Omarthrose
| Klassifikation nach ICD-10 | |
|---|---|
| M19.91 | Arthrose, nicht näher bezeichnet: Schulterregion |
| ICD-10 online (WHO-Version 2019) | |
Als Omarthrose (aus gr. ὦμος (omos) 'Schulter' und Arthrose) wird ein Gelenksverschleiß im Schultergelenk bezeichnet. Bei dieser Arthroseart kommt es zu einem Abrieb von Knorpel im Oberarmkopf und/oder der Schultergelenkspfanne.
Ursachen
- primäre Omarthrose ohne erkennbare Ursache als Altersverschleiß des Gelenkes
- sekundäre Omarthrose
- bei stattgehabten Knochenbrüchen unter Mitbeteiligung des Schultergelenks
- als Folge einer Oberarmkopfnekrose.[1]
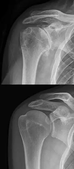
Röntgenzeichen

Im Röntgenbild zeigt sich eine Verformung des Oberarmkopfes im Sinne von spornartigen Ausziehungen (Osteophyten). Durch die Minderung der Dicke des Gelenkknorpels verschmälert sich der sichtbare Gelenkspalt. Nach oben, zum Akromion hin, findet sich häufig ebenfalls eine Verschmälerung als Zeichen des Verschleißes der Rotatorenmanschette.[2] Dies ist aber eine eigene krankhafte Veränderung, die auch ohne Omarthrose auftreten kann.
Folgen
Als Folge der Arthrose kann es zu
- einer Bewegungseinschränkung im Gelenk
- bewegungsabhängigen Schmerzen im Gelenk
- entzündlichen Aktivierung des Gelenkes
kommen.
Differentialdiagnose
Schmerzen und Beweglichkeitseinschränkungen der Schulter treten auch bei der Sehnenverkalkung auf (im Bereich der Rotatorenmanschette, „Kalkschulter“), weitere Alternativen sind unter Frozen Shoulder zu finden.
Behandlung
- medikamentöse Maßnahmen, z. B. Hyaluronsäure
- Schmerzbehandlung
- physikalische Maßnahmen
- Kühlung des Gelenks bei entzündlicher Aktivierung
- Schmerzbestrahlung mit einer niedrigen Dosis Röntgenstrahlen
Wichtig ist vor allem das Erhalten der Beweglichkeit. Die Unbeweglichkeit resultiert häufig aus einer ungünstigen Körperhaltung: gerundetem Rücken, vorgezogenen Schultern, eine Dysbalance der vorderen und rückwärtigen Muskulatur. Es gibt eine Vielzahl von Übungen mit leichten Widerständen, die geeignet sind, den Körper aufzurichten und meist auch die Symptome zu verbessern. Häufig ist die Außenrotatorenmanschette muskulär nicht genug ausgebildet, Übungen zur Außenrotation mit Ein-Kilogramm-Hantel, Theraband oder ähnlichen Geräten helfen auf Dauer, die Beweglichkeit der Schulter zu verbessern und auch den Schmerz zu lindern.
operative Maßnahmen[3]
- arthroskopischer Eingriff: Gelenktoilette
- Cup-Prothese
- künstliches Schultergelenk[4]
Literatur
- J. Kircher: Die Omarthrose: Einteilung, Morphologie und Diagnostik. Osteoarthritis of the shoulder: classification, morphology and diagnostics. In: Obere Extremität. 2012; 7(2), S. 91.
Weblinks
- Arthrose der Schulter - die Omarthrose auf schulterinfo.de ( vom 9. Februar 2014 im Internet Archive)
Einzelnachweise
- ↑ J. Skarvan, N. Schaller, T. Scheller: Primäre versus sekundäre Omarthrose - Diagnostik und Therapie. Bei der Omarthrose handelt es sich - analog zur sogenannten Periarthritis humeroscapularis - um kein homogenes Krankheitsbild. Anamnese, Klinik und radiologische Darstellung von primären und sekundären Omarthroseformen gestalten sich sehr unterschiedlich. In: Schweizerisches Medizin-Forum. 2013; 13(16), S. 309.
- ↑ C. Adler: Knochenkrankheiten... Springer, 1983, ISBN 3-540-62836-3, S. 424.
- ↑ M. Löw: Operative Techniken. Omarthrose. In: Zeitschrift für Orthopädie und Unfallchirurgie. 2008; 146(4), S. 555.
- ↑ M. Pfahler: Glenoidersatz bei Omarthrose : Indikation, Technik, Ergebnisse und neue Entwicklungen. In: Der Orthopäde. 2013; 42(7), S. 516.