Röntgenopazität
Der Begriff der Röntgenopazität (von lat. opacitas „Trübung“, „Beschattung“; Synonyme Radioopazität, Verschattung) bezeichnet die Eigenschaft der Strahlenundurchlässigkeit (Opazität) von Materialien für Röntgenstrahlen. Röntgenstrahlung durchdringt Materie und wird dabei je nach Stoffart unterschiedlich stark geschwächt. Die Schwächung der Röntgenstrahlen ist der wichtigste Faktor bei der radiologischen Bilderzeugung. Röntgenstrahlen schwärzen fotografische Filme. Röntgenstrahlen regen auch bestimmte Stoffe zur Lichtabgabe an (Fluoreszenz), wodurch die Strahlendosis reduziert wird. Ohne eine fluoreszierende Folie wäre eine etwa 10- bis 20-fach höhere Strahlenintensität notwendig.
Physikalische Grundlagen
Die beiden entscheidenden Faktoren, von denen eine Röntgendurchsichtigkeit abhängt, sind die Dichte und die Ordnungszahl des Materials. Die Dichte ergibt sich aus den Massen der Atome, aus denen das Material besteht und aus den Abständen der Atome. Ein medizinisches Röntgengerät registriert den Kontrast, der durch die unterschiedliche Schwächung der Strahlung in verschiedenen Gewebetypen (zum Beispiel reichlich Calcium im Knochen, kaum Calcium in der Muskulatur) entsteht.
Die Schwächung der Röntgenstrahlen ist der wichtigste Faktor bei der radiologischen Bilderzeugung. Die Intensität des Röntgenstrahls nimmt nach dem Lambert-Beerschen Gesetz mit der im Material zurückgelegten Weglänge exponentiell ab (), der Absorptionskoeffizient ist ähnlich dem Massenschwächungskoeffizient dabei materialabhängig und etwa proportional zu (: Ordnungszahl, : Wellenlänge).[1][2]
Die Absorption erfolgt durch Photoabsorption (zum Teil mit Fluoreszenz), Compton-Streuung und, bei hohen Photonenenergien, Paarbildung. Bei starker Absorption und großer Wellenlänge ist der Schwächungskoeffizient praktisch gleich dem Absorptionskoeffizient, da die Streuung und Paarbildung vernachlässigt werden kann.[3]
Die Intensität von Röntgenstrahlung ist bei einer Energie von 50 keV nach einer Bleischicht von 0,72 mm auf 1,8 % gesunken. Für die gleiche Schwächung wäre eine Schichtdicke von 20 cm Wasser (und somit grob für menschliches Gewebe) notwendig.[2]
Bedeutung
Zahnmedizin


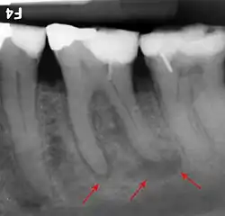
In der Zahnmedizin ist die Ausprägung der Röntgenopazität ein fester Bestandteil der Diagnostik und Behandlungskontrolle. Im Vergleich zu einer 1 mm dicken Aluminiumschicht (100 %) ist Dentin 118 % und Schmelz 215 % röntgenopak. Zur Beurteilung der Dichtigkeit von Zahnfüllungen sollten diese eine Röntgenopazität von 200 % aufweisen. Glasionomerzemente besitzen eine Röntgenopazität von 200–250 %, Komposite von 250–350 %.[4] Aluminium-Silikatgläser weisen in der Regel keine genügende Radioopazität auf. Das Einfügen von geeigneten Elementen in das Aluminiumsilikatglas, beispielsweise in Form eines Austausches von Calcium in der Glaskomposition durch Barium oder Strontium, stellt diese her.[5] Die radiologische Darstellung kariöser Läsionen beruht auf der Visualisierung kariöser Läsionen über die Abnahme der Radioopazität der erkrankten Zahnhartsubstanzen, die durch den Verlust an Mineralien hervorgerufen wird.[6]
Medizin
Die Bildgebung mit Röntgen-Kontrastmittel (KM) basiert darauf, dass diese die Röntgenstrahlen stärker absorbieren als die Umgebung. Im Wesentlichen wird dies durch den hohen Jodgehalt erreicht.[7] Daneben werden bariumsulfathaltige Suspensionen oder Xenon eingesetzt. Sie verbessern die Darstellung von Strukturen und Funktionen des Körpers bei bildgebenden Verfahren wie Röntgendiagnostik, Magnetresonanztomographie (MRT) und Sonografie (Ultraschall). Prinzipiell kann jede Arterie zu diesem Zwecke punktiert und einer Injektion unterzogen werden.
-
Angiogramm -
CT-Angiographie der Hände -
Arteriografie einer gesunden Niere
Flughafensicherheit
Personenkontrolle
Einrichtungen zum Scannen von Personen mittels Röntgenstrahlung werden für Untersuchungen verwendet, bei denen von den Personen mitgeführte Objekte wie Waffen, Explosivstoffe, Schmuggelware, oder Diebesgut wie Drogen oder Diamanten detektiert werden sollen. Zurzeit sind drei Bauarten von Röntgenscannern in Gebrauch: Rückstreusysteme, Transmissionssysteme und kombinierte Rückstreu- bzw. Transmissionssysteme.[8] Bei Transmissionssystemen können Gegenstände aufgespürt werden, die verschluckt wurden oder in Körperhöhlen versteckt sind. Wie bei den medizinischen Anwendungen wird dazu der durch die materialabhängige Röntgenopazität verursachte Röntgenkontrast ausgewertet. Die Röntgenopazität spielt bei Rückstreusystemen keine Rolle.
Gepäckkontrolle
Für die Flughafensicherheit werden Gepäckscanner eingesetzt. Das Bild zeigt rechts ein Röntgendurchstrahlungsbild eines Reisegepäckstücks.
Materialwissenschaft
Während das Licht, ebenfalls eine elektromagnetische Strahlung, nur durchsichtige Stoffe durchdringt, können Röntgen- und Gammastrahlen undurchsichtige feste Werkstoffe durchdringen und Aufschluss über verborgene innere Unregelmäßigkeiten, Hohlräume und Einschlüsse geben.[9]
Astronomie
Röntgenteleskope beobachten das Weltall im Bereich der Röntgenstrahlung. Jedoch absorbiert das interstellare Gas Strahlung mit Wellenlängen unterhalb von 912 Å, der so genannten Lyman-Kante. Dies entspricht der Ionisationsenergie von Wasserstoff im Grundzustand.[10] Unterhalb von etwa 100 Å beginnt das interstellare Medium für elektromagnetische Strahlung durchlässig zu werden. Während im Bereich der weichen Röntgenstrahlung noch durch die Absorption des Helium und die K- und l-Absorptionskanten der häufigeren Elemente behindert wird, ist unterhalb von etwa 10 Å das interstellare Medium praktisch völlig transparent.[11] Damit sind interstellare Quellen (im Gegensatz zur Sonne) in diesem Bereich nicht beobachtbar.
Einzelnachweise
- ↑ Manfred von Ardenne: Elektronen-Übermikroskopie Physik · Technik · Ergebnisse. Springer-Verlag, 2013, ISBN 978-3-642-47348-7, S. 127 (eingeschränkte Vorschau in der Google-Buchsuche).
- ↑ a b Detlef Kamke, Wilhelm Walcher: Physik für Mediziner. Springer-Verlag, 2013, ISBN 978-3-322-80144-9, S. 620 (eingeschränkte Vorschau in der Google-Buchsuche).
- ↑ W. Bothe, P. P. Ewald, F. Kirchner, H. Kulenkampff, E.G. Steinke, H. Geiger: Röntgenstrahlung Ausschliesslich Röntgenoptik Band XXIII · Zweiter Teil. Springer-Verlag, 2013, ISBN 978-3-642-99594-1, S. 4 (eingeschränkte Vorschau in der Google-Buchsuche).
- ↑ Peter Gängler, Thomas Hoffmann, Brita Willershausen: Konservierende Zahnheilkunde und Parodontologie. 3. Aufl., Georg Thieme, 2010, ISBN 978-3-13-154073-7, S. 183 ff. (eingeschränkte Vorschau in der Google-Buchsuche).
- ↑ Rolf Nolden; Ernst Sauerwein: Zahnerhaltungskunde: präventive Zahnheilkunde, Kariologie, Endodontologie, Parodontologie, Kinderzahnheilkunde. S. 142 Georg Thieme, 1994, ISBN 3-13-455606-5.
- ↑ Hendrik Meyer-Lückel, Kim Ekstrand, Sebastian Paris: Karies: Wissenschaft und Klinische Praxis. Georg Thieme, 2012. ISBN 978-3-13-169321-1, S. 97 ff. (eingeschränkte Vorschau in der Google-Buchsuche).
- ↑ Bernd Michael Balletshofer: Herz und Gefäße. Georg Thieme Verlag, 2006, ISBN 3-13-141131-7, S. 125 ff. (eingeschränkte Vorschau in der Google-Buchsuche).
- ↑ Sebastian Bertl, Abbildung mit Millimeterwellen für die Personenkontrolle, Dissertation 2009, Technische Universität München Lehrstuhl für Hochfrequenztechnik. Abgerufen am 1. Februar 2017.
- ↑ Karlheinz Schiebold: Zerstörungsfreie Werkstoffprüfung - Durchstrahlungsprüfung. Springer-Verlag, 2014, ISBN 978-3-662-44669-0 (eingeschränkte Vorschau in der Google-Buchsuche).
- ↑ Peter Schneider: Einführung in die Extragalaktische Astronomie und Kosmologie. Springer-Verlag, 2006, ISBN 978-3-540-30589-7, S. 32 (eingeschränkte Vorschau in der Google-Buchsuche).
- ↑ A. Unsöld, B. Baschek: Der neue Kosmos. Springer-Verlag, 2013, ISBN 978-3-662-06533-4, S. 415 (eingeschränkte Vorschau in der Google-Buchsuche).