Ovarialvenenthrombose

Klassifikation nach ICD-10
I82.88 Thrombose sonstige Venen
{{{02-BEZEICHNUNG}}}
{{{03-BEZEICHNUNG}}}
{{{04-BEZEICHNUNG}}}
{{{05-BEZEICHNUNG}}}
{{{06-BEZEICHNUNG}}}
{{{07-BEZEICHNUNG}}}
{{{08-BEZEICHNUNG}}}
{{{09-BEZEICHNUNG}}}
{{{10-BEZEICHNUNG}}}
{{{11-BEZEICHNUNG}}}
{{{12-BEZEICHNUNG}}}
{{{13-BEZEICHNUNG}}}
{{{14-BEZEICHNUNG}}}
{{{15-BEZEICHNUNG}}}
{{{16-BEZEICHNUNG}}}
{{{17-BEZEICHNUNG}}}
{{{18-BEZEICHNUNG}}}
{{{19-BEZEICHNUNG}}}
{{{20-BEZEICHNUNG}}}
Vorlage:Infobox ICD/Wartung {{{21BEZEICHNUNG}}}
ICD-10 online (WHO-Version 2019)
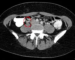
Ovarialvenenthrombose in der Computertomographie: Man erkennt einen umspülten, im Vergleich zum kontrastierten Blut etwas dunkleren Thrombus in der rechten Ovarialvene (im Bild links).

Einen vollständigen oder unvollständigen Verschluss (Thrombose) der Ovarialvene, die der Blutversorgung der Eierstöcke dient, bezeichnet man als Ovarialvenenthrombose.

Durch die mangelnde Blutversorgung entsteht starker, kolikartiger Schmerz im Bereich des betroffenen Eierstocks (einseitig meist rechts) ähnlich wie bei einer Appendizitis. Unter Umständen besteht hohes Fieber, jedoch nicht zwingend. Bei septischem Verlauf ist das Krankheitsbild lebensbedrohlich.

Die Erkrankung tritt meist zwei bis sechs Tage postpartal auf. Entscheidend für die Diagnose sind bildgebende Verfahren (CT) sowie Laboruntersuchungen (Leukozyten und CRP).

Die Behandlung besteht aus intravenöser gerinnungshemmender Therapie mit Heparin sowie der Gabe von Antibiotika.

Literatur

  • Jörg Baltzer: Praxis der Gynäkologie und Geburtshilfe. Georg Thieme, Stuttgart 2004, ISBN 978-3-13-129151-6, S. 326.
Commons: Ovarialvenenthrombose – Sammlung von Bildern, Videos und Audiodateien