Prymnesium parvum
| Prymnesium parvum | ||||||||||||
|---|---|---|---|---|---|---|---|---|---|---|---|---|
Illustration von P. parvum | ||||||||||||
| Systematik | ||||||||||||
| ||||||||||||
| Wissenschaftlicher Name | ||||||||||||
| Prymnesium parvum | ||||||||||||
| N.Carter 1937 |


Prymnesium parvum ist eine Art (Spezies) von einzelligen Mikroalgen (etwa 10 µm lang und 3 bis 4 µm breit) aus dem Taxon der Haptophyta, dessen Mitglieder meist in mariner und eher tropischer Umgebung leben.
P. parvum ist biflagellat (doppelt begeißelt), was es der Alge ermöglicht, sich zu bewegen. Man findet sie daher auch in der Regel schwebend in der Wassersäule, am häufigsten in Ästuar- oder Meeresgewässern. Sie kann aber auch in Binnengewässern vorkommen, die einen relativ hohen Mineralgehalt aufweisen. Die Typlokalität ist ein Brackwasserteich auf der Isle of Wight, England.[1][2]
P. parvum kommt heute kosmopolitisch (weltweit) vor, unter anderem in der Ostsee, Europa, China, Australien, den USA und Marokko. P. parvum kann schädliche Algenblüten (englisch harmful blooms, HABs) in Binnen- und Küstengewässern hervorrufen, die zu verheerenden Fischsterben mit ökologischen sowie wirtschaftlichen Schäden führen.[1][2]
Wegen der Pigmente, die ihr einen goldgelben Schimmer verleihen, wird P. parvum manchmal „Goldalge“ (englisch golden algae, golden brown algae) genannt. Die Bezeichnung Goldalgen ist jedoch ein nicht-taxonomischer Begriff, unter dem verschiedene Gruppen der Stramenopilen aufgrund ihrer Farbe subsumiert werden, darunter die Goldbraunen Algen (Chrysophyceae), die Goldgrünen Algen (Bacillariophyta) oder die Kieselalgen (Bacillariophyta). Als Haptophyten besitzen die Mitglieder der Gattung Prymnesium neben den Geißeln ein weiteres Anhängsel (Haptonema), das bei diesen drei Goldalgen-Gruppen nicht vorkommt.
Beschreibung


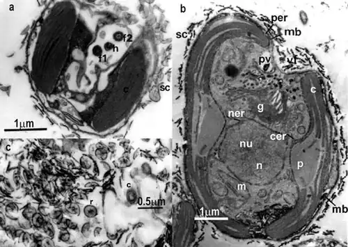
C: Chloroplast;
V: kontraktile Vakuole;
N: Zellkern;
S: Schuppen
P. parvum ist nur ca. 10 µm groß und kann vermutlich vier morphologisch unterschiedliche Formen annehmen. Zwei dieser Stadien sind biflagellate (doppelt begeißelte) haploide Zelltypen. Ein weiteres mögliches Stadium ist ein biflagellater diploider Zelltyp. Neben diesen motilen (beweglichen) Formen gibt es eine unbewegliche Form ohne Geißeln, was ein Ruhestadium sein könnte. Die begeißelten Formen haben außer den beiden Geißeln eine Haptonema, d. h. eine spezielle äußere nadelartige Struktur, die das Anhaften an Oberflächen ermöglicht. Es werden zwei Unterarten unterschieden:[1]
- Die holotypische Form P. parvum f. parvum kann entweder haploid oder diploid sein.
- Die andere Form P. parvum f. patelliferum kommt offenbar nur in haploiden Stadien vor. Die Haptonema scheint bei dieser Unterart nicht beim Einfangen von Partikeln oder der Phagozytose zu helfen (so wie es bei anderen Haptophyta beobachtet wurde).


Die Zellen von P. parvum haben zwei sattelförmige Chloroplasten, die in der Regel gelbgrün bis olivgrün gefärbt sind. Die Geißeln sind zwischen 12 und 15 µm lang, die flexible, nicht gewundene Haptonema zwischen 3 und 5 µm.
Jede Zelle hat zwei Schichten von Körperschuppen unterschiedlichen Typs, die Schuppen der äußeren Schicht haben schmale, gebogene Ränder, die der inneren Schicht breite, stark gebogene Ränder.[1]

a) Querschnitt mit Geißeln (f1,f2), Haptonema (h), Chloroplast (c), mit Schuppen (sc) bedeckte Oberfläche der Zelle.
b) Längsschnitt mit Chloroplasten (c), Endoplasmatisches Retikulum (ER) der (komplexen) Chloroplasten,[3] (cer), Zelleinstülpung (Invagination, engl. vestibular fossa/cavity – vf), periplastidiales ER[4] (per), Zellkern (n), Nukleolus (nu), nukleäres ER (ner), Mitochondrien (m), Pyrenoide (p), Golgi-Apparat (g), Mucozyste (Schleimkörper, engl. muciferous body – mb), kontraktile Vakuole (pv), Schuppen (sc).
c) r: radiale(r) und konzentrische (c) Schuppen.

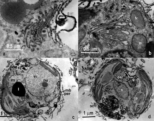
a) Schuppenbildung (sc) im Golgi-Apparat (g), Endoplasmatisches Retikulum (ER – er).
b) Golgi-Apparat (g) knapp unterhalb der Geißelwurzel (en. flagellar root – fr), Mitochondrium (m), Zellkern (n), Mucozyste (Schleimkörper, engl. muciferous body – mb), Zytoplasma umgeben von einer schmalen peripheren Zisterne des (periplastidialen[4]) Endoplasmatischen Retikulums (per).
c) Transversalschnitt mit peripherer Zisterne des ER (per), Zellkern (n), Nukleolus (nu), Mitochondrium (m), Lipidkügelchen (l), Schleimkörper (mb) und Schuppen (sc).
d) Querschnitt, der zeigt, dass das ER des (komplexen) Chloroplasten (cer) kontinuierlich übergeht in das ER des Kerns. Chloroplast (c), Golgi-Apparat (g), Geißeln (f), Pyrenoide (p), Zellkern (n), kontraktile Vakuole (pv), Schleimkörper (mb) und Schuppen (sc).
Lebensweise
P. parvum lebt weder rein autotroph (etwa von der Photosynthese) noch rein heterotroph (räuberisch).
Mit seinem Chloroplasten kann P. parvum im Prinzip Photosynthese (Photoassimilation) betreiben. Bei Nährstoffmangel (insbesondere bei Phosphatmangel) oder im Schwarm kann P. parvum andere Organismen „fressen“ (Phagozytose). Der Stoffwechsel dieses Mikroorganismus wechselt unter diesen Umständen in den heterotrophen Modus, und der Mikroorganismus wird zum „Räuber“, indem er Beute oder tote Zellen phagozytiert. Dies ermöglicht der Mikroalge ein Leben im Dunkeln, etwa durch Abweiden von bakteriellen Biofilmen. Möglicherweise befriedigt P. parvum dann seinen Bedarf an Phosphaten durch den Verzehr von Bakterien.[5][6][7]
P. parvum kann eine breite Palette von Stickstoffquellen nutzen, einschließlich Ammonium, Nitrat, Aminosäuren (mit einer gewissen pH-Abhängigkeit), Kreatin, ist aber nicht in der Lage, Harnstoff zu nutzen.[7]
P. parvum produziert Dimethylsulfoniopropionat (DMSP) und andere Polyole, deren Funktionen noch unbekannt sind, die aber mit Anpassungen (Osmoregulation) an ungewöhnlich salzhaltige oder mineralisierte Umgebungen verbunden sein könnten.[8][7]
Unter bestimmten Konkurrenzbedingungen reduziert P. parvum seine Aktivität und geht in ein Ruhestadium („Zyste“, englisch “cyst”, dormant/resting stage) über (im modernen Sprachgebrauch bezeichnet bei Mikroorganismen der Begriff Zyste eine Dauerform ohne Stoffwechsel, insbesondere auch ohne Photosynthese; andernfalls liegt lediglich ein unbegeißeltes, nicht-motiles Stadium vor – was im früheren Sprachgebrauch nicht unterschieden wurde).[7][2] In der neueren Literatur ist beispielsweise die Rede von „stationären Wachstums-/Todphasen“ (englisch stationary growth/death phases).[9] Auf die produzierten Toxine (Prymnesine) wird weiter unten noch gesondert eingegangen.
Vorkommen und Algenblüten
P. parvum wächst in einem Salzgehalt (Salinität) im Bereich von 0,5–30 psu (Practical Salinity Unit) mit einem Optimum bei 15 psu. Allerdings scheinen Stämme, die an verschiedenen Orten gesammelt wurden, unterschiedliche Salzgehaltstoleranzen zu haben. Ein Stamm namens LB 2797 (isoliert aus dem Colorado River in Texas) zeigt ein biphasisches Wachstumsmuster, d. h., die maximalen Zelldichten nahmen mit steigendem Salzgehalt von 5 bis 15 psu zu, nahmen aber bei höheren Werten in der Laborkultur wieder ab.[10]
Während Blüten von P. parvum in der östlichen Hemisphäre bereits seit den frühen 1900er Jahren dokumentiert sind, hat sich die Art seitdem weit verbreitet. Es wurden Blüten überall im Süden der USA sowie in einigen nördlichen Regionen beobachtet.[1][2]
Diese in Flussmündungen sehr häufige Art lebt normalerweise nur im Brackwasser, wird aber zunehmend auch im Süßwasser gefunden, darunter in den Vereinigten Staaten (z. B. in Texas seit 1985),[11] im Lunzer See (Niederösterreich 2016) und in der Oder und angrenzenden Gewässern (Deutschland und Polen 2022/2024, s. u.).[12] Dies gilt als besorgniserregend, insbesondere bei Fischern, die in bestimmten Seen und Flüssen bereits Fischsterben beobachtet haben.[13] Sie kommt in der Natur in hellen, offenen Umgebungen vor, aber im Labor kann ihr Wachstum durch zu viel Licht gehemmt werden (Photoinhibition)[14].
Algenblüten treten in der Regel vom Spätwinter bis zum Sommer auf. Sie führen dazu, dass sich das Wasser grün bis gelblich verfärbt und sich Schaum bildet, wenn das Wasser aufgewühlt wird (an Wehren, Dämmen, Ufern).[2] Die Algenblüten bilden sich besonders leicht im Brackwasserbereich, so dass die von P. parvum gebildeten Toxine dort leichter kritische Konzentrationen erreichen können.[15]
Im letzten Jahrhundert haben zunehmend saisonale Fischsterben in Verbindung mit den toxischen Algenblüten von P. parvum weltweit Aquakulturen und einheimische Fisch-, Schalentier- und Molluskenpopulationen zerstört. Langanhaltende Blüten von P. parvum können zu großen Störungen der lokalen Ökologie und hohen finanziellen Verlusten führen.[16][15]
Fischsterben in Florida in den 2000er Jahren
In Florida wurde in den 2000er Jahren auch beobachtet, dass Fische durch Blüten dieser Alge in Hinterhof- und Golfplatzteichen, oft in Küstenregionen, getötet wurden.[2]
Fischsterben in Texas im März 2007
Auch in Texas kam es im März 2007 zu einem durch P. parvum ausgelösten Fischsterben im Lake Granbury, einem Stausee des Brazos River bei Granbury (Nordtexas).[17] Der See war wiederholt von toxischen Algenblüten betroffen.[18]
Fischsterben in der Oder im August 2022


(C) Zelläquivalente von März 2023 – Februar 2024 im Oderhauptstrom, im Oder-Westarm und im Kanal (Hohensaaten-Friedrichsthaler Wasserstraße, HoFriWa).
Als wahrscheinlichste Ursache für das Fischsterben in der Oder im August 2022 gilt eine (nachweisliche) massive Vermehrung der Brackwasseralge („Goldalge“) P. parvum nach einem sprunghaften Anstieg des Salzgehaltes in Verbindung mit dem sommerlichen Temperaturanstieg. Der Verursacher der hohen Salzeinleitungen konnte nicht ausgemacht werden, wird aber in Polen vermutet.[19][20][21][22]
Auftreten in der Oder und im Gleiwitzer Kanal ab Mai 2024
Ab Mai 2024 wurden erneut erhöhte Konzentrationen von P. parvum in der Oder und im von der Oder in Polen abzweigenden Gleiwitzer Kanal festgestellt.[23][24] Anders als zuvor war in den meisten Teilen der Gewässer bis zu diesem Zeitpunkt aber kein Gift nachzuweisen. Bekannt ist, dass die Alge nur unter bestimmten Umständen Gift produziert. Was im konkreten Fall als genaue Ursache für das unterschiedliche Verhalten infrage kommt, muss erst noch geklärt werden (Stand 2. Juli 2024).[12] In einem Artikel von RBB24 vom 23. Juli 2024[25] wurde über einen wissenschaftlichen Artikel in cell.com[26] vom 9. Juli 2024 berichtet (siehe auch unten): "Wir haben die Gene identifiziert, die das Gift produzieren", sagte IGB-Wissenschaftler Heiner Kuhl dem rbb am Montag. In der Praxis könnten ihm zufolge quantitative PCR-Tests entwickelt werden, um die Menge der Gift produzierenden Gene und damit die Giftigkeit der Alge zu messen." und ""Mit dieser Methode können wir schon vorher ein Ansteigen vermessen und erkennen, 'jetzt wird es gefährlich'", sagte Kuhl weiter. Man könnte dadurch etwa zehn Tage Zeit für möglichen Vorsichtsmaßnahmen gewinnen. "Man könnte entsprechende Maßnahmen treffen, wie beispielsweise ein Einleitverbot von Industriegewässern."
Im August 2024 kam es jedoch laut ZDF im an den Gleiwitzer Kanal angrenzenden Staubecken Dzierżno (Dzierżno Duze) dann doch – wie auch im vorherigen Sommer im Gleiwitzer Kanal selbst – zu einem Fischsterben, das durch „Goldalgen“ (eine in den Medien übliche Bezeichnung für die in dieser Quelle nicht genannte Spezies P. parvum) verursacht wurde.[27]
Toxikologie

Die toxische Wirkung von P. parvum u. a für Fische wird auf eine Gruppe organo-chemischer Verbindungen zurückgeführt, die Prymnesine genannt werden und chemisch Polyether mit einer großen Leiterrahmenstruktur (englisch supersized ladder-frame polyether compounds) sind.[9] Es sind biochemisch komplexe und hochmolekulare Verbindungen.[28] Diese Prymnesine werden derzeit (Stand 2024) in drei Typen A, B und C unterteilt (9 vom A-Typ, 12 vom B-Typ und 30 vom C-Typ).[29][26] Es ist gut möglich, dass bisher noch nicht alle von dieser Alge abgesonderten Toxine identifiziert wurden.
Sie zeigen starke zytotoxische, hämolytische, neurotoxische und ichthyotoxische Wirkungen.[16][9][28]
Bei Stress sondert die P. parvum diese chemischen Verbindungen in das Wasser ab. In Verbindung mit im Wasser befindlichen Kationen (z. B. Magnesium-Ionen Mg++ oder Calcium-Ionen Ca++) bilden sich dann die effektiven Toxine. Diese sind also abhängig von der Chemie des Wassers, wobei meist eine Kombination verschiedener Toxine vorhanden ist. Die genaue Zusammensetzung, d. h. der Anteil eines jeden der verschiedenen Prymnesine hängt vom jeweiligen Stamm von P. parvum ab.[9][29] Der Stamm K-0081 enthielt ~5 mal mehr Toxin als der Stamm K-0374.[9]
Im August 2024 identifizierten Timothy R. Fallon et al. die Prymnesin-produzierenden Proteine von P. parvum, große Polyketid-Synthasen (PKS), genannt PKZILLAs. PKZILLA-1 besteht aus 45.212 Aminosäure-Bausteinen (entsprechend 4,7 Megadaltons) und ist damit nachweislich das größte von einem Organismus produzierte Protein, insbesondere größer als das menschliche Titin; PKZILLA-1 hat 140 Enzym-Domänen. PKZILLA-2 hat noch 3,2 Megadaltons und 99 Enzym-Domänen. Diese beiden PKZILLAs sind beteiligt an der Synthese von Prymnesinen des Typs A; das in P. parvum RCC3426 gefundene PKZILLA-B1 ist dagegen verantwortlich für die Synthese von Prymnesin-B1.[17]
Nutzen der Toxine für die Alge und Schaden für andere
Diese Toxine könnten als Gifte wirken, die es diesen Algen ermöglichen, andere einzellige Organismen zu fangen, um sie zu fressen (phagocytieren). Man vermutet, dass es ihre Funktion ist, Beutetiere zu verlangsamen oder unbeweglich zu machen, damit die Algen sie dann erbeuten können.
Werden die Toxine aber von einer großen Menge Algen massiv ins Wasser abgegeben, dann wirken sie auch auf höhere tierische Organismen wie Fische. Angegriffen werden zuerst schlecht geschützte und exponierte Zellen, z. B. auf der Oberfläche der Kiemen von wirbellosen Wassertieren und von Fischen sowie auf deren Flossen. Sie verhindern die ordnungsgemäße Funktion der Wasserregulierung in der Zelle (Osmoregulation), die durch Vergiftung und/oder Wasserüberschuss abstirbt. Nachdem die erste Zellschicht zerstört ist, werden die nächsten Schichten angegriffen. Wenn ein Blutgefäß betroffen ist, kommt es zur Blutung. Durch die erodierten Kiemen gelangen die Toxine in das Blut- und Kreislaufsystem des Fisches. In der Folge werden auch die inneren Organe geschädigt. Die ersten sichtbaren Symptome sind, dass der Fisch sich wie bei Sauerstoffmangel im Wasser verhält; er pendelt zwischen der Oberfläche, wo er nach Luft zu schnappen versucht, und dem Grund, wo er ruht und stirbt.[30]
Neuere Erkenntnisse zeigen, dass diese Art nur unter Umweltstress Toxine produziert, z. B. bei einem Überangebot an planktischen Räubern (Zooplankton) oder Dinoflagellaten der Spezies Oxyrrhis marina (Oxyrrhinales). Offenbar benutzt P. parvum die Toxine in diesem Fall zur Abwehr der eigenen Fressfeinde. Jedenfalls nahmen die Dinoflagellaten weniger P. parvum als Nahrung auf als andere marine Algen, etwa Cryptophyceen der Gattung Rhodomonas. Die Toxine bewirken offenbar eine Verlangsamung der Aufnahme- und Verdauungskapazität von Dinoflagellaten.[31]
In ähnlicher Weise kann Stress durch einen Mangel an Stickstoff oder Phosphor die Produktion von Toxinen auslösen. Vermutlich profitiert P. parvum dann nicht nur durch leichteres Beutemachen, sondern auch von den Spurenelementen, die von abgestorbenen Individuen der anderer Arten freigesetzt werden – dies könnte ein Weg sein, um in einer Umgebung konkurrenzfähiger zu sein.
Toxizität für Säugetiere und Menschen
Diese Toxine scheinen keine Auswirkungen auf Rinder zu haben, die mit diesem Toxin kontaminiertes Wasser trinken, oder auf Aasfresser, die durch die Toxine vergiftete Fische fressen. Das unterscheidet sie von anderen Algen, die sich auf die gleiche Weise vermehren können (bestimmte Cyanobakterien, Algen, die für „Rote Tiden“ verantwortlich sind etc., teilweise auch „Ultragifte“). Eine Hypothese, um dies zu erklären, ist, dass die Alge und ihre Toxine vom pH-Wert abhängig sind und ein basisches oder zumindest nur wenig saures Milieu benötigen. Durch den Säuregehalt des Magens würden die Toxine zerstört werden. Darüber hinaus könnten die Haut und auch Schleimbildung bei Landwirbeltieren, wie es die Säugetiere sind, ebenfalls besser schützen als eine Fischhaut. Insgesamt sind die Auswirkungen auf den Menschen nicht gut untersucht. Nach Angaben des Texas Department of State Health Services wird aber auf jeden Fall empfohlen, keine Fische zu verzehren, die durch eine planktonische Blüte von P. parvum in Mitleidenschaft gezogen wurden.[32]
Umwelttoxizität
P. parvum verursacht aufgrund der Toxizität der von ihr produzierten Moleküle (u. a. die Prymnesine) in Nordamerika seit Jahren ökologische und toxikologische (ökotoxikologische) sowie wirtschaftliche Probleme.[33]
Diese Toxine töten viele kaltblütige und aquatische sowie auch semiaquatische Wirbeltiere (z. B. Salamander) bereits bei niedrigen Dosen und beeinträchtigen den Rest der planktischen Gemeinschaft, so dass direkt oder indirekt das gesamte Ökosystem betroffen ist. Die Wirkung ist allelopathisch, d. h. die Alge hemmt das Wachstum von Cyanobakterien, Dinoflagellaten und tötet Wimpertierchen sowie Kieselalgen, wodurch sie (besser) gedeihen kann.[28]
Diese Alge kann auch in einigen küstennahen Roten Tiden (vgl. Heterosigma akashiwo) vorkommen, wo sie zusätzlich zum Fischsterben beitragen könnte.[15]
Am 17. August 2022 wies das Leibniz-Institut für Gewässerökologie und Binnenfischerei das massenhafte Auftreten der Brackwasseralge P. parvum in der Oder nach und nannte es als wahrscheinliche Ursache für die Umweltkatastrophe in der Oder 2022. Die von den Algen frei gesetzten Toxine greifen die Schleimhäute von Fischen, Weichtieren und Amphibien an, so dass diese sterben, wenn bestimmte Konzentrationen überschritten werden.[34]
Wirtschaftliche Auswirkungen
Die wirtschaftlichen Auswirkungen der durch P. parvum hervorgerufenen Algenblüten bzw. Fischsterben variieren je nach Größe des betroffenen Gewässers, seinem Fischreichtum und dem Ort der Ausbrüche. Es drohen Einnahmeverluste für die Fischerei (Berufs-, aber auch Hobbyfischerei) oder für den sanften Tourismus. Insbesondere in Texas scheinen die wichtigsten direkten negativen wirtschaftlichen Auswirkungen Angelführer, Betreiber von Sommercamps, Parks, Hotels, Motels, Restaurants, Bekleidungsgeschäfte, Tankstellen usw. zu betreffen. Eine indirekte oder sekundäre Auswirkung ist die Verschlechterung des Images der betroffenen Gebiete, verbunden mit weiter verminderten Einnahmen. Eine wirtschaftliche Bewertung wurde für den Possum Kingdom Lake (PKL, ein Stausee am Brazos River, Texas) durchgeführt. Hier gab es Algenblüten durch P. parvum von Januar bis Juli 2001 und erneut im Jahr 2003. Die Algenblüte 2001 führte zu einem finanziellen Verlust von 2,8 Mio. US$ für die lokalen Gemeinden allein durch den Rückgang der Besucher.[35]
Die Art wird als möglicher Auslöser des Fischsterbens in der Oder im Jahr 2022 diskutiert. Dort wurden, nach Funden polnischer Wissenschaftler, auch vom Leibniz-Institut für Gewässerökologie und Binnenfischerei für die Art typische Toxine nachgewiesen.[36][37]
Forschungsgeschichte
Die Erstbeschreibung von P. parvum stammt aus dem Jahr 1937, die Typlokalität ist jedoch ein Brackwasserteich auf der Isle of Wight, England, UK. In Nordamerika wurde die Spezies 1985 entdeckt. Es ist nicht bekannt, ob sie in Nordamerika bereits in vorkolumbianischer Zeit (vor der Ankunft der Menschen aus dem Westen) und vor der Entwicklung der Industrie bereits natürlicherweise existierte oder ob sie vom Menschen eingeführt wurde (wie bei einigen anderen Algenarten, die leicht invasiv werden können und auch in bestimmten Gegenden invasiv wurden und die bei früheren Bestandsaufnahmen nie gefunden wurden). Im Süßwasser scheint sie durch saure und mineralisierte Einleitungen aus dem Bergbau oder von Anwohnern begünstigt zu werden. Beispielsweise wurden in der Umgebung des Lake Granbury bei Granbury (Nord-Texas), der von Episoden ökotoxischer Algenblüten betroffen war, die Abwässer vieler Anwohner ohne Klärung direkt in den See eingeleitet.[18]
Die Mikroalge wurde in vitro oder in Bioreaktoren kultiviert, um sie zu studieren.[38] Wegen ihres hohen Lipidgehalts und der relativ einfachen Kultivierung geschah dies darüber hinaus auch im Rahmen von Biokraftstoff-Projekten.[39][40][41]
Systematik
Die Spezies Prymnesium parvum wird herkömmlicherweise in Unterarten oder Formen wie folgt untergliedert:[42][43][44][45][41]
- P. parvum N.Carter, 1937(A,N,W,μ)
Zu den Formen sind jeweils eine Reihe von Stämmen bzw. Isolaten bekannt, beispielsweise PPZH01, NMBjih029, Texoma1; von P. p. f. patelliferum beispielsweise CCAP 946/4, PCC:527c, K0252, Rhpat93, R1pat93, RS2pat94, KJ22-0.2-19, KJ22-0.2-31, KJ22-0.2-39, KJ22-0.2-47.(N)

Anhand der produzierten Toxine (Prymnesine) lassen sich die ca. 40 (oder mehr) bekannten Stämme von Prymnesium parvum drei als A, B und C bezeichneten Typen zuordnen, die eigentlich eigene „kryptische“ Spezies darstellen.[47][29] Die Zuordnung eines Stammes zu einem dieser Gift-Typen kann daher Aufschluss über seine (potentielle) Toxizität geben.
Im Juli 2024 wurde von einem Team unter Leitung des Leibniz-Instituts für Gewässerökologie und Binnenfischerei (IGB) das Genom von Prymnesium parvum Typ B veröffentlicht,[26] zusätzlich zu bekannten Sequenzierungen von Typ A-Stämmen.[48][47] Beide Genome dienen nun als Referenz für weitere Zuordnungen zu diesen beiden Typen. Wie sich dabei zeigte, weisen die als Prymnesium parvum s. l. bezeichneten Stämme eine große genetische Diversität auf. Die Systematik anhand der Toxin-Typen ist nach diesen Autoren wie folgt:[26]
- Typ A
- Stamm 12B1 – USA; sequenziert, Genomlänge 93,538 Mbp (Megabasenpaare)[47]
- Stamm UTEX2797 alias UTEX 2797 – USA (Texas), ein Hybrid zweier phylogenetisch unterschiedlicher Haplotypen; sequenziert, Genomlänge je nach Autor 197,593 Mbp[47] bzw. 97,559 Mbp[48]
- Stamm CCMP3037 alias CCMP 3037 – USA; sequenziert, Genomlänge 107,322 Mbp[48]
- Stamm 12A1 – USA
- Stamm CCMP2941 – Russland
- Stamm RCC3703 – UK
- Typ B
- Stamm K-0374 – Norwegen
- Stamm KAC-39 alias KAC39 – Norwegen
- Stamm RCC3426 – Norwegen[17]
- Stamm K-008 alias K0081 – 1985 aus Brackwasser im Nordwesten von Dänemark isoliert; sequenziert, 756 Mbp (triploid)
- Stamm ODER1 – verantwortlich für das Fischsterben in der Oder 2022; sequenziert, Genomlänge 534 Mbp (diploid), nahe verwand mit K-0081
- Typ C – Subtypen nach Wisevacer (2023)[47]
- Stamm RCC1433 – Frankreich, Subtyp C1
- Stamm RCC191 – UK, Subtyp C1
- Stamm RCC1436 – Frankreich, Subtyp C2
- Stamm UTEX995 – UK, Subtyp C2
- Stamm K0252 alias K-0252 – Australien, Subtyp C3
Die Sequenzierung eines Typ-C-Genoms steht derzeit (Juli 2024) noch aus.
Viren


P. parvum wird parasitiert von Viren der vorgeschlagenen Spezies Prymnesium parvum DNA virus BW1 (PpDNAV, PpDNAV-BW1)[50] Dieses Riesenvirus wurde als Algenvirus zunächst mit der Virenfamilie Phycodnaviridae (Ordnung Algavirales) in Verbindung gebracht, steht aber tatsächlich den Mimiviridae näher. Es gehört zu einer früher OLPG (en. Organic Lake Phycodna (Virus) Group) genannten Klade, für die inzwischen das International Committee on Taxonomy of Viruses (ICTV) die Mimiviridae-Schwesterfamilie Mesomimiviridae innerhalb der gemeinsamen Ordnung Imitervirales geschaffen hat.[49][51][52]
Weblinks
- Prymnesium parvum N.Carter, auf: Great Lakes Aquatic Nonindigenous Species Information System (GLANSIS)
- AlgaeBase: Prymnesium parvum N.Carter, M. D. Guiry & G. M. Guiry, mit Bildergalerie
- NCBI: Prymnesium parvum (species)
- uBio: Prymnesium parvum N. Carter ex J. C. Green, D. J. Hibberd & Pienaar, Universal Biological Indexer and Organizer, MBLWHOI Library, The Marine Biological Laboratory, 11. Juli 2005 (Erstelldatum)
- WoRMS: Prymnesium parvum N.Carter, 1937, World Register of Marine Species
- TPWD: Golden Alga Photo Gallery, Texas Parks and Wildlife Department („Golden Alga“: Prymnesium parvum)
- Johannes A. Hagström, Edna Granéli: Removal of Prymnesium parvum (Haptophyceae) cells under different nutrient conditions by clay. In: Harmful Algae, Band 4, Nr. 2, Februar 2005, S. 249–260; doi:10.1016/j.hal.2004.03.004 (englisch).
- Sean Watson: Literature Review of the Microalga Prymnesium parvum and its Associated Toxicity, Texas Parks and Wildlife Department (TPWD), August 2001 (englisch), Memento vom 10. März 2007.
- Niclas Johansson, Edna Granéli: Influence of different nutrient conditions on cell density, chemical composition and toxicity of Prymnesium parvum (Haptophyta) in semi-continuous cultures. In: Journal of Experimental Marine Biology and Ecology, Band 239, 15. Juni 1999, S. 243–258; doi:10.1016/S0022-0981(99)00048-9 (englisch).
Einzelnachweise
- ↑ a b c d e CABI: Prymnesium parvum (golden algae), Invasive Species Compendium (ISC).
- ↑ a b c d e f Prymnesium parvum Blooms in Florida (2005-present), Florida Fish and Wildlife Conservation Commission (englisch).
- ↑ Sarah P. Gibbs: The Chloroplast Endoplasmic Reticulum: Structure, Function, and Evolutionary Significance. In: International Review of Cytology, Band 72, 1981, S. 49–99, ISSN 0074-7696, ISBN 978-0-12-364472-5; doi:10.1016/S0074-7696(08)61194-8 (englisch).
- ↑ a b Sven B. Gould, Ross F. Waller, Geoffrey I. McFadden: Plastid Evolution. In: Annual Review of Plant Biology, Band 59, Juni 2008, S. 491–517; doi:10.1146/annurev.arplant.59.032607.092915 (englisch).
- ↑ Zhenfeng Liu, Adriane C. Jones, Victoria Campbell, K. David Hambright, Karla B. Heidelberg, David A. Caron: Gene expression in the mixotrophic prymnesiophyte, Prymnesium parvum, responds to prey availability. In: Front. Microbiol., 20. April 2015; doi:10.3389/fmicb.2015.00319 (englisch).
- ↑ Kevin J. Carpenter, Maitrayee Bose, Lubos Polerecky, Alle A. Y. Lie, Karla B. Heidelberg, David A. Caron: Single-Cell View of Carbon and Nitrogen Acquisition in the Mixotrophic Alga Prymnesium parvum (Haptophyta) Inferred From Stable Isotope Tracers and NanoSIMS. In: Front. Mar. Sci., 11. Mai 2018; doi:10.3389/fmars.2018.00157 (englisch).
- ↑ a b c d Sean Watson: Literature Review of the Microalga Prymnesium parvum and its Associated Toxicity, Texas Parks and Wildlife Department (TPWD), August 2001
- ↑ D. M. J. Dickson, G. O. Kirst: Osmotic Adjustment in Marine Eukaryotic Algae: The Role of Inorganic Ions, Quaternary Ammonium, Tertiary Sulphonium and Carbohydrate Solutes. In: New Phytol. Band 106, 1987, S. 657–666; doi:10.1111/j.1469-8137.1987.tb00166.x (englisch).
- ↑ a b c d e Daniel Killerup Svenssen, Sofie Bjørnholt Binzer, Nikola Medić, Per Juel Hansen, Thomas Ostenfeld Larsen, Elisabeth Varga: Development of an Indirect Quantitation Method to Assess Ichthyotoxic B-Type Prymnesins from Prymnesium parvum. In: MDPI: Toxins, Band 11, Nr. 5, 4. Mai 2019, Special Issue Environmental Drivers of Algal and Cyanobacterial Toxin Dynamics, 251; doi:10.3390/toxins11050251 (englisch).
- ↑ Rakib H. Rashel, Reynaldo Patiño: Influence of genetic background, salinity, and inoculum size on growth of the ichthyotoxic golden alga (Prymnesium parvum). In: Harmful Algae. 66. Jahrgang, 2017, S. 97–104, doi:10.1016/j.hal.2017.05.010, PMID 28602258 (englisch).
- ↑ Robert G. Howells, Joan Glass et al.: Golden Alga (Prymnesium parvum) und Golden Alga Management and Research, Texas Parks and Wildlife Department (TPWD), Harmful Algal Blooms (englisch).
- ↑ a b Nach Fischsterben: Giftige Alge stellt Wissenschaft vor Rätsel. Auf: orf.at vom 2. Juli 2024.
- ↑ Eugenio Melotti: Alghe imbroglione, Aula di scienze, 8. Februar 2013 (italienisch)
- ↑ K. Reich, I. Parnas: Effect of Illumination on Ichthyotoxin in an Axenic Culture of Prymnesium parvum Carter, in: Journal of Protozoology, Band 9, Nr. 1, Februar 1962, S. 38–40; doi:10.1111/j.1550-7408.1962.tb02577.x (englisch)
- ↑ a b c Tomoji Igarashi, Masayuki Satake, Takeshi Yasumoto: Prymnesin-2: A Potent Ichthyotoxic and Hemolytic Glycoside Isolated from the Red Tide Alga Prymnesium parvum. In: Journal of American Chemical Society, Band 118, Nr. 2, S. 479–480, 17. Januar 1996; doi:10.1021/ja9534112 (englisch).
- ↑ a b Schonna R. Manning, John W. La Claire II: Prymnesins: Toxic Metabolites of the Golden Alga, Prymnesium parvum Carter (Haptophyta), in: MDPI: Marine Drugs, Band 8, Nr. 3, Special Issue Algal Toxins, S. 678–704; doi:10.3390/md8030678, PMC 2857367 (freier Volltext), PMID 20411121 (englisch). Siehe insbes. Graphical Abstract, Fig. 1 P. parvum cells (UTEX 2797)
- ↑ a b c
Timothy R. Fallon, Vikram V. Shende, Igor H. Wierzbicki, Amanda L. Pendleton, Nathan F. Watervoot, Robert P. Auber, David J. Gonzalez, Jennifer H. Wisecaver, Bradley S. Moore: Giant polyketide synthase enzymes in the biosynthesis of giant marine polyether toxins. In: Science, Band 385, Nr. 6709, 8. August 2024, S. 671-678; doi:10.1126/science.ado3290 (englisch). Dazu:
- Elena Bernard: Wie riesige Algen-Enzyme Gift produzieren. Auf: wissenschaft.de vom 8. August 2024.
- David Nield: Fish-Killing Toxin Sets New Record in Just How Big a Protein Can Get. Auf: sciencealert vom 9. August 2024.
- ↑ a b Cindy Contreras, David Sager (TPWD): Prymnesium parvum fish kill in Texas, Post auf: whoi.edu (Woods Hole Oceanographic Institution), undatiert
- ↑ Tina Baier, Patrick Pleul: Umweltkatastrophe: Hat eine giftige Algenart die Fische in der Oder getötet? Auf: Süddeutsche Zeitung vom 18. August 2022.
- ↑ Kai Küstner, Kerstin Palzer: Experten zur Oder-Katastrophe: Hoher Salzgehalt ursächlich für Fischsterben. Auf: tagesschau.de, Stand: 30.09.2022, 11:58.
- ↑ Katharina Menne: Ökologie: Polnische Behörden haben giftige Alge im Oderwasser gefunden. Auf: spektrum.de vom 18. August 2022.
- ↑ Johannes Graupner: Verdacht erhärtet sich: Algengift einer Brackwasser-Art in Oderwasser nachgewiesen - natürliche Ursachen unwahrscheinlich. Pressemitteilung, Leibniz-Institut für Gewässerökologie und Binnenfischerei, 19. August 2022.
- ↑ Brandenburg: Oder-Abzweig: Viele tote Fische im Gleiwitzer Kanal in Polen entdeckt. Auf: tagesschau.de, Stand: 9. Mai 2024 16:48.
- ↑ Olaf Wagner et al.: Aus Kanal angeschwemmt: Nach Fischsterben: Wieder giftige Algen in der Oder entdeckt. Auf: t-online.de vom 18. Mai 2024.
- ↑ Forscher entschlüsseln Erbgut der Oder-Goldalge und entdecken Gift-Quelle . Auf: rbb24 vom 23. Juli 2024.
- ↑ a b c d
Heiner Kuhl, Jürgen F. H. Strassert, Dora Čertnerová, Jan Köhler, Michael T. Monaghan, Matthias Stöck et al.: The haplotype-resolved Prymnesium parvum (type B) microalga genome reveals the genetic basis of its fish-killing toxins. In: Current Biology, 9. Juli 2024; doi:10.1016/j.cub.2024.06.033 (englisch). Dazu:
- Nadja Neumann: Komplettes Erbgut und Gift-Gene der Mikroalge der Oder-Katastrophe entschlüsselt. Pressemitteilung, Leibniz-Institut für Gewässerökologie und Binnenfischerei (IGB)
- Referenzgenom für Frühwarnsystem – Oder-Katastrophe: Komplettes Erbgut und Gift-Gene der Mikroalge entschlüsselt. Auf: Laborpraxis Vogel (laborpraxis.vogel.de) vom 10. Juli 2024. Quelle: IGB.
- ↑ Nahe Fluss Oder in Polen: Tonnenweise tote Fische aus Stausee geborgen. Auf: ZDF.de vom 10. August 2024.
- ↑ a b c Giovana O. Fistarol, Catherine Legrand, Edna Granéli: Allelopathic effect of Prymnesium parvum on a natural plankton community, in: Marine Ecology Progress Series, Band 255, S. 115–125, 24. Juni 2003
- ↑ a b c Sofie Bjørnholt Binzer, Daniel Killerup Svenssen, Niels Daugbjerg, Catharina Alves-de-Souza, Ernani Pinto, Per Juel Hansen, Thomas Ostenfeld Larsen, Elisabeth Varga: A-, B- and C-type prymnesins are clade specific compounds and chemotaxonomic markers in Prymnesium parvum. In: Harmful Algae, Band 81, Januar 2019, S. 10–17; doi:10.1016/j.hal.2018.11.010 (englisch).
- ↑ Alasdair Wilkins: Toxic algae species is full of freeloading cheaters... and why that makes them even deadlier, auf: Gizmodo vom 20. Januar 2013 (alternativer Link)
- ↑ Urban Tillman: Kill and eat your predator: a winning strategy of the planktonic flagellate Prymnesium parvum, in: Aquatic microbial ecology, Band 32, Nr. 1, S. 73–84, ISSN 0948-3055, auf RefDoc.fr für: Alfred-Wegener-Institut, Bremerhaven. Memento vom 4. März 2016 (WebArchiv). (englisch)
- ↑ Biology of Golden Alga, Prymnesium parvum — What Is Prymnesium parvum?, Texas Parcs and Wildlife Department (TPWD)
- ↑ M. Shilo: The toxic principles of Prymnesium parvum, in: W. W. Carmichael (Hrsg.): The Water Environment: algal toxins and health, Environmental Science Research book series (EDPC), Plenum Press, New York, S. 37–47, doi:10.1007/978-1-4613-3267-1 4
- ↑ Umweltkatastrophe an der Oder: IGB-Forschende verfolgen Spur potenziell giftiger Algen Leibniz-Institut für Gewässerökologie und Binnenfischerei, aufgerufen am 31. August 2022
- ↑ Chi-Ok Oh, Robert B. Ditton: Estimating the Economic Impacts of Golden Algae (Prymnesium parvum) on Recreational Fishing at Possum Kingdom Lake, Texas, Report Prepared for the Texas Parks and Wildlife Department (TPWD), 1. Oktober 2005, 34 Seiten.
- ↑ Polnische Behörden haben giftige Alge im Oderwasser gefunden Spektrum.de News, aktualisiert am 19. August 2022
- ↑ Polen: Toxische Algen in der Oder entdeckt. mdr.de, Stand: 18. August 2022.
- ↑ K. Reich, J. Kahn: A bacteria-free culture of Prymnesium parvum (Chrysomonadina), in: Bull. Res. Council Israel., Band 4, 1954, S. 144–149
- ↑ Andrew Eloka-Eboka, Chiemela Onunka, Freddie Inambao: Detailed design and optimization of a sustainable micro-algal biofuel process plant, in: International Journal of Low-Carbon Technologies, Band 13, Nr. 2, Juni 2018, S. 122–130, doi:10.1093/ijlct/cty004
- ↑ D. H. P. Ng, Y. K. Ng, H. Shen, Y. K. Lee: Microbial technology: the way forward. in S. Kim (Hrsg.): Handbook of Marine Microalgae, 2015, S. 69–80.
- ↑ a b Prymnesium parvum N.Carter, auf: Great Lakes Aquatic Nonindigenous Species Information System (GLANSIS)
- ↑ a b AlgaeBase: Prymnesium parvum N.Carter 1937
- ↑ a b NCBI: Prymnesium parvum (species); graphisch: Prymnesium parvum, auf: Lifemap, NCBI Version.
- ↑ a b Nordic Microalgae: Prymnesium parvum N.Carter, auf: Nordic Microalgae and aquatic protozoa, Swedish Meteorological and Hydrological Institute (SMHI)
- ↑ a b WoRMS: Prymnesium parvumN.Carter, 1937
- ↑ Orietta Beltrami, Marcela Escobar, Gloria Collantes: New record of Prymnesium parvum f. patelliferum (Green, Hibberd & Piennar) Larsen stat. nov. (Prymnesiophyceae) from Valparaíso Bay. In: Invest. Mar., Valparaíso, Band 35, Nr. 1, S. 97–104, Mai 2007, ISSN 0717-7178; doi:10.4067/S0717-71782007000100009, PDF (englisch).
- ↑ a b c d e Jennifer H. Wisecaver, Robert P. Auber, Amanda L. Pendleton, Schonna R. Manning, Bradley S. Moore, William W. Driscoll et al.: Extreme genome diversity and cryptic speciation in a harmful algal-bloom-forming eukaryote. In: Current Biology, Band 33, Nr. 11, 5. Juni 2023, S. 2246-2259.e8; doi:10.1016/j.cub.2023.05.003, Epub 23. Mai 2023 (englisch).
- ↑ a b c Jianbo Jian, Zhangyan Wu, Arisbe Silva-Núñez, Xiaohui Li, Xiaomin Zheng, Bei Luo, Yun Liu, Xiaodong Fang, Christopher T. Workman, Thomas Ostenfeld Larsen, Per Juel Hansen, Eva C. Sonnenschein: Long-read genome sequencing provides novel insights into the harmful algal bloom species Prymnesium parvum. In: Science of The Total Environment, Band 908, 15. Januar 2024, S. 168042; doi:10.1016/j.scitotenv.2023.168042 (englisch).
- ↑ a b c Ben A. Wagstaff, Iulia C. Vladu, J. Elaine Barclay, Declan C. Schroeder, Gill Malin, Robert A. Field: solation and Characterization of a Double Stranded DNA Megavirus Infecting the Toxin-Producing Haptophyte Prymnesium parvum. In: MDPI: Viruses, Band 9, Nr. 3, Special Issue Marine Viruses 2016, 9. März 2017, S. 40; doi:10.3390/v9030040 (englisch).
- ↑ NCBI: Prymnesium parvum DNA virus BW1 (species) – unclassified Prymnesiovirus
- ↑ Ben A Wagstaff, Edward S. Hems, Martin Rejzek, Jennifer Pratscher, Elliot Brooks, Sakonwan Kuhaudomlarp, Ellis C. O’Neill, Matthew I. Donaldson, Steven Lane, John Currie, Andrew M Hindes, Gill Malin, J. Colin Murrell, Robert A. Field: Insights into toxic Prymnesium parvum blooms: the role of sugars and algal viruses. In: Biochem Soc Trans, 46(2), 17. April 2018, S. 413–421; doi:10.1042/BST20170393, PMID 29540506, PMC 5906706 (freier Volltext) (englisch).
- ↑
Yanze Li, Hisashi Endo, Yasuhiro Gotoh, Hiroyasu Watai, Nana Ogawa, Romain Blanc-Mathieu, Takashi Yoshida, Hiroyuki Ogata: The Earth Is Small for “Leviathans”: Long Distance Dispersal of Giant Viruses across Aquatic Environments. In: Microbes Environ. Band 34, Nr. 3, September 2019, S. 334–339, Epub 3. August 2019; doi:10.1264/jsme2.ME19037, PMC 6759346 (freier Volltext), PMID 31378760 (englisch). Siehe insbes. Fig. 4.
Anm.: Wegen der Platzierung im Stammbaum und DORTIGER Referenz auf Santini (2013) meint Phaeocystis_globosa_virus hier Tethysvirus hollandense, insbesondere PgV-16T. Mit ‘Megaviridae’ werden die erweiterten Mimiviridae, also die Imitervirales bezeichnet, mit ‘Megamimivirinae’ die ganze Familie Mimiviridae und ‚Mesomimivirinae‘ umfasst alle drei Schwesterfamilien der Mimiviridae (Allo-, Meso- und Schizomimivirinae).
