Neuritis nervi optici

Klassifikation nach ICD-11
ICD11 9C40.1
ICD10 H46
IHS 2004 13.13
ICON MS-ON
ICON MOG-ON
ICON AQP4-ON
ICON CRMP5-ON
ICON SION
ICON RION
ICON CRION
ICD-11: EnglischDeutsch (Entwurf)
Fundus bei einer rechtseitigen Neuritis nervi optici in einer 34-jährigen Frau

Die Neuritis nervi optici (lateinisch für Nervenentzündung des Sehnervs), auch Retrobulbärneuritis, ist eine entzündliche oder autoimmune Erkrankung des Sehnervs, d. h. des zweiten Hirnnervs. Sie ist von der erblichen, der ernährungsbedingten und nicht-entzündlichen Optikusatrophie zu unterscheiden[1].

Der Sehnerv beginnt in der Netzhaut des Auges und geht hinter der Sehnervenkreuzung in den Tractus opticus über. Er übermittelt die optische Information der Retina in die Sehzentren des Großhirns (primärer visueller Cortex). Gegenüber peripheren Nerven – auch Hirnnerven – zeichnet er sich dadurch aus, dass sein Myelin nicht von Schwannschen Zellen, sondern von Oligodendroglia gebildet wird. Das heißt, seine Axone verhalten sich so wie Axone des zentralen Nervensystems. Er kann daher bei jedweden Entzündungen des zentralen Nervensystems miterkranken. So ist die Sehnervenentzündung häufig ein Frühsymptom der Multiplen Sklerose.

Symptome

Das Kardinalsymptom ist der Verfall der Sehschärfe (Visusverlust), vermindertes Farbensehen, und ein zentrales Skotom kann auftreten. Im Extremfall kann es bis zum völligen Erblinden des Auges kommen. Kopfschmerzen im Bereich der Augenhöhle, die bei Blickwendung und Druck auf die Augäpfel zunehmen, sind typisch. Je nach Ursache können nur ein Auge oder beide betroffen sein.

Ursachen und Pathophysiologie

Das Spektrum der verursachenden Ätiologien ist sehr groß[1]. Häufig sind Entmarkungskrankheiten wie die Multiple Sklerose, Neuromyelitis Optica (NMO) oder Myelin-Oligodendrozyten-Glykoprotein (MOG) Antibody associated Disease (MOGAD) die Ursache der Neuritis nervi optici.

Generalisierte Infektionskrankheiten wie Lyme, Herpes, Diphtherie, Typhus, Fleckfieber, Grippe, aber auch viele andere sowie erregerbedingte Erkrankungen des Zentralnervensystems (z. B. Meningitis, Hirnabszess) sind ebenso möglich. Auch einige metabolische und internistische Erkrankungen (Sarkoidose) kommen als Auslöser in Frage.[1] Bei der MOGAD ist die Entzündung des Orbitagewebes häufiger als bei der Multiplen Sklerose. Schließlich gibt es auch seltene Erbkrankheiten, die von der Sehnerventzündung unterschieden werden müssen. Die Neuritis nervi optici ist ein obligatorischer Bestandteil der Neuromyelitis optica.

Untersuchungsmethoden

Augenärztliche Untersuchungen sind häufig ohne pathologischen Befund, der Augenhintergrund erscheint bei der Ophthalmoskopie unauffällig („der (Augen-)Arzt sieht nichts und der Patient sieht nichts“). Nur wenn die Entzündungsherde nahe am Auge liegen, kommt es zu einer Papillenschwellung, die aber auch bei ganz anderen Erkrankungen (Hirndruck) auftreten kann. In der Spätphase nach Abheilen der akuten Entzündung kann eine auffällige Blässe meist im temporalen (schläfenseitigen) Teil der Papille verbleiben. Die Diagnose einer demyelinisierenden Erkrankung des Sehnervs lässt sich am besten mit Hilfe der Optical Coherence Tomography (OCT), spezifischer Antikörper im Blut und einer kontrastmittelunterstützten Magnetresonanztomographie (MRT), welche die Orbita beinhaltet, stellen und es zeigen sich meist verminderte Nervenleitgeschwindigkeiten bei der Untersuchung der visuell evozierten Potentiale.[1]

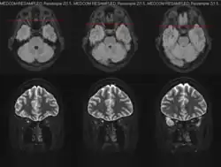
MRT bei einer rechtseitigen Neuritis nervi optici

Verlauf und Prognose

Die Wahl der Therapie und vor allem die Ursache bestimmen die Prognose. Oft kommt es schon spontan im Verlauf von mehreren Wochen bis einigen Monaten zur Verbesserung, teilweise auch zur völligen Erholung des Sehvermögens. Es ist wichtig die monophasische Neuritis nervi optici von den rezidivierended Formen zu unterscheiden.[1] Die Behandlung der rezidivierenden Formen ist wichtig, um das Risiko weiteren Visusverlustes zu vermindern.

Therapie

Grundsätzlich muss die erkannte Grundkrankheit behandelt werden. Etwa zwei Drittel der Sehnervenentzündungen in Deutschland sind durch Multiple Sklerose bedingt. In diesen Fällen ist die entsprechende Therapie zur Durchbrechung des entzündlichen Schubes indiziert. Bakterielle Infektionskrankheiten werden mit liquorgängigen Antibiotika behandelt. Häufig wird eine entzündungshemmende Therapie mit Kortikosteroiden versucht.

Literatur

  • Albert J. Augustin: Augenheilkunde. 3., komplett überarbeitete und erweiterte Auflage. Springer, Berlin u. a. 2007, ISBN 978-3-540-30454-8.
  • Franz Grehn: Augenheilkunde. 30., überarbeitete und aktualisierte Auflage. Springer, Heidelberg 2008, ISBN 978-3-540-75264-6.
  • Rudolf Sachsenweger (Hrsg.): Neuroophthalmologie. 3., überarbeitete Auflage. Thieme, Stuttgart u. a. 1983, ISBN 3-13-531003-5.

Einzelnachweise

  1. a b c d e Axel Petzold, Clare L. Fraser, Mathias Abegg, Raed Alroughani, Daniah Alshowaeir: Diagnosis and classification of optic neuritis. In: The Lancet Neurology. Band 21, Nr. 12, 27. September 2022, ISSN 1474-4422, doi:10.1016/S1474-4422(22)00200-9 (thelancet.com).