Nanoarchaeota
| Nanoarchaeales | ||||||||||||
|---|---|---|---|---|---|---|---|---|---|---|---|---|
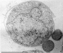
Ignicoccus hospitalis mit angehefteten Nanoarchaeum equitans | ||||||||||||
| Systematik | ||||||||||||
| ||||||||||||
| Wissenschaftlicher Name des Stamms | ||||||||||||
| Nanoarchaeota | ||||||||||||
| Huber et al. 2011 | ||||||||||||
| Wissenschaftlicher Name der Ordnung | ||||||||||||
| Nanoarchaeales | ||||||||||||
| Huber et al. 2011 |
Nanoarchaeota[2] ist ein Phylum (Stamm) von Archaeen, der meist als zur Gruppe der DPANN-Archaea gehörig angesehen wird.[3][4] Die erste entdeckte Art dieser Gruppe ist Nanoarchaeum equitans, entdeckt von Huber et al. 2002 in einer Hydrothermalquelle nahe der Küste Islands.[5] Im Jahr 2013 erschien einen Bericht über die Entdeckung einer zweiten Vertreters der Nanoarcheota, Nanobsidianus stetteri.[6][7] Es handelt sich um Symbionten (oder auch Parasiten) anderer Archaeen.[8] Mitglieder der Nanoarchaeota sind Ektosymbionten verschiedener Crenarchaeota wie z. B. Acidilobus sp. 7A,[9] Sulfolobales archaeon Acd1[10] und Ignicoccus hospitalis.[1]
Ihr Status als einziges Mitglied eines eigenen Phylums ist jedoch umstritten, da es sich tatsächlich um eine hochspezialisierte Gruppe handeln könnte, die aus der Ordnung Thermococcales innerhalb der Euryarchaeota hervorgegangen ist.[11][5][12]
Eine erste Prüfung der 16S-rRNA-Sequenz von Nanoarchaeum equitans zeigte zwar eine höchstwahrscheinliche Zugehörigkeit zu den Archaeen an. Die Unterschiede dieser Sequenz mit denen der Euryarchaeota und Crenarchaeota sind aber etwa gleich groß wie der Unterschied zwischen diesen beiden Gruppen. Daher hatte man dieser Spezies ein eigenes neues Phylum, Nanoarchaeota, zugewiesen. Ein späterer Vergleich anderer Gensequenzen, die nicht für ribosomale RNA (rRNA) stehen, deutete aber darauf hin, dass Nanoarchaeum equitans (und damit die Gruppe der Nanoarchaeota) möglicherweise doch zu den Euryarchaeota gehört.[11][5][12][8] Einzelne unten aufgeführte Mitglieder werden teilweise allerdings davon abweichend auch zu den Thermoprotei (Crenarchaeota) gestellt.[3]
Etymologie
Die Bezeichnung „Nanoarchaeota“ leitet sich ab von altgriechisch νᾶνος nános, deutsch ‚Zwerg‘, ‚Winzling‘ (vgl. Nanometer), der Mittelteil verweist auf Organismen aus der Domäne der Archaeen, der Suffix ‚-ota‘ bezeichnet Phyla (Abteilungen/Stämme).[3] Die erste bekannte Gattung dieses Phylums ist Nanoarchaeum mit Nanoarchaeum equitans.[3]
Systematik
Die gegenwärtig (Stand Februar 2022) akzeptierte Taxonomie basiert im Wesentlichen auf folgenden Quellen:
- L – List of Prokaryotic Names with Standing in Nomenclature (LPSN)[3]
- N – National Center for Biotechnology Information (NCBI, Taxonomy Browser),[4]
Diese sieht die Nanoarchaeota zusammen mit den Parvarchaeota (beides Mitglieder der heute als paraphyletisch angesehenen ARMAN-Gruppe) als Mitglieder der DPANN-Archaeen.[13] Vertreter in doppelten Anführungszeichen sind noch nicht vollgültig taxonomisch beschrieben:
Phylum: „Nanoarchaeota“ Huber et al. 2002 (L,N)
- Klasse „Candidatus Nanoarchaeia“ Vázquez-Campos et al. 2021 (L,N)
- Ordnung „Nanoarchaeales“ Huber et al. 2011 (L,N) – laut LPSN nicht der Klassen Nanoarchaeia zugeordnet
- Familie „Nanoarchaeaceae“ Huber et al. 2011 (L,N)
- Gattung „Nanoarchaeum“ Huber et al. 2002 (L,N), früher auch „Microarchaeum“ (N)
- Spezies „Nanoarchaeum equitans“ Huber et al. 2002 (L,N)
- Stämme, die mögliche weitere Spezies der Gattung „Nanoarchaeum“ darstellen.[14]
- Gattung „Nanoarchaeum“ Huber et al. 2002 (L,N), früher auch „Microarchaeum“ (N)
- Familie „Nanopusillaceae“ Huber et al. 2011 (N)[15]
– laut LPSN gehören die Mitglieder zu verschiedenen Ordnungen der Thermoprotei[11]- Gattung „Candidatus Nanobsidianus“ Castelle et al. 2015 (L,N)
– laut LPSN zur Ordnung Sulfolobales (Thermoprotei) - Gattung „Candidatus Nanopusillus“ Wurch et al. 2016 (N)
- Spezies „Candidatus Nanopusillus acidilobi“ Wurch et al. 2016 (L,N) inkl. Nanoarchaeota archaeon 7A (N)
– laut LPSN zur Familie Desulfurococcaceae (Ordnung Desulfurococcales der Thermoprotei) - Spezies Candidatus Nanopusillus sp. CESUR00123 (N)
- Spezies Candidatus Nanopusillus sp. Marseille-Q6268 (N)
- Spezies „Candidatus Nanopusillus acidilobi“ Wurch et al. 2016 (L,N) inkl. Nanoarchaeota archaeon 7A (N)
- Gattung „Candidatus Nanobsidianus“ Castelle et al. 2015 (L,N)
- Familie „Nanoarchaeaceae“ Huber et al. 2011 (L,N)
- Ordnung „Candidatus Tiddalikarchaeales“ Vázquez-Campos et al. 2021 (L,N)
- Familie „Candidatus Tiddalikarchaeaceae“ Vázquez-Campos et al. 2021 (L,N)
- Gattung „Candidatus Tiddalikarchaeum“ Vázquez-Campos et al. 2021 (L,N)
- Spezies „Candidatus Tiddalikarchaeum anstoanum“ Vázquez-Campos et al. 2021 (L,N)
- Gattung „Candidatus Tiddalikarchaeum“ Vázquez-Campos et al. 2021 (L,N)
- Familie „Candidatus Tiddalikarchaeaceae“ Vázquez-Campos et al. 2021 (L,N)
- Ordnung „Nanoarchaeales“ Huber et al. 2011 (L,N) – laut LPSN nicht der Klassen Nanoarchaeia zugeordnet
- Gattungen innerhalb der „Nanoarchaeota“ ohne Familien-, Ordnungs- oder Klassenzuweisung
- Gattung „Candidatus Nanoclepta“ St. Johns et al. 2019 (N)
- Spezies „Candidatus Nanoclepta minuta“ St. Johns et al. 2019 (N)
- Gattung „Candidatus Nanoclepta“ St. Johns et al. 2019 (N)
- Stämme, die mögliche weitere Spezies des Phylums „Nanoarchaeota“ darstellen.[16] Beispiel:
- Spezies Nanoarchaeota archaeon Gua-46 (N) – Guaymas-Becken, Golf von Kalifornien (N)[17]
Verbreitung
Seit der Entdeckung der Nanoarchaeota haben sich viele Hinweise darauf angesammelt, dass diese Archaeen neben hydrothermalen Meeresquellen verschiedene weitere Lebensräume bewohnen. Bei der Untersuchung von Primern für das 16S-rRNA-Gen von N. equitans wurde gezeigt, dass diese Art in terrestrischen Thermalquellen sowie in mesophilen Lebensräumen mit erhöhtem Salzgehalt weit verbreitet ist. rRNA-Gensequenzen von N. equitans wurden auch in Wasserproben aus der euphotischen Zone auch in beträchtlicher Entfernung von Hydrothermalquellen gefunden. Offenbar leben Nanoarchaeota bei unterschiedlichen Temperaturen und in geochemisch unterschiedlichen Umgebungen.[7]
Literatur
- Laurie Achenbach-Richter, Carl R. Woese: The ribosomal gene spacer region in archaebacteria. In: Syst. Appl. Microbiol. 10. Jahrgang, Nr. 3, August 1988, S. 211–214, doi:10.1016/s0723-2020(88)80002-x, PMID 11542149 (sciencedirect.com).
- H. Christensen, O. Angen, R. Mutters, J. E. Olsen, M. Bisgaard: DNA-DNA hybridization determined in micro-wells using covalent attachment of DNA. In: Int. J. Syst. Evol. Microbiol. 50. Jahrgang, Nr. 3, 1. Mai 2000, S. 1095–1102, doi:10.1099/00207713-50-3-1095, PMID 10843050.
- H. Christensen, M. Bisgaard, W. Frederiksen, R. Mutters, P. Kuhnert, J. E. Olsen: Is characterization of a single isolate sufficient for valid publication of a new genus or species? Proposal to modify recommendation 30b of the Bacteriological Code (1990 Revision). In: Int. J. Syst. Evol. Microbiol. 51. Jahrgang, Nr. 6, 1. November 2001, S. 2221–2225, doi:10.1099/00207713-51-6-2221, PMID 11760965.
- R. A. Clayton, G. Sutton, P. S. Hinkle Jr, C. Bult, C. Fields: Intraspecific variation in small-subunit rRNA sequences in GenBank: why single sequences may not adequately represent prokaryotic taxa. In: Int. J. Syst. Bacteriol. 45. Jahrgang, Nr. 3, 1. Juli 1995, S. 595–599, doi:10.1099/00207713-45-3-595, PMID 8590690.
- Scott Clingenpeel, Jinjun Kan, Richard E. Macur, Tanja Woyke, Dave Lovalo, John Varley, William P. Inskeep, Kenneth Nealson, Timothy R. McDermott: Yellowstone Lake Nanoarchaeota. In: Frontiers in Microbiology. 4. Jahrgang, 11. September 2013, S. 274, doi:10.3389/fmicb.2013.00274, PMID 24062731, PMC 3769629 (freier Volltext).
- D. Dalevi, P. Hugenholtz, L. L. Blackall: A multiple-outgroup approach to resolving division-level phylogenetic relationships using 16S rDNA data. In: Int. J. Syst. Evol. Microbiol. 51. Jahrgang, Nr. 2, 1. März 2001, S. 385–391, doi:10.1099/00207713-51-2-385, PMID 11321083.
- J. P. Euzeby: List of Bacterial Names with Standing in Nomenclature: a folder available on the Internet. In: Int. J. Syst. Bacteriol. 47. Jahrgang, Nr. 2, 1997, S. 590–592, doi:10.1099/00207713-47-2-590, PMID 9103655.
- V. Gürtler, B. C. Mayall: Genomic approaches to typing, taxonomy and evolution of bacterial isolates. In: Int. J. Syst. Evol. Microbiol. 51. Jahrgang, Nr. 1, 1. Januar 2001, S. 3–16, doi:10.1099/00207713-51-1-3, PMID 11211268.
- S. Hansmann, William Martin: Phylogeny of 33 ribosomal and six other proteins encoded in an ancient gene cluster that is conserved across prokaryotic genomes: influence of excluding poorly alignable sites from analysis. In: Int. J. Syst. Evol. Microbiol. 50. Jahrgang, Nr. 4, 2000, S. 1655–1663, doi:10.1099/00207713-50-4-1655, PMID 10939673.
- Michael J. Hohn, Brian P. Hedlund, Harald Huber: Detection of 16S rDNA sequences representing the novel phylum "Nanoarchaeota": indication for a wide distribution in high temperature biotopes. In: Syst. Appl. Microbiol. 25. Jahrgang, Nr. 4, Dezember 2002, S. 551–554, doi:10.1078/07232020260517698, PMID 12583716.
- Harald Huber, Michael J. Hohn, Reinhard Rachel, Tanja Fuchs, Verena C. Wimmer, Karl O. Stetter: A new phylum of Archaea represented by a nanosized hyperthermophilic symbiont. In: Nature. 417. Jahrgang, Nr. 6884, 2. Mai 2002, S. 63–67, doi:10.1038/417063a, PMID 11986665, bibcode:2002Natur.417...63H.
- J. Keswani, W. B. Whitman: Relationship of 16S rRNA sequence similarity to DNA hybridization in prokaryotes. In: Int. J. Syst. Evol. Microbiol. 51. Jahrgang, Nr. 2, 1. März 2001, S. 667–678, doi:10.1099/00207713-51-2-667, PMID 11321113.
- Theodore J. McGill, Jerzy Jurka, James M. Sobieski, Mark H. Pickett, Carl R. Woese, George E. Fox: Characteristic archaebacterial 16S rRNA oligonucleotides. In: Syst. Appl. Microbiol. 7. Jahrgang, Nr. 2–3, Mai 1986, S. 194–197, doi:10.1016/S0723-2020(86)80005-4, PMID 11542064.
- R. G. Murray, K. H. Schleifer: Taxonomic notes: a proposal for recording the properties of putative taxa of procaryotes. In: Int. J. Syst. Bacteriol. 44. Jahrgang, Nr. 1, 1. Januar 1994, S. 174–176, doi:10.1099/00207713-44-1-174, PMID 8123559.
- Thomas Palys, L. K. Nakamura, Frederick M. Cohan: Discovery and classification of ecological diversity in the bacterial world: the role of DNA sequence data. In: Int. J. Syst. Bacteriol. 47. Jahrgang, Nr. 4, 1. Oktober 1997, S. 1145–1156, doi:10.1099/00207713-47-4-1145, PMID 9336922.
- Erko Stackebrandt, Wilhelm Frederiksen, George M. Garrity, Patrick A. D. Grimont, Peter Kämpfer, Martin C. J. Maiden, Xavier Nesme, Ramon Rosselló-Mora, Jean Swings, Hans G. Trüper, Luc Vauterin, Alan C. Ward, William B. Whitman: Report of the ad hoc committee for the re-evaluation of the species definition in bacteriology. In: Int. J. Syst. Evol. Microbiol. 52. Jahrgang, Nr. 3, 1. Mai 2002, S. 1043–1047, doi:10.1099/00207713-52-3-1043, PMID 12054223.
- Brian J. Tindall: Proposal to change the Rule governing the designation of type strains deposited under culture collection numbers allocated for patent purposes. In: Int. J. Syst. Bacteriol. 49. Jahrgang, Nr. 3, 1. Juli 1999, S. 1317–1319, doi:10.1099/00207713-49-3-1317, PMID 10490293.
- Brian J. Tindall: Proposal to change Rule 18a, Rule 18f and Rule 30 to limit the retroactive consequences of changes accepted by the ICSB. In: Int. J. Syst. Bacteriol. 49. Jahrgang, Nr. 3, 1. Juli 1999, S. 1321–1322, doi:10.1099/00207713-49-3-1321, PMID 10425797.
- Brian J. Tindall: Misunderstanding the Bacteriological Code. In: Int. J. Syst. Bacteriol. 49. Jahrgang, Nr. 3, 1. Juli 1999, S. 1313–1316, doi:10.1099/00207713-49-3-1313, PMID 10425796.
- Brian J. Tindall: Proposals to update and make changes to the Bacteriological Code. In: Int. J. Syst. Bacteriol. 49. Jahrgang, Nr. 3, 1. Juli 1999, S. 1309–1312, doi:10.1099/00207713-49-3-1309, PMID 10425795.
- S. Winker, Carl R. Woese: A definition of the domains Archaea, Bacteria and Eucarya in terms of small subunit ribosomal RNA characteristics. In: Syst. Appl. Microbiol. 14. Jahrgang, Nr. 4, Oktober 1991, S. 305–310, doi:10.1016/s0723-2020(11)80303-6, PMID 11540071.
- Carl R. Woese, George E. Fox: Phylogenetic structure of the prokaryotic domain: the primary kingdoms. In: Proc. Natl. Acad. Sci. USA. 74. Jahrgang, Nr. 11, 18. August 1977, S. 5088–5090, doi:10.1073/pnas.74.11.5088, PMID 270744, PMC 432104 (freier Volltext), bibcode:1977PNAS...74.5088W.
- Carl R. Woese, Ramesh Gupta, Christine M. Hahn, Wolfram Zillig, Jenn Tu: The phylogenetic relationships of three sulfur dependent archaebacteria. In: Syst. Appl. Microbiol. 5. Jahrgang, Nr. 1, April 1984, S. 97–105, doi:10.1016/S0723-2020(84)80054-5, PMID 11541975 (sciencedirect.com).
- Carl R. Woese, Otto Kandler, M. L. Wheelis: Towards a natural system of organisms: proposal for the domains Archaea, Bacteria, and Eucarya. In: Proc. Natl. Acad. Sci. USA. 87. Jahrgang, Nr. 12, 1. Juni 1990, S. 4576–4579, doi:10.1073/pnas.87.12.4576, PMID 2112744, PMC 54159 (freier Volltext), bibcode:1990PNAS...87.4576W.
- John M. Young: Suggestions for avoiding on-going confusion from the Bacteriological Code. In: Int. J. Syst. Evol. Microbiol. 50. Jahrgang, Nr. 4, 1. Juli 2000, S. 1687–1689, doi:10.1099/00207713-50-4-1687, PMID 10939677.
- John M. Young: Implications of alternative classifications and horizontal gene transfer for bacterial taxonomy. In: Int. J. Syst. Evol. Microbiol. 51. Jahrgang, Nr. 3, 1. Mai 2001, S. 945–953, doi:10.1099/00207713-51-3-945, PMID 11411719.
- PubMed references for Nanoarchaeota
- PubMed Central references for Nanoarchaeota
- Google Scholar references for Nanoarchaeota
Weblinks
- NCBI: Nanoarchaeota (Liste), Details: Nanoarchaeota Huber et al. 2002 (phylum); graphisch: Nanoarchaeota, auf: Lifemap NCBI Version.
- OneZoom: Nanoarchaeota
- Search results: Nanoarchaeota, auf MicrobeWiki, Kenyon College, Department of Biology.
- LPSN: Phylum "Candidatus Nanoarchaeota" Huber et al. 2002
Einzelnachweise
- ↑ a b Nina Dombrowski, Tom A. Williams, Jiarui Sun, Benjamin J. Woodcroft, Jun-Hoe Lee, Bui Quang Minh, Christian Rinke, Anja Spang: Undinarchaeota illuminate DPANN phylogeny and the impact of gene transfer on archaeal evolution. In: Nature Communications, Band 11, Nr. 3939, 7. August 2020; doi:10.1038/s41467-020-17408-w (englisch).
- ↑ OneZoom: Nanoarchaeota
- ↑ a b c d e LPSN: Phylum "Candidatus Nanoarchaeota" Huber et al. 2002
- ↑ a b NCBI Nanoarchaeota. Data extracted from the NCBI taxonomy resources. National Center for Biotechnology Information
- ↑ a b c Harald Huber, Michael J. Hohn, Reinhard Rachel, Tanja Fuchs, Verena C. Wimmer, Karl O. Stetter: A new phylum of Archaea represented by a nanosized hyperthermophilic symbiont. In: Nature. 417. Jahrgang, Nr. 6884, 2. Mai 2002, S. 63–67, doi:10.1038/417063a, PMID 11986665, bibcode:2002Natur.417...63H.
- ↑ a b Mircea Podar, Kira S. Makarova, David E. Graham, Yuri I. Wolf, Eugene V. Koonin, Anna-Louise Reysenbach: Insights into archaeal evolution and symbiosis from the genomes of a nanoarchaeon and its inferred crenarchaeal host from Obsidian Pool, Yellowstone National Park. In: Biol Direct, Band 8, Nr. 9, 22. April 2013; doi:10.1186/1745-6150-8-9, PMID 23607440, PMC 3655853 (freier Volltext).
- ↑ a b c Jacob H. Munson-McGee, Erin K. Field, Mary Bateson, Colleen Rooney, Ramunas Stepanauskas, Mark J. Young: Nanoarchaeota, Their Sulfolobales Host, and Nanoarchaeota Virus Distribution across Yellowstone National Park Hot Springs. In: ASM Appl Environ Microbiol, Band 81, Nr. 22, November 2015; doi:10.1128/AEM.01539-15, PMID 26341207, PMC 4616950 (freier Volltext), Epub 4. September 2015.
- ↑ a b Elizabeth Waters, Michael J. Hohn, Ivan Ahel, David E. Graham, Mark D. Adams, Mary Barnstead, Karen Y. Beeson, Lisa Bibbs, Randall Bolanos, Martin Keller, Keith Kretz, Xiaoying Lin, Eric Mathur, Jingwei Ni, Mircea Podar, Toby Richardson, Granger G. Sutton, Melvin Simon, Dieter Söll, Karl O. Stetter, Jay M. Short, Michiel Noordewier: The genome of Nanoarchaeum equitans: Insights into early archaeal evolution and derived parasitism. In: PNAS, Band 100, Nr. 22, 28. Oktober 2003, S. 12984-12988; doi:10.1073/pnas.1735403100, PMID 14566062, PMC 240731 (freier Volltext).
- ↑ NCBI Acidilobus sp. 7A (species)
- ↑ NCBI Sulfolobales archaeon Acd1 (species)
- ↑ a b c Celine Brochier, Simonetta Gribaldo, Yvan Zivanovic, Fabrice Confalonieri, Patrick Forterre: Nanoarchaea: representatives of a novel archaeal phylum or a fast-evolving euryarchaeal lineage related to Thermococcales? In: Genome Biology, Band 6, Nr. R42, 14. April 2005; doi:10.1186/gb-2005-6-5-r42, PMID 15892870, PMC 1175954 (freier Volltext).
- ↑ a b Michael J. Hohn, Brian P. Hedlund, Harald Huber: Detection of 16S rDNA sequences representing the novel phylum "Nanoarchaeota": indication for a wide distribution in high temperature biotopes. In: Syst. Appl. Microbiol. 25. Jahrgang, Nr. 4, Dezember 2002, S. 551–554, doi:10.1078/07232020260517698, PMID 12583716.
- ↑ Cindy J. Castelle, Kelly C. Wrighton, Brian C. Thomas, Laura A. Hug, Christopher T. Brown, Michael J. Wilkins, Kyle R. Frischkorn, Susannah G. Tringe, Andrea Singh, Lye Meng Markillie, Ronald C. Taylor, Kenneth H. Williams, Jillian F. Banfield: Genomic Expansion of Domain Archaea Highlights Roles for Organisms from New Phyla in Anaerobic Carbon Cycling. In: Current Biology. 25. Jahrgang, 19. Februar 2015, S. 690–701, doi:10.1016/j.cub.2015.01.014, PMID 25702576 (cell.com).
- ↑ NCBI unclassified Nanoarchaeum (Liste)
- ↑ Joshua N. Hamm, Susanne Erdmann, Emiley A. Eloe-Fadrosh, Allegra Angeloni, Ling Zhong, Christopher Brownlee, Timothy J. Williams, Kirston Barton, Shaun Carswell, Martin A. Smith, Sarah Brazendale, Alyce M. Hancock, Michelle A. Allen, Mark J. Raftery; Norman R. Pace (Hrsg.): Unexpected host dependency of Antarctic Nanohaloarchaeota, in: PNAS, Band 116, Nr. 29, Juni/Juli 2019, S. 14661-14670; doi:10.1073/pnas.1905179116, PMID 31253704.
- ↑ NCBI unclassified Nanoarchaeota (Liste)
- ↑ NCBI Nanoarchaeota archaeon Gua-46 (species), Genomsequenzen (en. genome shotgun sequences): txid2478562%5BOrganism:noexp%5D, MAG: Nanoarchaeota archaeon Gua-46.
