Nävuszellnävus
| Klassifikation nach ICD-10 | |
|---|---|
| D22.9 | Nävuszellnävus |
| ICD-10 online (WHO-Version 2019) | |
.jpg)
.jpg)


.jpg)
Ein Nävuszellnävus (Abkürzung: NZN; von lateinisch „naevus“ = Muttermal) ist ein angeborener oder nach der Geburt entstandener, braun gefärbter, scharf begrenzter Hautfleck, der aus Nävuszellen besteht. Es handelt sich um eine bestimmte Unterart von pigmentierten, gutartigen, umschriebenen Fehlbildungen der Haut (Pigmentnävi), umgangssprachlich „Muttermale“ bzw. „Leberflecken“.
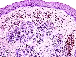
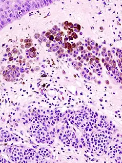
Histologie
Nävuszellnävi bestehen aus Nävuszellen, einer Zellart, die den Melanozyten sehr ähnlich ist und ebenfalls braunes Pigment (Melanin) bilden kann. Sie unterscheiden sich aber von den Melanozyten durch ihre kugelige bis spindelige Form und Anordnung in typischen Nestern. Außerdem können sie ihr Pigment nicht mehr an die umliegenden Hautzellen abgeben, da ihnen die dafür benötigten Dendriten fehlen. Je tiefer sie in die Dermis absinken, desto eher verlieren sie ihre Fähigkeit zur Melaninsynthese. Wie die Melanozyten entstammen sie der Neuralleiste in der Haut.
Einteilung und Entwicklung
Nävuszellnävi werden im jugendlichen Alter erworben (sie bestehen also nicht seit der Geburt, sondern treten erst im Lauf des Lebens auf) und machen eine typische Entwicklung durch. Es müssen nicht zwingend alle Stadien durchlaufen werden, am Ende seiner Entwicklung bildet sich der Nävuszellnävus meist wieder vollständig zurück (ausgenommen dermale Nävi des späten Erwachsenenalters).
Nach ihrer Lage in den Schichten der Haut werden die Nävuszellnävi in die folgenden drei Unterarten eingeteilt (entsprechend den Stadien ihrer Entwicklung):
Junktionsnävus
Im ersten Stadium wächst ein NZN genau an der Grenze zwischen Epidermis und Dermis (die so genannte Junktionszone) zu einer scharf begrenzten, punktförmigen, braunen oder schwarzen Hautveränderung. Das makroskopische Aussehen unterscheidet sich kaum von einer Lentigo simplex, welche aber nur aus Melanozyten und nicht aus Nävuszellen besteht. Lentigo simplex und Junktionsnävus sind die klassischen „Leberflecken“. Die ersten Junktionsnävi entstehen im Laufe der Kindheit.
Compound-Nävus
Im nächsten Stadium wandert der NZN etwas tiefer in die Dermis hinab und dehnt sich somit in beide Hautschichten (Epidermis und Dermis) aus, wodurch die gesamte Veränderung dicker wird und vermehrt erhabene und knotige Anteile aufweist. Die Oberfläche der Läsion kann zerklüftet erscheinen. Die Pigmentierung wird in der Regel etwas unregelmäßiger und heller. Der Übergang zu Compound-Nävi findet in der Regel während der Pubertät statt. Da der Compound-Nävus eine Zwischenphase darstellt, wird er auch intermediärer Nävus genannt.
Dermaler Nävus
Im letzten Stadium der Entwicklung nimmt der NZN eine große, runde, halbkugelige Gestalt an. Seine Nävuszellen sind vollständig in die Dermis abgesunken. Meist hat er sein braunes Pigment verloren und ist mit einigen Haaren (Hypertrichose) besetzt. Am Rand der Läsion können sich Teleangiektasien ausbilden. Gegen Ende der Entwicklung kommt es zunehmend zu einer bindegewebigen Umwandlung. Die großen, kosmetisch oft störenden dermalen Nävi treten typischerweise im frühen Erwachsenenalter zutage.
Andere Arten
Es gibt diverse Spezialformen der Nävuszellnävi:
- Konnataler Nävuszellnävus (große NZN, die schon bei der Geburt vorhanden sind)
- Halonävus (NZN mit depigmentiertem Halo)
- Spitz-Nävus (knotige NZN bei Kindern und Jugendlichen)
Außerdem können Nävuszellnävi unter bestimmten Umständen Zellatypien entwickeln sowie dysplastische Veränderungen durchmachen und werden so zu dysplastischen Nävi (vermutlich Vorläufer des malignen Melanoms).
Klinische Bedeutung
Ätiologie
NZN beruhen auf Entwicklungsstörungen im embryonalen Stadium und entstehen durch postzygotische Mutationen des Erbguts, zur Ausprägung der Hautveränderungen kommt es allerdings erst im Laufe des Lebens. Die Bedeutung der Sonnenexposition ist ungeklärt.
Epidemiologie
Aufgrund der Entwicklungsstadien sowie der Neuentstehung und dem Verschwinden von NZN hat ein weißhäutiger Erwachsener im Durchschnitt ca. 20 erworbene Nävuszellnävi. Sehr helle Hauttypen neigen zu vermehrtem Auftreten von NZN. Bei dunkelhäutigen Menschen kommen sie seltener vor. Gewöhnliche NZN bilden sich nur in der ersten Lebenshälfte und verschwinden bei alten Menschen normalerweise völlig.
Klinik
NZN sind in der Regel unbedenklich und asymptomatisch, es besteht allerdings die Gefahr der Dysplasie und malignen Entartung, welche sich durch Größenzunahme, Farbänderung, Schmerzhaftigkeit oder Juckreiz bemerkbar machen kann.
Therapie
NZN, die kosmetisch störend sind, können unter Voraussetzung der gesicherten Gutartigkeit mittels Elektrokaustik oberflächlich entfernt werden.
Zur zweifelsfreien Entscheidung über die Dignität eines NZN (bei ungewöhnlicher Lokalisation oder Auffälligkeiten nach der ABCDE-Regel) muss die Läsion mitsamt tieferer Gewebeschichten exzidiert werden.
Prognose
Generell haben unauffällige Nävuszellnävi eine gute Prognose. Wichtig ist, die potentielle Progression zu dysplastischen Nävi zu erkennen, da aus ihnen maligne Melanome entstehen können. Das Melanomrisiko steht in direktem Zusammenhang mit der Gesamtanzahl an NZN.
Bei Blutungen, Juckreiz, Größenzunahmen, Farbänderungen oder anderen Auffälligkeiten (siehe ABCDE-Regel) wird empfohlen, einen Hautarzt zu konsultieren.
Literatur
- Thomas B. Fitzpatrick, Klaus Wolff (Hrsg.): Atlas und Synopsis der klinischen Dermatologie: häufige und bedrohliche Krankheiten. 3. Auflage. McGraw-Hill, New York; Frankfurt a. M. 1998, ISBN 0-07-709988-5.
- Ernst G. Jung, Ingrid Moll (Hrsg.): Dermatologie. 5. Auflage. Thieme, Stuttgart 2003, ISBN 3-13-126685-6.