Pneumoenzephalographie

Die Pneumoenzephalographie oder Pneumoenzephalografie, auch Pneumoencephalografie, deutsch auch Luftenzephalographie (oder Luftenzephalografie), ist eine kontrastverstärkende Methode, oberflächliche Strukturen des Gehirns in konventionellen Röntgenaufnahmen als Pneumoenzephalogramm darzustellen. Sie wurde 1918/1919 vom amerikanischen Neurochirurgen Walter Edward Dandy eingeführt.[1][2][3] Diese Methodik galt damals als Meilenstein der Diagnostik, doch sie ist heute obsolet.
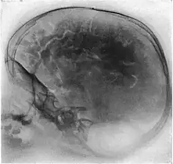
Methodik
Bei einer Pneumoencephalografie wird der Liquor cerebrospinalis über einen lumbalen (siehe: Lumbalpunktion) oder subokzipitalen Zugang abgesogen und in gleichem Maße Luft eingeleitet. Durch Lagerung des Patienten kann nun erreicht werden, dass sich die Hirnwindungen gegen die Luft sehr deutlich abzeichnen. So konnten in vivo bei geschlossener Schädeldecke erstmals die Hirnwindungen radiografisch dargestellt werden und so bei neuralen Auffälligkeiten der Verdacht auf Tumore, Schwellungen oder Malformationen abgeklärt werden. Auch konnten so abgekapselte Hämatome (subdural wie epidural) sichtbar gemacht werden.
Komplikationen
Durch die Punktion des Liquorraumes können Hämatome entstehen, sowie vernichtende Kopfschmerzen, subarachnoidale Blutungen, Krampfanfälle oder sogar eine Meningoenzephalitis auftreten. Auch doppelseitige Erblindungen[4] und mehrere Todesfälle, besonders bei Kindern, wurden dokumentiert.[5]
Während des Eingriffs musste der Patient entsprechend gelagert werden, damit die Luft in den Kopf stieg. Dies wurde bewerkstelligt, indem der Patient in einen Stuhl oder eine Liege geschnallt war, welche (damit die Luft den Kopf erreichte) in verschiedene Positionen gebracht wurde. So musste der Patient beispielsweise auch kurzzeitig kopfüber positioniert werden.
Diese Tatsache sowie die allgemein sehr schmerzhafte Untersuchung lösten bei den Patienten während und nach dem Eingriff großes Unbehagen aus. Nicht selten wurden die Untersuchungen deshalb unter Narkose durchgeführt.
Bedeutung
Die Pneumoenzephalographie stellte zu ihrer Zeit[6] einen Meilenstein der Diagnostik dar, da erstmals eine Befundüberprüfung stattfinden konnte, ohne den Schädel (mit den damaligen, hochriskanten Mitteln) öffnen zu müssen.
Diese Untersuchungsmethode gilt heute als obsolete Technik, es gibt absolut keine Indikation mehr, da die Schichtbildgebung (Magnetresonanztomographie und Computertomographie) sowie beim Säugling Ultraschalltechniken ein erheblich geringeres bzw. kein sekundäres Gefährdungspotenzial besitzen.
Darüber hinaus wurde die Anwendung von Röntgenstrahlung am Menschen zur Pneumenzephalographie in der Neufassung der Strahlenschutzverordnung vom 29. November 2018 in der Bundesrepublik Deutschland untersagt (§ 2: Nicht gerechtfertigte Tätigkeitsarten).
Literatur
- Gergely Klinda: Zur Geschichte der Pneumenzephalographie. Dissertation, Charité – Universitätsmedizin Berlin 2010. urn:nbn:de:kobv:188-fudissthesis000000018730-6.
Einzelnachweise
- ↑ Paul Diepgen, Heinz Goerke: Aschoff/Diepgen/Goerke: Kurze Übersichtstabelle zur Geschichte der Medizin. 7., neubearbeitete Auflage. Springer, Berlin/Göttingen/Heidelberg 1960, S. 64.
- ↑ Walter E. Dandy, MD. In: The Society of Neurological Surgeons. Archiviert vom (nicht mehr online verfügbar) am 10. Januar 2019; abgerufen am 20. April 2016 (englisch). Info: Der Archivlink wurde automatisch eingesetzt und noch nicht geprüft. Bitte prüfe Original- und Archivlink gemäß Anleitung und entferne dann diesen Hinweis.
- ↑ Wolfgang Seeger, Carl Ludwig Geletneky: Chirurgie des Nervensystems. In: Franz Xaver Sailer, Friedrich Wilhelm Gierhake (Hrsg.): Chirurgie historisch gesehen. Anfang – Entwicklung – Differenzierung. Dustri-Verlag, Deisenhofen bei München 1973, ISBN 3-87185-021-7, S. 229–262, hier: S. 233–234.
- ↑ E. B. Masson: The disturbances in vision in visual fields after ventriculography. In: Bulletin of the Neurological Institut New York. Band 3, 1934, S. 190 ff.
- ↑ Gergely Klinda: Zur Geschichte der Pneumenzephalographie, S. 150 ff.
- ↑ Vgl. auch Gerd Huber: Pneumencephalographische und psychopathologische Bilder bei endogenen Psychosen. Berlin 1957.