Q-Fieber
| Klassifikation nach ICD-10 | |
|---|---|
| A78 | Q-Fieber |
| ICD-10 online (WHO-Version 2019) | |
| Klassifikation nach ICD-11 | |
|---|---|
| 1C33 | Q-Fieber |
| ICD-11: Englisch • Deutsch (Entwurf) | |
Q-Fieber (von englisch query „Anfrage“, gemeint ist ein Fragezeichen question mark) ist eine durch das strikt intrazellulär lebende, gramnegative Bakterium Coxiella burnetii verursachte Zoonose, die meist grippeähnliche Symptome hervorruft. Der Erreger kann als sog. Dauerform (Sporen) z. B. in Staub, auf Heu oder auf Wolle jahrelang überleben und infektiös bleiben. In Deutschland sind vor allem Schafe (durch den Kot der Wiesenzecke) Träger des Erregers. Die Übertragung erfolgt meist durch Inhalation kontaminierten Staubs. Eine Mensch-zu-Mensch-Übertragung kommt nur in Ausnahmefällen vor. Die Inkubationszeit beträgt 9 bis 40 Tage. In der Schweiz ist die Krankheit meldepflichtig.
Synonyme
Zu Q-Fieber synonyme Bezeichnungen sind Query-Fieber, Queensland-Fieber, Balkangrippe, Balkanfieber, Coxiellose, Euboea-Fieber, Kretafieber, Krim-Fieber, Pneumorickettsiose, Schlachthausfieber, Siebentagefieber, Wüstenfieber, Ziegengrippe.
Anders als das Q-Fieber (englisch auch „Queensland fever“), dem eine Infektion mit Coxiella burnetii zugrunde liegt, wird aber die im Englischen als „Australian tick typhus“ oder „Queensland tick typhus“ („Queensland-Zeckenstichfieber“) bezeichnete Erkrankung durch Rickettsia australis verursacht, eine Bakterienart der Rickettsien.
Geschichte
Die Krankheit wurde erstmals 1935[1] in Brisbane, Queensland, Australien unter dem Schlachthauspersonal[2] beobachtet und 1937 von Edward Holbrook Derrick als Erkrankung unbekannter Ursache wissenschaftlich beschrieben, was zu dem Namen Q-Fieber (von englisch query für „Frage“ im Sinne von „fraglich“, „zweifelhaft“) führte. Das Bakterium wurde ebenfalls 1937 von Frank Macfarlane Burnet und Mavis Freeman aus einem von Derricks Patienten isoliert und damals als Rickettsia-Spezies (Rickettsia burneti) angesehen. Herald Cox und Gordon Davis isolierten den Erreger 1938 aus Zecken in Montana, USA, und beschrieben den Übertragungsweg. Der Organismus wurde einige Jahre später offiziell als Coxiella burnetii anerkannt. Inzwischen wird Coxiella burnetii nicht mehr als naher Verwandter der Rickettsien betrachtet.
Vorkommen und Auftreten
Der Erreger kommt weltweit vor, außer in Neuseeland und der Antarktis. Dabei wird er in Europa häufiger durch Auslösung einer Leberentzündung und in Nordamerika einer Lungenentzündung auffällig. Das Bakterium ist extrem überlebensfähig und äußerst ansteckend (infektiös): Ein einzelnes Bakterium kann bereits eine Infektion verursachen. Träger der Bakterien sind in Deutschland vor allem Schafe. Die Übertragung auf Menschen erfolgt insbesondere durch Inhalation des zu Staub zerfallenen Kots, der durch erregerhaltige Teile kontaminiert ist. Darüber hinaus ist eine Übertragung durch Kontakt mit kontaminierten Produkten wie Wolle, Milch oder Fleisch möglich.
Zecken, insbesondere die zur Gattung Buntzecken (Dermacentor) gehörende Wiesenzecke (Dermacentor reticulatus), können den Erreger auch durch biologische Übertragung auf andere Tiere übertragen. Eine direkte Übertragung von Mensch zu Mensch scheint extrem selten zu sein und ist bisher nur wenige Male beschrieben worden.
Männer sind etwas häufiger betroffen als Frauen, was vermutlich mit der beruflichen Exposition von Personen, die in der Tierzucht, Milchverarbeitung, Schlachtung tätig sind, zusammenhängt.
Im Jahr 2009 erkrankten in den Niederlanden 2300 Menschen an Q-Fieber, 25 davon starben.[3] Zur Eindämmung der Ausbreitung wurden um die Jahreswende 2010/2011 mehrere zehntausend symptomfreie Ziegen gekeult.[4][5]
Nach Angaben des Robert Koch-Instituts wurden in Deutschland 2024 insgesamt 89 Fälle registriert, nach 73 Fällen im Jahr 2023, 65 Fällen im Jahr 2022, 99 Fällen im Jahr 2021, 53 Fällen im Jahr 2020, 148 Fällen im Jahr 2019, 93 Fällen im Jahr 2018, 107 Fällen im Jahr 2017, 275 Fällen im Jahr 2016, 320 Fällen im Jahr 2015 und 262 Fällen im Jahr 2014.[6] Einer der bislang größten Ausbrüche ereignete sich 2005 in Jena.[7][8]
Klinische Erscheinungsformen
Symptome beim Menschen

In etwa der Hälfte der Fälle verläuft die Infektion unbemerkt oder mit nur milden Symptomen. Das meist grippeähnliche Erscheinungsbild kann mit abrupt einsetzendem Fieber, starker Abgeschlagenheit, starken Kopfschmerzen, Myalgie (Muskelschmerzen), Appetitverlust, trockenem Husten, Brustschmerz, Schüttelfrost, Verwirrtheit und – seltener – Magen-Darm-Symptomen wie Übelkeit, Erbrechen und Durchfall einhergehen. Das meist leichte Fieber hält etwa 7 bis 14 Tage an.
Im Verlauf der Erkrankung kann eine Lungenentzündung (atypische Pneumonie) auftreten, welche in einem lebensbedrohlichen akuten Atemnot-Syndrom (ARDS) resultieren kann. Etwaige atmungsbedingte Symptome treten gewöhnlich früh auf (4–5 Tage nach Beginn der Erkrankung).
Etwas weniger häufig wird Q-Fieber als eine Leberentzündung (granulomatöse Hepatitis) auffällig durch generelle Abgeschlagenheit, Fieber, Lebervergrößerung, Schmerzen im rechten Oberbauch und Gelbsucht (Ikterus).
Auch eine Hirnhautentzündung kann auftreten. Zudem kommen Reaktivierungen während der Schwangerschaft oder unter Immunsuppression vor.[9]
Die noch etwas seltenere chronische Form des Q-Fiebers ist praktisch identisch mit einer durch das Bakterium verursachten Entzündung der inneren Herzhaut (Endokarditis) und des Herzbeutels (Perikarditis), die unbehandelt meist tödlich verläuft. Die Letalität (Sterblichkeit) sinkt bei angemessener Behandlung auf etwa zehn Prozent.
Das Q-Fieber ist ein bekannter Auslöser der Myalgischen Enzephalomyelitis/des Chronischen Fatigue-Syndroms (ME/CFS).[10][11]
Symptome bei Tieren
Q-Fieber verläuft bei Rindern und Schafen meist ohne deutliche Symptome (subklinisch), häufigste Krankheitserscheinungen sind Fressunlust und Fehlgeburten in der späten Trächtigkeit. Darüber hinaus kann die Infektion Unfruchtbarkeit und Euterentzündungen auslösen.[12]
Bei Katzen treten nach experimenteller Infektion für mehrere Tage Fieber, Abgeschlagenheit und Fressunlust auf.[12]
Diagnose
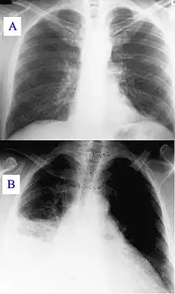
Bei Fieber unklarer Ursache kommt Q-Fieber differentialdiagnostisch in Frage. Ein Röntgenbild der Lunge kann zur Diagnose führen.
In einer Handreichung des Robert Koch-Instituts für Ärzte heißt es:
„Eine klinische oder klinisch-epidemiologische Verdachtsdiagnose kann durch serodiagnostische Verfahren mittels Nachweis von Antikörpern (gegen Coxiellen-Ag Phase II sowie gegen Phase I) auch labordiagnostisch gesichert werden. Bei der akuten Erkrankung bilden sich in erster Linie Antikörper gegen das Phase-II-Antigen; anti-Phase-I-Antikörper in hohen Titern sind für einen chronischen Verlauf typisch. […] In Speziallaboratorien kann auch ein Erregernachweis mittels Zellkultur oder Nukleinsäure-Nachweis (PCR) erfolgen. In Biopsiematerial kann der Erreger mittels der Immunfluoreszenz oder elektronenmikroskopisch nachgewiesen werden. C. burnetii ist als Erreger in die Sicherheitsstufe 3 eingestuft.“[13]
Therapie
Die Therapie der akuten Form ist in aller Regel erfolgreich und erfolgt in Absprache mit Infektiologen durch Antibiotika. Zum Einsatz kommen intrazellulär wirksame Antibiotika, insbesondere Tetracycline (z. B. Doxycyclin), Makrolidantibiotika (z. B. Clarithromycin) und Chinolon-Antibiotika (z. B. Ciprofloxacin oder Levofloxacin). Außerdem sind das Malariamittel Hydrochloroquin und das Chloramphenicol wirksam.
Zur Behandlung der chronischen Form wird für eine Dauer von – je nach Autor – einem bis vier Jahren eine Zweier- oder Dreier-Kombination der genannten Antibiotika verabreicht.
Impfung
Da ein Impfstoff existiert, könnten besonders exponierte Personen wie zum Beispiel Tierärzte, Schlachthofpersonal oder Labormitarbeiter vorsorglich geimpft werden.[14] Der australische Impfstoff (Q-Vax) ist in Deutschland jedoch nicht zugelassen.
In der Schweiz ist kein Impfstoff zugelassen.[15]
Verwendung als Waffe
Bedingt durch den Infektionsweg und die Ausbildung von Dauerformen stellt die Verbreitung von Q-Fieber eine biologische Waffe dar, die bei militärischem Einsatz prognostizierte 23–77 % Ausfälle bei geringer Mortalität bewirkt und die Aktionsfähigkeit der betroffenen Einheit signifikant beeinflusst.[16]
Q-Fieber kann leicht produziert werden und wurde bei Untersuchungen in bis zu zwei Kilometern Entfernung vom Infektionsherd festgestellt. Für militärische Verwendung ist – auch angesichts der geschätzten Infektionsdosis von 1–10 Organismen – insbesondere die Verteilung als Aerosol wirksam.[17] Laut einer Schätzung würde ein solcher Einsatz von 50 Kilogramm C. burnetii als zwei Kilometer lange Linie in einer betroffenen Stadt mit 500.000 Einwohnern etwa 150 Tote und 125.000 Kampfunfähige bewirken, davon etwa 9.000 mit chronischen Folgen. Insbesondere diese chronischen Folgen, wie auch die Wirkung auf Nutztiere in Form von Fehlgeburten und Fehlbildungen und die daraus resultierende Angst vor Verzehr derselben machen den Erreger des Q-Fiebers durch die psychologische Wirkung der folgenden Erkrankung zu einer geeigneten bioterroristischen Substanz.[16]
Q-Fieber wurde im Waffenprogramm der USA, das ab 1942 in Fort Detrick durchgeführt wurde, als mögliches, waffenfähiges Pathogen gelistet. 1954 erfolgten Versuche an Freiwilligen im Rahmen des Project Whitecoat. Bis zum Ende des Biowaffenprogramms 1969/70 befand sich Q-Fieber vermutlich im aktiven Arsenal der USA. In der Zeit von 1950 bis 1965 infizierten sich 50 in Fort Detrick arbeitende Virologen, Bakteriologen und Techniker mit Q-Fieber – hierbei stammten nur fünf der Infektionen aus bekannten Laborunfällen.[16] Aber auch heute noch wird in den USA an Q-Fieber defensive Biowaffenforschung betrieben. Im Februar 2006 kam es zur Infektion einer Mitarbeiterin des Biowaffenforschungslabors der Texas A&M University.[18]
In Russland wurde C. burnetii bereits vor dem Zweiten Weltkrieg als Waffe hergestellt, die Produktion dauerte bis zumindest 1990 an.[16]
Bioterroristisch wurde Q-Fieber von Ōmu Shinrikyō zunächst in Betracht gezogen. Ein möglicher Anschlag fand 1987 in Oxfordshire gegen die britische Post statt. Der Ursprung des Pathogens wurde nicht entdeckt, als Träger werden jedoch kontaminierte Briefe vermutet. Dieser Verteilungsweg stellt aufgrund der hohen Geschwindigkeit moderner Sortieranlagen und der resultierenden weiten Streuung des Agens ein besonderes Problem dar.[16]
Meldepflicht
Deutschland
Der direkte oder indirekte Nachweis von Coxiella burnetii, soweit er auf eine akute Infektion hinweist, muss in Deutschland nach § 7 Infektionsschutzgesetz (IfSG) namentlich gemeldet werden. Meldepflichtig sind Labore usw. (§ 8 IfSG)
Nach dem Recht Sachsens besteht nach § 1 Absatz 1 Nummer 16 Sächsische Infektionsschutz-Meldeverordnung eine namentliche Meldepflicht bezüglich Erkrankung und Tod an Q-Fieber.[19]
Erkrankungen von Wiederkäuern an Q-Fieber unterliegen in Deutschland der Meldepflicht nach dem Tiergesundheitsgesetz.[20]
Schweiz
Die Krankheit beim Menschen ist seit November 2012 in der Schweiz wieder meldepflichtig.[21][15] Pro Jahr werden rund 40 bis 100 Fälle beim Menschen gemeldet.[15]
Q-Fieber/Coxiellose ist nach der Tierseuchenverordnung eine zu überwachende Seuche und somit meldepflichtig.[21][22] Aborte in der von Rindern, Schafen oder Ziegen sind an den Tierarzt zu melden. Wenn mehr als ein Tier innerhalb von vier Monaten eine Fehlgeburt hat, ist diese unter anderem auf Coxiella burnetii zu untersuchen.[22]
Österreich
In Österreich ist das Auftreten von Q-Fieber nicht melde- bzw. anzeigepflichtig.[23][24]
Literatur
- Q-Fieber. RKI-Ratgeber für Ärzte. Robert Koch-Institut, 1. Mai 2012.
- Dietrich Falke: Das Blutbild bei mit Queensland-Fieber infizierten Meerschweinchen. Dissertation. Tübingen 1953.
- M. Maurin, D. Raoult: Q Fever. In: Clinical Microbiology Reviews. Band 12, Nr. 4, Oktober 1999, S. 518–583; cmr.asm.org
- Coxiella burnetii – Erreger des Q- (query) Fiebers. In: Bundesgesundheitsblatt, Juli 2005, S. 814–821.
- Marianne Abele-Horn: Antimikrobielle Therapie. Entscheidungshilfen zur Behandlung und Prophylaxe von Infektionskrankheiten. Unter Mitarbeit von Werner Heinz, Hartwig Klinker, Johann Schurz und August Stich, 2., überarbeitete und erweiterte Auflage. Peter Wiehl, Marburg 2009, ISBN 978-3-927219-14-4, S. 224 f.
Weblinks
- Q-Fieber (Coxiella burnetii) – Informationen des Robert Koch-Instituts (Deutschland)
- Q-Fieber (Query fever). Bundesministerium für Soziales, Gesundheit, Pflege und Konsumentenschutz, 30. Juli 2024 (Österreich).
- Q-Fieber. Bundesamt für Gesundheit BAG (Schweiz).
- Workshop on Q Fever (PDF; 474 kB) WHO (englisch)
- gesundheitsforschung-bmbf.de Informationen des Bundesministeriums für Bildung und Forschung zu dem Forschungsprojekt Q-Fieber (Deutschland)
- Die Spaziergänger-Seuche. FAZ.net
Einzelnachweise
- ↑ T. J. Marrie: Coxiella burnetii pneumonia. In: European Respiratory Journal. Band 21, 2003, S. 713–719.
- ↑ Karl Wurm, A. M. Walter: Infektionskrankheiten. In: Ludwig Heilmeyer (Hrsg.): Lehrbuch der Inneren Medizin. Springer-Verlag, Berlin/Göttingen/Heidelberg 1955; 2. Auflage ebenda 1961, S. 9–223, hier: S. 121 f.
- ↑ Q-koorts. Rijksinstituut voor Volksgezondheid en Milieu (niederländisch) abgerufen am 31. August 2014.
- ↑ Ziegengrippe: Niederlande keulen 36.000 Ziegen. Zeit Online, 17. Dezember 2009; abgerufen am 31. August 2014.
- ↑ Keulung von Ziegen in Holland gestartet. agrarheute.com, 22. Dezember 2009; abgerufen am 31. August 2014.
- ↑ Epidemiologisches Bulletin, Nr. 1, 2. Januar 2025 Robert Koch-Institut.
- ↑ Epidemiologisches Bulletin. Nr. 45, 10. November 2006 (gpk.de [PDF; 172 kB; abgerufen am 16. März 2022]).
- ↑ S. Brasche, I. Riethmüller, W. Bischof: Q-Fieber-Endemie in Jena 2005– Übertragungswege und Risikofaktoren. In: Das Gesundheitswesen. Band 72, Nr. 8/9, September 2010, ISSN 0941-3790, S. V214, doi:10.1055/s-0030-1266395 (thieme-connect.de [abgerufen am 16. März 2022]).
- ↑ Marianne Abele-Horn: Antimikrobielle Therapie. Entscheidungshilfen zur Behandlung und Prophylaxe von Infektionskrankheiten. Unter Mitarbeit von Werner Heinz, Hartwig Klinker, Johann Schurz und August Stich, 2., überarbeitete und erweiterte Auflage. Peter Wiehl, Marburg 2009, ISBN 978-3-927219-14-4, S. 224.
- ↑ Müdigkeit (PDF; 2,8 MB), S3-Leitlinie, AWMF-Register-Nr. 053-002, Deutsche Gesellschaft für Allgemeinmedizin und Familienmedizin, Dezember 2022, S. 60, abgerufen am 19. August 2024.
- ↑ Chronisches Fatigue-Syndrom, In: Pschyrembel Online, abgerufen am 19. August 2024.
- ↑ a b Merck Veterinary Manual: Q Fever. merckmanuals.com, März 2012 (letzte Revision); abgerufen am 4. Juli 2014.
- ↑ Q-Fieber: RKI-Ratgeber für Ärzte. 1. Mai 2012; abgerufen am 31. August 2014.
- ↑ About The Q Fever Vaccine. qfever.com.au, 5. Oktober 2012; abgerufen am 31. August 2014.
- ↑ a b c Q-Fieber. Bundesamt für Gesundheit BAG, 7. November 2023, abgerufen am 21. Oktober 2024.
- ↑ a b c d e M. G. Madariaga, K. Rezai, G. M. Trenholme, R. A. Weinstein: Q fever: a biological weapon in your backyard. In: The Lancet, 2003, Band 3, Nr. 11, S. 709–721, doi:10.1016/S1473-3099(03)00804-1.
- ↑ S. R. Klee, D. Jacob, H. Nattermann, B. Appel: Bioterroristisch relevante bakterielle Erreger. In: Bundesgesundheitsblatt – Gesundheitsforschung – Gesundheitsschutz. Band 46, Nr. 11, 2003, S. 935–948, doi:10.1007/s00103-003-0724-0.
- ↑ Texas: Schlamperei in Biowaffen-Labor monatelang verschwiegen. Spiegel Online, 3. Juli 2007; abgerufen am 31. August 2014.
- ↑ Staatsministerin für Soziales: Sächsische Infektionsschutz-Meldeverordnung. Vollzitat: Sächsische Infektionsschutz-Meldeverordnung vom 19. Juli 2024 (SächsGVBl. S. 745). In: revosax.sachsen.de. Abgerufen am 21. Oktober 2024 (Fassung gültig ab: 17. August 2024).
- ↑ Anlage zu § 1 der Verordnung über meldepflichtige Tierkrankheiten (TKrMeldpflV) in der Fassung der Bekanntmachung vom 11. Februar 2011 (BGBl. I S. 252), zuletzt geändert durch Artikel 1 der Verordnung vom 8. Juli 2020 (BGBl. I S. 1604)
- ↑ a b Q-Fieber: Wiedereinführung der Meldepflicht ab November 2012. In: Bulletin 45. Bundesamt für Gesundheit, 5. November 2012, abgerufen am 21. Oktober 2024.
- ↑ a b Coxiellose beim Tier und Q-Fieber beim Mensch. Bundesamt für Lebensmittelsicherheit und Veterinärwesen BLV, 2. Oktober 2018, abgerufen am 21. Oktober 2024.
- ↑ Q-Fieber. Coxiella burnetii. Österreichische Agentur für Gesundheit und Ernährungssicherheit GmbH, 21. Mai 2024, abgerufen am 21. Oktober 2024.
- ↑ Q-Fieber. (PDF; 151 KB) Informationen für medizinisches Fachpersonal. Bundesministerium für Soziales, Gesundheit, Pflege und Konsumentenschutz, 17. Juli 2017, S. 5, abgerufen am 23. Oktober 2024.