Persistierender Ductus arteriosus
| Klassifikation nach ICD-10 | |
|---|---|
| Q25.0 | Persistierender Ductus arteriosus Botalli |
| ICD-10 online (WHO-Version 2019) | |
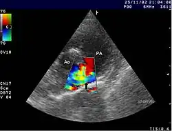
Ein persistierender oder offener Ductus arteriosus Botalli (Ductus arteriosus persistens, persistierender Ductus arteriosus, PDA) liegt vor, wenn sich der Ductus arteriosus, der im fetalen (vorgeburtlichen) Blutkreislauf eine Verbindung zwischen Aorta (der Hauptschlagader) und Truncus pulmonalis (Lungenarterie) herstellt, drei Monate nach der Geburt noch nicht verschlossen hat. Er schließt sich normalerweise in den ersten Lebenstagen. Der persistierende Ductus arteriosus zählt zu den angeborenen Herzfehlern.
Symptomatik

Ein kleiner PDA verursacht keinerlei Symptome und fällt im Rahmen der Vorsorgeuntersuchungen nur durch ein Geräusch (Maschinengeräusch) auf. Ein größerer PDA bedeutet einen Links-rechts-Shunt, bei dem Blut aus dem arteriellen Körperkreislauf direkt wieder in den Lungenkreislauf gelangt. Dadurch kann es zu Zeichen einer Herzinsuffizienz und einer vermehrten Infektanfälligkeit der Kinder kommen, gelegentlich auch als Diastolisches Aortenanzapfsyndrom bezeichnet. Da ein größerer PDA auch ein höheres Risiko einer Endokarditis birgt, wird ein größerer PDA in der Regel verschlossen. In Verbindung mit verschiedenen komplexen angeborenen Herzfehlern wird ein Ductus arteriosus hingegen durch die Gabe von Prostaglandinen künstlich offengehalten, um das Überleben der Kinder sicherzustellen.
Bei der Auskultation ist das beim offenen Ductus arteriosus am lautesten über dem zweiten Zwischenrippenraum links vom Brustbeinrand hörbare „kontinuierliche Geräusch“ typisch; bei der Palpation ein Schwirren über der Herzbasis fühlbar.[1]
Therapie

Medikamentös
Verzögert sich der natürliche Verschluss, kann dieser mittels prostaglandinsynthesehemmender Medikamente unterstützt werden, sodass in vielen Fällen nachgeburtlich eine normale Kreislaufsituation erreicht wird. Zugelassen für diese Indikation ist z. B. der Wirkstoff Ibuprofen. Daneben wird auch Indometacin im Off-Label-Use eingesetzt.[2]
Bei Tieren ist die medikamentöse Behandlung meist nicht möglich, da der Defekt einerseits erst sehr spät entdeckt wird und andererseits häufig eine andere Form der Missbildung als beim Menschen vorliegt, der PDA also nicht bzw. nicht mehr auf das Medikament reagiert.
Operativ
Kann der Verschluss nicht konventionell erreicht werden, wird eine invasive, operative Maßnahme nötig. Von J. C. Munro wurde 1907[3] vorgeschlagen, den offenen Ductus arteriosus zu unterbinden. Von 1938 (Robert Edward Gross und der Kinderarzt J. P. Hubbard)[4] bis 2005 geschah dies erfolgreich mithilfe eines herzchirurgischen Eingriffs. Der Schnitt wurde an der linken Brustkorbseite zwischen den Rippen geführt, der PDA je nach seiner Form und Länge durch ein oder zwei Bändchen abgeschnürt und, nachdem dies A. S. W. Touroff Ende der 1930er Jahre gelungen[5] war, oft zwischen diesen Abschnürungen durchgeschnitten.
Heute wird der PDA bei größeren Säuglingen in der Regel über einen Herzkatheter mit einem oder mehreren Coils oder einem Schirmchensystem verschlossen. Dafür stehen verschiedene Fabrikate zur Verfügung, die je nach Form und Länge des PDA ausgewählt werden. Ein großer PDA bei sehr jungen Säuglingen wird weiterhin chirurgisch verschlossen. Nach dem Verschluss eines PDA (wenn dieser als alleinige Fehlbildung vorkommt) ist das Kind ganz gesund. Es braucht keine Endokarditisprophylaxe mehr und auf Dauer sind auch keine Kontrolluntersuchungen mehr zu erwarten.
Bei Hund und Katze besteht in einigen Zentren die Möglichkeit, den PDA in gleicher Weise mittels Herzkatheter zu verschließen. Andernfalls ist auch der Verschluss während einer Brustkorboperation möglich.
Literatur
- Douglas J. Schneider und John W. Moore: Patent Ductus Arteriosus. In: Circulation. Band 114, Nr. 17, 2006, S. 1873–1882, doi:10.1161/CIRCULATIONAHA.105.592063, PMID 17060397 (ahajournals.org).
- Leitlinie: Persistierender Ductus arteriosus (PDF, Stand: 30. April 2015)
Einzelnachweise
- ↑ Klaus Holldack, Klaus Gahl: Auskultation und Perkussion. Inspektion und Palpation. Thieme, Stuttgart 1955; 10., neubearbeitete Auflage ebenda 1986, ISBN 3-13-352410-0, S. 181–184 und 196 f.
- ↑ Leitlinien Gesellschaft für Neonatologie und pädiatrische Intensivmedizin (PDF), aufgerufen am 21. Juli 2012.
- ↑ J. Munro: Ligation of Ductus Arteriosus. Vortrag Academy of Sur., Philadelphia. Mai 1907.
- ↑ Susanne Hahn: Kinderkardiologie. In: Werner E. Gerabek, Bernhard D. Haage, Gundolf Keil, Wolfgang Wegner (Hrsg.): Enzyklopädie Medizingeschichte. Walter de Gruyter, Berlin und New York 2005, ISBN 3-11-015714-4, S. 749 f.; hier: S. 749.
- ↑ Friedrich Wilhelm Hehrlein: Herz und große Gefäße. In: Franz X. Sailer, F. W. Gierhake (Hrsg.): Chirurgie historisch gesehen: Anfang – Entwicklung – Differenzierung. Dustri-Verlag, Deisenhofen bei München 1973, ISBN 3-87185-021-7, S. 164–185, hier: S. 172 f.