Neisseria gonorrhoeae
| Neisseria gonorrhoeae | ||||||||||||
|---|---|---|---|---|---|---|---|---|---|---|---|---|
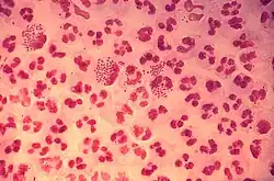
Neisseria gonorrhoeae (Gram-Färbung) | ||||||||||||
| Systematik | ||||||||||||
| ||||||||||||
| Wissenschaftlicher Name | ||||||||||||
| Neisseria gonorrhoeae | ||||||||||||
| (Zopf 1885) Trevisan 1885 |
Neisseria gonorrhoeae (Synonyma: Gonococcus neisseri, Micrococcus gonorrhoeae; Gonokokke, von lateinisch Gonococcus) ist ein gramnegatives, unbewegliches Bakterium. Gonokokken sind die Auslöser der Gonorrhoe (synonym Tripper) und anderer Erkrankungen.
Eigenschaften
Gonokokken sind gramnegative, aerobe Diplokokken. Gonokokken sind gegenüber Umwelteinflüssen, insbesondere gegen Austrocknung, sehr empfindlich. Gonokokken sind Katalase- und Zytochromoxidase-positiv.
Gonokokken fehlt im Gegensatz zu Neisseria meningitidis eine echte Kapsel. Die Membran der Gonokokken enthält jedoch Lipooligosaccharide (LOS), von denen bestimmte Unterformen Sialinsäure binden können und damit eine kapselartige Struktur aufbauen, die Serumresistenz und extrazelluläres Überleben im Wirt ermöglicht. Gonokokken entziehen sich wirkungsvoll der humoralen Immunantwort des Wirtes. Der direkte Kontakt mit den Wirtszellen erfolgt über Typ IV Pili und sogenannte OPA-Proteine (OPA=opacity, da sie die Kolonien trübe erscheinen lassen). Gonokokken besitzen verschiedene OPA-Proteine im Genom. Diese werden meist nicht gleichzeitig exprimiert. Der Typ an exprimiertem OPA-Protein ist für den Organotropismus des Keimes ursächlich. Die Keime binden durch die OPA-Proteine an CD66, Heparansulfat-Proteoglykan-Rezeptoren und CGM1 auf Fibroblasten, Epithelzellen und Makrophagen. Außerdem induzieren diese Proteine die Phagozytose. Jedes OPA-Gen hat mehrere sich wiederholende Sequenzen (repeats) aus 5 Nucleotiden. Diese werden regelmäßig herausgeschnitten oder dupliziert, wodurch sich der reading-frame ändert und neue Varianten der OPA-Proteine entstehen. Dieser Mechanismus wird als antigene Variation bezeichnet. Da für Gonokokken die Eisenzufuhr essentiell ist, finden sich auf ihrer Oberfläche zudem Transporter für Transferrin und Laktoferrin.
Gonokokken besitzen aus Pilin aufgebaute Typ IV Pili. Diese Pili können zur Bewegung (Zuckbewegung, engl. twitching motility) über Oberflächen eingesetzt werden. Durch Zyklen von Verlängerung, Bindung des Pilus an die Oberfläche und Verkürzung des Pilus, wird der Zellkörper über das Substrat gezogen, es kommt zu einer zuckenden Bewegung.
Gonokokken-Stämme bilden z. T. Penicillinase und entgehen damit der früher üblichen Therapie mittels Penicillin. Die Penicillinase ist meist Plasmid-kodiert.
Außerdem bilden Gonokokken eine IgA1-Protease. Diese kann IgA-Antikörper spalten. Damit setzen Gonokokken einen wichtigen Abwehrmechanismus der Schleimhäute außer Kraft. Die IgA1-Protease spaltet den konstanten Teil, Fc-Fragment, des Antikörpers vom antigenbindenden Teil, Fab-Fragment, ab. Das Fc-Fragment dient der Bindung an den Fc-Rezeptor phagozytierender Zellen. Diese Bindung und somit die anschließende Phagozytose des Erregers bleibt durch die Spaltung des Antikörpers aus. Das Fab-Fragment erkennt trotzdem, spezifisch, die Epitope der Bakterien und bindet an diese. Die Folge ist, dass die Bakterien durch körpereigene Proteine (Fab-Fragmente) maskiert werden und von den Abwehrzellen nicht mehr als fremd erkannt werden. Das Bakterium entgeht somit den Abwehrzellen und es kommt zur Chronifizierung der Erkrankung.
Ausbreitung
Gonokokken haben eine weltweite Verbreitung. Das Reservoir ist ausschließlich der infizierte Mensch. Fraglich ist, ob es Übertragungsmöglichkeiten z. B. von oder zum Haustier gibt.
Häufigkeit
Die Gonorrhoe gilt als häufige Infektion. Ein Infektionsgipfel liegt im jungen Erwachsenenalter. Die Infektion kann insbesondere bei Frauen nur wenige oder uncharakteristische Symptome hervorrufen. Daher wird von einer hohen Dunkelziffer ausgegangen. In Ländern mit schlechter Gesundheitsversorgung findet sich eine hohe Infektionsrate. Die Gonorrhoe ist neben der Infektion durch Chlamydia trachomatis die weltweit häufigste Geschlechtskrankheit.
Krankheiten durch Gonokokken
Gonorrhoe: Die Gonorrhoe verläuft beim Mann meist als schmerzhafte und eitrige Urethritis. Steigt die Erkrankung über die Harnröhre auf, so kann es zur gonorrhoischen Prostatitis und Epididymitis kommen. Harnröhrenstrikturen und Infertilität können die Folge sein. Die Symptome können nach Wochen wieder verschwinden.
Bei Frauen verläuft der Großteil der Infektionen ohne wesentliche Symptome. Bei den übrigen Patientinnen findet sich Ausfluss, schmerzhafte Miktionen und eitrige Sekretionen aus der Harnröhre. Steigt bei Frauen die Infektion auf, so kann sich eine Adnexitis bzw. Salpingitis und ein sogenanntes pelvic inflammatory disease (PID) (Unterleibsentzündung) entwickeln. Daraus kann Sterilität resultieren. Bei Schwangeren ist das Risiko hierfür erhöht. Außerdem kann es zur Infektion der Frucht und der Fruchtblase kommen (Chorionamnionitis) mit dem Risiko eines Abortes.
Gonoblennorrhoe: Dies ist eine eitrige Keratokonjunktivitis des Neugeborenen. Die Infektion der Augen entsteht beim Geburtsvorgang bei einer infizierten Mutter. Es besteht die Gefahr der Perforation und Erblindung. Daher wird seit dem 19. Jahrhundert die Credé-Prophylaxe mit Silbernitrat bzw. Penicillin durchgeführt.
Außerdem können Gonokokken Bindehäute (etwa als Konjunktivitis), den Pharynx (vor allem den Oropharynx, den Mundrachen) und den Mastdarm infizieren. Des Weiteren gibt es eine disseminierte Infektion mit Befall z. B. von Gelenken, der Lunge und anderer Organe. Auch Endokarditis und Meningitis können Folge einer Infektion durch Gonokokken sein.[1]
Übertragung
Die Übertragung der Gonokokken erfolgt meist als Schmierinfektion beim Geschlechtsverkehr. Neugeborene infizieren sich durch vaginale Schmierinfektion bei der Geburt. Zur Prophylaxe wird (in Österreich und der Schweiz) Neugeborenen eine antibiotische Lösung mit Erythromycin (früher: Silbernitrat) in die Augen getropft.
Inkubationszeit
Die Inkubationszeit liegt beim Mann zwischen zwei und fünf Tagen und bei der Frau bis zu drei Wochen.
Pathogenese
Gonokokken heften sich über spezielle Pili an die Schleimhautzellen der Harnröhre bzw. des Gebärmutterhalses an. Dabei spielt das Adhäsin Pillin eine große Rolle. Einige Gonokokken induzieren durch die Opa-Proteine eine Endozytose an Schleimhautzellen und werden auf der Lumen-abgewandten Seite wieder ausgeworfen (sog. Transzytose). Gonokokken werden von Granulozyten phagozytiert und können meist auch abgetötet werden. Nur ein Teil der Gonokokken überlebt intrazellulär. Die Gewebsschädigung erfolgt durch Induktion einer eitrigen Entzündung und Komplementaktivierung und dadurch bedingter Zerstörung des befallenen Epithels. Dafür scheint v. a. das Lipopolysaccharid der Bakterienzellwand eine große Rolle zu spielen.
Therapie
Die Therapie erfolgt heute wegen der zunehmenden Verbreitung penicillinasebildender Gonokokken mit Ceftriaxon bzw. einem Cephalosporin der dritten Generation, wobei in Japan mittlerweile gegen sämtliche Cephalosporine resistente Stämme gefunden werden.[2] Da sich häufig eine Doppelinfektion mit Chlamydien finden lässt, wird zusätzlich Azithromycin[3] oder Doxycyclin eingesetzt. Eine Coinfektion mit Syphilis sollte ausgeschlossen werden. Der Therapie-Erfolg wird nach einer Woche mittels Abstrich kontrolliert. Wichtig ist auch die Partner-Behandlung, um Kreuzinfektionen auszuschließen (sog. Ping-Pong-Gonorrhö). Die Credé-Prophylaxe ist die vorbeugende Behandlung von Neugeborenen mit 1%iger Silbernitratlösung oder Erythromycin. Ein Impfstoff ist wegen der hohen Variabilität der Opa- und Pillin-Proteine nicht verfügbar.
Diagnostik

Der Nachweis einer Gonokokkeninfektion wird meist mikroskopisch gestellt. Dabei finden sich die typischen semmelförmigen Diplokokken meist im Inneren von Granulozyten. Zur Sicherung der Diagnose erfolgt eine Erreger-Anzucht z. B. auf Kochblut-Agar. Bei Frauen kann die Mikroskopie eines Zervix-Abstrichs negativ ausfallen, da sich die Erreger tief in den Krypten aufhalten können. Heute wird der Nachweis von Gonokokken häufig mit PCR durchgeführt.
Meldepflicht
In der Schweiz ist der positive laboranalytische Befund zu Neisseria gonorrhoeae für Laboratorien meldepflichtig und zwar nach dem Epidemiengesetz (EpG) in Verbindung mit der Epidemienverordnung und Anhang 3 der Verordnung des EDI über die Meldung von Beobachtungen übertragbarer Krankheiten des Menschen.
Historisches
Albert Neisser entdeckte die Gonokokken im Jahre 1879[4] im Urethralabstrich eines Patienten. Carl Siegmund Franz Credé führte 1881 die nach ihm benannte Prophylaxe ein. Ernst Bumm gelang 1885 erstmals die Anzucht von Gonokokken.
Literatur
- Michael Sachs: Gonokokken. In: Werner E. Gerabek, Bernhard D. Haage, Gundolf Keil, Wolfgang Wegner (Hrsg.): Enzyklopädie Medizingeschichte. De Gruyter, Berlin / New York 2005, ISBN 3-11-015714-4, S. 502.
Weblinks
Einzelnachweise
- ↑ Marianne Abele-Horn: Antimikrobielle Therapie. Entscheidungshilfen zur Behandlung und Prophylaxe von Infektionskrankheiten. Unter Mitarbeit von Werner Heinz, Hartwig Klinker, Johann Schurz und August Stich, 2., überarbeitete und erweiterte Auflage. Peter Wiehl, Marburg 2009, ISBN 978-3-927219-14-4, S. 200–201.
- ↑ Emerging Infectious Diseases. Band 17, Nr. 1, Januar 2011.
- ↑ Marianne Abele-Horn (2009), S. 200.
- ↑ Paul Diepgen, Heinz Goerke: Aschoff/Diepgen/Goerke: Kurze Übersichtstabelle zur Geschichte der Medizin. 7., neubearbeitete Auflage. Springer, Berlin/Göttingen/Heidelberg 1960, S. 47.
