Os tibiale externum
| Klassifikation nach ICD-10 | |
|---|---|
| M92.6 | Juvenile Osteochondrose des Tarsus |
| ICD-10 online (WHO-Version 2019) | |



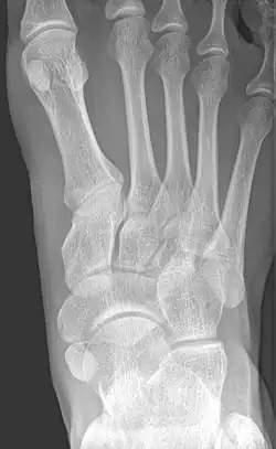
Beim Os tibiale externum (synonym: Os naviculare externum, Os naviculare secundarium, Os naviculare accessorium, Os naviculare bipartitum; englisch accessory tarsal navicular, accessory tarsal scaphoid) handelt es sich um eine häufige (10–16 %) Variation am Kahnbein des Fußes (Os naviculare). In über der Hälfte der Fälle tritt es beidseitig auf.
Klinik
Es ist eine harte Auftreibung im Sinne eines Überbeins an der inneren Fußwurzel, etwa einen Fingerbreit unter und vor der Innenknöchelspitze, also am Kahnbein, tastbar. Gelegentlich tritt ein Belastungs- und Druckschmerz auf, insbesondere, wenn diese Fehlbildung zusammen mit einem Plattfuß auftritt. Die Diagnose wird mit einem Röntgenbild gesichert.
Varianten
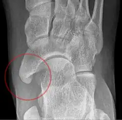
Es sind drei Formen des Os tibiale externum zu differenzieren:
- Typ 1: Das Os tibiale externum im engeren Sinne ist ein 2–3 mm großes, rundliches Sesambein im Ansatzbereich der Sehne des Musculus tibialis posterior. Es bildet keinen Knorpel zum Kahnbein.
- Typ 2: Das Os tibiale externum ist dreieckförmig und bis zu 9 mm groß. Dieses hat eine Knorpelverbindung zum Kahnbein. Dieser Typ ist mit über 50 % der häufigste. Es handelt sich um eine unterbliebene Verschmelzung der Knochenkerne, aus denen sich das Kahnbein in der frühen Jugend bildet.
- Typ 3: Hier ist das Kahnbein anlagemäßig weit ausladend nach innen ausgebildet (Os naviculare cornutum, englisch cornuate navicular). Hier ist im Gegensatz zu den ersten beiden Formen kein Spalt auszumachen.
Therapie
Meist ist das Os tibiale externum asymptomatisch, macht also keine Beschwerden. Eine Behandlung ist dann nicht erforderlich. Ansonsten wird mit maßgefertigten Einlagen mit Weichpolsterung an der Auftreibung therapiert. Nur in extremen Ausnahmefällen, bei Versagen konservativer Therapie und starkem Leidensdruck, ist eine Operation zu erwägen.
Literatur
- Carl Joachim Wirth: Praxis der Orthopädie. Georg Thieme Verlag, Stuttgart / New York 2001, ISBN 3-13-125683-4.
- Joachim Brossmann, Christian Czerny, Jürgen Freyschmidt: Grenzen des Normalen und Anfänge des Pathologischen in der Radiologie des kindlichen und erwachsenen Skeletts. 13. Auflage. Georg Thieme Verlag, Stuttgart / New York 2001, ISBN 3-13-362214-5.