Piroplasmen
| Piroplasmen | ||||||||||||
|---|---|---|---|---|---|---|---|---|---|---|---|---|
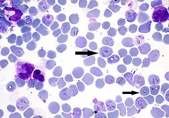
Babesia canis in den roten Blutkörperchen eines Hundes | ||||||||||||
| Systematik | ||||||||||||
| ||||||||||||
| Wissenschaftlicher Name | ||||||||||||
| Piroplasmorida | ||||||||||||
| Wenyon, 1926 |
Piroplasmen (Piroplasmorida, Syn. Piroplasmida, von lat. pirum ‚Birne‘) sind eine Ordnung einzelliger Parasiten der roten Blutkörperchen und weißen Blutkörperchen bei Säugetieren und Vögeln, die von Zecken übertragen werden. Sie gehören zur Gruppe der Aconoidasida.
Die sexuelle Vermehrung (Gamogonie) der Piroplasmen findet im Magen der Zecke (vor allem Schildzecken, eine Art auch in Lederzecken) statt. Auch die Sporogonie erfolgt in der Zecke, die Sporozoiten entstehen in deren Speicheldrüsen. Die Übertragung auf Wirbeltiere erfolgt durch Zeckenstich. Im Blut der Säugetiere und Vögel treten Meronten, Merozoiten und Gamonten auf. Die Parasiten kommen direkt im Cytoplasma der Wirtszelle vor (ohne parasitische Vakuole) und verursachen bei der asexuellen Vermehrung einen Zerfall der Blutkörperchen. Die durch Piroplasmen verursachten Erkrankungen werden als Piroplasmosen bezeichnet.
In der klassischen Systematik werden die Piroplasmen in zwei Familien untergliedert: Babesiidae und Theileridae. Jüngere molekulargenetische Untersuchungen schlagen eine Untergliederung in acht Gruppen vor.
Literatur
- Dwight D. Bowman: Georgis' Parasitology for Veterinarians. Elsevier Health Sciences, 10. Auflage, 2014, ISBN 9781455739882, S. 110.
- Georg von Samson-Himmelstjerna, Horst Zahner, Johannes Eckert, Peter Deplazes: Lehrbuch der Parasitologie für die Tiermedizin. Georg Thieme, 2012, 3. Auflage, ISBN 9783830412052, S. 114.
