Nierenstein

Klassifikation nach ICD-10
N20 Nieren- und Ureterstein
N21 Stein in den unteren Harnwegen
{{{03-BEZEICHNUNG}}}
{{{04-BEZEICHNUNG}}}
{{{05-BEZEICHNUNG}}}
{{{06-BEZEICHNUNG}}}
{{{07-BEZEICHNUNG}}}
{{{08-BEZEICHNUNG}}}
{{{09-BEZEICHNUNG}}}
{{{10-BEZEICHNUNG}}}
{{{11-BEZEICHNUNG}}}
{{{12-BEZEICHNUNG}}}
{{{13-BEZEICHNUNG}}}
{{{14-BEZEICHNUNG}}}
{{{15-BEZEICHNUNG}}}
{{{16-BEZEICHNUNG}}}
{{{17-BEZEICHNUNG}}}
{{{18-BEZEICHNUNG}}}
{{{19-BEZEICHNUNG}}}
{{{20-BEZEICHNUNG}}}
Vorlage:Infobox ICD/Wartung {{{21BEZEICHNUNG}}}
ICD-10 online (WHO-Version 2019)
Klassifikation nach ICD-11
GB70.0 Nierenstein
GB70.00 Hirschgeweihstein
GB70.0Y Sonstiger näher bezeichneter Nierenstein
GB70.0Z Nierenstein, nicht näher bezeichnet
ICD-11: EnglischDeutsch (Entwurf)
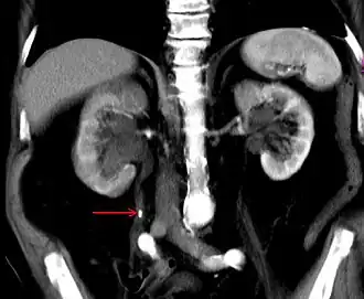
Stein im rechten Harnleiter (Pfeil), mit Harnaufstau. Computertomografie mit Kontrastmittel

Nierensteine oder Nephrolithen (griechisch νεφρός nephrós, deutsch Niere, und λίθος líthos ‚Stein‘) sind kristalline Ablagerungen (Harnsteine) des Nierenbeckenkelchsystems. Mit dem Eintritt in den Harnleiter werden sie zu Harnleitersteinen und können eine Kolik auslösen. Umgangssprachlich werden die Begriffe Nierenstein und Harnleiterstein – obwohl falsch – oft synonym gebraucht. Weitere Namen sind Nierenkonkrement, calculus renum[1] oder Calculus renalis. Eine Ansammlung vieler kleiner Nierensteine wird auch Nierengrieß genannt. Der medizinische Fachausdruck für die Nierensteinkrankheit ist Nephrolithiasis.

Häufigkeit

Die Krankheitshäufigkeit von Nierensteinen beträgt in Mittel- und Westeuropa fünf Prozent. Das Verhältnis von betroffenen Männern zu Frauen liegt bei 7 zu 5. Am häufigsten tritt die Erkrankung zwischen dem 30. und dem 50. Lebensjahr auf. In den Industriestaaten leben 20 % der Männer und 7 % der Frauen mit einem erhöhten Steinrisiko. Ist bereits ein Nierenstein aufgetreten, so beträgt das Risiko eines Rezidivs (Wiederauftretens) 60 %.

Anzahl und Masse

Als Extreme hinsichtlich Anzahl und Größe von Nierensteinen finden sich in der alten Fachliteratur Angaben von bis zu 1000 Konkrementen im rechten Nierenbecken und vom Gewicht eines einzelnen Nierensteins von 1088 Gramm (36 1/4 Unzen).[2]

Einteilung

Bild eines Nierensteins
Bild von Nierensteinen
Sammlung von Nieren- und Harnblasensteinen

Am gebräuchlichsten ist die Einteilung der Nierensteine nach ihrer äußeren Form oder ihrer chemischen Zusammensetzung:

  • Klassifikation nach Form:
    • Ventilsteine
    • Hirschgeweihsteine
    • Korallensteine
    • Ausgusssteine
Die rasterelektronenmikroskopische Abbildung der Oberfläche eines Nierensteins zeigt tetragonale Kristalle von Calciumoxalat-Dihydrat (Weddellit), die aus dem amorphen Zentrum herausgewachsen sind. Bildbreite: 0,45 mm.
Auch Mischformen sind möglich.

Ursachen

Die Entstehung von Nierensteinen ist von vielen Faktoren abhängig, die je nach Ausprägung zu verschieden zusammengesetzten Konkrementen führen. Viele Stoffwechselabläufe sind in diesem Zusammenhang noch ungeklärt. Auf molekularer Ebene kommt es zu einer Erhöhung der Konzentration von schwerlöslichen Ionenverbindungen oder anderen Harnbestandteilen bis zur Überschreitung des sogenannten Löslichkeitsprodukts. Dadurch beginnen diese Substanzen (Salze) auszufallen und Konglomerate zu bilden, die ab einer gewissen Größe die ableitenden Harnwege nicht mehr passieren können.

Die Konzentrationserhöhung der steinbildenden (lithogenen) Harnbestandteile im Blut und dann auch im Urin kann viele Ursachen haben. Neben Exsikkose (Dehydratation) und Flüssigkeitsmangel kommen hier Erkrankungen in Frage, die zu einer erhöhten Harnkonzentration von Metaboliten oder Ionen führen, wie Hyperparathyreoidismus, Hyperoxalurien, Hyperurikämien (vermehrte Harnsäure, Gicht) oder bestimmte Infektionskrankheiten. Eine reichliche Zufuhr von Purinen über die Nahrung kann den Harnsäurespiegel erhöhen. Es gibt auch Störungen der Nierenfunktion, bei denen zu viel Calciumphosphat ausgeschieden wird (tubuläre Azidose). Anatomische Besonderheiten des Nieren-Harnleiter-Systems wie Hufeisenniere und ektope Harnleiter sowie Abstrombehinderungen begünstigen die Steinbildung.

Auf eine vermehrte Nierensteinbildung nach einer Magen-Bypass-Operation lässt eine Studie mit 24 Patienten schließen, in der die Oxalat-Exkretion vor und nach der Operation gemessen wurde.[3] Vorher lag sie bei 31 mg täglich, danach bei 41 mg. Auch die relative Sättigung des Urins mit Calciumoxalat war deutlich erhöht (1,73 vor der Bypass-Operation versus 3,5 nachher). Jeder vierte Patient bekam eine Hyperoxalurie mit Exkretionswerten von 63 mg pro Tag. Vor der Operation hatte kein Patient ein erhöhtes Risiko für Nierensteine.[3]

Antibiotika wurden in Zusammenhang mit Nierensteinen gebracht. Besonders stark ist die Inzidenz bei Kindern.[4] Des Weiteren steigt das Risiko auch unter der Therapie mit Proteasehemmern und einigen Diuretika, wie Furosemid und Acetazolamid. Auch im Zusammenhang mit der Gabe von Antiepileptika, wie Zonisamid, Topiramat und Felbamat wurde gelegentlich über vermehrte Steinbildung berichtet.[5]

Symptome

Wandern Steine in den Harnleiter ein, können sie sich an den Engstellen festklemmen. Die dadurch ausgelösten krampfartigen Muskelkontraktionen führen zu starken wellenförmigen Schmerzen in der betroffenen Flanke (Nierenkolik). In der Regel ist im Urin Blut sichtbar oder laborchemisch nachweisbar. Es kommt meist zu einem Urinstau und die betroffene Niere kann geschädigt werden. Es droht eine Nierenbeckenentzündung (Pyelonephritis) bis hin zu einer Urämie oder sogar bis zum einseitigen akuten Nierenversagen (postrenale Niereninsuffizienz). Kleine Steine (maximaler Durchmesser bis 6 mm) können auch ohne besondere Beschwerden abgehen.

Diagnostik

  • Körperliche Untersuchung
  • Untersuchung des Urins (vorzugsweise auf Spuren von Blut = Hämaturie)
  • Ultraschall, wobei kleinere Steine leicht übersehen werden können
  • Röntgen-Kontrastdarstellung beider Nieren und ableitenden Harnwege (sog. i. v.-Pyelogramm), nicht geeignet zur Darstellung von Urat- und Xanthinsteinen sowie von den seltenen Indinavir-Steinen
  • CT, zeigt auch die sogenannten nicht schattengebenden Konkremente, die in konventionellen Röntgenaufnahmen nicht zu sehen sind
  • MRT
  • Retrograde Kontrastmitteldarstellung der Harnwege
  • Endoskopische Verfahren
  • Untersuchung der asservierten Steine im Rahmen der klinischen Chemie (so genannte Steinanalyse mittels Infrarotspektroskopie)

Am häufigsten werden die Ultraschalluntersuchung, die Urinuntersuchung und das i. v.-Pyelogramm durchgeführt.

Therapie

Flüssigkeitszufuhr

Kleine Nierensteine (unter 6 mm) haben eine gute Chance, von selbst die Passage über den Harnleiter zur Harnblase und dann durch die Harnröhre zu schaffen. Hier werden eine erhöhte Flüssigkeitszufuhr und eine vermehrte Bewegung empfohlen.[6]

Medikamentöse Steinauflösung

Reine Urat-, Struvit- und Cystinsteine können oft mittels alkalisierender Medikamente aufgelöst werden (Urolitholyse, Litholyse[7]).

Perkutane Nephrolitholapaxie (PNL)

Diese Methode kommt vor allem bei größeren Steinen zum Einsatz. Dabei wird durch einen kleinen Hautschnitt ein Endoskop eingeführt, über das anschließend der Stein mit verschiedenen Verfahren (Stoßwelle, Laser, Ultraschall) zerkleinert wird. Die Fragmente werden abschließend ausgespült. In den letzten Jahren wurden die Instrumente hierfür miniaturisiert.

Ureterorenoskopische Steinentfernung (URS)

Entfernung von Harnleitersteinen mit dem Endoskop

Eine solche operative Methode wird bei Harnleitersteinen angewendet. Ein dünnes Rohr wird mit einem optischen Instrument (ähnlich wie bei einer Blasenspiegelung) über die Harnröhre in die Blase und weiter in den betroffenen Harnleiter eingeführt. Über den Arbeitskanal des optischen Instruments lassen sich unterschiedliche Geräte zur Zertrümmerung und Entfernung der Harnleitersteine einführen. Dies können Ultraschall-, Laser-, spezielle Sonden oder Zangen sein.

Schlingenextraktion

Wegen der hohen Verletzungsgefahr wird sie heute nur noch in Ausnahmefällen durchgeführt. Über die Harnröhre wird eine Schlinge eingeführt, und der Arzt versucht, den Stein herauszuziehen. Die Methode wird nur angewendet, wenn sich der Stein im unteren Drittel des Harnleiters befindet. In den EU-Richtlinien für angewandte Medizintechnik wird sie wegen der Gefahr einer Verletzung des Harnleiters nicht mehr erwähnt.

Extrakorporale Stoßwellenlithotripsie (ESWL)

Die Lithotripsie (älter auch Lithotrypsie, von altgriechisch λίθος ‚Stein‘ und τρίβειν ‚reiben‘) oder die extrakorporale Stoßwellenlithotripsie (ESWL) bezeichnet das Zertrümmern von Harnsteinen[8] durch außerhalb des Körpers erzeugte Stoßwellen.

Bei diesem Verfahren werden die fokussierten Stoßwellen auf den Stein gerichtet. Im Idealfall entstehen spontan abgangsfähige Bruchstücke (Desintegrate).[9]

Nierensteinzertrümmerer HM1 (1980)
Nierensteinzertrümmerer neuerer Bauart (2005)

Die Behandlungsmethode wurde 1980 erstmals von Ärzten des Universitätsklinikums Großhadern (München, Deutschland) und Ingenieuren und Technikern der Firma Dornier System (Friedrichshafen, Deutschland) erfolgreich durchgeführt (siehe Dornier-Nierensteinzertrümmerer). Diese Anlage ist im Deutschen Medizinhistorischen Museum in Ingolstadt ausgestellt.

Während die ersten Geräte (siehe Bild HM 1) noch eine mit Wasser gefüllte Wanne hatten, in der der Patient lag, ähneln die neueren Geräte nun einem modernen Röntgengerät mit nur noch einer Liege. Der Patient liegt auf einem beweglichen Tisch und wird an den Koppelbalg oder dieser an den Patienten herangefahren. Der Koppelbalg besteht aus einer wassergefüllten Silikonhülle, darunter liegen die akustische Linse sowie der Stoßwellengenerator. Diese Einheit wird leicht an den Körper des Patienten gepresst, um einen guten Kontakt zum Körper herzustellen. Zusätzlich wird ein wasserhaltiges Gel zwischen die Oberfläche des Koppelbalges und der Haut gebracht, um einen problemlosen Übertritt der Stoßwellen zu gewährleisten. Während der Behandlung erfasst das Gerät automatisch die Lage des Steines und korrigiert die Position des Patienten, falls sich der Stein während der Stoßwellenbehandlung in der Niere leicht verschiebt. Somit ist sichergestellt, dass sich der Stein immer im Stoßwellenzentrum (Brennpunkt, Fokus) befindet und umgebendes Gewebe geschont wird.

Bei diesem Verfahren benötigt der Patient keine Vollnarkose, in der Regel wird nur ein leichtes Schmerzmittel intravenös verabreicht, der Patient bleibt ansprechbar. Gegen den bei der Behandlung entstehenden Lärm (rund 3000 niedrigfrequente Impulse in 30 Minuten) bekommt der Patient einen Gehörschutz. Sehr oft kann diese Behandlung auch ambulant durchgeführt werden. Die Belastung für den Patienten ist gering und durch die gezielte Bündelung der Stoßwellen weniger schmerzhaft als bei den Geräten erster Bauart mit Badewanne.

Außerdem kommen bei neueren Geräten neben Röntgenkameras auch Ultraschallgeräte zur Steineinstellung zum Einsatz. Etablierte Methoden zur Stoßwellenerzeugung sind elektrohydraulische (Funkenstrecke), elektromagnetische und piezoelektrische Generatoren.[10] Heute werden weltweit mehr als 3000 Geräte (Lithotripter) eingesetzt, etwa 90 % aller Nierensteine werden in den Industrieländern auf diese Art zertrümmert. 2008 gab es in Deutschland rund 21.892 ESWL-Behandlungen.

Laserlithotripsie

Die Zertrümmerung von Harnsteinen ist durch die Entwicklung von flexiblen, dünnen Lichtfasern mit hoher Zerstörungsschwelle möglich geworden. Dabei wird eine optische Quarzfaser endoskopisch unter Sicht bis kurz vor den zu zertrümmernden Stein eingeführt. Wird der durch die Faser transportierte Laserpuls eines blitzlampengepumpten Farbstofflasers nun auf die Oberfläche eines Nierensteins fokussiert, so entsteht durch die schnelle Verdampfung des Oberflächenmaterials eine Stoßwelle in der umgebenden Flüssigkeit, die nach mehreren Schüssen zur Zertrümmerung des Steins führt. Die dafür benötigte Laserleistung und die richtige Wahl der Wellenlänge, bei der die Absorption des Steinmaterials maximal ist, hängen von der chemischen Zusammensetzung des Steins ab, die variieren kann. Deshalb ist es dienlich, seine Zusammensetzung zu kennen. Diese lässt sich auf spektroskopischem Wege (siehe: Spektroskopie) ermitteln, wenn bei kleiner Laserenergie das vom bestrahlten Stein emittierte Fluoreszenzlicht über eine eigene Faser gesammelt und auf einen optischen Vielkanalanalysator dargestellt wird. Ein nachgeschalteter Computer kann dann aus der Spektralverteilung der Fluoreszenz sofort die chemische Zusammensetzung bestimmen. Dies wurde zuerst an Nierensteinen in einem Wasserglas (in vitro) demonstriert und dann an Patienten (in vivo) erfolgreich erprobt.

Operation

Ausgusssteine müssen in schweren Fällen chirurgisch entfernt werden. Hierbei wird die betroffene Niere operativ geöffnet; dieses Vorgehen nennt man Lithotomie.[11]

Harnleiterschiene

Bei fast allen diesen Anwendungen wird dabei auch oft ein Katheter (auch Doppel-J-Katheter, Stent oder Harnleiterschiene genannt) zum Erweitern und Offenhalten des Harnleiters für einige Tage oder Wochen im Harnleiter belassen, um den natürlichen Abgang weiterer Steinfragmente zu erleichtern. Der Katheter wird am oberen Ende im Nierenbecken, am unteren Ende in der Harnblase für wenige Zentimeter aufgerollt. Der so gebildete doppelte „Ringelschwanz“ (pigtail) fixiert den Katheter im Harnleiter. Der Harnleiter wird dadurch ebenfalls geschützt, da die abgehenden Steinfragmente teilweise scharfkantig sind und die Wände des Harnleiters verletzt werden könnten.

Achterbahnfahrt

Anhand eines Silikonmodells mit Nierensteinen unterschiedlicher Größe stellten US-amerikanische Wissenschaftler 2008 fest, dass das Fahren mit einer Achterbahn in einigen Fällen zum Steinabgang führte. Für die Erfolgsrate spielte die Größe der Steine keine Rolle, wohl aber der Sitzplatz innerhalb der Wagenreihung. So betrug die Abgangsrate im vordersten Wagen 17 Prozent und im letzten der fünf Wagen 64 Prozent. Die Erfolgsquote unterschied sich zudem, je nachdem ob es sich um einen oberen oder einen unteren Nierenkelchstein handelte. Weshalb die Steine beim Achterbahnfahren abgingen, konnte bei den Versuchen nicht herausgefunden werden. Die Versuche wurden durchgeführt, nachdem einige Patienten berichtet hatten, nach einer Achterbahnfahrt Steine ausgeschieden zu haben. Die Versuche fanden bei 20 Fahrten ohne Looping statt, die jeweils zweieinhalb Minuten dauerten.[12] 2018 erhielten die Wissenschaftler für den Versuch den Ig-Nobelpreis.[13][14]

Vorbeugung

Veränderung der Lebensgewohnheiten

Die einfachste und wirkungsvollste Art, das Risiko der Neubildung von Steinen zu vermindern, ist die Verdünnung des Urins durch Erhöhung der täglichen Flüssigkeitsaufnahme (Mineralwasser, Tee). Es sollten 2,5 l Urin täglich ausgeschieden werden. Hier spricht man von der Metaphylaxe, also von der Vorbeugung von Rezidiven im Gegensatz zur allgemeinen Vorbeugung (Prophylaxe oder Prävention).

Aktuelle Studien zeigen, dass ausreichende Mengen an Calcium in der Nahrung (1000–1200 mg/Tag) dabei helfen, die Bildung von oxalathaltigen Steinen zu verhindern. Calcium bindet Oxalat im Darm, durch den es problemlos entsorgt werden kann. Menschen, die zur Bildung solcher Steine neigen, müssen den Konsum von Milchprodukten und anderen calciumreichen Lebensmitteln nicht einschränken. Jedoch wird geraten, Nahrung mit calciumbasierten Antazida zu meiden.

Als Schutz vor Nierensteinen hat sich auch seit vielen Jahrzehnten das alkalisierende Kaliumcitrat bewährt.[15]

Personen mit einem sauren Urin sollten Fleisch, Fisch und Geflügel meiden, da diese Nahrung hohe Mengen an Purinen enthält, deren Abbau zu Harnsäure den Urin-pH-Wert zu stark absenkt. Ein erhöhter Harnsäurespiegel kann ein Zeichen auf ein erhöhtes Risiko zur Steinbildung sein, das möglicherweise medikamentös behandelt werden muss.

Personen, die einen Hang zur Bildung von Calciumoxalatsteinen haben, sollten folgende, oxalatreiche Nahrungsmittel reduzieren:

Um Cystinsteine zu verhindern, muss viel Wasser getrunken werden, welches die Cystinkonzentration im Urin verringert. Dazu müssen täglich mehr als drei Liter Wasser getrunken werden, ein Drittel davon in der Nacht. „Die Trinkmenge muß so hoch sein, daß der Steinbildner innerhalb 24 Stunden mindestens 1500 ml Urin ausscheidet.“[16]

Pflanzenheilkunde

Es sollen Nierensteine mit Hilfe von Tee aus Echtem Labkraut zur Auflösung gebracht werden können. Genauso soll ein Teeaufguss von Löwenzahnwurzeln beim Abtransport der Steine behilflich sein. Orthosiphon (Katzenbart) entkrampft die ableitenden Harngefäße, wirkt gegen die Entzündung durch Nierensteine und vermindert so insgesamt die Schmerzen bei abgehenden Steinen. Serologisch lässt sich ein Absinken des Stickstoffspiegels im Serum beobachten. Auch bei gewöhnlichen Entzündungen der Niere durch verschleppte Blasenkatarrhe sind gute Erfolge möglich.[17]

Forschung

Das Vorkommen des Bakteriums Oxalobacter formigenes im Darmtrakt kann das Risiko, Nierensteine zu bekommen, um bis zu 70 Prozent senken.[18] Das besagt die Studie einer Arbeitsgruppe des Boston University’s Slone Epidemiology Center.[19] Die Bostoner Forscher geben an, dass der Schutz-Effekt des Bakteriums wahrscheinlich auf einer Verstoffwechselung von Oxalat im Verdauungstrakt beruht.[18]

Literatur

  • Albrecht Hesse, Dietmar Bach: Harnsteine – Pathobiochemie und klinisch-chemische Diagnostik. (= Klinische Chemie in Einzeldarstellungen. Band 5). Thieme, Stuttgart 1982, ISBN 3-13-488701-0.
  • Albrecht Hesse, Jörg Joost: Ratgeber für Harnsteinpatienten. Hippokrates, Stuttgart 1985/1992, ISBN 3-89373-181-4.
  • Albrecht Hesse, Andrea Jahnen, Klaus Klocke: Nachsorge bei Harnstein-Patienten. Ein Leitfaden für die ärztliche Praxis. Urban & Fischer, 2002, ISBN 3-334-60832-8.
  • Stefan C. Müller, Rainer Hofmann, Kai-Uwe Köhrmann, Albrecht Hesse: Epidemiologie, instrumentelle Therapie und Metaphylaxe des Harnsteinleidens. In: Deutsches Ärzteblatt, 101, Heft 19, 2004, S. A1331–1336.
  • Jörg Schweikart: 20 Ernährungstipps zu Oxalsäure und Nierensteine
Commons: Nierensteine – Sammlung von Bildern und Videos
Wiktionary: Nierenstein – Bedeutungserklärungen, Wortherkunft, Synonyme, Übersetzungen
  • Leitlinie Urolithiasis AK Harnsteine der DGU 2015 [1]

Einzelnachweise

  1. Deutsches Wörterbuch von Jacob Grimm und Wilhelm Grimm, Band 13, Spalte 834.
  2. Hermann Senator: Die Erkrankungen der Nieren. 2. umgearbeitete Auflage, Verlag Alfred Hölder, Wien 1902, in: Hermann Nothnagel (Hrsg.): Spezielle Pathologie und Therapie. Band XIX, 1. Hälfte. Wien 1906, Nachdruck, S. 471.
  3. a b Ärzte Zeitung. 2. Juli 2008, S. 5, zitiert nach: Journal of the American Chemical Society (JACS) 206, 2008, S. 1145.
  4. Gregory E. Tasian, Thomas Jemielita, David S. Goldfarb, Lawrence Copelovitch, Jeffrey S. Gerber, Qufei Wu, Michelle R. Denburg: Oral Antibiotic Exposure and Kidney Stone Disease. In: Journal of the American Society of Nephrology. S. ASN.2017111213, doi:10.1681/ASN.2017111213.
  5. P. Schweikert-Wehner: Arzneimittel und Nierensteine. In: Nierenarzt/Nierenärztin. Nr. 4. Verlag Kirchheim + Co GmbH, 2023, ISSN 2198-3895, S. 28–30.
  6. Brockhaus Enzyklopädie. 19. Auflage. 15. Band, Verlag Friedrich Arnold Brockhaus, Mannheim 1991, ISBN 3-7653-1115-4, S. 599.
  7. Brockhaus Enzyklopädie. 19. Auflage. 15. Band, Verlag Friedrich Arnold Brockhaus, Mannheim 1991, ISBN 3-7653-1115-4, S. 599.
  8. Brockhaus Enzyklopädie. 19. Auflage. 15. Band, Verlag Friedrich Arnold Brockhaus, Mannheim 1991, ISBN 3-7653-1115-4, S. 599.
  9. S. Müller, R. Hofmann, K. Köhrmann, A. Hesse: Epidemiologie, instrumentelle Therapie und Metaphylaxe des Harnsteinleidens. In: Deutsches Ärzteblatt, 2004, 101(19), S. A-1331 / B-1101 / C-1065.
  10. Gerold Lingnau: Lithotripter: Mit Stoßwellen gegen Nierensteine. In: Faz.net. 29. September 2011.
  11. Brockhaus Enzyklopädie. 19. Auflage. 15. Band, Verlag Friedrich Arnold Brockhaus, Mannheim 1991, ISBN 3-7653-1115-4, S. 599.
  12. Ärzte Zeitung: Wunderwaffe: Achterbahnfahren schüttelt Nierensteine ab. Abgerufen am 8. Oktober 2018.
  13. Ig-Nobelpreis: Zwischen Nierensteinen auf der Achterbahn und Fruchtfliegenschnüffeln. In: Zeit Online. (zeit.de [abgerufen am 8. Oktober 2018]).
  14. Jan Bösche: Ig-Nobelpreise verliehen: Nierensteine verschwinden in der Achterbahn. In: Tagesschau. ARD, 14. September 2018, archiviert vom Original am 22. Oktober 2018; abgerufen am 8. Oktober 2018.
  15. C. Y. Pak, C. Fuller, K. Sakhaee, G. M. Preminger, F. Britton: Long-term treatment of calcium nephrolithiasis with potassium citrate. In: The Journal of Urology. 1985; 134, S. 11–19, PMID 3892044.
  16. Carl Erich Alken, Peter May, Jess Braun: Harnsteinleiden. Georg Thieme Verlag, Stuttgart 1979, ISBN 3-13-581401-7, S. 107.
  17. Volker Fintelmann, Rudolf Fritz Weiss: Lehrbuch der Phytotherapie. Hippokrates-Verlag, Stuttgart 2005, ISBN 3-8304-5345-0.
  18. a b Bakterium Oxalobacter formigenes schützt vor Nierensteinen. In: Deutsches Ärzteblatt. 10. März 2008, doi:10.1681/ASN.2007101058.
  19. David W. Kaufman u. a.: Oxalobacter formigenes May Reduce the Risk of Calcium Oxalate Kidney Stones. In: Journal of the American Society of Nephrology. Nr. 19, 2008, S. 1197–1203 (Abstract).