Antibiotikaassoziierte Kolitis
| Klassifikation nach ICD-10 | |
|---|---|
| A04.7 | Enterokolitis durch Clostridium difficile - Pseudomembranöse Kolitis |
| ICD-10 online (WHO-Version 2019) | |
Eine antibiotikaassoziierte Kolitis oder pseudomembranöse Kolitis entsteht, wenn die Darmflora (meist iatrogen bedingt) durch Antibiotika so sehr geschädigt wird, dass sich auf diese Weise insbesondere das Bakterium Clostridioides difficile sehr stark vermehren kann. Die von den Clostridien ausgeschiedenen Toxine verursachen Fieber, Bauchschmerzen, Durchfall und Flüssigkeitsverlust.
Vorkommen
Clostridioides difficile ist ein grampositives, anaerobes Bakterium und kein Bestandteil der physiologischen Darmflora, allerdings bei Erwachsenen in 3–7 % und bei Säuglingen in über 50 % der Fälle dennoch nachweisbar, ohne dass diese erkrankt wären. Patienten im Krankenhaus scheiden Clostridioides difficile mit einer Wahrscheinlichkeit von 40 % aus.[1][2]
Jedes Antibiotikum kann auch noch bis zu vier Wochen nach dessen Absetzen eine antibiotikaassoziierte Kolitis auslösen, auch diejenigen, die in der Regel zu ihrer Behandlung eingesetzt werden.
Durch die von den Clostridien ausgeschiedenen Giftstoffe (große clostridiale Zytotoxine: Toxin A und Toxin B) kann eine Diarrhoe mit teilweise sehr schwerem Verlauf entstehen, die lebensbedrohlichen Flüssigkeitsverlust durch (blutige) Durchfälle beinhalten kann. Das Gift des Clostridioides difficile zerstört dabei die Schleimhautschichten und es kommt zu „vulkanartigen“ Fibrinausschwitzungen, die in der Koloskopie als „Katzenköpfe“ beschrieben werden.
2002 wurde der NAP1-Stamm (North American Pulsed field type 1) in Nordamerika beschrieben,[3] der deutlich mehr Toxine bilden kann und deshalb als virulenter gilt.
Symptome

Durchfall und Bauchkrämpfe sind die Leitsymptome der Erkrankung, können aber auch viele andere Ursachen haben. Nur rund 10–20 % aller Patienten mit Verdacht auf C. difficile sind auch im Labortest positiv. Dabei wurde sowohl von Patienten als auch von Ärzteseite der Stuhl in vielen Fällen als charakteristisch übelriechend beschrieben.[3]
Risikofaktoren
Da Clostridioides difficile im sauren Milieu des Magens weitgehend zerstört wird, stellen Protonenpumpenhemmer einen Risikofaktor für eine Antibiotika-assoziierte Diarrhoe dar.[4]
Darüber hinaus begünstigen verschiedene Antibiotika die Besiedlung mit Clostridien mehr als andere; besonders hervorzuheben sind Clindamycin,[5] Penicilline (Amoxicillin, Ampicillin), Cephalosporine und Chinolon-Antibiotika. Antibiotika stören die physiologische Darmflora, die in gesundem Milieu als „Platzhalter“ fungiert. Außerdem sorgen sie für Verschiebungen im Gallensäurehaushalt, so dass die Vermehrung von vegetativen Formen des C. difficile nicht mehr ausreichend gehemmt wird.[6]
Diagnose


Hinweisend auf eine durch C. difficile ausgelöste Kolitis sind Fieber und eine Leukozytose. Diese kann sehr hohe Werte (>30.000/µL) erreichen. Nach US-amerikanischen Leitlinien der SHEA wird die Erkrankung ab 15.000/µL oder bei einer Schädigung der Nieren (Kreatininanstieg um das 1,5fache) als schwer bezeichnet. Dabei korreliert die Leukozytenzahl mit dem Sterberisiko.[3]
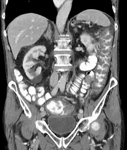
Im Ultraschall und in der Computertomographie kann man die langstreckige Darmwandverdickung des Dickdarmes erkennen. Endoskopisch sieht man im Dickdarm grünliche Fibrinbeläge, die teils fleckig, teils flächenhaft zu finden sind.
Die endgültige Diagnose erfolgt durch verschiedene Tests des Stuhls auf Vorhandensein des Erregers oder seiner Toxine. Als Goldstandard gilt der Zytotoxin-Assay. Dabei werden Fibroblasten mit Proben des Stuhls kontaminiert. In Anwesenheit von Clostridientoxinen sind charakteristische Veränderungen mikroskopisch sichtbar. Diese Veränderungen werden wiederum durch Antitoxin rückgängig gemacht, um die Diagnose zu bestätigen. Der Test ist jedoch technisch aufwändig und braucht zwei bis drei Tage. Ebenso ist eine toxinbildende Kultur möglich. Dabei werden andere Bakterien durch Hitze oder Alkohole zerstört und die Zellkultur auf das Vorhandensein der Toxine überprüft. Der Test benötigt rund 3–5 Tage. Beide Tests sind sehr sensitiv und relativ spezifisch.[3]
Der gebräuchlichste Test ist jedoch ein Enzymimmunoassay gegen die Toxine selbst oder ein Enzym (Glutamatdehydrogenase) der Bakterien. Beide Tests sind weniger sensitiv als die vorhergehenden Methoden. Jedoch sind sie technisch einfach, kostengünstig und binnen Stunden durchführbar. Der Test auf das Bakterienenzym zeigt dabei nur das Vorhandensein der Bakterien an, nicht ihre Toxinproduktion. Infolgedessen ist es sinnvoll, beide Tests zu kombinieren. Ebenso schnell, jedoch teurer ist eine PCR, welche die DNA des Bakteriums nachweist.[3]
Differentialdiagnose
Die pseudomembranöse Kolitis ist abzugrenzen von der einfachen, Antibiotika-assoziierten Diarrhoe, die nicht durch eine Darmentzündung ausgelöst wird.
Eine seltenere Form der Antibiotika-assoziierten Kolitis ist die durch Klebsiellen ausgelöste, Antibiotika-assoziierte hämorrhagische Kolitis. Sie betrifft häufig junge, sonst gesunde Patienten und geht mit Bauchkrämpfen und blutigen Durchfällen einher.
Therapie
Erste Maßnahme zur Therapie stellt, sofern möglich, das Absetzen des auslösenden Antibiotikums dar, daneben Unterstützung des Wasser- und Elektrolythaushalts. Bei Verdacht oder bestätigter Clostridienenteritis sollte auf Hemmer der Darmbeweglichkeit und Hemmer der Magensäureproduktion nach Möglichkeit verzichtet werden.[7]
Bei einem leichten Krankheitsbild und einem Patienten ohne Risikofaktoren kann unter engmaschiger klinischer Beobachtung der Spontanverlauf abgewartet werden. Bei allen anderen Fällen sollte frühzeitig eine Behandlung mit Antibiotika gegen Clostridien erfolgen. Mittel der ersten Wahl sind Fidaxomicin oder Vancomycin. Bei erhöhtem Risiko eines Rezidivs sollte primär Fidaxomicin eingesetzt werden. Bei nicht-schwerem Krankheitsbild, fehlenden Risikofaktoren und guter Patientenmitarbeit kann eine Behandlung mit Metronidazol erwogen werden. Die Antibiotika werden vorzugsweise als Tabletten verabreicht. Ist eine Tabletteneinnahme nicht möglich, kann die Antibiotikagabe über eine Magen-, Zwölffingerdarm- oder Dickdarmsonde erfolgen. Bei ausgeprägter Störung der Darmbeweglichkeit durch die Erkrankung kann auch eine intravenöse Gabe von Metronidazol oder Tigecyclin erwogen werden.[7]
Rund ein Fünftel der Patienten erleidet, in der Regel im Anschluss an die erfolgreiche medikamentöse Behandlung, einen Rückfall. Bei Behandlung der ersten Episode mit Metronidazol oder Vancomycin sollte eine Behandlung mit Fidaxomicin erfolgen. Wurde bei der ersten Episode Fidaxomicin verwendet kann dieses wieder gegeben werden. Zusätzlich kann der gegen das Clostridientoxin gerichtete Antikörper Bezlotoxumab verabreicht werden. Bei mehrfachen Rückfällen kann eine Stuhltransplantation im Anschluss an eine Standardtherapie erfolgen.[7]
Als Komplikationen der Dickdarmentzündung können ein Darmverschluss, ein Durchbruch der Darmwand oder eine generelle Entzündung und Schwellung des Dickdarms auftreten. Diese bedürfen einer operativen Behandlung und sind mit einer hohen Sterblichkeit vergesellschaftet. Hierbei gibt es Operationsverfahren, bei denen der Dickdarm vollständig oder teilweise entfernt wird.[7]
Für die Gabe von Probiotika zur Vorbeugung oder Begleitbehandlung liegt keine ausreichende Datenlage vor um eine Empfehlung auszusprechen.[7]
Hygienemaßnahmen
Um einer Infektionsverbreitung vorzubeugen, müssen im Umgang mit Erkrankten bestimmte Hygienemaßnahmen konsequent eingehalten werden. Dazu gehört die Basishygiene, wobei dem Händewaschen besondere Bedeutung zukommt: Bei Kontakt mit bestimmten sporenbildenden Erregern wie Clostridioides difficile können nur durch Händewaschen möglicherweise anhaftende Sporen reduziert werden,[8] da sie durch die üblichen Hautdesinfektionsmittel auf Alkoholbasis nicht inaktiviert werden.
Außerdem empfiehlt die Kommission für Krankenhaushygiene und Infektionsprävention (KRINKO) bei Verdacht auf oder bei diagnostizierter Clostridioides-difficile-Infektion (CDI) neben Barrieremaßnahmen, den symptomatischen Patienten in einem Einzelzimmer mit eigener Nasszelle unterzubringen und diese Isolierung bis mindestens 48 Stunden nach Ende der Durchfallsymptomatik aufrechtzuerhalten.[9]
Komplikationen
Als Folge tritt wie bei jeder schweren Durchfallerkrankung ein Flüssigkeitsmangel (Dehydratation) auf. Als weitere Komplikationen können ein toxisches Megakolon, eine Perforation des Kolons, eine Durchwanderungsperitonitis und ein septischer Schock auftreten.[10]
Diesen Krankheitsverlauf bezeichnet man als fulminante Kolitis. Rund vier Prozent der Patienten haben einen fulminanten Verlauf. Drei Faktoren konnten als unabhängige Vorhersagefaktoren für einen tödlichen Verlauf identifiziert werden: Alter über 70 Jahre, starke Vermehrung oder Verminderung der weißen Blutzellen sowie Versagen des Herz-Kreislauf-Systems mit der Notwendigkeit medikamentöser Kreislaufunterstützung oder Intubation.[11] Ein 2002 erstmals bei einer Epidemie in Québec isolierter Stamm namens NAP1/027, der eine Toxinüberproduktion in-vitro zeigt, wurde mit schwerwiegenderen Krankheitsverläufen in Verbindung gebracht.[12]
Forschungsgeschichte
Die erste Assoziation mit dem Antibiotikum Clindamycin und feingewebliche Beschreibung der Erkrankung erfolgte während der 1970er Jahre. Die Erkrankung wurde 1977 zuerst von einer Forschergruppe um John Bartlett auf Clostridium difficile zurückgeführt.[2]
Ökonomische Bedeutung
Fälle von antibiotikaassoziierter Colitis bedingen zahlreiche, kostenintensive Maßnahmen in Krankenhäusern und Pflegeeinrichtungen. Insbesondere eine epidemieartige Ausbreitung unter hospitalisierten Patienten kann erhebliche Betriebsstörungen bis zur Schließung ganzer Abteilungen nach sich ziehen. In der Mitte des letzten Jahrzehnts durchgeführte Schätzungen gehen von rund 3 Milliarden Euro Kosten pro Jahr in der Europäischen Union und 1,1 Milliarden US-Dollar in den USA aus.[2]
Siehe auch
Literatur
- Marianne Abele-Horn: Antimikrobielle Therapie. Entscheidungshilfen zur Behandlung und Prophylaxe von Infektionskrankheiten. Unter Mitarbeit von Werner Heinz, Hartwig Klinker, Johann Schurz und August Stich, 2., überarbeitete und erweiterte Auflage. Peter Wiehl, Marburg 2009, ISBN 978-3-927219-14-4, S. 191–193.
Einzelnachweise
- ↑ Gerd Herold und Mitarbeiter: Innere Medizin. Köln 2011, ISBN 978-3-9814660-2-7, S. 842f.
- ↑ a b c T. Schneider, T. Eckmanns, R. Ignatius, K. Weist, O. Liesenfeld: Clostridium-difficile-assoziierte Diarrhö. In: Deutsches Ärzteblatt. Jg. 104, Heft 22, 1. Juni 2007, S. 1588–1594.
- ↑ a b c d e J. G. Bartlett: Clostridium difficile: progress and challenges. In: Ann N Y Acad Sci. 2010 Dec;1213, S. 62–69, PMID 21175676
- ↑ M. Aseeri, T. Schroeder, J. Kramer, R. Zackula: Gastric acid suppression by proton pump inhibitors as a risk factor for clostridium difficile-associated diarrhea in hospitalized patients. In: Am J Gastroenterol. 2008 Sep;103(9), S. 2308–2313, PMID 18702653.
- ↑ Which Antibiotics Are Most Associated with Causing Clostridium difficile Diarrhea? Abgerufen am 5. Januar 2021.
- ↑ KRINKO-Empfehlung Hygienemaßnahmen bei Clostridioides difficile-Infektion (CDI). 2019, S. 907. ( des vom 18. September 2020 im Internet Archive) Info: Der Archivlink wurde automatisch eingesetzt und noch nicht geprüft. Bitte prüfe Original- und Archivlink gemäß Anleitung und entferne dann diesen Hinweis. Abgerufen am 26. September 2019.
- ↑ a b c d e Ansgar W. Lohse et al.: S2k-Leitlinie Gastrointestinale Infektionen der Deutschen Gesellschaft für Gastroenterologie, Verdauungs- und Stoffwechselkrankheiten (DGVS). Juni 2023, AWMF-Registernummer 021 - 024, S. 68–77
- ↑ KRINKO-Empfehlung Hygienemaßnahmen bei Clostridioides difficile-Infektion (CDI). 2019, S. 912. ( des vom 18. September 2020 im Internet Archive) Info: Der Archivlink wurde automatisch eingesetzt und noch nicht geprüft. Bitte prüfe Original- und Archivlink gemäß Anleitung und entferne dann diesen Hinweis. Abgerufen am 26. September 2019.
- ↑ KRINKO-Empfehlung Hygienemaßnahmen bei Clostridioides difficile-Infektion (CDI). 2019, S. 912 und 916. ( des vom 18. September 2020 im Internet Archive) Info: Der Archivlink wurde automatisch eingesetzt und noch nicht geprüft. Bitte prüfe Original- und Archivlink gemäß Anleitung und entferne dann diesen Hinweis. Abgerufen am 26. September 2019.
- ↑ Gerd Herold und Mitarbeiter: Innere Medizin. Köln 2013, S. 867 f.
- ↑ E. A. Sailhamer, K. Carson, Y. Chang, N. Zacharias u. a.: Fulminant Clostridium difficile colitis: patterns of care and predictors of mortality. In: Arch Surg. 2009 May;144(5), S. 433–439; discussion 439–440. PMID 19451485.
- ↑ M. Warny, J. Pepin, A. Fang, G. Killgore, A. Thompson u. a.: Toxin production by an emerging strain of Clostridium difficile associated with outbreaks of severe disease in North America and Europe. In: Lancet. 2005 Sep 24-30;366(9491), S. 1079–1084. PMID 16182895.