Polydaktylie
| Klassifikation nach ICD-10 | |
|---|---|
| Q69 | Polydaktylie |
| Q69.0 | Akzessorische(r) Finger |
| Q69.1 | Akzessorische(r) Daumen |
| Q69.2 | Akzessorische Zehe(n) Akzessorische Großzehe |
| Q69.9 | Polydaktylie, nicht näher bezeichnet Überzählige(r) Finger oder Zehe(n) ohne nähere Angabe |
| ICD-10 online (WHO-Version 2019) | |
| Klassifikation nach ICD-11 | |
|---|---|
| LB78 | Polydaktylie |
| LB78.0 | Polydaktylie des Daumens |
| LB78.2 | Postaxiale Polydaktylie der Finger |
| LB78.3 | Polydaktylie der Zehen |
| LB78.Y | Sonstige näher bezeichnete Polydaktylie |
| LB78.Z | Polydaktylie, nicht näher bezeichnet |
| LD26.2 | Syndrome mit Duplikatur einer Extremität, Polydaktylie, Syndaktylie oder Triphalangismus |
| ICD-11: Englisch • Deutsch (Entwurf) | |



Die Polydaktylie (von griechisch πολύς polýs ‚viel‘ und δάκτυλος dáktylos ‚Finger‘, wörtlich also „Vielfingerigkeit“)[1] bezeichnet eine vererbbare, angeborene, anatomische Besonderheit bezüglich der Anzahl zusätzlicher Hand- und/oder Fußgliedmaßen. Die Besonderheit kann bei Menschen, aber auch bei Katzen,[2] Hunden,[3] Vögeln,[4] Meerschweinchen[5] und anderen Tieren vorkommen. Menschen mit Polydaktylie verfügen über mehr als die übliche Anzahl an Fingern oder Zehen. Besonders häufig findet sich ein- oder beidseitig ein jeweils sechster Finger (meist ein unvollständiger Doppeldaumen) oder doppelter großer Zeh (Hexadaktylie). Polydaktylie wird meist autosomal-dominant vererbt.
Neben der isolierten Form tritt Polydaktylie bei mehr als 90 verschiedenen Syndromen als Symptom auf, z. B. bei dem Pätau-Syndrom (Trisomie 13), dem Edwards-Syndrom (Trisomie 18), dem C-Syndrom, dem Ellis-van-Creveld-Syndrom, dem Laurence-Moon-Bardet-Biedl-Syndrom, dem Meckel-Gruber-Syndrom und den Formen der Kurzripp-Polydaktylie-Syndrome (Typ I, II, III, IV). Beim Gesamtvorkommen von Polydaktyliefällen sind jedoch Syndrome mit ca. 15 % eher wenig vertreten.[6]
Klassifikation
Eine Einteilung der Polydaktylien kann nach Lokalisation erfolgen in:
- Präaxial auf Seiten des I. Strahles
- Axial oder zentral auf Seiten des II.-IV. Strahles
- Postaxial auf Seiten des V. Strahles[7]
Epidemiologie
Die isolierte Polydaktylie – die häufigste Variante ist die Hexadaktylie – hat beim Menschen in Europa, Asien und Nordamerika eine Häufigkeit von 1:3.000, in Afrika von 1:300. In etwa 40 Prozent der Fälle tritt die Veränderung beidseitig auf.[8] Polydaktylie wird generell mit einer Häufigkeit von 1:500 Lebendgeburten angegeben.[9] Postaxiale Polydaktylie der Hand ist eine verbreitete Missbildung unter schwarzen Kindern in Afrika. Ein autosomal-dominanter Erbgang wird hier angenommen. Postaxiale Polydaktylie ist häufiger bei Schwarzen als bei Weißen und häufiger beim männlichen Geschlecht.[10] Im Vergleich dazu bildet postaxiale Polydaktylie bei weißen Kindern typischerweise Syndrome aus und wird mit einem autosomal-rezessiven Erbgang assoziiert. Eine Studie aus dem Jahr 2008 kombiniert Daten von Jefferson County Alabama, USA, und Uppsala, Schweden. Diese Studie gibt die Häufigkeit aller zusammengefassten Polydaktylieformen mit 2,3 je 1000 männlichen weißen, 0,6 je 1000 weiblichen weißen, 13,5 je 1000 männlichen schwarzen und 11,1 je 1000 weiblichen schwarzen Lebendgeburten an.[11] Die bisher umfangreichste empirische Studie zu Polydaktylie wurde 1996 veröffentlicht. 6912 Polydaktyliefälle wurden aus einer Gesamtheit von vier Millionen Geburten in Spanien und Südamerika analysiert und klassifiziert.[12]
Polydaktylieformen
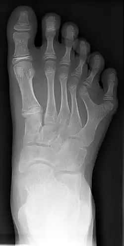
Die gebräuchlichste Unterscheidungsform ist präaxiale Polydaktylie (Daumenseite, Abb. 3, 6, 7, 9), postaxiale Polydaktylie (Handaußenseite, Abb. 1, 2, 4) und (selten) zentrale Polydaktylie am Ring-, Mittel- oder eher noch am Zeigefinger. Zentrale Polydaktylie ist oft mit Syndaktylie verbunden. Die Kombination wird zur Polysyndaktylie. Andere Fehlbildungen an Fingern und Zehen sind Dysmelie, Brachydaktylie und Oligodaktylie.
Das derzeit bekannte Maximum liegt bei einem chinesischen Jungen mit 15 Fingern und 16 Zehen. Seine Mutter hat je 12 Finger und Zehen.[13][14] Das entspricht maximal 3 zusätzlichen Gliedern pro Extremität.
Zusätzliche Finger und Zehen können durch Amputationsverfahren operativ entfernt werden. Oft wird eine Operation aus ästhetischen Gründen durchgeführt. Operationen können aber auch dazu dienen, die Greif- und Lauffähigkeit der Betroffenen zu verbessern.

Polydaktylie bei Tieren

Katzen haben normalerweise fünf Zehen am Vorderfuß und vier Zehen am Hinterfuß, 18 Zehen insgesamt. Eine Katze mit einer zusätzlichen Zehe an zwei oder mehr Pfoten wird auch als Schiffskatze bezeichnet. Zu den polydaktylen Katzenrassen zählen vor allem die Maine Coon, die eine spezielle Form präaxialer Polydaktylie ausbildet, den Hemingway-Mutanten, so genannt, weil Ernest Hemingway in seinem Haus in Key West, Florida, eine Population solcher Katzen besaß.[15] Eine andere Katzenrasse mit Polydaktylie ist die Pixiebob. Im Gegensatz zur Maine Coon ist das Merkmal von Extrazehen bei der Pixiebob in Zuchtstandards zugelassen. Eine Reihe von Mutationen des Gens LMBR1 kann bei Hunden, Menschen und Mäusen Polydaktylie verursachen.[3] Hunde haben beim Wildtyp wie andere Hundeartige vier Zehen an den Hinterfüßen. Ein fünfter, die Wolfskralle, kommt bei manchen Züchtungen vor.[3] Polydaktylie ist bekannt beim Norwegischen Lundehund und dem Pyrenäenhund (Chien de Montagne des Pyrénées). Der norwegische Lundehund ist das einzige Vierfüßer-Wirbeltier (Tetrapode), das als Standard mit mindestens sechs Zehen an jedem Fuß definiert ist und somit überwiegend mit dieser Merkmalsausstattung, aber auch mit noch mehr Zehen vorkommt. Polydaktylie ist ferner ein verbreitetes Merkmal bei einigen Hühnerzüchtungen, darunter das Seidenhuhn, und bei Schweinen (Abb. 9).[16] Eine umfassende frühe Studie zu Polydaktylie bei einem inzüchtigen Meerschweinchen-Stamm stammt von dem Evolutionstheoretiker Sewall Wright (1934).[17] Umfangreiche Polydaktyliestudien unternahm der britische Evolutionsforscher William Bateson bereits 1894 mit exakten anatomischen Analysen von Menschen, Makaken, Katzen, Pferden (Atavismus), Kälbern und anderen Arten. Die Studien sollten helfen, Batesons Kritik an Darwins Evolutionstheorie zu stützen, wonach graduelle Evolutionsschritte nicht dominieren, sondern evolutionärer Wandel in größeren, diskontinuierlichen Schritten überwiegt.[18] Heute weiß man, dass beides vorkommt.
Polydaktylie wird auch bei frühen Tetrapoden aus dem Devon wie Ichthyostega, Acanthostega oder Tulerpeton angenommen, wenn auch hier die Möglichkeit nicht ausgeschlossen werden kann, dass der Ichthyostega-Wildtyp regulär mehr als fünf Zehen pro Extremität besaß.[19] Auf der Grundlage der Vorderfüße von Pederpes, einem Post-Devon-Tetrapoden aus dem Tournaisium mit fünf großen Zehen und einem kleinen rudimentären Zeh, geht Jennifer Clack davon aus, dass Pentadaktylie als funktionale Kondition in dieser Zeit begann und in der Folge zu einer anatomischen Fixierung führte.[20] Letztlich ist heute wissenschaftlich nicht geklärt, durch welche Selektionsbedingungen die sehr robuste Pentadaktylie in großen Bereichen der Tetrapoden evolvierte. Heute ist nur eine einzige Amphibienart, ein bestimmter Krallenfrosch, mit Anzeichen für sechs reguläre Zehen im Tierreich bekannt.[21] Andere Arten wie der Pandabär, bestimmte Maulwurfsarten oder der Elefant evolvierten keinen echten zusätzlichen Zeh, sondern in der Regel eine Verlängerung eines Mittelfußknochens (Sesambein).[22][23]
Genetische Ursachen



Polydaktylie wird mit mehreren Mutationen in Verbindung gebracht. Diese sind in der Regel nicht Genmutationen selbst, sondern Mutationen in einem cis-Element, das für die Steuerung der Expression eines bestimmten Gens zuständig ist. Häufig betroffen ist der Sonic Hedgehog (SHH)-Signaltransduktionsweg,[24][25] seltener der Indian Hedgehog-Signalweg (Double foot Mutant) oder der BMP-Signalweg. Ferner werden Mutationen in den Hoxa- bzw. Hoxd-Clustern beschrieben, die zu Polydaktylie führen. Interaktion von Hoxd13 mit Gli3 induziert Synpolydaktylie, eine Kombination von zusätzlichen mit zusammengewachsenen Fingern oder Zehen. Andere wichtige Signalwege in diesem Kontext sind Fibroblasten-Wachstumsfaktoren (FGF), der Wnt-Signalweg sowie der Notch-Signalweg.[26]
In einem speziellen Fall präaxialer Polydaktylie bei der Katze (Hemingway-Mutant) (Abb. 6 und 7) besteht eine Mutation des cis-Regulatorelements ZRS (ZPA regulator sequence), einer nicht codierenden Region circa 800.000 Basenpaare entfernt vom Zielgen Shh. Hierdurch kommt es zusätzlich zur normalen Expression auch zu einer ektopischen Expression von Shh auf der anterioren (vorderen) Seite der Extremitätenknospe (Abb. 6). Im Normalfall wird Shh in einer bestimmten Organisatorregion, der Zone polarisierender Aktivität (ZPA) auf der Knospenaußenseite (posterior, hinten) exprimiert und die dort entstehenden Steuermoleküle diffundieren von dort in anteriorer Richtung (nach vorne) quer zur Wachstumsrichtung der Extremität. Durch die Mutation hingegen kommt es parallel zu einer zusätzlichen spiegelbildlichen, wenn auch kleineren ektopischen Ausbildung einer neuen Organisatorregion auf der anterioren Handinnenseite. Dadurch wird dort zusätzliches Zellwachstum (Proliferation) angeregt und damit das Rohmaterial für einen oder mehrere neue präaxiale Finger oder Zehen bereitgestellt.[27][28][29]
Ergänzend zum Studium genetischer Ursachen von Polydaktylie werden Musterbildungsmodelle der Hand verwendet, um Fehlbildungen im Computer auf Zellebene zu simulieren und auf diese Weise den Entwicklungsprozess deutlicher zu erklären (siehe: Extremitätenentwicklung).
Beispiel für Polyphänismus
Polydaktylie ist das Ergebnis einer genetischen Punktmutation, meist bei Hedgehog, GLI3 oder BMP.[30] Die Mutationen führen zu einer Reihe verschiedener Variationsformen. Ein Beispiel hierfür sind die erwähnten Hemingway-Mutanten bei der Katze. Da hier ein identischer Fehler in der DNA spontan (ohne bekannte oder anzunehmende Umwelteinflüsse) zu verschiedenen präaxialen Fehlbildungen mit unterschiedlichen Finger- oder Zehenzahlen führt, handelt es sich hier um einen speziellen Fall von Polyphänismus.
In einer neueren Studie der polydaktylen Zehenzahlen von 375 Hemingway-Mutanten zeigte sich, dass erstens die Anzahl der zusätzlichen Zehen variabel (plastisch) war und zweitens die Anzahl zusätzlicher Zehen – statistisch gesehen – nicht gleichverteilt war (Abb. 8).[30] Die Maine Coon Katze (als Grundmodell der Hemingway-Mutanten) hat als Wildtyp 18 Zehen. Polydaktylie trat in einigen Fällen mit unveränderter Zehenzahl (18 Zehen) auf, wobei die Abweichung darin bestand, dass durch Verlängerung des ersten Zehs ein dreigelenkiger Daumen vorlag. Wesentlich häufiger jedoch fanden sich 20 Zehen und abnehmend häufig dann 22, 24 oder 26 Zehen (Abb. 8). Es gab auch, jedoch seltener, ungerade Gesamtzahlen von Zehen an den Füßen. Eine statistische Schiefe der Verteilung lag auch vor in der Differenz der Zehenzahlen an Vorder- und Hinterfüßen. Außerdem konnte eine Links-rechts-Asymmetrie der Zehenzahl beobachtet werden.[30] Die Autoren der Studie schlugen aufgrund von Modellrechnungen vor, dass zufällige Bistabilitäten während des Entwicklungsprozesses die beobachtete statistische Schiefe der Verteilung erklären könnten.
Konsequenzen für die Evolutionstheorie

Während in Biologie und Medizin Polydaktylie als krankhafte Fehlentwicklung gilt,[28] eröffnen viele ihrer Erscheinungen aus Sicht der evolutionären Entwicklungsbiologie eine erweiterte Sicht darauf, wie Innovationen in der Evolution entstehen können, und zwar entwicklungsmäßig innerhalb einer Generation und vererbbar. Da polydaktyle Finger oder Zehen kein homologes Merkmal besitzen, das heißt, da an der Stelle eines neuen Fingers beim Wildtyp weder Zellen noch Gewebe existieren, kann ein polydaktyler Finger oder Zeh – rein technisch gesehen – auch als eine komplette phänotypische Innovation betrachtet werden.
Art und Umfang, wie bei Hemingway-Mutanten neue Zehen entstanden sind, können deshalb als Beispiel dafür gesehen werden, wie in anderen Fällen evolutionär neue Elemente entstehen, die nicht nur zur Vorläufergeneration, sondern auch zum selben Organismus nicht homolog sind.[31]
Als evolutionäre Variation ist Polydaktylie nicht mit der Evolutionstheorie Darwins und auch nicht mit der Synthetischen Evolutionstheorie erklärbar. Erst die Erweiterte Synthese in der Evolutionstheorie findet hierzu EvoDevo-Mechanismen, die beschreiben, wie der Phänotyp in der Entwicklung erzeugt wird.
Wissenschaftsgeschichte der Polydaktylie
Frühe wissenschaftliche Erforschungen von Polydaktylie gehen zurück auf den Franzosen Pierre-Louis Moreau de Maupertuis (1751), Charles Darwin (1868) und den Briten William Bateson (1894). Im Verlauf der Wissenschaftsgeschichte werden unterschiedliche Schwerpunkte in der Polydaktylieforschung deutlich. Diese erstrecken sich von Vererbungsregeln über die evolutionäre Bedeutung, exakten anatomischen Analysen bis hin zur Erforschung molekularer Ursachen und seit kurzem außerdem verstärkt der Extremitätenentwicklung. Auch die Analyse der Variation von Zehenzahlen und die Genotyp-Phänotyp-Beziehung rücken wieder stärker in den Fokus der Forschung.
Bildende Kunst und Literatur
In der Bildenden Kunst gibt es zahlreiche Darstellungen von Menschen oder Göttern mit sechs Fingern oder Zehen, darunter Fresken in Portugal, Statuen in Australien, Polynesien, Südamerika, Mexiko, Reliefs in Ägypten und mittelalterliche Tafelbilder in Europa.[8] Die älteste textliche Erwähnung einer Hexadaktylie findet sich im Alten Testament, 2. Samuel 21,20 : „Und wieder kam es zum Kampf bei Gat. Da war ein langer Mann, der hatte sechs Finger an seinen Händen und sechs Zehen an seinen Füßen, 24 an der Zahl […].“[8] In der gotischen Wallfahrtskirche im österreichischen Maria Laach am Jauerling wird ein Gnadenbild der hl. Maria mit sechs Fingern verehrt.[32] Der Stifter Wenzeslaus Maller (14. Jh.) im Regensburger Franziskanerkloster wird mit sechs Zehen an einem Fuß porträtiert. Raffael stellt im Gemälde Die Hochzeit der Jungfrau 1504 den hl. Joseph mit sechs Zehen dar.[33] Auch beim hl. Sixtus auf Raffaels Gemälde Sixtinische Madonna (1512–1513) sehen einige Betrachter sechs Finger (der kleine „Finger“ unten ist jedoch Teil der Handfläche).[34] Der österreichische Autor Martin Amanshauser stellt in seinem 2004 erschienenen Roman Chicken Christl den Ich-Erzähler Mika als hexadactyl dar.[35] In der Darkover-Reihe (1958–2013) von Marion Zimmer Bradley wird die sechs-fingrige indigene Rasse der Chieri[36] porträtiert. Personen mit gemischten menschlichen und Chieri-Elternteilen sowie deren Nachkommen (von welchen einige die sechs-fingrigen Hände ihrer Vorväter erben) stellen einen signifikanten Anteil der in der Reihe porträtierten Hauptfiguren dar.
Im Hollywood-Film Gattaca, der sich mit genetischer Optimierung in Form einer Dystopie beschäftigt, gibt es Pianisten mit zwölf Fingern, welche allein in der Lage sind, speziell komponierte Stücke für zwölf Finger überhaupt spielen zu können.
Betroffene
Der Comiczeichner Uderzo (1927–2020) wurde mit zwei sechsten Fingern geboren, die operativ entfernt wurden.[37] Auch der Baseballspieler Antonio Alfonseca hat an jeder Hand sechs Finger. Der Fußballspieler Fábio Alves Félix hat an der rechten Hand sechs Finger.
Manche Menschen finden den zusätzlichen Finger auch hilfreich.[38]
Siehe auch
- Dreigliedriger Daumen-Polysyndaktylie-Syndrom
- Naguib-Richieri-Costa-Syndrom
- Pseudotrisomie-13-Syndrom
Literatur
- Axel Lange, Gerd B. Müller: Polydactyly in Development, Inheritance, and Evolution. Q. Rev. Biol., Vol. 92, No. 1, Mar. 2017, pp. 1–38. doi:10.1086/690841.
- L. G. Biesecker: Polydactyly: how many disorders and how many genes? 2010 update. In: Developmental Dynamics. Band 240, Nummer 5, Mai 2011, ISSN 1097-0177, S. 931–942. doi:10.1002/dvdy.22609. PMID 21445961. (Review).
- R. Kapoor, R. Johnson: Polydactyly. In: New England Journal of Medicine. 365, 2011, S. 2122, doi:10.1056/NEJMicm1100857 (Bild der Serie Images in Clinical Medicine).
- A. Zuniga, R. Zeller, S. Probst: The molecular basis of human congenital limb malformations. In: Wiley Interdisciplinary Reviews: Developmental Biology. 1(6), (2012), S. 803–822. doi:10.1002/wdev.59.
Weblinks
- OMIM
- ICD9
- Disease DB
- eMedicine
- National Library of Medicine - Medical Subject Headings (Me SH)
- Plastic Surgery: Volume Six: Hand and Upper Extremity
- Hexadaktylie (axial), T. Wuthe, T. Ullmann, Kinderradiologie-online.de, März 2002
- Die Rätsel des sechsten Fingers DER STANDARD Wien, 17./18. März 2017
- Kann ein sechster Finger vorteilhaft sein?
Einzelnachweise
- ↑ Wilhelm Gemoll: Griechisch-Deutsches Schul- und Handwörterbuch. G. Freytag Verlag / Hölder-Pichler-Tempsky, München/Wien 1965.
- ↑ Polydactyl Cats (Part 1). Abgerufen am 20. Januar 2007.
- ↑ a b c K. Park, J. Kang, K. P. Subedi, J. H. Ha, C. Park: Canine polydactyl mutations with heterogeneous origin in the conserved intronic sequence of LMBR1. In: Genetics. Band 179, Nr. 4, August 2008, ISSN 0016-6731, S. 2163–2172, doi:10.1534/genetics.108.087114, PMID 18689889, PMC 2516088 (freier Volltext).
- ↑ Warren D. C. 1949. Linkage relations of autosomal factors in the fowl. Genetics 34:333–350.
- ↑ Wright S. 1934. An analysis of variability in number of digits in an inbred strain of guinea pigs. Genetics 19:506–536.
- ↑ Castilla E. E., Lugarinho R., da Graça Dutra M., Sal- gado L. J. 1998. Associated anomalies in individuals with polydactyly. American Journal of Medical Genetics 80:459–465.
- ↑ F. Hefti: Kinderorthopädie in der Praxis. Springer, 1998, ISBN 3-540-61480-X, S. 396.
- ↑ a b c Wolfgang Regal, Michael Nanut: Einer zu viel (Narrenturm 129). In: Ärzte Woche. Ausgabe 6/2008 vom 8. Februar 2008. Online ( vom 24. Dezember 2013 im Internet Archive)
- ↑ Khanh-Van Le-Bucklin, Rebecca Hicks, Alan Greene: Polydactylism. Dr. Greene, 30. Juli 2008, abgerufen am 9. Februar 2010.
- ↑ David Zieve, Neil K. Kaneshiro: Polydactyly. Penn Medicine, 11. Februar 2009, abgerufen am 9. Februar 2010.
- ↑ Denise M McCarthy, Carter G. Abel: Supernumerary Digit. eMedicine, 31. Juli 2008, abgerufen am 9. Februar 2010.
- ↑ Castilla E. E., da Fonseca R. L., da Garça Dutra M., Bermejo E., Cuevas L., Martinez-Frias M.-L. 1996. Epidemiological analysis of rare polydactylies. American Journal of Medical Genetics 65:295–303.
- ↑ Polydactyly in Pictures: Chinese Baby Born With 15 Fingers and 16 Toes ( vom 17. Februar 2017 im Internet Archive)
- ↑ Dally Mail 2. Mai 2016
- ↑ Carlene Fredericka Brennen: Hemingway’s Cats. An Illustrated Biography. Pineapple Press. Sarasota Florida, USA 2006.
- ↑ C. W. Prentiss: Polydactylism in man an the domestic animals with especial reference to digital variations in swine. Cambridge Mass. 1903.
- ↑ S. Wright: An Analysis of Variability in Number of Digits in an inbred Stain of Guinea Pigs. In: Genetics. 19(6), 1934, S. 506–536.
- ↑ William Bateson: Materials of the study of variation: Treated with especial regards to discontinuity in The origin of species (1894). MacMillan & Co, London.
- ↑ Clack J. A. 2012. Gaining Ground: The Origin and Evo- lution of Tetrapods. Second Edition. Bloomington (Indiana): Indiana University Press.
- ↑ Clack J. A. 2002. An early tetrapod from “Romer’s Gap.” Nature 418:72–76.
- ↑ Hayashi S., Kobayashi T., Yano T., Kamiyama N., Egawa S., Seki R., Takizawa K., Okabe M., Yokoyama H., Tamura K. 2015. Evidence for an amphibian sixth digit. Zoological Letters 1:17.
- ↑ Warum Tiere mit sechs Fingern aus der Reihe tanzen N24 vom 24. September 2011
- ↑ Der Elefant hat eine Art sechsten Zeh. Deutschlandfunk, 23. Dezember 2011.
- ↑ R. E. Hill: How to make a zone of polarizing activity: insights into limb development via the abnormality preaxial polydactyly. In: Development, growth & differentiation. Band 49, Nummer 6, August 2007, ISSN 0012-1592, S. 439–448, doi:10.1111/j.1440-169X.2007.00943.x, PMID 17661738 (Review).
- ↑ R. E. Hill, L. A. Lettice: Alterations to the remote control of Shh gene expression cause congenital abnormalities. In: Philosophical transactions of the Royal Society of London. Series B, Biological sciences. Band 368, Nummer 1620, 2013, ISSN 1471-2970, S. 20120357, doi:10.1098/rstb.2012.0357, PMID 23650631, PMC 3682722 (freier Volltext).
- ↑ L. G. Biesecker: Polydactyly: how many disorders and how many genes? 2010 update. In: Developmental Dynamics. Band 240, Nummer 5, Mai 2011, ISSN 1097-0177, S. 931–942, doi:10.1002/dvdy.22609, PMID 21445961, PMC 3088011 (freier Volltext) (Review).
- ↑ L. A. Lettice, S. J. H. Haeney, L. A. Purdie, L. Li, P. de Beer, B. A. Oostra, D. Goode, G. Elgar, R. E. Hill, E. A. de Graaff: Long range Shh enhancer regulates expression in the developing limb and fin and is associated with preaxial polydactyly. In: Human Molecular Genetics. 12(14), (2003), S. 1725–1735.
- ↑ a b L. A. Lettice, A. E. Hill, P. S. Devenney, R. E. Hill: Point mutations in a distant sonic hedgehog cis-regulator generate a variable regulatory output responsible for preaxial polydactyly. In: Human Molecular Genetics. 17(7), (2008), S. 978–985.
- ↑ L. A. Lettice, I. Williamson, J. H. Wiltshire, S. Peluso, P. S. Devenney, A. E. Hill, A. Essafi, J. Hagma, R. Mort, G. Grimes, C. L. DeAngelis, R. E. Hill: Opposing functions of the ETS factor family define Shh spatial expression in limb buds and underlie polydactyly. In: Developmental Cell. 22(2), (2012), S. 459–467.
- ↑ a b c Axel Lange, Hans L. Nemeschkal, Gerd B. Müller: Biased polyphenism in polydactylous cats carrying a single point mutation: The Hemingway Model for digit novelty. In: Evolutionary Biology. Dec. 2013.
- ↑ G. B. Müller: Epigenetic Innovation. In: Massimo Pigliucci, Gerd B. Müller (Hrsg.): Evolution – The Extended Synthesis. MIT Press, 2010, S. 311.
- ↑ Gnadenbild Maria Sechsfinger in Maria Laach
- ↑ Daniel Mimouni, Francis B Mimouni, Marc Mimouni: Polydactyly reported by Raphael. In: British Medical Journal. vol. 321, S. 1622, 23. Dezember 2000. PMC 1119286 (freier Volltext)
- ↑ Hans Gross. In: Beiträge zur Psychologie der Aussage. 1904, S. 249–254. Google books
- ↑ amanshauser.at
- ↑ Serienchronologisch erstes Auftreten der Chieri in Darkover Landfall, Marion Zimmer Bradley, DAW Books, 1972.
- ↑ ORF at/Agenturen red: 1927–2020: Asterix-Zeichner Uderzo ist tot. 24. März 2020, abgerufen am 25. März 2020.
- ↑ Deutscher Ärzteverlag GmbH, Redaktion Deutsches Ärzteblatt: Sechster Finger verbessert Geschicklichkeit. Abgerufen am 1. April 2021.