Orbitabodenfraktur
| Klassifikation nach ICD-10 | |
|---|---|
| S02.3 | Fraktur des Orbitabodens |
| H50.6 | Mechanisch bedingter Strabismus – Strabismus durch traumatische Ursache |
| ICD-10 online (WHO-Version 2019) | |

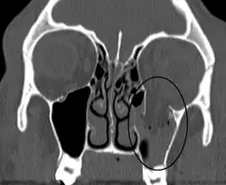
Als Orbitabodenfraktur (Synonyme: Blow-out-Fraktur und Überdruckfraktur) bezeichnet man den (Durch-)Bruch des Augenhöhlenbodens zur Kieferhöhle hin, meist verursacht durch stumpfe Kontusion (z. B. nach Faustschlag oder Tennisballverletzung) und in der Regel verbunden mit der Wahrnehmung von Doppelbildern und deutlichen Störungen der Augenbeweglichkeit. Insbesondere die passive Beweglichkeit ist hierbei eingeschränkt, da Muskel-, Binde- und Haltegewebe häufig in der entstandenen Bruchspalte eingeklemmt sind, oder aber Muskelhämatome für die Bewegungsstörungen verantwortlich sind. Weitere Symptome können ein Anstieg des Augeninnendrucks bei Blick in Richtung der Bewegungseinschränkung sein, ebenso Sensibilitätsstörungen im Bereich der Wangen und Oberlippe, Enophthalmus und Monokelhämatome.
Differenzialdiagnostisch sind die mechanischen Einschränkungen von neurogen bedingten abzugrenzen. Zur Unterscheidung tatsächlicher Augenmuskellähmungen von mechanisch bedingten Bewegungseinschränkungen (Pseudoparesen) verwendet man den so genannten Traktionstest (auch: Pinzettenzugtest), ein Verfahren zur Prüfung der passiven Beweglichkeit des Auges.
Behandlung
Bei reinen Überdruckfrakturen wird eine operative Behandlung mit Rekonstruktionen der Augenhöhle kontrovers diskutiert, da Nutzen und Erfolg umstritten sind. Häufig werden auch spontane Besserungen beobachtet, die vor allem in den ersten vier Wochen nach dem Unfall eintreten können. Aus diesem Grund sollte eine Behandlung und mögliche chirurgische Intervention zuvor genauestens mit allen beteiligten Ärzten (Hals-Nasen-Ohrenarzt, Kieferchirurg, Mund-, Kiefer-, Gesichtschirurg, Augenarzt, Radiologe) erörtert werden. In der Regel wird die Entscheidung zum operativen Vorgehen anhand funktioneller und ästhetischer Einschränkungen (Enophthalmus, Doppelbilder, Einschränkung der Augenbeweglichkeit usw.) getroffen.[1] Eine Unterstützung zur Befunderhebung mittels dreidimensionaler Bildgebung ist heutzutage Standard[2], zunehmend auch die computerassistierte Rekonstruktion.[3]
Siehe auch
Weblinks
Literatur
- Herbert Kaufmann: Strabismus. 5. vollständig überarbeitete Auflage mit Heimo Steffen. Georg Thieme Verlag 2020, ISBN 978-3-13-241330-6.
Einzelnachweise
- ↑ Heinz-Theo Lübbers: Die Navigation als Hilfe bei der Versorgung von Orbitawandfrakturen tierexperimentelle Untersuchung am Schwarzkopfschaf. ISBN 978-3-638-82063-9.
- ↑ DIGITALE VOLUMENTOMOGRAFIE. SPRINGER, [Place of publication not identified] 2019, ISBN 978-3-662-57405-8.
- ↑ Heinz-Theo Lübbers: Die Navigation in der Mund-, Kiefer- und Gesichtschirurgie : experimentelle Untersuchung zur Präzision von Referenzierundmethoden. 1. Auflage. Grin.-Verl, München 2007, ISBN 978-3-638-89053-3.