflex bereitgestellt, die sogenannte Husten-Clearance.[2]

Die Effektivität der mukoziliären Clearance hängt von den korrekten Eigenschaften der produzierten Atemwegsoberflächenflüssigkeit (ASL, airway surface liquid) ab. Zusätzlich spielen die Anzahl und Qualität der Zilien, haarförmige Strukturen, die sich auf der Atemwegsschleimhaut befinden, eine entscheidende Rolle bei der Reinigung der Atemwege.

Jede Störung der eng regulierten Funktion der Zilien oder der Beschaffenheit der ASL kann eine Krankheit verursachen oder verschlimmern. Störungen in der strukturellen Bildung der Zilien können beispielsweise eine Reihe von Ziliopathien verursachen, insbesondere die primäre Zyliardyskinesie kann hier genannt werden.[3] Auch können äußere Faktoren wie eine Exposition mit Zigarettenrauch zu einer Verkürzung der Zilien führen.[4] Änderungen der ASL kann zu zähem Mukus, der eine Phase der ASL ausmacht, führen. Dieser kann dann zu einer Verlegung der Bronchien führen und so eine Atemwegsobstruktion hervorrufen.

Funktion

In den oberen Atemwegen fängt das Nasenhaar in den Nasenlöchern große Partikel ab und durch den dadurch hervorgerufenen Niesreflex können diese wieder ausgestoßen werden. Daneben fängt die Nasenschleimhaut Partikel ab und verhindert so ihren Weitereintritt in die unteren Atemwege. Partikel lagern sich in Abhängigkeit ihrer Größe in verschiedenen Teilen der Atemwege ab. Größere Partikel werden meist in der Luftröhre und den größeren Bronchien abgefangen. Wenn die Atemwege dagegen schmaler werden, können nur kleinere Partikel passieren. Durch die Verzweigungen der Atemwege und die dadurch verursachten Turbulenzen des Luftstroms können sich Partikel an den Knotenpunkten ablagern und erreichen dadurch die Alveolen (Lungenbläschen) nicht. Nur sehr kleine Partikel oder auch Krankheitserreger wie Bakterien und Viren können in die Alveolen eindringen. Die mukoziliäre Clearance dient dazu, die Partikel und auch Krankheitserreger aus den Atemwegen abzufangen und aus dem Atmungstrakt zu entfernen. Dieser Mechanismus gibt dem empfindlichen Lungenparenchym einerseits Schutz andererseits ermöglicht es den Gasaustausch.[2]

Die mukoziliäre Clearance nimmt auch an der Lungenausscheidung teil, die mit dem Ausatmen Substanzen entfernt, die aus den Lungenkapillaren in den Alveolarraum ausgeschieden werden.[5]

Komponenten

Die Atemwege sind von den Luftröhre bis zu den Bronchioli terminales (Ende des luftleitenden Abschnittes) mit einem respiratorischen Epithel ausgekleidet, dieses befindet sich ebenfalls in Kehlkopf, Nase inkl. der Nasennebenhöhlen und weiten Abschnitten des Pharynx.

Die Besonderheit des respiratorischen Epithels sind die Zilien, auch Flimmerhärchen genannt, die haarähnliche, mikrotubuläre Strukturen auf der luminalen Oberfläche des Epithels darstellen. Auf jeder Epithelzelle befinden sich etwa 200 Zilien, die konstant mit einer Geschwindigkeit zwischen 15 und 25-mal pro Sekunde schlagen.[6]

Die Zilien sind von einer periziliären Flüssigkeitsschicht, der Sol-Phase, umgeben. Auf dieser liegt eine Mukusschicht, Gel-Phase, auf. Zusammen bilden die beiden Schichten die Atemwegsoberflächenflüssigkeit (ASL, airway surface liquid), deren Zusammensetzung streng reguliert ist. Ionenkanäle wie der Chlorid-Kanal (CFTR) und Natrium-Kanal (ENaC) arbeiten zusammen, um die notwendige Hydratation der ASL aufrechtzuerhalten. Durch die Natrium- und Chlorid-Verteilung wird Wasser passiv gelenkt und die Viskosität der ASL eingestellt. Neben der Viskosität der ASL ist die Mucinsekretion ein weiterer wichtiger Faktor. Mucine helfen, die epitheliale Feuchtigkeit aufrechtzuerhalten und fangen zudem partikuläres Material und Krankheitserreger ein, die sich durch die Atemwege bewegen.[7][8][9]

Die Zusammensetzung des ASL ist eine wichtige Stellgröße für die Effektivität der mukoziliären Clearance.[10][11]

Mechanismus

Innerhalb der periziliären Flüssigkeitsschicht führen die Zilien koordiniert Bewegungen mit einer Frequenz von 15 bis 25 Hertz in Richtung Pharynx aus. Dadurch wird die dickflüssige Gel-Phase mitsamt ihrer Fracht sowohl aus Nase und Nasennebenhöhlen sowie der Lunge mit einer Geschwindigkeit von 3 bis 25 mm pro Minute in Richtung Rachen abtransportiert, wo sie verschluckt oder abgehustet wird.[6] Je weiter sich der Bronchialbaum verästelt, desto langsamer vollzieht sich der Mukustransport. Bei einem Atemwegsdurchmesser von 1 – 2 mm kommt es zu einer deutlichen Verringerung der Geschwindigkeit auf etwa 1 Millimeter pro Minute.[6]

Jede Zilie ist etwa 7 µm lang und an ihrer Basis fixiert.[8] Ihr Schlag besteht aus zwei Teilen der charakteristischen Vorwärtsbewegung (effective stroke) und der Rückstellbewegung, Erholungsschlag (recovery stroke).[12][13] Die Bewegung der Zilien findet hauptsächlich in der periziliären Flüssigkeitsschicht statt, diese ist in der Tiefe etwas kürzer als die Höhe einer aufrechtstehenden Zilie. Durch diesen geringgradigen Höhenunterschied können die Zilien während des effective strokes in die Gel-Phase eindringen und den Mukus direkt von der Zelloberfläche wegschieben.[12][13] Während des recovery strokes biegt sich die Zilie von einem Ende zum anderen, so dass sie vollständig von der periziliären Flüssigkeit umgeben ist, wodurch eine umgekehrte Bewegung des Schleims reduziert wird.[12][13] Nun ist sie in der Ausgangsposition für den nächsten effective stroke.

Zilienbewegung in einer metachronalen Welle

Die Bewegung der Zilien ist koordiniert, sodass eine wellenartige Bewegung stattfindet, die sich in der Luftröhre mit einer Geschwindigkeit zwischen 6 und 20 mm pro Minute bewegt.[2] Wie die Welle zustande kommt, ist noch weitgehend unerforscht. Der Zilienteppich bewegt sich in einer metachronalen Welle, die den Schleim Richtung Rachen abtransportiert. Verschiedene mathematische Modelle wurden entwickelt, um die Mechanismen des Ziliarschlags zu untersuchen. Dazu gehören Modelle, um die Erzeugung und den Rhythmus der metachronalen Welle und die Erzeugung der Kraft im effective stroke des Ziliums zu verstehen.[12]

Die mukoziliäre Clearance tauscht kontinuierlich die Mukusschicht aus: Das nasale Sekret wird etwa alle 10 Minuten erneuert, wohingegen der Mukustransport aus den unteren Atemwegen Minuten bis Stunden benötigt.[14]

Klinische Bedeutung

Die Effektivität der mukoziliären Clearance hängt von einer Reihe von Faktoren ab: Anzahl der Zilien, Struktur der Zilien (insbesondere deren Höhe), Qualität der produzierten Atemwegsoberflächenflüssigkeit. Die Qualität der Atemwegsflüssigkeit ist abhängig von Feuchtigkeit, Temperatur und pH-Wert.

Für eine einwandfreie Funktion der Zilien, müssen sich diese frei in der periziliären Flüssigkeit bewegen können. Durch Krankheiten kann es zum Ungleichgewicht in der Feuchtigkeit oder dem pH-Wert der periziliären Flüssigkeit kommen, der Schleim kann dann nicht richtig aus den Atemwegen entfernt werden. Ein Ungleichgewicht in der Zusammensetzung der Atemwegsoberflächenflüssigkeit (ASL, airway surface liquid) ist zum Beispiel Folge bei der Erkrankung Mukoviszidose.[15]

Auch durch Zellschädigungen, oft hervorgerufen durch virale Infektionen, kann es zu einer Beeinträchtigung oder den Verlust von Zilien kommen und so zu einer reduzierten mukoziliären Clearance. Aktuell ergaben sich Hinweise darauf, dass es auch im Zusammenhang mit COVID-19-Erkrankungen, hervorgerufen durch den Erreger SARS-CoV-2, zu einer Verlängerung der Clearance-Zeit von mehr als 60 – 80 % kommen kann.[16][17]

Durch den verzögerten Abtransport sammelt sich der Mukus an, durch ihn können nicht nur unterschiedliche Grade der Luftstromobstruktionen verursacht werden, sondern der Mukus bildet auch ein Nährboden für Bakterien, die oft in Folge einer viralen Atemwegsinfektion den Atmungstrakt besiedeln. Bestehende Lungenerkrankung oder virale Infekte der Atemwege können sich so ernsthaft verschlimmern.

Obstruktive Lungenerkrankungen resultieren oft aus einer gestörten mukoziliären Clearance, die mit Mukushypersekretion in Verbindung gebracht werden kann. Studien haben gezeigt, dass die Austrocknung der ASL der Atemwege ausreicht, um eine Obstruktion durch Mukus zu erzeugen, auch wenn es keine Hinweise auf eine Mukushypersekretion gibt.[18][19]

Luftfeuchtigkeit

Hohe Luftfeuchtigkeit verbessert die Funktion der mukoziliären Reinigung. Zwei Methoden zur Unterstützung der Reinigung sind die aktive und passive Atemgasbefeuchtung, welche insbesondere bei der maschinellen Beatmung angewendet werden.

Eine optimale Funktion der Reinigung setzt eine Temperatur von 37 °C und eine absolute Feuchtigkeit von 44 mg/l entsprechend einer relativen Feuchtigkeit von 100 % voraus. Bei unzureichender Wärme und Feuchtigkeit stellen die Flimmerzellen ihre Transportfunktion nach kurzer Zeit ein.

Integrität der Zilien

Der Zilienschlag beim Gesunden stellt eine wellenförmige Bewegung dar. Bei Erkrankten ist dieser entweder zu langsam, ungeordnet oder vollständig aufgehoben.

Zilientragende Zellen können durch einen Befall mit Atemwegsviren beschädigt oder gar zerstört werden und dadurch ihre Aufgabe des mukoziliaren Transportes nicht mehr vollumfänglich wahrnehmen. Nach einer Virusinfektion oder im Laufe chronischer Bronchitiden kann die Lungenschleimhaut sehr stark geschädigt worden sein, so dass Umbaureaktionen im Lungenepithel die Folge sein können. Insbesondere bei einer Schädigung des zylindrischen Epithels kann es mit der Zeit zum Umbau dieses in Plattenepithel kommen und so kommt es zum Verschwinden der zilientragenden Zellen. Durch den Verlust der Integrität der Zilien kann der Mukus in den betroffenen Atemwegsabschnitten nur noch durch forcierte Exspiration bzw. durch die Husten-Clearance gewährleistet werden.

Weiterhin können Tabakrauch oder giftige Gase (z. B. Schwefeldioxid) zu einem gestörten ziliären Transport führen.

Viskosität des Mukus

Eine wichtige Stellgröße für die mukoziliäre Clearance ist die Viskosität der Atemwegsoberflächenflüssigkeit. Je zähflüssiger die Atemwegsoberflächenflüssigkeit (ASL, airway surface liquid) ist, desto langsamer die mukoziliäre Clearance.[20]

Enhancement der mukoziliären Clearance

Bei einer reduzierten mukoziliären Clearance infolge einer Erkrankung können Pharmakotherapie und physikalische Maßnahmen zur Wiederherstellung oder Verbesserung der mukoziliären Clearance beitragen.

Zur inhalativen Therapie stehen Substanzen wie hypertone Kochsalzlösung, N-Acetylcystein, Dornease alpha und Mannitol zur Verfügung. Neben diesen Maßnahmen können systemisch verabreichte chemische Medikamente wie Acetylcystein, Ambroxol, Bromhexin, Cineol oder Phytopharmaka wie ELOM-080 und Thymian zur Steigerung der mukoziliären Clearance beitragen.

Physikalische Maßnahmen die dem Patienten helfen können seine mukoziliäre Clearance zu Verbessern sind Atem-/Physiotherapie zur autogenen Drainage, der Kutschersitz sowie die Hustenweste neben vielen weiteren.

Durch die therapeutischen Maßnahmen und deren Kombination kann zähflüssiger Mukus verflüssigt werden sowie die Schlagfrequenz gesteigert und so die mukoziliäre Clearance erhöht werden.

Siehe auch

Literatur

  • Peter Lotz: Anatomie und Physiologie des Respirationstrakts. In: J. Kilian, H. Benzer, F. W. Ahnefeld (Hrsg.): Grundzüge der Beatmung. Springer, Berlin u. a. 1991, ISBN 3-540-53078-9, S. 3–45, hier S. 8 f.
  • W. Oczenski, H. Andel, A. Werba: Atmen - Atemhilfen. Thieme, Stuttgart 2003, ISBN 3-13-137696-1.
  • J. Rathgeber: Grundlagen der maschinellen Beatmung. Aktiv Druck, Ebelsbach 1999, ISBN 3-932653-02-5.
  • S. Schäfer, F. Kirsch, G. Scheuermann, R. Wagner: Fachpflege Beatmung. Elsevier, München 2005, ISBN 3-437-25182-1.

Einzelnachweise

  1. Marcelo B Antunes, Noam A Cohen: Mucociliary clearance - a critical upper airway host defense mechanism and methods of assessment. In: Daniel Hyde (Hrsg.): Current Opinion in Allergy and Clinical Immunology. Band 7, Nr. 1. Wolters Kluwer Health, Februar 2007, S. 5–10, doi:10.1097/ACI.0b013e3280114eef, PMID 17218804.
  2. a b c Steven E Weinberger: Principles of Pulmonary Medicine. 7. Auflage. Elsevier - Health Sciences Division, 2018, ISBN 978-0-323-52371-4, S. 286–287.
  3. Amjad Horani, Thomas W Ferkol: Advances in the Genetics of Primary Ciliary Dyskinesia: Clinical Implications. In: American College of Chest Physicians (Hrsg.): CHEST Journal. Band 154, Nr. 3, 22. Mai 2018, S. 645–652, doi:10.1016/j.chest.2018.05.007, PMID 29800551.
  4. Virginia De Rose, Kevin Molloy, Sophie Gohy, Charles Pilette, Catherine M. Greene: Airway epithelium dysfunctions in cystic fibrosis and COPD. In: Hindawi Limited (Hrsg.): Mediators of Inflammation. Band 2018, Nr. 1309746, 8. April 2018, doi:10.1155/2018/1309746, PMID 29849481.
  5. Pulmonary Elimination. National Library of Medicine, Juni 2014, abgerufen am 6. März 2022.
  6. a b c D. Köhler, E. Vastag: Bronchiale Clearance. In: Pneumologie. Band 45, Nr. 5. Georg Thieme Verlag, Mai 1991, S. 314–332, PMID 1857687.
  7. Megan J Webster, Robert Tarran: Slippery When Wet: Airway Surface Liquid Homeostasis and Mucus Hydration. In: Current topics in membranes. Band 81. Academic Press, September 2018, S. 293–335, doi:10.1016/bs.ctm.2018.08.004, PMID 30243435.
  8. a b John V Fahy, Burton F Dickey: Airway mucus function and dysfunction. In: The New England Journal of Medicine. Band 363, Nr. 23. Massachusetts Medical Society, Dezember 2010, S. 2233–2247, doi:10.1056/NEJMra0910061, PMID 21121836.
  9. Arunava Ghosh, R. C. Boucher, Robert Tarran: Airway Hydration and COPD. In: Cellular and Molecular Life Sciences. Band 72, Nr. 19. Springer Nature, Oktober 2015, S. 2627–3652, doi:10.1007/s00018-015-1946-7, PMID 26068443, PMC 4567929 (freier Volltext).
  10. Frauke Stanke: The Contribution of the Airway Epithelial Cell to Host Defense. In: Mediators of Inflammation. Band 2015. Hindawi Publishing Corporation, Juni 2015, 463016, doi:10.1155/2015/463016, PMID 26185361, PMC 4491388 (freier Volltext).
  11. Brandon W. Lewis, Sonika Patial, Yogesh Saini: Immunopathology of Airway Surface Liquid Dehydration Disease. In: Journal of Immunology Research. Band 2019. Hindawi Publishing Corporation, Juli 2019, 2180409, doi:10.1155/2019/2180409, PMID 31396541, PMC 6664684 (freier Volltext).
  12. a b c d Ling Xu, Yi Jiang: Mathematical Modeling of Mucociliary Clearance: A Mini-Review. In: Cells. Band 8, Nr. 7. MDPI, Juli 2019, S. 736, doi:10.3390/cells8070736, PMID 31323757, PMC 6678682 (freier Volltext).
  13. a b c Benjamin Lewin: Cells. Jones & Bartlett Learning, 2006, ISBN 0-7637-3905-7, 357.
  14. Maitrayee Chatterjee, Jos P M van Putten, Karin Strijbis: Defensive properties of mucin glycoproteins during respiratory infections – relevance for SARS-CoV-2. In: mBio. Band 11, Nr. 6. American Society for Microbiology, November 2020, e02374-20, doi:10.1128/mBio.02374-20, PMID 33184103, PMC 7663010 (freier Volltext).
  15. Nico Derichs, Byung-Ju Jin, Yuanlin Song, Walter E Finkbeiner, A. S. Verkman: Hyperviscous airway periciliary and mucous liquid layers in cystic fibrosis measured by confocal fluorescence photobleaching. In: The FASEB Journal. Band 25, Nr. 7. Federation of American Societies for Experimental Biology, Juli 2011, S. 2325–2332, doi:10.1096/fj.10-179549, PMID 21427214, PMC 3114535 (freier Volltext).
  16. Mehtap Koparal, Ercan Kurt, Emine Elif Altuntas, Fatih Dogan: Assessment of mucociliary clearance as an indicator of nasal function in patients with COVID-19: a cross-sectional study. In: European Archives of Oto-Rhino-Laryngology. Band 278, Nr. 6. Springer Nature, Juni 2021, S. 1863–1868, doi:10.1007/s00405-020-06457-y, PMID 33185743, PMC 7661319 (freier Volltext).
  17. Ahmet Baki, Şule Damlaca, Muhammet Yıldız, Selçuk Gündoğar, Ahmet Adnan Cırık: Evaluation of nasal function in patients with COVID-19: nasal secretion, nasal clearance, and SNOT-22 score. In: B-ENT. Band 16, Nr. 3. AVES, September 2020, S. 148–152, doi:10.5152/B-ENT.2020.20028.
  18. Marcus A Mall: Unplugging Mucus in Cystic Fibrosis and Chronic Obstructive Pulmonary Disease. In: Annals of the American Thoracic Society. Band 13. American Thoracic Society, April 2016, Suppl 2, S. 177–185, doi:10.1513/AnnalsATS.201509-641KV, PMID 27115954.
  19. Patrick J Moore, Robert Tarran: The epithelial sodium channel (ENaC) as a therapeutic target for cystic fibrosis lung disease. In: Expert Opinion on Therapeutic Targets. Band 22, Nr. 8. Taylor & Francis, August 2018, S. 687–701, doi:10.1080/14728222.2018.1501361, PMID 30028216.
  20. N. T. Johnson, M. Villalón, F. H. Royce, R. Hard, P. Verdugo: Autoregulation of beat frequency in respiratory ciliated cells. Demonstration by viscous loading. In: American Review of Respiratory Disease. Band 144, Nr. 5. American Thoracic Society, November 1991, S. 1091–1094, doi:10.1164/ajrccm/144.5.1091, PMID 1952437.