Non-Hodgkin-Lymphom

Klassifikation nach ICD-10
C82 Follikuläres (noduläres) Non-Hodgkin-Lymphom
C83 Nicht follikuläres Lymphom
C84 Reifzellige T/NK-Zell-Lymphome
C85 Sonstige und nicht näher bezeichnete Typen des Non-Hodgkin-Lymphoms
C86 Weitere spezifizierte T/NK-Zell-Lymphome
C88 Bösartige immunproliferative Krankheiten
C90 Plasmozytom und bösartige Plasmazellen-Neubildungen
C91 Lymphatische Leukämie (ohne C91.0 Akute lymphatische Leukämie [ALL])
{{{09-BEZEICHNUNG}}}
{{{10-BEZEICHNUNG}}}
{{{11-BEZEICHNUNG}}}
{{{12-BEZEICHNUNG}}}
{{{13-BEZEICHNUNG}}}
{{{14-BEZEICHNUNG}}}
{{{15-BEZEICHNUNG}}}
{{{16-BEZEICHNUNG}}}
{{{17-BEZEICHNUNG}}}
{{{18-BEZEICHNUNG}}}
{{{19-BEZEICHNUNG}}}
{{{20-BEZEICHNUNG}}}
Vorlage:Infobox ICD/Wartung {{{21BEZEICHNUNG}}}
ICD-10 online (WHO-Version 2019)
Vorlage:Infobox ICD/Wartung/Para 05

Unter der Sammelbezeichnung Non-Hodgkin-Lymphom (NHL) werden alle Krebserkrankungen des lymphatischen Systems (maligne Lymphome) zusammengefasst, die kein Morbus Hodgkin sind. Diese Zusammenfassung hat im Wesentlichen historische Gründe. Die Krankheiten, die unter diesem Oberbegriff zusammengefasst werden, sind sehr verschieden. Das gilt sowohl für die zugrundeliegenden genetischen Veränderungen, die immunologischen Charakteristika als auch die klinischen Erscheinungsformen. Dementsprechend sieht auch die Behandlung der NHL sehr unterschiedlich aus. Die NHL werden in eine B- (etwa 80 Prozent aller NHL) und eine T-Linie (20 Prozent) unterteilt, je nachdem, ob das NHL von B-lymphatischen oder T-lymphatischen Zellen ausgeht. Selten gibt es auch NHL, die von den sogenannten NK-Zellen ausgehen.

Ursachen

Grundsätzlich lässt sich sagen, dass einem NHL immer die ungehemmte Teilung von Lymphozyten bei gleichzeitigem Ausbleiben der Apoptose der überzähligen Zellen zu Grunde liegt. Die Folge ist, dass die Masse und Zahl der entsprechenden Lymphozyten immer mehr zunimmt und somit andere Zellen verdrängt werden.

Die Pathogenese der Non-Hodgkin-Lymphome ist bisher nicht vollständig verstanden. Als angeborener Gendefekt tritt das NHL vor allem beim Wiskott-Aldrich-Syndrom auf. Beim Großteil der Erkrankungsfälle sind jedoch erworbene genetische Veränderungen entscheidend für die Entstehung des Lymphoms, vererbt werden kann das NHL in diesen Fällen nicht. Es gibt jedoch einige Risikofaktoren, die eine genetische Prädisposition ergänzen und somit ein Lymphom in seiner Entstehung begünstigen können. Hierzu zählen beispielsweise Strahlenexposition durch ionisierende Röntgen- oder Gammastrahlung oder eine früher erfolgte Zytostatika-Therapie (zum Beispiel im Rahmen der Behandlung einer anderen malignen Erkrankung). Auch eine Autoimmunerkrankung (beispielsweise Sjögren-Syndrom) oder Infektion mit HIV begünstigen die Entstehung eines NHLs.

Außerdem gibt es Viren und Bakterien, die die Entstehung eines NHL begünstigen.

Genetische Veränderungen

Mittlerweile sind eine Vielzahl genetischer Veränderungen identifiziert worden, die teilweise von diagnostischer Bedeutung sind, wenn es um die genaue Klassifikation des NHL geht. Typisch sind bestimmte Chromosomentranslokationen:

Durch diese Chromosomentranslokationen geraten bestimmte Onkogene außer Kontrolle, was einen entscheidenden Schritt bei der malignen Transformation der betroffenen Zelle darstellt.

Onkogene Viren und Bakterien

Bei einigen NHL-Subtypen ist eine Beteiligung von bestimmten Viren und Bakterien an der Entstehung gesichert:

Viren:

Bakterien:

  • Helicobacter pylori (HP): Eine langjährige Infektion mit HP kann die Entstehung eines niedrigmalignen NHL des lymphatischen Gewebes des Magens fördern (MALT-Lymphom).

Quantitativ machen diese Fälle jedoch nur einen relativ kleinen Teil aller NHL aus.

Umweltfaktoren

Eine Fallstudie aus Schweden legt nahe, dass Pestizide ein möglicher Auslöser für die Entwicklung des Non-Hodgkin-Lymphoms sein können.[1] Durch das Bundesministerium für Umwelt, Naturschutz und Reaktorsicherheit wurde eine epidemiologische Fall-Kontroll-Studie zur Ätiologie von Lymphomen in Auftrag gegeben.[2] Diese stellt fest, dass Chemiewerker tendenziell überdurchschnittlich betroffen sind. Ein deutlicher Zusammenhang ergibt sich mit der Verwendung dunkler Haarfärbemittel.[2]

Am 20. März 2015 veröffentlichte eine Expertengruppe der WHO, die IARC (Internationale Agentur für Krebsforschung) ein Whitepaper,[3] welches fünf Organophosphate als potentiell krebserregend einstuft. Das Herbizid Glyphosat und die Insektizide Malathion und Diazinon werden als wahrscheinlich krebserregend (Gruppe 2A) klassiert und die Insektizide Tetrachlorvinphos und Parathion als möglich krebserregend (Gruppe 2B). Dabei steht Malathion unter dem Verdacht, Non-Hodgkin-Leukämien NHL sowie Prostatakrebs zu begünstigen. Für Diazinon wurde ebenfalls ein Zusammenhang zu NHL sowie Lungenkrebs nachgewiesen. Überraschend neu ist die Einstufung des Herbizides Glyphosat als Auslöser für NHL-Leukämien, was in Fachkreisen und seitens der Hersteller kontrovers diskutiert wird.[4]

Radioaktivität

Nach einer Studie der Nationalen Akademie der Wissenschaften Belorusslands (heute Belarus) aus dem Jahr 1998 gab es aufgrund der Reaktorkatastrophe in Tschernobyl neben der Zunahme anderer Krebsarten auch eine nachweisbare Zunahme des Hodgkin- und auch des Non-Hodgkin-Lymphoms.[5] Diese Studie ist auch für Personen in anderen Ländern von Bedeutung, die einer erhöhten radioaktiven Strahlung ausgesetzt waren.

Epidemiologie

Die Inzidenz (rohe Erkrankungsrate) lag in Deutschland 2016 bei 20,5 (Frauen) bis 24,2 (Männer) Erkrankungsfällen auf 100.000 Einwohner pro Jahr.[6] Die zum Vergleich mit internationalen Quellen altersstandardisierte Erkrankungsrate betrug 2016 in Deutschland 12,0 und 16,4 je 100.000 Personen.[6] Männer sind vom NHL etwas häufiger betroffen als Frauen (Erkrankungsrisiko 1,8 % gegenüber 1,6 %).[7] NHL können in jedem Lebensalter auftreten, insgesamt jedoch häufiger im höheren Lebensalter.[8]

Relative Häufigkeit der NHL[9]

Symptome

  1. Meist nicht schmerzhafte („indolente“) Lymphknotenvergrößerungen („Lymphadenopathie“)
  2. Leistungsminderung, Müdigkeit
  3. Eventuell sogenannte „B-Symptomatik“ (Fieber > 38 °C, Nachtschweiß, Körpergewichtsverlust > 10 % innerhalb der letzten sechs Monate ohne sonstige Erklärung)
  4. Infektneigung und Infektanfälligkeit
  5. Blutveränderungen (siehe unten)

In den Blutuntersuchungen können sich folgende Veränderungen finden:

Diagnose

Die Diagnose wird histologisch anhand der Biopsie eines betroffenen Lymphknotens gestellt. Neben der histomorphologischen Beurteilung werden spezielle Färbetechniken angewandt, um das gewonnene Biopsiematerial genau klassifizieren zu können. Die derzeit gültige WHO-Klassifikation hat die früher verwendete Kiel- beziehungsweise R.E.A.L.-Klassifikationen (Revised European-American Classification of Lymphoid Neoplasms) weitestgehend abgelöst.

Für die genaue Stadieneinteilung sind weitere Untersuchungen notwendig:

  1. Röntgen-Thorax
  2. Sonographie des Bauchraums
  3. Computertomographie von Hals, Thorax und Abdomen
  4. Knochenmarkpunktion zur Gewinnung der Knochenmarkhistologie und Ausschluss eines Knochenmarkbefalls

Eine genaue Klassifizierung und Stadieneinteilung ist für eine gezielte Therapie unerlässlich.

Sonographie des Halses bei hochmalignem Non-Hodgkin-Lymphom der Halslymphknoten (Transversalschnitt mit farbkodierter Duplexsonographie).
Computertomographie des Halses bei hochmalignem Non-Hodgkin-Lymphom der Halslymphknoten (rekonstruierter Sagittalschnitt).
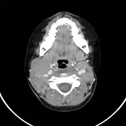
Computertomographie des Halses bei hochmalignem Non-Hodgkin-Lymphom der Halslymphknoten (Transversalschnitt mit Kontrastmittel).

Stadieneinteilung

Weltweit ist heute die Stadieneinteilung nach Ann Arbor, die 1971 in Ann Arbor, Michigan entwickelt wurde, in Gebrauch.

  • Stadium I: Befall einer einzigen Lymphknotenregion ober- oder unterhalb des Zwerchfells
  • Stadium II: Befall von zwei oder mehr Lymphknotenregionen ober- oder unterhalb des Zwerchfells
  • Stadium III: Befall auf beiden Seiten des Zwerchfells
  • Stadium IV: Befall von nicht primär lymphatischen Organen (beispielsweise Leber, Haut, Zentralnervensystem)

Zusatz:
A = keine Allgemeinsymptome (Fieber, Nachtschweiß, Gewichtsverlust)
B = mit Allgemeinsymptomen
S = mit Milzbefall (die Milz wird in dieser Stadieneinteilung wie ein Lymphknoten behandelt)
E = Befall außerhalb von Lymphknoten und Milz.

Weitere Parameter, die der Abschätzung der Prognose dienen und klinische Risikofaktoren darstellen, sind im Internationalen Prognostischen Index (IPI) zusammengefasst.

Therapie

Einige NHL können mittlerweile kurativ, das heißt mit Aussicht auf komplette Heilung, behandelt werden. Die Heilungschancen hängen aber von vielen verschiedenen Faktoren ab, zum Beispiel dem Typ des Lymphoms, dem Alter des Patienten, dem Stadium des Lymphoms (es erscheint einleuchtend, dass ein nur wenig ausgebreitetes Lymphom bessere Behandlungschancen bietet als ein schon generalisiertes), den Begleiterkrankungen des Patienten und so weiter. Als ganz groben Grundsatz kann man festhalten, dass hochmaligne (d. h. schnell wachsende) Lymphome sich gut chemotherapeutisch behandeln lassen und auch komplett geheilt werden können. Im Gegensatz dazu lassen sich niedrigmaligne (d. h. langsam wachsende) Lymphome mit konventioneller Strahlen- und Chemotherapie in der Regel nicht heilen, aber häufig trotzdem gut behandeln. Der Grund für diese zunächst paradox erscheinende Tatsache liegt darin, dass hochmaligne Lymphome sich häufig teilen und daher sehr schnell wachsen, aber gerade dadurch sehr empfindlich gegenüber Behandlungen sind, die die Krebszelle angreifen, wenn sie sich teilt (Chemotherapie, Strahlentherapie). Bei indolenten Lymphomen sind die Lymphomzellen deutlich weniger empfindlich gegenüber Chemo-/Strahlentherapie, die die Zellteilung stören, und meistens überlebt ein gewisser Anteil der Zellen die Behandlung.

Die Therapie richtet sich unter anderem nach dem Ann-Arbor-Stadium der Erkrankung. Generell ist zu sagen, dass die Bestrahlung nur in lokalisierten Stadien in kurativer Absicht sinnvoll ist. Bei indolenten NHL in höheren Stadien (ab Stadium II) hat die Chemotherapie meist nur palliativen Charakter, das heißt, eine komplette Heilung ist damit nicht mehr möglich. Die Wahl des Chemotherapieschemas hängt natürlich auch von den Begleiterkrankungen des Patienten ab. Therapieschema der ersten Wahl bei aggressiven NHL ist meist das CHOP-Schema. Hierbei werden die Medikamente Cyclophosphamid (C), Doxorubicin [Hydroxydaunorubicin (H)], Vincristin [Oncovin (O)] sowie Prednisolon (P) als Kombinationschemotherapie eingesetzt. Zunehmend werden monoklonale Antikörper zusätzlich zur Chemotherapie eingesetzt [bei B-NHL der Anti-CD20-Antikörper Rituximab (dann wird das Therapieschema entsprechend als R-CHOP bezeichnet)] oder in Form einer Radioimmuntherapie Ibritumomab-Tiuxetan, da sich gezeigt hat, dass sie die Prognose sowohl bei hoch- als auch bei niedrigmalignen NHL verbessern. Es gibt Untersuchungen, die zeigen, dass bei B-NHL nach Abschluss der Primärbehandlung eine anschließende Erhaltungstherapie mit Rituximab die Langzeitergebnisse verbessern helfen kann.

Insgesamt gilt die Regel, dass die Therapie in Zentren mit viel Erfahrung gehört,[10] da sich die Therapieprotokolle derzeit fast im jährlichen Rhythmus ändern.

Von Bedeutung für den Rückgewinn einer auch langfristig möglichst uneingeschränkten Lebensqualität nach einer Remission oder Heilung ist außerdem eine intensive Beratung der Patienten und Angehörigen für die oft lange Rekonvaleszenzzeit und die Behandlung möglicher psychischer und physischer Spätfolgen. Speziell die Behandlung aggressiver Lymphome mit Hochdosis-Chemotherapien und Bestrahlung kann kurz- und langfristige Nebenwirkungen[11] wie die Entwicklung einer Fatigue, eine andauernde Schädigung des Immunsystems, des Herzens, unerwünschte Sterilität und Darmprobleme in Form der Strahlenkolitis zur Folge haben. Manche Patienten erleben außerdem eine meist vorübergehende Beeinträchtigung des Denk-, Merk- und Stressbewältigungsvermögens durch Post-chemotherapy Cognitive Impairment (PCCI) (auch Chemotherapy-induced Cognitive Dysfunction oder „Chemo Brain“), deren Ursache nach gegenwärtigem Forschungsstand entweder in der belastenden Krankheitssituation selbst, den direkten physischen Auswirkungen der Chemotherapie oder beiden Faktoren liegen kann.[12]

Stadium niedrigmaligne Lymphome hochmaligne Lymphome
I Bestrahlung IA: Bestrahlung
IB: Chemotherapie
II evtl. Chemotherapie Chemotherapie
III und IV Chemotherapie Chemotherapie

Kann mit einer üblich dosierten Chemotherapie keine vollständige Rückbildung erreicht werden oder erleiden die Patienten einen Rückfall, so ist eine Hochdosis-Chemotherapie kombiniert mit einer Stammzelltransplantation eine weitere Behandlungsmöglichkeit.[13]

Notwendigkeit einer einheitlichen Klassifikation der Non-Hodgkin-Lymphome

Schon seit längerem war den klinisch tätigen Medizinern und auch den Hämatopathologen klar, dass es sich bei den NHL um eine sehr uneinheitliche Gruppe von Erkrankungen handelt. Es wurden daher Anstrengungen unternommen, die NHL weiter zu klassifizieren. Eine einheitliche Klassifikation war aus verschiedenen Gesichtspunkten notwendig und ohne klar definierte Begriffe und Krankheitsentitäten war es auch schier unmöglich, die Ergebnisse von Therapiestudien und von grundlagenmedizinischen Forschungen miteinander zu vergleichen. Die Erforschung der Krankheitsursachen und der optimalen Behandlungsmöglichkeiten war dadurch sehr erschwert.

Die ersten wirklich brauchbaren Klassifikationen waren:

Kiel-Klassifikation

Die Kiel-Klassifikation bezieht sich in ihrem Namen auf die Christian-Albrechts-Universität Kiel, an der sie von Karl Lennert Anfang der 1970er Jahre entwickelt und 1988 überarbeitet wurde.

Die Kiel-Klassifikation teilt die NHL aufgrund von mikroanatomischen, enzymzytochemischen und immunologischen Eigenschaften ein. Zudem wurden klinische Erfahrungen (eher bösartiger schneller oder eher gutartiger langsamer Verlauf) berücksichtigt. Lennert und seine Mitarbeiter differenzierten die Lymphome in niedrigmaligne und hochmaligne. Diese Unterteilung basierte auf der Zellgröße. Die niedrigmalignen Lymphome bestanden aus zytischen (eher reifen) und einem kleineren Anteil von blastischen (sehr unreifen) Zellen, wohingegen hochmaligne Lymphome überwiegend aus blastischen Zellen bestanden.

Die Kiel-Klassifikation wurde zur verbindlichen Klassifikation für die malignen Lymphome in Deutschland und erfuhr weite Verbreitung in ganz Europa. Lennerts Schüler Lutz-Dietrich Leder hatte sie schon 1979 auseinandergenommen. Im Laufe der Jahre traten die Nachteile zutage:

  1. In der originalen Klassifikation von 1974 waren die „primär extranodalen Lymphome“, das heißt die Lymphome, die primär außerhalb von Lymphknoten entstehen (zum Beispiel die sogenannten MALT-Lymphome), nicht berücksichtigt,
  2. Die Einteilung in „zytische“ niedrigmaligne Lymphome und „blastische“ hochmaligne Lymphome korrelierte nicht immer mit dem klinischen Verlauf. So zeigte beispielsweise das zentrozytische Lymphom (das später sogenannte Mantelzelllymphom) häufig einen ungünstigen klinischen Verlauf, obwohl es durch die Kiel-Klassifikation als „niedrigmaligne“ klassifiziert wurde.
  3. Viele spezielle in den folgenden Jahren erst erkannte beziehungsweise entdeckte Lymphom-Erkrankungen waren in der originalen Kiel-Klassifikation noch nicht enthalten. 1988 erfolgte deswegen eine größere Überarbeitung der Kiel-Klassifikation.

Kiel-Klassifikation nach den Überarbeitungen 1988 und 1992: niedrigmaligne NHL

Niedrig-maligne B-NHL Niedrig-maligne T-NHL
Lymphozytisch: B-CLL, B-PLL, Haarzellleukämie Lymphozytisch: T-CLL, T-PLL
Lymphoplasmozytoides Lymphom (Morbus Waldenström) Kleinzellig zerebriforme Lymphome: Mycosis fungoides, Sézary-Syndrom
Zentroblastisch-zentrozytisches (cb-cc) Lymphom Angioimmunoblastisches Lymphom (AILD), Lymphogranulomatose X
Zentrozytisches Lymphom T-Zonenlymphom
pleomorph-kleinzelliges T-NHL

Kiel-Klassifikation nach den Überarbeitungen 1988 und 1992: hochmaligne NHL

Hoch-maligne B-NHL Hoch-maligne T-NHL
Zentroblastisches Lymphom Pleomorph mittel- und großzelliges T-NHL
Immunoblastisches B-NHL Immunoblastisches T-NHL
Burkitt-Lymphom
Großzellig anaplastisches B-NHL Anaplastisch-großzelliges Lymphom
Lymphoblastisches B-NHL Lymphoblastisches T-NHL

Die sogenannte Working formulation

1992 wurde in den USA eine Initiative ins Leben gerufen, die das Ziel hatte, die bisherigen unterschiedlichen Klassifikationsschemata zu vereinheitlichen. Die daraus resultierende Working Formulation of Non-Hodgkin’s Lymphoma for Clinical Usage, oder kurz Working Formulation (WF) wurde für die nächsten Jahre in den USA das verbindliche Klassifikationsschema für die NHL.

WHO-Klassifikation der malignen Lymphome

Die WHO-Klassifikation der NHL durch eine Expertengruppe der Weltgesundheitsorganisation ist die zurzeit modernste und weitgehend akzeptierte Klassifikation der NHL, so dass man sich möglichst auf sie beziehen sollte. Ältere Klassifikationschemata sind aber immer noch im Gebrauch. Die Klassifikation der NHL befindet sich aber weiter im Fluss. Auch die WHO-Klassifikation wird in der Zukunft noch Überarbeitungen erfahren, da immer neuere und detailliertere Erkenntnisse über die Biologie und Pathophysiologie der NHL gewonnen werden.

Die WHO-Klassifikation klassifiziert (wie auch schon die R.E.A.L.-Klassifikation) die NHL nach zytomorphologischen, immunologischen und genetischen Merkmalen.

Vorläufer-B-Zell-Lymphome

  • Vorläufer-B-lymphoblastisches Lymphom/Leukämie
Pathologisches Präparat eines B-Zell-Lymphoms

Reife-B-Zell-Lymphome

Vorläufer-T-Zell-Lymphome

  • Vorläufer-T-lymphoblastisches Lymphom/Leukämie

Reife-T-Zell-Lymphome

  • Mycosis fungoides/Sézary-Syndrom
  • Peripheres T-Zell-Lymphom
  • NK-Zell-Leukämie
  • Angioimmunoblastisches T-Zell-Lymphom
  • Anaplastisches großzelliges Lymphom, T-/Null-Zell-Typ

Siehe auch

Literatur

  • Kiel-Klassifikation
    • K. Lennert, A. Feller: Histopathology of Non-Hodgkin’s Lymphomas. 2. Auflage. Springer Verlag, New York 1992.
    • K. Lennert, N. Mohri, H. Stein, E. Kaiserling: The histopathology of malignant lymphoma. In: Br J Haematol. 1975a;31(Suppl), S. 193–203.
    • K. Lennert, H. Stein, E. Kaiserling: Cytological and functional criteria for the classification of malignant lymphomata. In: Br J Cancer. 1975b;31 (Suppl 2), S. 29–43. PMID 52366.
  • Rappaport-Klassifikation: H. Rappaport: Malignant lymphomas: nomenclature and classification. Tumors of the hematopoietic system. In: Armed Forces Institute of Pathology, Washington, DC. 1966; 6, S. 97–161.
  • Lukes & Collins-Klassifikation
    • R. J. Lukes, R. D. Collins: New approaches to the classification of the lymphomata. In: Br J Cancer., 1975 Mar;31 Suppl 2, S. 1–28. PMID 1101914, PMC 2149570 (freier Volltext).
    • R. J. Lukes, R. D. Collins: Immunologic characterization of human malignant lymphomas. In: Cancer. 1974 Oct;34 (4 Suppl):suppl, S. 1488–1503 PMID 4608683.
  • Working Formulation: The Non-Hodgkin’s Lymphoma Pathologic Classification Project. National Cancer Institute sponsored study of classification of non-Hodgkin’s lymphomas. Summary and description of a Working Formulation for clinical usage. In: Cancer, 1982, 49, S. 2112–2135. PMID 6896167.
  • R.E.A.L.-Klassifikation: N. L. Harris, E. S. Jaffe, H. Stein, P. M. Banks, J. K. Chan, M. L. Cleary, G. Delsol, C. De Wolf-Peeters, B. Falini, K. C. Gatter, T. M. Grogan, P. G. Isaacson, D. M. Knowles, D. Y. Mason, H-K. Müller-Hermelink, S. A. Pileri, M. A. Piris, E. Ralfkiaer, R. A. Warnke: A revised European-American classification of lymphoid neoplasms: a proposal from the International Lymphoma Study Group. In: Blood. 1994, 84(5), S. 1361–1392. PMID 8068936.
  • WHO-Klassifikation
    • E. Jaffe, N. L. Harris, H. Stein, J. W. Vardiman (Hrsg.): Pathology and Genetics of Tumours of Haemopoietic and Lymphoid Tissues. IARC Press, Lyon 2001
    • H. Stein: Die neue WHO-Klassifikation der malignen Lymphome. In: Der Pathologe, 2000, 21(2), S. 101–105.
Commons: Non-Hodgkin-Lymphom – Sammlung von Bildern, Videos und Audiodateien

Einzelnachweise

  1. Lennart Hardell, Mikael Eriksson: A case-control study of non-Hodgkin lymphoma and exposure to pesticides. In: Cancer. 85, 1999, S. 1353, doi:10.1002/(SICI)1097-0142(19990315)85:6<1353::AID-CNCR19>3.0.CO;2-1.
  2. a b Bundesumweltministeriums: BMU - 2004 - 639 Epidemiologische Fall-Kontrollstudie zur Ätiologie von Lymphomen - BMUV - Download. 1. Juni 2004, abgerufen am 17. November 2024.
  3. IARC; Monographs Volume 112, evaluation of five organophosphate insecticides and herbicides: iarc.fr (PDF).
  4. Heise-Telepolis: Krebs: Debatte um Glyphosat @1@2Vorlage:Toter Link/www.heise.deheise.de (Seite nicht mehr abrufbar. Suche in Webarchiven)
  5. Ministerium für außerordentliche Situationen der Republik Belarus, Nationale Akademie der Wissenschaften Belorusslands: Tschernobyl-Havarie: Folgen und ihre Überwindung, Nationaler Bericht 1998, (russisch).
  6. a b Robert Koch-Institut und Gesellschaft der epidemiologischen Krebsregister in Deutschland e. V. (Hrsg.): Krebs in Deutschland für 2015/2016. 12. Ausgabe. Korrigierte Fassung vom 17. August 2020. Berlin 2019, ISBN 978-3-89606-298-7, S. 126, Tabelle 3.29.1, doi:10.25646/5977.2 (krebsdaten.de [PDF; 7,0 MB; abgerufen am 24. September 2020]).
  7. Robert Koch-Institut und Gesellschaft der epidemiologischen Krebsregister in Deutschland e. V. (Hrsg.): Krebs in Deutschland für 2015/2016. 12. Ausgabe. Korrigierte Fassung vom 17.08.2020. Berlin 2019, ISBN 978-3-89606-298-7, S. 128, Tabelle 3.29.2, doi:10.25646/5977.2 (krebsdaten.de [PDF; 7,0 MB; abgerufen am 24. September 2020]).
  8. Robert Koch-Institut und Gesellschaft der epidemiologischen Krebsregister in Deutschland e. V. (Hrsg.): Krebs in Deutschland für 2015/2016. 12. Ausgabe. Korrigierte Fassung vom 17.08.2020. Berlin 2019, ISBN 978-3-89606-298-7, S. 127, Abbildung 3.29.2, doi:10.25646/5977.2 (krebsdaten.de [PDF; 7,0 MB; abgerufen am 24. September 2020]).
  9. International Non-Hodgkin’s Lymphoma Classification Study
  10. Gerd Herold: Innere Medizin. Köln 2007, S. 66.
  11. Nebenwirkungen und Spätfolgen bei Non-Hodgkin-Lymphomen. Archiviert vom Original (nicht mehr online verfügbar) am 19. August 2011; abgerufen am 30. April 2011.
  12. Ludwig-Maximilians-Universität München: Krebs und das „Chemobrain“ – Wenn die geistigen Fähigkeiten von Tumorpatienten leiden. Abgerufen am 30. April 2011.
  13. Therapie vom Non-Hodgkin-Lymphom | DKG. Abgerufen am 24. August 2020.