Novymonas esmeraldas
| Novymonas esmeraldas | ||||||||||||
|---|---|---|---|---|---|---|---|---|---|---|---|---|
Stoffwechsel-Austausch zwischen N. esmeraldas (links) und seinem Endosymbionten „Ca. P. novymonadis“ (rechts) | ||||||||||||
| Systematik | ||||||||||||
| ||||||||||||
| Wissenschaftlicher Name der Gattung | ||||||||||||
| Novymonas | ||||||||||||
| Kostygov & Yurchenko 2015[1] | ||||||||||||
| Wissenschaftlicher Name der Art | ||||||||||||
| Novymonas esmeraldas | ||||||||||||
| Votypka, Kostygov, Maslov & Lukes 2015[1] |
Novymonas esmeraldas ist eine Spezies (Art) von geißeltragender Protisten aus der Gruppe der Trypanosomatida innerhalb der Euglenozoa. Die Art ist ein obligater Parasit im Magen-Darm-Trakt von Glasflügelwanzen und ist seinerseits Wirt für symbiotische Bakterien, die als Mitglied der Burkholderiales-Gattung Pandoraea identifiziert wurden.[2] N. esmeraldas unterhält es eine strikt mutualistische Beziehung mit diesen Bakterien, deren Rolle der eines Zellorganells entspricht (Endosymbiont), sodass der Protist ohne die Bakterien kein eigenständiges Leben führen kann.[3] Seine Entdeckung im Jahr 2016 legt nahe, dass es ein gutes Modell für die Evolution von Prokaryoten zu Eukaryoten durch Symbiogenese ist (Modellorganismus).[4][5] Bislang ist N. esmeraldas der einzige Vertreter der (damit monotypischen) Gattung Novimons.
Entdeckung und Etymologie
Novymonas esmeraldas (anfangs provisorisch Trypanosomatidae sp. AK-2016a genannt[1]) wurde bei der Glasflügelwanze Niesthrea vincentii[6][7] aus Ecuador entdeckt. Die Wanze wurde im Juli 2008 in der Nähe von Atacames in der Provinz Esmeraldas gesammelt, auf die das Art-Epitheton des Protisten hinweist. Die Gattung selbst ist nach Frederick George Novy[8] benannt, einem amerikanischen Bakteriologen und Parasitologen, der Pionierarbeit bei der Erforschung von Insekten-Parasiten aus der Gruppe Trypanosomatida leistete[4] und 1907 den ersten bekannten Vertreter der Trypanosomatida beschrieb, der Symbionten beherbergt, und der später Strigomonas culicis[9] genannt wurde.[10][11]
Biologie
Beschreibung

Novymonas esmeraldas verbringt seinen Lebenszyklus im Darm (Hinterdarm) der Wanze Niesthrea vincentii. Dieser umfasst zwei morphologischen Formen, ein freischwimmender (motiler) Promastigot und eine festsitzende (sessile) Form von Choanomastigot.[12][13] Die Promastigoten sind länglich und messen etwa 10,9 bis 18,0 μm in der Länge und etwa 1,3 bis 4,8 μm in der Breite. Sie tragen vorne eine einzelne Geißel (Flagellum), die 7,8 bis 19,5 μm lang ist. Die Choanomastigoten sind eher kugelförmig, 4,5 bis 9,7 μm lang und 2,8 bis 6,4 μm breit. Das Flagellum ist länger und misst 8,6 bis 20,4 μm. Der Zellkern befindet sich in der Mitte, davor liegt der Kinetoplast. Der Kinetoplast hat die Anordnung einer kompakten Scheibe mit einem Durchmesser von 553 bis 938 nm und einen Querschnitt von 114 bis 213 nm aufweist.[4]
Endosymbiont
Der Endosymbiont ist ein als Candidatus Pandoraea novymonadis (vorläufige Bezeichnung Pandoraea sp. E262-ES) klassifiziertes Bakterium. Es gehört zur Familie der Burkholderiaceae unter den gramnegativen stäbchenförmigen β-Proteobakterien.[14][15][16] Anders als bei anderen symbiontischen Trypanosomatida wie Strigomonas culicis,[17][18] Kentomonas sorsogonicus[19][20] und Angomonas deanei ist die Teilung des Endosymbionten nicht mit dem Wirt synchronisiert. Die Zellen von N. esmeraldas können eine unterschiedliche Anzahl von endosymbiotischen Bakterienzellen tragen, und einige haben überhaupt keine, weil sie aus einer Abstammungslinie hervorgegangen sind, in der irgendwann bei einer Teilung die Endosymbionten verloren gingen (und nicht beide Tochterzellen mit diesen versorgt wurden). Dies deutet darauf hin, dass die Symbiose bei dieser Spezies jüngeren Datums ist als bei den anderen Endosymbionten tragenden Trypanosomatida und daher noch nicht so weit fortgeschritten. Allerdings hat auch „Ca. P. novymonadis“ im Vergleich zu seinen freilebenden Verwandten bereits ein stark reduziertes Genom mit weniger Genen und einen geringeren GC-Gehalt.[2][3]
Stoffwechsel


Phylogenie


Bildergalerie
-

-
![Lebende Zellen von N. esmeraldas, WT: Wildtyp, mCherry: Zellen, die mCherry exprimieren[21][22]](./Mbio.01606-21-sf008.jpg)
-
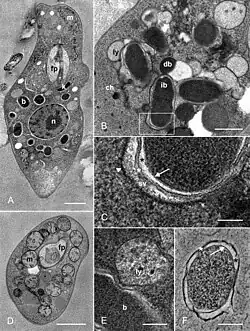
TEM-Aufnahmen von N. esmeraldas und „Ca. P. novymonadis“
Einzelnachweise
- ↑ a b c
NCBI: Novymonas, Details: Novymonas Kostygov & Yurchenko 2015 (genus).
- Novymonas esmeraldas Votypka, Kostygov, Maslov & Lukes 2015 (species); includes: Trypanosomatidae sp. AK-2016a.
- ↑ a b Alexei Y. Kostygov, Anzhelika Butenko, Anna Nenarokova, Daria Tashyreva, Pavel Flegontov, Julius Lukeš, Vyacheslav Yurchenko: Genome of Ca. Pandoraea novymonadis, an Endosymbiotic Bacterium of the Trypanosomatid Novymonas esmeraldas. In: Frontiers in Microbiology, Band 8, 4. Oktober 2017, S. 1940; doi:10.3389/fmicb.2017.01940, PMC 5632650 (freier Volltext), PMID 29046673 (englisch).
- ↑ a b Jane Harmer, Vyacheslav Yurchenko, Anna Nenarokova, Julius Lukeš, Michael L. Ginger: Farming, slaving and enslavement: histories of endosymbioses during kinetoplastid evolution. In: Cambridge University Press: Parasitology, Band 145, Nr. 10, S. 1311–1323, September 2018; doi:10.1017/S0031182018000781, PMID 29895336, Epub 13. Juni 2018 (englisch). Siehe u. a. Fig. 2.
- ↑ a b c Alexei Y. Kostygov, Eva Dobáková, Anastasiia Grybchuk-Ieremenko, Dalibor Váhala, Dmitri A. Maslov, Jan Votýpka, Julius Lukeš, Vyacheslav Yurchenko: Novel Trypanosomatid-Bacterium Association: Evolution of Endosymbiosis in Action. In: mBio. 7. Jahrgang, Nr. 2, 15. März 2016, S. e01985, doi:10.1128/mBio.01985-15, PMID 26980834, PMC 4807368 (freier Volltext) – (englisch).
- ↑ Alexandra Zakharova, Andreu Saura, Anzhelika Butenko, Lucie Podešvová, Sandra Warmusová, Alexei Yu. Kostygov, Anna Nenarokova, Julius Lukeš, Fred R. Opperdoes, Vyacheslav Yurchenko: A New Model Trypanosomatid, Novymonas esmeraldas: Genomic Perception of Its “Candidatus Pandoraea novymonadis” Endosymbiont. In: mBio, 17. August 2021; doi:10.1128/mbio.01606-21
- ↑ Wikidata: Niesthrea (Q10600637)
- ↑ NCBI: Niesthrea, Details: Niesthrea (genus).
- ↑ Wikidata: Frederick George Novy (Q15999010).
- ↑ Wikidata: Strigomonas culicis (Q56324252).
- ↑ Frederick G. Novy, Ward J. MacNeal, Harry N. Torrey: The Trypanosomes of Mosquitoes and Other Insects. In: Journal of Infectious Diseases. 4. Jahrgang, Nr. 2, 10. April 1907, S. 223–276, doi:10.1093/infdis/4.2.223, JSTOR:30072673 (englisch).
- ↑ Marta M. G. Teixeira, Tarcilla C. Borghesan, Robson C. Ferreira, Marcia A. Santos, Carmen S. A. Takata, Marta Campaner, Vania L. B. Nunes, Regina V. Milder, Wanderley de Souza, Erney P. Camargo: Phylogenetic validation of the genera Angomonas and Strigomonas of trypanosomatids harboring bacterial endosymbionts with the description of new species of trypanosomatids and of proteobacterial symbionts. In: Protist, Band 162, Nr. 3, Juli 2011, S. 503–524; doi:10.1016/j.protis.2011.01.001, PMID 21420905 (englisch).
- ↑ a b Werner Lange, Frank Antwerpes et al.: Choanomastigot. Auf: DocCheck Flexikon (doccheck.com).
- ↑ Wiktionary: wikt:en:choanomastigote (englisch).
- ↑ LPSN: Species "Candidatus Pandoraea novymonadis" Kostygov et al. 2016.
- ↑ NCBI: "Candidatus Pandoraea novymonadis" Kostygov et al. 2016 (species); includes: Pandoraea sp. E262-ES.
- ↑ GTDB: Pandoraea novymonadis. Details: GCF_003004665.1 Pandoraea novymonadis, strain: E262
- ↑ Wikidata: Strigomonas (Q25412469).
- ↑
NCBI Taxonomy Browser: Strigomonas, Details: Strigomonas Lwoff & Lwoff 1931 (genus). Dazu:
- Strigomonas culicis (Wallace & Johnson, 1961) Teixeira & Camargo 2011 (species); homotypic synonym: Herpetomonas culicis Novy et al. 1907; Blastocrithidia culicis Wallace & Johnson 1961.
- ↑ Wikidata: Kentomonas (Q106446391).
- ↑ NCBI Taxonomy Browser: Kentomonas, Details: Kentomonas Votypka, Yurchenko, Kostygov et Lukes, 2014 (genus).
- ↑ Wikidata: mCherry (Q412287).
- ↑ mCherry. Fluorescent Protein Database (FPbase).
