Nervus phrenicus

Der Nervus phrenicus (Zwerchfellnerv) ist ein Nerv, der aus dem Halsbereich des Rückenmarks entspringt und u. a. das Zwerchfell innerviert.
Anatomie
Beim Menschen entspringt der Nerv aus dem 3. bis 5. Halssegment des Rückenmarks und ist ein Ast des Plexus cervicalis, bei einem Fünftel der Individuen treten zusätzlich Nebenphrenici (Nervi phrenici accessorii) aus den unteren Halssegmenten auf. Der Nervus phrenicus verläuft vor dem Musculus scalenus anterior und hinter der tiefen Halsfaszie sowie dem Musculus sternocleidomastoideus nach unten, um dann, begleitet von der Arteria und Vena subclavia, in die obere Thoraxapertur einzutreten. Dort befindet er sich zunächst vor der Pleurakuppel, um dann zwischen der Pleura mediastinalis und dem Herzbeutel zum Zwerchfell zu gelangen. Er wird dabei von der Arteria pericardiacophrenica begleitet. Auf seinem Weg gibt er Äste an den Herzbeutel, die Pleura mediastinalis und im Bauchraum an das Peritoneum von Leber, Bauchspeicheldrüse und der vorderen Bauchwand ab. Bei Eröffnung des Herzbeutels kann der Nerv geschädigt werden. Bei einer Pleuritis (Brustfellentzündung) kann es zu einer Reizung des Nerves und damit zu einem Schluckauf (Singultus) kommen.
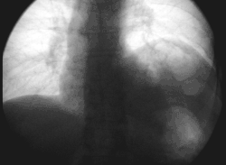
Phrenikuslähmung (Phrenikusparese)

Bei einer Lähmung des Nervus phrenicus erschlafft auf der entsprechenden Seite das Zwerchfell, d. h., es kommt zu einer Zwerchfelllähmung (Zwerchfellparese). Da die Bauchorgane normalerweise durch das Zwerchfell nach unten gedrückt werden, drücken diese bei Erschlaffung des Zwerchfells nach oben. Es entsteht ein sogenannter Zwerchfellhochstand. Ein einseitiger Zwerchfellhochstand ist zwar mit starken Atembeschwerden verbunden, wird aber in der Regel überlebt. Ein beidseitiger Ausfall des Nervus phrenicus ist dagegen lebensgefährlich.
Durch seinen frühen Austritt aus dem Wirbelkanal bleibt beim Menschen auch bei einer Querschnittlähmung im Bereich der hinteren Halswirbelsäule die Möglichkeit zu einer Atmung über das Zwerchfell. Grundsätzlich sind bei einer Deformation bis zu dem dritten Halswirbel massive Störungen der Funktion von Lunge und Herz mit hoher Wahrscheinlichkeit zu erwarten, bei Schäden am vierten Halswirbel wahrscheinlich. Ab dem fünften Halswirbel sind keine lebensbedrohlichen Lähmungserscheinungen mehr üblich, wohl aber Querschnittlähmungssymptome wie eine Funktionsstörung der Extremitäten und andere.
Phrenikusreizung
Nach gashaltiger Laparoskopie tritt häufig eine Reizung des N. phrenicus bei Patienten auf, die sich in Brust- bzw. Schulterschmerzen äußert. Das verwendete Gas übt Druck auf das Zwerchfell aus, dadurch kommt es zur Nervenreizung. Nach vollständigem Entweichen des Restgases nach der Laparoskopie erlischt die Symptomatik.[1]
Magnetische Stimulation
Zu diagnostischen Zwecken kann der Nervus phrenicus auch über magnetische Induktion stimuliert werden. Obwohl dies wesentlich schonender ist als elektrische Impulse, gibt es auf dem Markt kein Produkt, das diese Methode benutzt.[2][3][4]
Literatur
- Martin Trepel: Neuroanatomie. Struktur und Funktion. 3., neu bearbeitete Auflage. Urban & Fischer, München u. a. 2004, ISBN 3-437-41297-3.
- Franz-Viktor Salomon: Nervensystem, Systema nervosum. In: Franz-Viktor Salomon, Hans Geyer, Uwe Gille (Hrsg.): Anatomie für die Tiermedizin. Enke, Stuttgart 2004, ISBN 3-8304-1007-7, S. 464–577.
Einzelnachweise
- ↑ Paul Phelps: In Patients Undergoing Gynecologic Laparoscopy ... Simple Pulmonary Maneuver Relieves Shoulder Pain. In: Anesthesiology News. 35, 2009, S. 9. (online)
- ↑ F. Laghi, M. J. Harrison, M. J. Tobin: Comparison of magnetic and electrical phrenic nerve stimulation in assessment of diaphragmatic contractility. In: J Appl Physiol. 80, 1996, S. 1731–1742.
- ↑ T. Similowski, B. Fleury, S. Launois, H. P. Cathala, P. Bouche, J. P. Derenne: Cervical magnetic stimulation: a new painless method for bilateral phrenic nerve stimulation in conscious humans. In: J Appl Physiol. 67, 1989, S. 1311–1318.
- ↑ C. H. Hamnegåard, S. Wragg, D. Kyroussis, G. Mills, B. Bake, M. Green, J. Moxham: Mouth pressure in response to magnetic stimulation of the phrenic nerves. In: Thorax. 50, 1995, S. 620–624.