Naevus caeruleus
| Klassifikation nach ICD-10 | |
|---|---|
| D22.L42 | Blauer Nävus |
| ICD-10 online (WHO-Version 2019) | |
Ein Naevus caeruleus (auch Blauer Nävus oder Dermales Melanozytom) ist eine gutartige, scharf begrenzte Hautveränderung, die durch ihre dunkelblaue bis grau-schwarze Farbe charakterisiert ist. Dieser ungewöhnliche Farbton entsteht durch Vermehrung der pigmentbildenden Melanozyten in tieferen Hautschichten. Es handelt sich um eine bestimmte Unterart von gutartigen, pigmentierten, begrenzten Fehlbildungen der Haut (Pigmentnävi), umgangssprachlich „Muttermale“ bzw. „Leberflecken“.
Epidemiologie und Pathogenese
Der Naevus caeruleus zeigt keine Präferenz bezüglich Geschlecht oder Alter, gehäuftes Auftreten wird gegen Ende der Adoleszenz beobachtet. Die Melanozytenvorläufer (Melanoblasten) wandern während der Embryonalentwicklung von der Neuralleiste in die Haut ein. Melanozyten sind also Abkömmlinge des Neuroektoderms.

Normalerweise sollten in den tieferen Hautschichten wie der Dermis keine Melanozyten vorkommen. Da diese Zellart, wie beschrieben, von der Neuralleiste abstammt und bis in die Haut auswandern muss, wird angenommen, dass es im Laufe dieses Prozesses zu ektopen Ansammlungen von Melanozyten kommen kann. Deswegen wird diese Läsion manchmal auch Neuronävus genannt.
Klinik
Am häufigsten kommen blaue Nävi am Handrücken oder an der Dorsalseite des Unterarms vor, sie können aber überall entstehen. Es handelt sich im Allgemeinen um einzelne, derbe, manchmal erhabene Knötchen von blauschwarzer Farbe durch vermehrte Pigmentierung in der Dermis.[1]
Verlauf und Prognose
Blaue Nävi verändern sich meist nicht mehr und stellen hauptsächlich ein kosmetisches Problem dar. Der Übergang in ein malignes Melanom ist sehr selten.
Bei plötzlichen oder ungewöhnlichen Veränderungen muss die Hautveränderung exzidiert und histologisch untersucht werden, um ein Melanom auf jeden Fall auszuschließen.
Siehe auch
- Bei einem →Mongolenfleck handelt es sich ebenfalls um eine großflächige Ansammlung von tiefen Melanozyten in der Dermis, welche jedoch in der frühen Kindheit wieder vergehen.
- Der →Nävus Ota bzw. →Nävus Ito ist durch eine Vermehrung von Melanozyten in der Dermis von Gesicht oder Schulter charakterisiert, die sich nicht mehr zurückbildet.
- Dermatofibrom
- Melanozytom
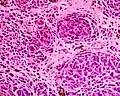
-
Histologie eines Blauen Nävus, Naevus coeruleus cellularis (2×) -
Nävus coeruleus -
Naevus coeruleus epithelioides (10×) -
Maligne Form eines Blauen Nävus. Alle histologische Präparate sind durch Hämatoxylin-Eosin-Färbung diskriminiert.
Literatur
- Thomas B. Fitzpatrick, Klaus Wolff (Hrsg.): Atlas und Synopsis der klinischen Dermatologie: häufige und bedrohliche Krankheiten. 3. Auflage. McGraw-Hill, New York; Frankfurt a. M. 1998, ISBN 0-07-709988-5.
- Ernst G. Jung, Ingrid Moll (Hrsg.): Dermatologie. 5. Auflage. Thieme, Stuttgart 2003, ISBN 3-13-126685-6.
Einzelnachweise
- ↑ A. Osioa; M. Battistella: Le nævus bleu et ses variantes. Blue naevi and variants. In: Annales de Dermatologie et de Vénéréologie, Band 139, Oktober 2012, S. 677–680