Rhabdomyom
| Klassifikation nach ICD-10 | |
|---|---|
| D21 | Sonstige gutartige Neubildungen des Bindegewebes und anderer Weichteilgewebe |
| D21.9 | Bindegewebe und andere Weichteilgewebe, nicht näher bezeichnet |
| ICD-10 online (WHO-Version 2019) | |
Rhabdomyome (griechisch ῥαβδομύωμα, ravthomíomma, von rhabdos „Stab“ im Sinne der feingeweblichen Querstreifung der Skelettmuskulatur und mys „Muskel“ sowie der Endung ~om für „Geschwulst“) gehören zu den seltensten Tumoren des menschlichen Körpers. Ihren Ursprung haben diese Tumoren in der quergestreiften Muskulatur (Skelett- oder Herzmuskel).
Rhabdomyome sind sehr selten und kommen vor allem im Kopf-Hals-Bereich vor – bei Kindern als sogenannte „fetale Rhabdomyome“, bei Erwachsenen als „adulte Rhabdomyome“. Die extrakardialen Formen, welche bevorzugt im Kopf-Hals-Bereich auftreten, sind wesentlich seltener als kardiale Rhabdomyome.

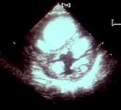
Rhabdomyome des Herzens kommen gehäuft bei der autosomal, dominant vererbten bzw. als Spontanmutation entstandenen tuberösen Sklerose vor. Sie treten ab etwa dem zweiten Schwangerschaftsdrittel (etwa ab der 20. Schwangerschaftswoche) auf, wachsen dann oft bis zur Geburt und schrumpfen danach, insbesondere in den ersten vier Lebensjahren, danach langsamer. Bis zum 20. Lebensjahr sind sie so gut wie immer verschwunden. Nach den bisherigen Erfahrungen treten neue Rhabdomyome spätestens nach dem Kleinkindesalter nicht mehr neu auf. Rhabdomyome des Herzens entstehen zu etwa 80 % im Rahmen einer tuberösen Sklerose (TSC), bei etwa 20 % der Betroffenen liegt keine TSC vor. Kinder mit TSC haben zu über 50 % Rhabdomyome.
Rhabdomyome machen weit überwiegend keine klinischen Beschwerden und haben eine gute klinische Prognose. Sie können allerdings Herzrhythmusstörungen verursachen, die aber bei der TSC auch ohne nachweisbare Rhabdomyome beobachtet wurden. Warum Rhabdomyome nach der Geburt schrumpfen, ist nicht bekannt. Todesfälle infolge kardialer Rhabdomyome sind extrem selten und betreffen nach bisherigen Erfahrungen anscheinend nur Neugeborene. Wenn Rhabdomyome des Herzens im Neugeborenen- oder Kindesalter keine Beschwerden machen, sind operative Maßnahmen so gut wie nie erforderlich. Anzahl und Größe von Rhabdomyomen lassen keine Rückschlüsse auf den Schweregrad anderer Organmanifestationen bei TSC zu.