Ranavirus

Ranavirus

TEM-Aufnahme von Ranaviren
an der Außenmembran der Wirtszelle
bevor sie diese per Knospung verlassen.

Systematik
Klassifikation: Viren
Realm: Varidnaviria[1]
Reich: Bamfordvirae[1]
Phylum: Nucleocytoviricota[1]
Klasse: Megaviricetes[1]
Ordnung: Pimascovirales[1]
Familie: Iridoviridae
Unterfamilie: Alphairidovirinae
Gattung: Ranavirus
Taxonomische Merkmale
Genom: dsDNA linear
Baltimore: Gruppe 1
Symmetrie: ikosaedrisch
Hülle: vorhanden
Wissenschaftlicher Name
Ranavirus
Links
ICTV Taxon History: 201903731
NCBI Taxonomy: 10492
ViralZone (Expasy, SIB): 585
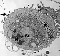
TEM-Aufnahme einer von Ranaviren infizierten Zelle, die sich im Zytoplasma ansammeln und neben dem Zellkern Klumpen bilden

Ranavirus ist eine Gattung von Riesenviren (Nucleocytoviricota, NCLDVs) aus der Familie der Iridoviridae, Unterfamilie Alphairidovirinae.[2] Ranavirus ist die einzige Gattung in dieser Familie, deren Viren sowohl für Amphibien als auch Reptilien ansteckend sind. Wie auch die beiden anderen Gattungen Lymphocystivirus und Megalocytivirus der Unterfamilie Alphairidovirinae können Viren der Gattung Ranavirus auch Echte Knochenfische (Teleostei) infizieren.[3]

Auswirkungen auf die Ökologie

Die Ranaviren sind wie die Megalocytiviren eine Gruppe eng verwandter dsDNA-Viren, deren Bedeutung immer mehr zunimmt. Sie verursachen systemische Erkrankungen bei einer Vielzahl von wilden und kultivierten Süß- und Salzwasserfischen. Wie bei Megalocytiviren sind Ranavirus-Ausbrüche in Aquakulturen von erheblicher wirtschaftlicher Bedeutung, da Tierseuchen zu beträchtlichem Verlust oder gar Massensterben von Zuchtfischen führen können. Im Gegensatz zu den Megalocytiviren wurden Ranavirus-Infektionen bei Amphibien als ein Faktor für den weltweiten Rückgang der Amphibienpopulationen in Betracht gezogen.[4][5] Der Einfluss von Ranaviren auf Amphibienpopulationen wurde mit dem des Chytridenpilz Batrachochytrium dendrobatidis, dem Erreger der Chytridiomykose, verglichen.[6][7][8] Im Vereinigten Königreich wird angenommen, dass die Schwere der Krankheitsausbrüche aufgrund des Klimawandels (soll heißen: der globalen Erwärmung) zugenommen hat.[9]

Die Vorsilbe von lateinisch Rana ‚Frosch‘ abgeleitet[10] und erinnert an die erste Isolierung eines Ranavirus aus dem Nördlichen Leopardfrosch (Rana pipiens alias Lithobates pipiens) in den 1960er Jahren.[11][12][13]

Wirte

Von den folgenden Reptilienarten ist bekannt, dass sie Ranavirus infiziert werden können:

Aufbau

Morphologie

Genomkarte von ATV

Ranaviren sind große ikosaedrische DNA-Viren mit einem Durchmesser von etwa 150 nm und einem unsegmentierten linearen dsDNA-Genom von etwa 105 kbp,[22] Es gibt etwa 100 Proteine kodierende Gene.[23]

Genom

Das Genom von Frog virus 3 hat eine Länge von 105.903 bp und kodiert voraussichtlich 99 Proteine.[24]

Reproduktionszyklus

Schemazeichnung zum Replikationszyklus der Gattung Ranavirus

Die Replikation der Ranaviren ist bei Frog virus 3 (FV3) gut untersucht. Die Replikation von FV3 erfolgt bei 12 bis 32 °C.[23] Ranaviren gelangen durch Rezeptor-vermittelte Endozytose in die Wirtszelle.[25] Die Viruspartikel (Virionen) sind unbeschichtet und wandern nach dem Eindringen durch die Endocytose in den Zellkern, wo die virale DNA-Replikation über eine viruskodierte DNA-Polymerase beginnt.[26] Die Virus-DNA verlässt dann den Zellkern und es beginnt die zweite Stufe der DNA-Replikation im Zytoplasma, wobei letztendlich DNA-Concatemere gebildet werden.[26] Die virale DNA wird dann in infektiöse Virionen verpackt.[27]

Auch das Singapore Grouper Iridovirus (SGIV), Erreger der Krankheit Singapore Grouper Iridovirus Disease (SGIVD)[28] beim Rostflecken-Zackenbarsch (Epinephelus tauvina, en. Greasy grouper)[29] ist inzwischen gut untersucht. Deren Viruspartikel werden in sog. viral assembly sites (VAS) zusammengebaut (assembliert).[30]

Das Genom von Ranavirus weist wie bei anderen Iridoviridae terminal redundante DNA auf.[26]

Es wird angenommen, dass die Übertragung von Ranaviren auf mehreren Wegen erfolgt, unter anderem über kontaminiertem Boden, direkten Kontakt, Exposition durch Wasser und Verschlucken von infiziertem Gewebe während der Jagd, Nekrophagie oder Kannibalismus. Ranaviren sind in Gewässern relativ stabil und können außerhalb eines Wirtsorganismus mehrere Wochen oder länger überdauern.[12]

Evolution

Die Ranaviren scheinen sich aus einem Fischvirus entwickelt zu haben, das anschließend Amphibien und Reptilien infizierte.[31]

Systematik

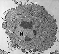
Eine Zelle des Chinesischen Riesensalamanders (Andrias davidianus), infiziert mit Andrias davidianus ranavirus (ADRV)
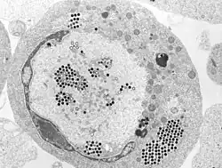
EM-Aufnahmen von Virionen des Singapore grouper iridovirus (SGIV) in verschiedenen Stadien.

Die innere Systematik der Gattung Iridovirus ist mit Stand 30. April 2024 nach ICTV, ergänzt um einige Vorschläge in doppelten Anführungszeichen (nach NCBI, wo nicht anders angegeben):[32][33]

Familie Iridoviridae

  • Unterfamilie Alphairidovirinae
  • Gattung Ranavirus
  • Spezies Ranavirus alytes1 (früher Common midwife toad virus, Common midwife toad ranavirus, CMTV)[34]
  • Andrias davidianus ranavirus (ADRV)[35]
  • Pelophylax esculentus virus
  • Pike-perch iridovirus
  • Rana esculenta virus
  • Testudo hermanni ranavirus[36][37]
  • Tortoise ranavirus (ToRV1)[36]
  • European catfish virus (ECV)[38][39][37]
  • European sheatfish virus (ESV), z. B. beim Europäischen Wels
  • Spezies Ranavirus ambystoma1
  • Ambystoma tigrinum virus (ATV)
  • Spezies Ranavirus epinephelus1
  • Singapore grouper iridovirus (SGV, SGIV)[40] alias Grouper iridovirus (GIV)[36]
  • Spezies Ranavirus gadus1
  • European North Atlantic ranavirus
  • Spezies Ranavirus micropterus1
  • Santee-Cooper ranavirus (SCRV)
  • Spezies Ranavirus perca1
  • Epizootic haematopoietic necrosis virus alias Epizootic hematopoietic necrosis virus (EHNV)[30]
  • Spezies Ranavirus rana1 (früher Frog virus 3, Fv3, FV3, ehem. Typusspezies)
  • Bohle iridovirus (BIV)[41]
  • German gecko ranavirus (GGRV)[36]
  • Giant salamander iridovirus (GSIV)[30]
  • Pike perch iridovirus (PPIV)[36]
  • Rana grylio iridovirus (RGV)[36]
  • Soft-shelled turtle iridovirus (STIV)[36]
  • Tiger frog virus alias Rana tigrina ranavirus, Tiger frog ranavirus (TFV)[37][36]
  • Spezies Cod iridovirus (CoIV)[36]
  • Ranavirus maximus (Rmax)
  • Spezies „Short-finned eel ranavirus“ (SERV) – Vorschlag[36][37]

Es gibt etliche weiterenach ICTV mit Stand Mai 2024 noch nicht bestätigte Kandidaten, siehe etwa Halaly et al. (2019).[36]

Einzelnachweise

  1. a b c d e ICTV: ICTV Master Species List 2019.v1, New MSL including all taxa updates since the 2018b release, March 2020 (MSL #35)
  2. ICTV: Iridoviridae. In: ICTV Online (10th) Report. (englisch).
  3. RJ Whittington, JA Becker, MM Dennis: Iridovirus infections in finfish – critical review with emphasis on ranaviruses. In: Journal of Fish Diseases. 33. Jahrgang, Nr. 2, 2010, S. 95–122, doi:10.1111/j.1365-2761.2009.01110.x, PMID 20050967.
  4. A. G. F. Teacher, A. A. Cunningham, T. W. J. Garner: Assessing the long-term impact of Ranavirus infection in wild common frog populations: Impact of Ranavirus on wild frog populations. In: Animal Conservation. 13. Jahrgang, Nr. 5, 10. Juni 2010, S. 514–522, doi:10.1111/j.1469-1795.2010.00373.x (wiley.com).
  5. Stephen J. Price, Trenton W. J. Garner, Richard A. Nichols, François Balloux, César Ayres, Amparo Mora-Cabello de Alba, Jaime Bosch: Collapse of Amphibian Communities Due to an Introduced Ranavirus. In: Current Biology. 24. Jahrgang, Nr. 21, November 2014, S. 2586–2591, doi:10.1016/j.cub.2014.09.028 (elsevier.com).
  6. James K. Jancovich, Jinghe Mao, V. Gregory Chinchar, Christopher Wyatt, Steven T. Case, Sudhir Kumar, Graziela Valente, Sankar Subramanian, Elizabeth W. Davidson, James P. Collins, Bertram L. Jacobs: Genomic sequence of a ranavirus (family Iridoviridae) associated with salamander mortalities in North America. In: Virology. 316. Jahrgang, Nr. 1, 2003, S. 90–103, doi:10.1016/j.virol.2003.08.001, PMID 14599794.
  7. Jesse L. Brunner, Danna M. Schock, Elizabeth W. Davidson, James P. Collins: Intraspecific Reservoirs: Complex Life History and the Persistence of a Lethal Ranavirus. In: Ecology. 85. Jahrgang, Nr. 2, 2004, S. 560, doi:10.1890/02-0374.
  8. Pearman, Peter B., Trenton W. J. Garner: Susceptibility of Italian agile frog populations to an emerging strain of Ranavirus parallels population genetic diversity. In: Ecology Letters. 8. Jahrgang, Nr. 4, 2005, S. 401, doi:10.1111/j.1461-0248.2005.00735.x.
  9. Stephen J. Price, William T. M. Leung, Christopher J. Owen, Robert Puschendorf, Chris Sergeant, Andrew A. Cunningham, Francois Balloux, Trenton W.  J. Garner, Richard A. Nichols: Effects of historic and projected climate change on the range and impacts of an emerging wildlife disease. In: Global Change Biology. 9. Mai 2019, ISSN 1354-1013, doi:10.1111/gcb.14651 (wiley.com).
  10. Harper, Douglas: ‚frog‘, in: Online Etymology Dictionary.
  11. A. Granoff, P. E. Came, K. A. Rafferty: The isolation and properties of viruses from Rana pipiens: their possible relationship to the renal adenocarcinoma of the leopard frog. In: Annals of the New York Academy of Sciences. 126. Jahrgang, Nr. 1, 1965, S. 237–255, doi:10.1111/j.1749-6632.1965.tb14278.x, PMID 5220161, bibcode:1965NYASA.126..237G.
  12. a b M. J. Gray, D. L. Miller, J. T. Hoverman: Ecology and pathology of amphibian ranaviruses. In: Diseases of Aquatic Organisms. 87. Jahrgang, Nr. 3, 2009, S. 243–266, doi:10.3354/dao02138, PMID 20099417 (englisch).
  13. K. A. Rafferty: The cultivation of inclusion-associated viruses from Lucke tumor frogs. In: Annals of the New York Academy of Sciences. 126. Jahrgang, Nr. 1, 1965, S. 3–21, doi:10.1111/j.1749-6632.1965.tb14266.x, PMID 5220167, bibcode:1965NYASA.126....3R.
  14. First identification of a ranavirus from green pythons (Chondropython viridis), Williamson, Coupar, Middleton, Hengstberger, Gould, Selleck, Wise, Kattenbelt, Cunningham, Lee: First identification of a ranavirus from green pythons (Chondropython viridis). In: Journal of Wildlife Diseases. 38. Jahrgang, Nr. 2, 2002, S. 239–252, doi:10.7589/0090-3558-38.2.239, PMID 12038121.
  15. Benetka V.: First report of an iridovirus (genus Ranavirus) infection in a leopard tortoise (Geochelone pardalis pardalis). In: Vet Med Austria. 94. Jahrgang, 2007, S. 243–248 (schildkroeten-sfb.ch (Memento des Originals vom 12. August 2017 im Internet Archive) [abgerufen am 22. September 2014]).  Info: Der Archivlink wurde automatisch eingesetzt und noch nicht geprüft. Bitte prüfe Original- und Archivlink gemäß Anleitung und entferne dann diesen Hinweis.@1@2Vorlage:Webachiv/IABot/www.schildkroeten-sfb.ch
  16. A. P. De Matos, M. F. Caeiro, T Papp, B. A. Matos, A. C. Correia, R. E. Marschang: New viruses from Lacerta monticola (Serra da Estrela, Portugal): Further evidence for a new group of nucleo-cytoplasmic large deoxyriboviruses (NCLDVs). In: Microscopy and Microanalysis. 17. Jahrgang, Nr. 1, 2011, S. 101–108, doi:10.1017/S143192761009433X, PMID 21138619, bibcode:2011MiMic..17..101A.
  17. J Mao, RP Hedrick, VG Chinchar: Molecular characterization, sequence analysis, and taxonomic position of newly isolated fish iridoviruses. In: Virology. 229. Jahrgang, Nr. 1, 1997, S. 212–220, doi:10.1006/viro.1996.8435, PMID 9123863.
  18. a b A. J. Johnson, A. P. Pessier, E. R. Jacobson: Experimental transmission and induction of ranaviral disease in Western Ornate box turtles (Terrapene ornata ornata) and red-eared sliders (Trachemys scripta elegans). In: Veterinary Pathology. 44. Jahrgang, Nr. 3, 2007, S. 285–297, doi:10.1354/vp.44-3-285, PMID 17491069.
  19. Blahak S., Uhlenbrok C. "Ranavirus infections in European terrestrial tortoises in Germany". Proceedings of the 1st International Conference on Reptile and Amphibian Medicine; Munich, Germany. 4–7 March 2010; S. 17–23.
  20. Z. X. Chen, J. C. Zheng, Y. L. Jiang: A new iridovirus isolated from soft-shelled turtle. In: Virus Research. 63. Jahrgang, Nr. 1–2, 1999, S. 147–151, doi:10.1016/S0168-1702(99)00069-6, PMID 10509727.
  21. R. E. Marschang, S Braun, P Becher: Isolation of a ranavirus from a gecko (Uroplatus fimbriatus). In: Journal of Zoo and Wildlife Medicine. 36. Jahrgang, Nr. 2, 2005, S. 295–300, doi:10.1638/04-008.1, PMID 17323572.
  22. Williams T, Barbosa-Solomieu V, Chinchar GD: "A decade of advances in iridovirus research" S. 173-148. In: Maramorosch K, Shatkin A (Hrsg.): Advances in virus research, Vol. 65, Academic Press, New York, USA, 2005
  23. a b VG Chinchar: Ranaviruses (family Iridoviridae) emerging cold-blooded killers. In: Archives of Virology. 147. Jahrgang, Nr. 3, 2002, S. 447–470, doi:10.1007/s007050200000, PMID 11958449.
  24. Disa Bäckström, Natalya Yutin, Steffen L. Jørgensen, Jennah Dharamshi, Felix Homa, Katarzyna Zaremba-Niedwiedzka, Anja Spang, Yuri I. Wolf, Eugene V. Koonin, Thijs J. G. Ettema; Richard P. Novick (Hrsg.): Virus Genomes from Deep Sea Sediments Expand the Ocean Megavirome and Support Independent Origins of Viral Gigantism, in: mBio Vol. 10, Nr. 2, März–April 2019, S. e02497-18, PDF (Memento des Originals vom 29. Juni 2019 im Internet Archive)  Info: Der Archivlink wurde automatisch eingesetzt und noch nicht geprüft. Bitte prüfe Original- und Archivlink gemäß Anleitung und entferne dann diesen Hinweis.@1@2Vorlage:Webachiv/IABot/mbio.asm.org, doi:10.1128/mBio.02497-18, PMC 6401483 (freier Volltext), PMID 30837339, ResearchGate
  25. Heather E. Eaton, Brooke A. Ring, Craig R. Brunetti: The genomic diversity and phylogenetic relationship in the family Iridoviridae. In: Viruses. 2. Jahrgang, Nr. 7, 2010, S. 1458–1475, doi:10.3390/v2071458, PMID 21994690, PMC 3185713 (freier Volltext) – (englisch).
  26. a b c R Goorha: Frog virus 3 DNA replication occurs in two stages. In: Journal of Virology. 43. Jahrgang, Nr. 2, 1982, S. 519–528, PMID 7109033, PMC 256155 (freier Volltext) – (englisch).
  27. Chinchar VG, Essbauer S, He JG, Hyatt A, Miyazaki T, Seligy V, Williams T: "Family Iridoviridae" S. 145–162, in: Fauquet CM, Mayo MA, Maniloff J, Desselburger U, Ball LA (Hrsg.): Virus Taxonomy, Eighth report of the International Committee on Taxonomy of Viruses. Academic Press, San Diego, USA, 2005.
  28. Gilda D. Lio-Po, Leobert D. de la Peňa; Kazuya Nagasawa, Erlinda R. Cruz-Lacierda (Hrsg.): Diseases of Cultured Groupers, Southeast Asian Fisheries Development Center (SEAFDEC), Aquaculture Department, Government of Japan Trust Fund, Dezember 2004, ISBN 971-8511-70-9
  29. Virus-Host DB: Singapore grouper iridovirus
  30. a b c Yang Liu, Bich Ngoc Tran, Fan Wang, Puey Ounjai, Jinlu Wu, Choy L. Hew: Visualization of Assembly Intermediates and Budding Vacuoles of Singapore Grouper Iridovirus in Grouper Embryonic Cells, in: Sci Rep 6, 18696, 4, Januar 2016, doi:10.1038/srep18696
  31. J. K. Jancovich, M. Bremont, J W. Touchman, B L. Jacobs: Evidence for multiple recent host species shifts among the Ranaviruses (family Iridoviridae). In: J Virol. 84. Jahrgang, Nr. 6, 2010, S. 2636–2647, doi:10.1128/JVI.01991-09, PMID 20042506, PMC 2826071 (freier Volltext) – (englisch).
  32. ICTV: Taxonomy Browser.
  33. ICTV: Virus Metadata Resource (VMR).
  34. NCBI: Common midwife toad virus (species)
  35. Zhongyuan Chen, Jianfang Gui, Xiaochan Gao, Chao Pei, Yijiang Hong & Qiya Zhang: Genome architecture changes and major gene variations of Andrias davidianus ranavirus (ADRV), in: Veterinary Research Band 44, Nr. 101, 21. Oktober 2013, doi:10.1186/1297-9716-44-101
  36. a b c d e f g h i j k Maya A. Halaly, Kuttichantran Subramaniam, Samantha A. Koda, Vsevolod L. Popov, David Stone, KeithWay, Thomas B. Waltzek: Characterization of a Novel Megalocytivirus Isolated from European Chub (Squalius cephalus). In: MDPI – Viruses, Band 11, Nr. 440, 2019; doi:10.3390/v11050440, ResearchGate:333122638, PDF (englisch).
  37. a b c d Julien Andreani, Jacques Y. B. Khalil, Emeline Baptiste, Issam Hasni, Caroline Michelle, Didier Raoult, Anthony Levasseur, Bernard La Scola: Orpheovirus IHUMI-LCC2: A New Virus among the Giant Viruses In: Front. Microbiol., 22. Januar 2018; doi:10.3389/fmicb.2017.02643 (englisch).
  38. Virus-Host DB: European catfish virus
  39. ICTV: European catfish virus, proposal 20162986
  40. William H. Wilson, Ilana C. Gilg, Mohammad Moniruzzaman, Erin K. Field, Sergey Koren, Gary R. LeCleir, Joaquín Martínez Martínez, Nicole J. Poulton, Brandon K. Swan, Ramunas Stepanauskas, Steven W. Wilhelm: Genomic exploration of individual giant ocean viruses. In: ISME Journal, Band 11, Nr. 8, August 2017, S. 1736–1745; doi:10.1038/ismej.2017.61, PMC 5520044 (freier Volltext), PMID 28498373 (englisch).
  41. Paul M. Hick, Kuttichantran Subramaniam Patrick Thompson Richard J. Whittington and Thomas B. Waltzekb: Complete Genome Sequence of a Bohle iridovirus Isolate from Ornate Burrowing Frogs (Limnodynastes ornatus) in Australia, in: Genome Announcv. 4(4); Juli-August 2016, PMC 4991696 (freier Volltext), PMID 27540051, doi:10.1128/genomeA.00632-16