Prämolar

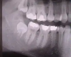
Eckzähne (rechter Bildrand), Prämolaren und Molaren (Bildmitte). Die Schneidezähne liegen rechts außerhalb des Bildausschnitts. Der untere Weisheitszahn ist noch nicht durchgebrochen und sein Wurzelwachstum ist noch nicht abgeschlossen.

Ein Prämolar (Dens praemolaris, Pl. Dentes praemolares), auch Vormahlzahn oder Vorbackenzahn, ist ein Backenzahn im Gebiss der Säugetiere. Ein Synonym ist die Bezeichnung Bikuspidat (von lat. bis „zweimal“ und cuspis „Spitze“). Im Gegensatz zu den Molaren haben Prämolaren auch Milchzahnvorgänger, die vor dem Zahnwechsel die Mahlfunktion ausführen.
Bei den Säugetiervorfahren gab es ursprünglich vier Prämolaren in jeder Kieferhälfte, also insgesamt 16. Diese Anzahl ist bei den meisten rezenten Säugetieren reduziert. So sind beim Menschen nur noch je zwei, bei den Nagetieren (mit Ausnahme der Meerschweinchenverwandten) keine Prämolaren mehr ausgebildet. Wiederkäuer haben drei Prämolaren, ihnen fehlt der erste.
Prämolaren des Menschen
Die Prämolaren des Menschen haben zwei bis drei Höcker. Untere Prämolaren haben eine sehr ausgeprägte Kronenflucht. Die Anzahl der Zahnwurzeln und Wurzelkanäle ist in der folgenden Tabelle wiedergegeben, wobei Abweichungen möglich sind:[1][2][3]
| Zähne | Anzahl der Zahnwurzeln | Anzahl der Wurzelkanäle | Anzahl der Höcker |
|---|---|---|---|
| 14, 24 | 1 2 (>60 %) 3 |
1 ( 9,0 %) 2 (85,0 %) 3 ( 6,0 %) |
2 |
| 15, 25 | 1 (>85 %) 2 |
1 (75,0 %) 2 (24,0 %) 3 ( 1,0 %) |
2 |
| 34, 44 | 1 (74,0 %) 2 (26,0 %) |
1 (73,5 %) 2 (26,0 %) 3 ( 0,5 %) |
2 (75 %) 3 (25 %) |
| 35, 45 | 1 (85,0 %) 2 (15,0 %) |
1 (85,5 %) 2 (13,0 %) 3 ( 0,5 %) |
3 |
Das menschliche Gebiss (Schema, jeder Zahn in zwei Ansichten)
Siehe auch
Weblinks
Einzelnachweise
- ↑ Gert-Horst Schuhmacher, Anatomie, Lehrbuch und Atlas, 2. Auflage 1991, Barth-Verlag. ISBN 3-335-00264-4.
- ↑ John I. Ingle, Leif K. Bakland, Endodontics, Williams & Wilkins, Philadelphia, 4. Sub edition (1994), ISBN 0-683-04310-2.
- ↑ J. R. Strube, M. Stern, Curriculum Prothetik, Band I, Quintessenz Verlag, 2011, S. 32–33. ISBN 3-86867-026-2.