Silikose

Klassifikation nach ICD-10
J62 Pneumokoniose durch Quarzstaub
J62.0 Pneumokoniose durch Talkum-Staub
J62.8 Pneumokoniose durch sonstigen Quarzstaub
– Silikose o.n.A.
{{{04-BEZEICHNUNG}}}
{{{05-BEZEICHNUNG}}}
{{{06-BEZEICHNUNG}}}
{{{07-BEZEICHNUNG}}}
{{{08-BEZEICHNUNG}}}
{{{09-BEZEICHNUNG}}}
{{{10-BEZEICHNUNG}}}
{{{11-BEZEICHNUNG}}}
{{{12-BEZEICHNUNG}}}
{{{13-BEZEICHNUNG}}}
{{{14-BEZEICHNUNG}}}
{{{15-BEZEICHNUNG}}}
{{{16-BEZEICHNUNG}}}
{{{17-BEZEICHNUNG}}}
{{{18-BEZEICHNUNG}}}
{{{19-BEZEICHNUNG}}}
{{{20-BEZEICHNUNG}}}
Vorlage:Infobox ICD/Wartung {{{21BEZEICHNUNG}}}
ICD-10 online (WHO-Version 2019)
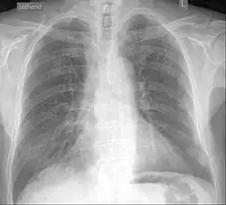
Röntgenaufnahme eines an Silikose erkrankten Mannes
In Kunstharz gegossene Lunge mit Siliko-Tuberkulose

Die Silikose (von lateinisch silex [Genitiv silicis] „Kiesel, harter Stein“) oder Quarzstaublunge ist eine sogenannte Pneumokoniose (Staublunge). Sie wird durch das Einatmen von Feinstaub mit α-Quarz oder einer anderen kristallinen Modifikation des Siliciumdioxids hervorgerufen, die zu einer Lungenfibrose führt.[1]

Geschichte

Die Geschichte der Staublunge (im Falle der Silikose unter anderem auch Staubinhalationskrankheit, Steinhauerlunge, Schleiferlunge und Bergmannslunge genannt[2]) als Gewerbekrankheit der Bergleute reicht bis ins Altertum zurück. Die ersten schriftlichen Hinweise der frühen Neuzeit darauf findet man bei Agricola (1494–1555) in seinem Werk De Re Metallica Libri XII.[3] Auch Paracelsus (1493–1541) berichtet als bedeutendster Arzt des 16. Jahrhunderts in seinen klinischen und anatomischen Schriften ausführlich von der Bergsucht und anderen Bergkrankheiten. Als Pionier der Arbeitsmedizin befasste sich besonders auch Bernardino Ramazzini (1633–1714) mit dem Problem der Staublunge. Bis zur Entdeckung der Röntgenstrahlen 1895 konnte man eine Staublungenerkrankung nur erkennen, wenn der Bergmann bereits gestorben war. Bei der Pathologie sah man dann immer das gleiche Bild von Veränderungen des Gewebes einer fast schwarzen Lunge. Der Begriff Silikose – verursacht durch feine Quarzstaubpartikel – stammt aus dem 19. Jahrhundert. Die Silikose wird als anerkannte Berufserkrankung seit 1929 in der Berufskrankheitenverordnung als Berufskrankheit Nr. 4101 aufgeführt. Die mit ihr einhergehende Siliko-Tuberkulose wird ebenfalls seit 1929 als Berufskrankheit Nr. 4102 geführt.[4] Im Jahr 2002 kam Lungenkrebs mit Quarz als Berufskrankheit Nr. 4112 hinzu.[5]

Erste Arbeiten zur Diagnose der Silikose stammten von Viktor Reichmann, der mit seiner 1931 erschienenen Arbeit Über die Diagnose und Begutachtung der Silicose den Weg für die moderne Silikoseforschung bereitete.

Entstehung und Wirkung

Die Staublunge entsteht durch die Einlagerung von Staub in die Lunge und die Reaktion des Gewebes auf seine Anwesenheit. Die frühere mechanische Theorie, basierend auf Härte und Scharfkantigkeit des Quarzstaubes, ist heute überholt. In neuerer Zeit geht man stärker von der Immuntheorie der Silikoseentstehung aus. Übereinstimmung herrscht über die zentrale Bedeutung von morphologisch und biochemisch nachgewiesenen Funktionsstörungen der Alveolarmakrophagen (auch Staubzellen genannte Phagozyten auf der Oberfläche der Lungenbläschen) und der Pneumozyten Typ II (so genannte Nischenzellen) für die Entstehung der Silikose.[1] Den im Quarzfeinstaub potentiell enthaltenen Siliciumdioxid-Modifikationen Cristobalit oder Tridymit wird ein besonders hohes Risiko für die Entstehung einer Silikose unterstellt.[6]

Die Alveolarmakrophagen einverleiben die Quarzpartikel und lösen dadurch Entzündungen verbunden mit einer nachfolgenden Fibrose (krankhafte Vermehrung des Bindegewebs) aus. Bei dieser Fremdkörperreaktion verhärtet sich das Gewebe. Nur quarzhaltige Staubteilchen mit einem Durchmesser von ≤ 5 μm können die Alveolarmakrophagen erreichen. Größere Partikel werden durch das Bronchialsystem aufgehalten.[1]

Die Quarzteilchen werden von den Alveolarmakrophagen aufgenommen, können jedoch nicht abgebaut werden, so dass die Makrophagen zugrunde gehen. Dadurch wird eine chronische Entzündung in Gang gesetzt, die zur Granulombildung und zur Neubildung von Bindegewebe zwischen den Lungenbläschen und den sie umgebenden Blutgefäßen führt. Als Folge davon wird die Oberfläche der Lunge, die den Sauerstoff aufzunehmen hat, immer kleiner, so dass sich die Aufnahmefähigkeit von Sauerstoff verringert.[1] Eine so geschädigte Lunge ist auch Nährboden für weitere Erkrankungen, wie zum Beispiel Lungenkrebs und Tuberkulose. In diesen Fällen spricht man von Lungenkrebs mit Quarz und Siliko-Tuberkulose.[4]

Auftreten

Bergarbeiter, 1952

Silikose ist eine typische Berufskrankheit von Bergleuten, insbesondere bei Hauern, die vorwiegend im Streckenvortrieb tätig waren. Besonders häufig tritt diese Erkrankung beim Abbau von Bimsstein auf.

Silikose ist auch ein großes Problem für die Arbeiter in chinesischen Edelsteinschleifereien, die bereits nach wenigen Jahren daran erkranken. Die Betreiber, Hongkonger Stein- und Schmuckfirmen, lehnen jede Entschädigung für ihre Arbeiter ab. Mittlerweile haben sich Betroffene organisiert und tragen ihren Protest sogar bis nach Europa auf Schmuckmessen.[7][8]

Presseberichten zufolge sind auch Arbeiter in der türkischen Textilindustrie, die im Rahmen der Jeansproduktion mit Sandstrahlgeräten Hosen ausbleichen, akut betroffen.[9] Daher wurde 2009 in der Türkei das Sandstrahlen in der Textilindustrie verboten. Die Produktion wurde daraufhin in andere Länder verlagert.[10]

Silikose tritt seit etwa 2009 aufgrund der gestiegenen Nachfrage nach Küchenarbeitsplatten aus künstlich hergestelltem Quarzstein vermehrt in Steinmetzbetrieben auf. Die Erkrankung tritt häufig bereits bei unter 35-jährigen auf, zu den betroffenen Ländern zählen Spanien, Israel, und Australien.[11][12] Australien hat ein im Juli 2024 in Kraft tretendes Verbot von derartigem Kunststein angekündigt.[13]

Auch eingeatmeter, feinkörniger bzw. pulvriger Talk (Talkum), der unter anderem in der Gummi- und Papierindustrie, in Kosmetikprodukten oder beim Geräteturnen verwendet wird, kann eine Lungenfibrose auslösen (Talkstaublunge, Talkose). Nach vorherrschender Meinung sind dafür Verunreinigungen durch Quarz oder Asbest verantwortlich, so dass die Erkrankung als modifizierte Silikose oder Asbestose eingeordnet wird.[14]

Die Silikose ist ein großes Problem für Arbeiter in indischen Natursteinminen bei Budhpura, einem Dorf im Süden des indischen Bundesstaats Rajasthan, insbesondere im Zusammenhang mit Kinderarbeit.[15]

Anerkennung als Berufskrankheit

Die Silikose und Siliko-Tuberkulose sind seit 1929 als Berufserkrankungen anerkannt. Doch dauerte es noch lange bis zur Umsetzung im Einzelfall. In der Schweiz werden Silikosen durch die Schweizerische Unfallversicherungsanstalt seit 1932 als Berufskrankheit anerkannt.[16]

Beispielsweise bestreitet ein Fritz Herbst in seiner Dissertation Der Ramsbecker Bergbau, Entwicklung und Aussichten unter Berücksichtigung der natürlichen Grundlagen des Bergbaus, (Großenhain i. Sa. 1931: Plasnick), Clausthal BA. 1931, dass die Bergleute aus Ramsbeck im Alter von 40 bis 45 an der Silikose sterben. Als Ursache für den schlechten Gesundheitszustand komme der Grubenbetrieb erst an zweiter Stelle in Betracht. Maßgebend sei als Grund dafür vielmehr die schlechte Lebenshaltung wie die Unsauberkeit der Leute, die ihre Kleider nicht wechselten, unmäßige Lebensführung mit Inzucht und besonders der exzessive Branntweingenuss. Das raue Klima des Sauerlands könne zudem leicht Erkältungen hervorrufen, die in tückische Krankheiten wie der Schwindsucht ausarteten, die mit der Grubenarbeit nichts zu tun habe. Zur Zeit der Doktorarbeit hatte Fritz Herbst bereits Kontakt mit der Stolberger Zink AG, bei der er später zum Vorstandsmitglied avancierte.

Noch weit nach dem Zweiten Weltkrieg hatten es die Bergleute und deren Witwen schwer, gerecht verrentet zu werden.[17]

Literatur

Einzelnachweise

  1. a b c d Nikolaus Konietzko u. a.: Erkrankungen der Lunge. De Gruyter, 1994, ISBN 3-11-012130-1, S. 444–455.
  2. Joachim Frey: Silikose (Pneumokoniose). In: Ludwig Heilmeyer (Hrsg.): Lehrbuch der Inneren Medizin. Springer-Verlag, Berlin/Göttingen/Heidelberg 1955; 2. Auflage ebenda 1961, S. 699–705.
  3. Georgius Agricola: De Re Metallica Libri XII. Übersetzung in Deutsch von Carl Schiffer, VDI-Verlag GmbH, Düsseldorf 1977, S. 183, ISBN 3-18-400383-3
  4. a b S2-Leitlinie Quarzstaublungenerkrankung (Silikose), Diagnostik und Begutachtung der Berufskrankheit Nr. 4101 der Deutschen Gesellschaft für Pneumologie und Beatmungsmedizin (DGP). In: AWMF online (Stand 2008)
  5. Universität Rostock – Medizinische Fakultät Institut für Arbeitsmedizin, Merkblatt zur Berufskrankheit Nr. 4112, Lungenkrebs bei nachgewiesener Quarzstaublungenerkrankung (Lungenkrebs mit Quarz)
  6. Joachim Bruch, Frank Seiler, Bernd Rehn: Primäre und sekundäre Genotoxizität von Quarzfeinstaub. In: Gefahrstoffe – Reinhalt. Luft. 61, Nr. 9, 2001, ISSN 0949-8036, S. 365–370.
  7. Info des Schweizerischen Gewerkschaftsbundes vom 24. März 2006
  8. Dominique Schärer: Schattenseiten der Basler Schmuckmesse.@1@2Vorlage:Toter Link/www.swissinfo.org (Seite nicht mehr abrufbar, festgestellt im Mai 2024. Suche in Webarchiven)  Info: Der Link wurde automatisch als defekt markiert. Bitte prüfe den Link gemäß Anleitung und entferne dann diesen Hinweis. Internetportal swissinfo.org vom 31. März 2006.
  9. Peter Hell: Türkische Textilfabriken – Tödlicher Sand in der Jeans-Maschine. Spiegel Online vom 22. März 2009.
  10. Carsten Hoffmann: Mörderische Modeindustrie: Jeans töten Sandstrahlarbeiter. n-tv.de vom 28. November 2010.
  11. https://biermann-medizin.de/silikose-unheilvolle-rueckkehr-einer-berufsbedingten-lungenerkrankung/
  12. https://www.stone-ideas.com/58293/feinstaubbelastung-in-naturstein-betrieben/
  13. https://www.abc.net.au/news/2023-12-13/engineered-stone-ban-discussed-at-ministers-meeting/103224362
  14. Nikolaus Konietzko u. a.: Erkrankungen der Lunge. 1994, S. 472.
  15. Petra Sorge und Julia Wadhawan: Das Blut, das an Ihrer Natursteinterrasse klebt. Spiegel-Online-Artikel vom 4. Januar 2018.
  16. Michael F. Koller, Claudia Pletscher: Quarzstaubbelastung und Silikosen in der Schweiz. In: Gefahrstoffe – Reinhalt. Luft. 79, Nr. 7/8, 2019, ISSN 0949-8036, S. 261–267.
  17. Herbert Stahl (Herausgeber): Das Erbe des Erzes. Band 5: Neue Nachrichten und Geschichten zum Erzrevier Bensberg. Bergisch Gladbach 2014, ISBN 978-3-00-044826-3, Abschnitt 11: Die Silikose und das Obrigkeitsdenken, S. 114 ff.