Bleivergiftung
| Klassifikation nach ICD-10 | |
|---|---|
| T56.0 | Toxische Wirkung: Blei und dessen Verbindungen |
| ICD-10 online (WHO-Version 2019) | |
Bei der Bleivergiftung oder dem Saturnismus handelt es sich um eine akute oder chronische Vergiftung durch die Aufnahme von metallischem Blei oder Bleiverbindungen. Das Schwermetall ist für viele Lebewesen schädlich.
Dieser Artikel befasst sich mit der Bleivergiftung durch Bleiverbindungen beim Menschen. Blei und Bleiverbindungen können über die Nahrung oder über die Lunge aufgenommen werden. Ein Aufnahmepfad über die Haut ist bei Blei und anorganischen Bleiverbindungen nicht relevant. Bei einmaliger Aufnahme führen erst vergleichsweise große Mengen (tödliche Dosis des gut wasserlöslichen Bleisalzes Blei(II)-acetat für erwachsene Menschen: 5–30 g[1]) von Blei bzw. Bleiverbindungen zu einer akuten Bleivergiftung; dagegen führt eine Bleidosis ab etwa 1 mg pro Tag über die Nahrung nach längerer Zeit zu einer chronischen Vergiftung,[2] weil Blei nur langsam ausgeschieden wird und sich deshalb im Körper (vor allem in den Knochen anstelle von Calcium) anreichert. Die Weltgesundheitsorganisation (WHO) schätzt die durchschnittliche tägliche perorale Bleiaufnahme auf etwa 100–500 µg pro Person.[3] Die Verwendung von Blei und Bleiverbindungen, z. B. des im Motor zu anorganischen Bleiverbindungen verbrennenden Antiklopfmittels Tetraethylblei in Autokraftstoffen, als wesentliche Bleiquelle ist seit den 1970er Jahren stark zurückgegangen. Gleichzeitig reduzierte sich auch die messbare Belastung der Umwelt mit Blei.[4][5]
Blei schädigt das zentrale und das periphere Nervensystem, beeinträchtigt die Blutbildung und führt zu Magen-Darm-Beschwerden und Nierenschäden. Bleiverbindungen sind bis auf Ausnahmen als fortpflanzungsgefährdend (fruchtschädigend und Beeinträchtigung der Fruchtbarkeit) eingestuft.[6] Seit Juli 2006 bewertet die Deutsche Forschungsgemeinschaft Blei und seine anorganischen Verbindungen als „krebserzeugend im Tierversuch“.[7] Schwere Vergiftungen führen zu Koma und Tod durch Kreislaufversagen.[4]
Organische Bleiverbindungen, wie z. B. die früher als Antiklopfmittel eingesetzten Tetraethylblei und Tetramethylblei, sind dabei auch akut stark toxisch, da sie neben dem enthaltenen giftigen Metall zusätzlich zu aggressiven Radikalen[8] zerfallen.
Bleivergiftung wird in Deutschland unter der BK Nummer 1101 in Anlage 1 der Berufskrankheiten-Verordnung als Berufskrankheit geführt. Diese steht für „Erkrankungen durch Blei und seine Verbindungen“.
Quellen und Aufnahme von Blei, Häufigkeit von Bleivergiftungen
Blei gehört zu den ersten von Menschen verwendeten metallischen Werkstoffen. Seit etwa 6000 Jahren wird Blei von Menschen im Bergbau gewonnen. Zur Zeit der Römer wurde metallisches Blei in großem Maßstab für Wasserleitungen, Gefäße und andere Geräte und Gegenstände genutzt. Die süßschmeckende, aber giftige Bleiverbindung Blei(II)-acetat („Bleizucker“) wurde zum Süßen und Schönen von Wein genutzt. Die ersten Berichte über Bleivergiftungen (lat. Saturnismus) stammen aus dieser Zeit.[4]
Nachdem der französische Marinearzt Amédée Lefèvre (1798–1869) gezeigt hatte, dass Bleivergiftungen Darmkoliken (Colique sèche) verursachen und sowohl durch beruflichen Umgang mit Blei als auch durch Trinken aus bleihaltigen Gefäßen herrühren können, setzte das Marineministerium seine Verbesserungsvorschläge um, wodurch nach 1862 deutlich weniger Fälle von Saturnismus bzw. akuter Bleivergiftung auftraten.[9]
Eine Untersuchung von 5000 Jahre alten menschlichen Knochen aus dem Sudan ergab einen Bleigehalt von 600 µg/kg, während Knochen aus Münchner Autopsiematerial im Jahr 1980 6500–9000 µg/kg enthielten.[4] Daraus schließt man, dass der Großteil der heutigen Bleibelastung durch menschliche Aktivitäten und durch die Nutzung dieses Metalls in großem Maßstab verursacht ist.
In Deutschland wurde bereits 1886 durch den Bundesrat Gesundheitsvorschriften bzw. ein Arbeitsverbot für Frauen und Jugendliche in Bleifarben- und Bleizuckerfabriken erlassen.[10] Zusammen mit der Nutzung von Blei ist die Bleibelastung in den letzten Jahrzehnten stark zurückgegangen: Im Jahr 1971 führte der Rhein an der holländischen Grenze noch 2000 t Blei pro Jahr mit sich; im Jahr 1984 nur noch 500 t pro Jahr.[4] Der Bleieintrag in die Oberflächengewässer auf deutschem Boden im Einzugsgebiet der Ostsee ist zwischen 1985 und 2000 um 70 % zurückgegangen.[11]
Viele Maler starben an den Folgen von Bleivergiftungen. Beispiele:
- Der deutsche Maler August Haake bekam im Herbst 1914 Symptome einer Bleivergiftung, nachdem er sieben Jahre lang Bleiweiß als Weißpigment verwendet hatte. Er starb am 2. Januar 1915 im Alter von 25 Jahren bei der wegen der Bleivergiftung notwendig gewordenen Magenoperation.[12]
- Der brasilianische Maler Candido Portinari (1903–1962) erlitt gesundheitliche Schäden durch das Blei in Farben. Er verbrachte das letzte Jahrzehnt seines Lebens gesundheitlich angeschlagen und starb 1962 an den Folgen der Bleivergiftung.
- Guy Rose (1867–1925, ein US-amerikanischer Maler) hatte schon während seines Studiums Symptome von Bleivergiftung, unter der er bis zu seinem Tod litt. Er mied deshalb zeitweise die Ölmalerei. 1921 erlitt er einen Schlaganfall; 1925 starb er.
Vor allem die Abschaffung verbleiten Benzins (etwa 1985–2000) hat die Bleibelastung der Umwelt stark reduziert; auch die verbesserte Abgasreinigung mit Feinstaubfiltern in großen Verbrennungsanlagen, bessere Abwasser- und Abluftreinigung in bleiverarbeitenden Betrieben sowie generell die reduzierte Verwendung von bleihaltigen Produkten in der Industrie haben dazu beigetragen. Bleihaltiges Flugbenzin gibt es immer noch (Näheres siehe AvGas#Verwendung).
Erwachsene nehmen mehr als 80 % des Bleis über Lebensmittel auf. Wenn Kleinkinder bleibelasteten Boden und Staub verschlucken, können sie dadurch mehr Blei aufnehmen als über die Nahrung. Die pro Tag und Kilogramm Körpergewicht aufgenommene Bleimenge liegt zwischen 0,5 und 30 µg. Sie ist bei Kindern mit durchschnittlich 0,8 µg/kg relativ gesehen höher als bei Erwachsenen mit durchschnittlich 0,55 µg/kg. Die WHO gibt als 'Provisional Tolerable Weekly Intake' (PTWI; übersetzt etwa 'einstweilige / schwebende tolerierbare wöchentliche Aufnahmemenge') 25 µg/kg Körpergewicht an.[13] Das entspricht pro Tag etwa 3,6 µg/kg oder etwa 200 µg für einen Erwachsenen mit 60 kg Körpergewicht.
Eine wissenschaftliche Untersuchung, die am 7. März 2022 im „Proceedings of the National Academy of Sciences“ veröffentlicht wurde, kommt zu dem Ergebnis, dass die Hälfte der US-amerikanischen Erwachsenen in ihrer Kindheit schädlichem Blei (Grenzwert 5 µg/dl) ausgesetzt waren.[14][15]
Weltweite Häufigkeit von Bleivergiftungen
Laut einer Studie von UNICEF aus dem Jahr 2020 haben weltweit 800 Millionen Kinder mindestens 5 Mikrogramm pro Deziliter Blei im Blut und damit eine erhöhte Konzentration, die sich ungünstig auf die Gesundheit auswirken kann.[16][17][18] Der Studienautor geht außerdem bei Erwachsenen von mehr als 900.000 vorzeitigen Todesfällen pro Jahr aus, die auf eine Bleivergiftung zurückzuführen sind.[17] Eine in der Fachzeitschrift Lancet Planetary Health veröffentlichte Analyse kam zu der Abschätzung, dass im Jahr 2019 weltweit mehr als fünf Millionen Todesfälle durch Herz-Kreislauf-Erkrankungen durch chronische Bleivergiftung verursacht worden waren. Kinder unter fünf Jahren hatten zusammen 765 Millionen IQ-Punkte (95-%-Konfidenzintervall 443–1098) aufgrund Bleiexposition verloren.[19]
Recycling von hochgiftigen Schwermetallen in Entwicklungs- und Schwellenländern
Laut der UNICEF-Studie seien vor allem Minderjährige in armen Nationen, in Mittel- und Südamerika sowie in Osteuropa, die meisten jedoch in Afrika und Asien, hochgiftigen Schwermetallen ausgesetzt. Der größte Auslöser für Bleivergiftungen sei das Recycling gebrauchter Blei-Säure-Batterien, die aus Fahrzeugen stammen.[17][16]
Luftbelastung
Das bleihaltige Antiklopfmittel Tetraethylblei hat etwa zwischen 1920 und 1980 die Bleibelastung der Luft deutlich erhöht. Bei der Verbrennung im Motor entstehen Blei und Blei(II)-oxid, das mit Chlor und Brom aus dem Benzin zugesetzten halogenierten Kohlenwasserstoffen zu feinen Blei(II)-chlorid- und Blei(II)-bromid-Partikeln reagiert. Diese Schwebstoffe setzten sich dann vor allem in der Umgebung der Straßen ab, wo sie, verglichen mit weiter von Straßen entfernten Orten, zu einem um den Faktor 2–10 größeren Bleigehalt in oberirdisch wachsendem Obst und Gemüse führten.[5] Beim Verhütten von Blei und auch bei seiner Raffination wird es als feiner Blei(II)-oxid-Staub freigesetzt und erhöht die Bleibelastung in der Umgebung. Auch Abfallverbrennungsanlagen und andere Feuerungsanlagen sowie bleiverarbeitende Betriebe geben bleihaltigen Staub ab. Im Juni 2005 teilte das Umweltbundesamt (UBA)[20] mit:
„Auch andere Schwermetalle wie Blei und Quecksilber werden in den Filtern der Müllverbrennungsanlagen aufgehalten. … Auch hier ist der Rückgang beeindruckend: Wurden 1990 bei der Verbrennung von Hausmüll in Müllverbrennungsanlagen noch 57.900 Kilogramm (kg) Blei und 347 kg Quecksilber ausgestoßen, gingen die Werte auf 130,5 kg (entspr. 0,2 % der Ausgangsemissionen) und 4,5 kg (1,3 % …) zurück. Damit spielen … [sie] für die Schadstoffbelastung der Menschen keine Rolle mehr.“[21]
Die feinen Stäube (Partikelgröße: 0,1–10 µm) werden teilweise vom Wind in weiter entfernte Regionen getragen, wo sie sich vor allem mit dem Niederschlag absetzen.[22] Stark bleihaltiger Staub entsteht auch, wenn alte Bleimennige-Anstriche bei Korrosionsschutzmaßnahmen (durch Abschmirgeln oder Sandstrahlen) entfernt werden.[20]
Eine ebenfalls erhöhte Bleikonzentration im Blut lässt sich gelegentlich bei Sportschützen und solchen Personen finden, die regelmäßig in geschlossenen Räumen mit Schusswaffen trainieren. Grund hierfür sind bleihaltige Verbindungen (Bleiazid und Bleistyphat) in den Anzündhütchen der Munition, die beim Schießen feinen Bleistaub freisetzen.
Blei aus eingeatmetem Staub reichert sich nicht in der Lunge an, sondern wird entweder resorbiert oder im Rahmen der Selbstreinigung der Atemwege (siehe Flimmerepithel) mit dem in den Rachenraum beförderten Bronchialschleim verschluckt. Von den eingeatmeten Bleipartikeln bleiben je nach Größe 30–50 % in der Lunge; insgesamt werden etwa 30 % der eingeatmeten Bleimenge resorbiert. Bei 20 m³ eingeatmeter Luft pro Tag und einem Bleigehalt von 1 µg/m³ in der Atemluft – dieser Wert wird auch in Städten selten überschritten – resultiert daraus eine Bleiresorption von 6 µg pro Tag.[4] Seit dem 1. Januar 2005 gilt ein Grenzwert von 0,5 µg/m³ im Jahresmittel.[23]
Potenziell gefährdet sind deshalb vor allem Arbeiter in der Bleigewinnung oder der Herstellung und Verarbeitung bleihaltiger Produkte wie zum Beispiel Bleiakkumulatoren. In Bleihütten und -raffinerien können Luftkonzentrationen zwischen 80 und 4000 µg/m³ auftreten.[4] Die Maximale Arbeitsplatz-Konzentration (MAK-Wert) von Blei ist auf 100 µg/m³ (0,1 mg/m³) festgelegt.
Die Standard Oil Company betrieb in einer Raffinerie in Bayway (New Jersey) Anfang der 1920er Jahre eine Anlage zur Produktion des Antiklopfmittels Tetraethylblei. Schon bald begannen die Arbeiter, die mit der Herstellung beschäftigt waren, sich seltsam zu verhalten, so dass das Gebäude unter den Arbeitern den Spitznamen The loony gas building (dt.: „Das verrückte Benzin-Gebäude“) bekam. Im Herbst 1924 verschlechterte sich der Zustand der Arbeiter rapide. 32 der 49 Arbeiter kamen ins Krankenhaus, 5 von ihnen starben. Das von Charles Norris geleitete Office of Chief Medical Examiner of the City of New York (OCME) wurde mit der Untersuchung beauftragt. Alexander O. Gettler konnte als Todesursache Bleivergiftung nachweisen. Nachdem Norris den Untersuchungsbericht vorgelegt hatte, verboten unter anderem New York City, New Jersey und Philadelphia bleihaltige Benzinzusätze. Dieses Verbot wurde von der Bundesregierung jedoch 1926 wieder aufgehoben.[24] Norris behielt das Problem aber im Auge und konnte 1934 nachweisen, dass die Konzentration von Blei im Straßenstaub seit 1924 um 50 Prozent gestiegen war.[25]
Nahrung und Trinkwasser
Der Bleigehalt von Lebensmitteln schwankt stark. Bestimmte Organismen reichern Blei an; manche Pilze können Konzentrationen bis 40.000 µg/kg Trockengewicht oder sogar 80.000 µg/kg erreichen.[22] In Süßwasserfischen wurden 0,5–1000 µg/kg gefunden.[22] Höhere Pflanzen nehmen – bis auf wenige Ausnahmen – nur wenig Blei über die Wurzel oder die Blattoberfläche auf; deswegen sind pflanzliche Lebensmittel vor allem durch den auf der Oberfläche abgesetzten bleihaltigen Staub belastet, der sich teilweise abwaschen lässt.[22] Bei Pflanzen mit großer Blattfläche wurden 1996 Höchstwerte bis zu 20.000 µg/kg[26] gemessen. Verglichen mit den meisten Nahrungsmitteln tierischer Herkunft (Bleigehalt 10–100 µg/kg[26]), enthalten die Innereien von Tieren mit 100–1000 µg/kg[26] relativ viel Blei.
Für viele Lebensmittelgruppen existieren von der Europäischen Gemeinschaft individuell festgelegte Blei-Höchstgehalte, die beispielsweise zwischen 20 µg/kg für Milch und 1500 µg/kg für Muscheln liegen können.[13] Die Werte richten sich danach, welche Mengen man von den jeweiligen Lebensmitteln typischerweise aufnimmt und wie viel Blei die Lebensmittel normalerweise enthalten. Das ist der Grund für den hohen Grenzwert bei Muscheln, die Blei anreichern (Bioakkumulation) und deshalb von Natur aus vergleichsweise viel Blei enthalten, aber typischerweise nicht regelmäßig in großen Mengen verzehrt werden.
In der Vergangenheit waren Bleigeschirr und bleihaltiges Geschirr aus Zinn bedeutsame Bleiquellen, weil insbesondere saure Lebensmittel wie Wein oder Fruchtsaft erhebliche Mengen Blei aus ihnen lösen konnten. Ihre Verwendung ist inzwischen verboten. Stand 2020 kann noch bleihaltige Keramikglasur Blei in relevanter Menge an Nahrungsmittel abgeben.[17][27] Der im Jahr 1984 festgesetzte Höchstwert für Bleiabgabe an Lebensmittel liegt bei 4000 µg/l, was inzwischen als zu hoch angesehen wird.[27]
Wasserleitungen aus Blei sind vor allem bei weichem oder saurem Wasser problematisch, weil sich keine schützende Schicht aus schwerlöslichem Blei(II)-carbonat bilden kann und im Extremfall bis zu 3000 µg/l[4] (andere Quellen: 200 µg/l,[5] 500 µg/l[26]) Blei in Lösung gehen können. Damit kann der seit dem 1. Dezember 2003 bestehende Grenzwert für Trinkwasser von 25 µg/l, der bis Anfang 2013 auf 10 µg/l gesunken ist, um ein Vielfaches überschritten werden. Für lange Zeit galt vorher ein Grenzwert von 40 µg/l.[28] Bereits Vitruv hatte im 1. Jahrhundert vor Christus die Gesundheitsschädlichkeit von Bleirohren beschrieben.[29] Im Bereich der Königreiche Bayern und Württemberg wurde Blei in Trinkwasserleitungen 1878 verboten, nachdem im 18. Jahrhundert Herzog Karl Eugen von Württemberg das Blei als potentiell krankmachend erkannt hatte.[30] Bleirohre werden seit der DIN 2000-Norm Ausgabe 11.1973 nicht mehr eingebaut, sind aber noch in 10–15 % der Haushalte in Ballungsgebieten vorhanden.[28] Blei kann auch aus Messingarmaturen ins Trinkwasser übergehen und den jetzigen Grenzwert überschreiten, wenn es längere Zeit mit dem Metall in Kontakt bleibt.[28]
Insbesondere Kleinkinder können über belasteten Boden Blei aufnehmen; der Bleigehalt im Bereich nahe der Oberfläche schwankt je nach Bleieintrag extrem: Er kann kleiner als 50.000 µg/kg oder größer als 1.000.000 µg/kg sein.[26]
Erwachsene resorbieren über den Verdauungstrakt nur etwa 10 % der aufgenommenen Bleimenge in den Körper, während bei Kindern im Alter zwischen zwei Monaten und sechs Jahren bis zu 50 % des Bleis in den Körper gelangen. Deshalb sind Kinder durch Blei in der Nahrung besonders gefährdet.[4]
Rauchen
In Tabakrauch sind unter anderem Schwermetallkationen (Cadmium – 0,007–0,35 Mikrogramm je Zigarette –, Quecksilber, Kupfer, Arsen, Nickel, Zink, Blei, Antimon und Gold). Dies ist eine weitere Ursache für eine gesundheitliche Schädigung durch Rauchen.
Seit Sommer 2006 ist in Deutschland wiederholt Cannabis aufgetaucht, dem als Streckmittel elementares Blei hinzugefügt worden war. Im Raum Leipzig wurden 29 Bleivergiftungen dokumentiert, die sich auf dessen Konsum zurückführen lassen.[31] Im Februar 2009 sind im Raum München mehrere Bleivergiftungen festgestellt worden, nachdem Menschen mit Bleisulfid gestrecktes Cannabis konsumiert hatten. Im Blut der Patienten, die an Vergiftungssymptomen litten, fanden sich hohe Bleiwerte.[32]
Weitere Ursachen
Eine vermehrte Bleiaufnahme kann selten auch durch ein pathologisches Verhalten oder spezielle Hobbys oder Angewohnheiten ausgelöst werden, die oftmals als Ursache sehr schwer zu erkennen sind:[33]
- Das Pica-Syndrom ist eine seltene Essstörung, bei der Menschen Dinge zu sich nehmen, die allgemein als ungenießbar oder auch ekelerregend angesehen werden. Dabei kann es zur Aufnahme von alten bleihaltigen Farbresten, bleihaltiger Erde oder bleihaltigem Lehm kommen.
- Illegales Alkohol-Brennen erfolgt gelegentlich mittels alter Heizungs-Radiatoren, die bleihaltige Lötnähte haben.
- Hobbys mit Glasbläserei, Glasfärberei, Keramik-Bemalung, bei denen bleihaltige Gläser und Farben zum Einsatz kommen.
- Importierte Gewürze und Nahrungsergänzungsmittel, besonders Gelbwurz- bzw. Kurkuma-Präparate werden in manchen Ländern mit Bleichromat gemischt, um ihre Farbe zu verbessern und ihr Gewicht und somit den Preis zu erhöhen.[17]
- Alternative und komplementäre Heilmittel, auch aus der Traditionellen chinesischen Medizin und indischen Ayurveda-Heilkunde, die Blei-kontaminiert sein können. Beispiele sind Albayalde, Anzroot, Azarcon, Bali Goli, Ghasard, Greta, Jin Bu Huan, Koo Sar, Kushta, Litargirio.
- Importierte Kosmetika und religiöse Pulver wie Swad (aus dem Hinduismus), Tiro (Augen-Kosmetik aus Nigeria), Kohl oder Surma (Augenkosmetik aus Afrika, Mittlerem und Fernen Osten), Haarfärbemittel mit Bleiacetat.
Blei im Körper
Verteilung
Man unterscheidet zwischen drei Bleidepots im Körper, die unterschiedlich schnell Blei einlagern und abgeben können und auf ein wechselseitiges Gleichgewicht zustreben: Zunächst gelangt aufgenommenes Blei ins Blut, wo etwa 1 % der Gesamtmenge zirkuliert, zu 99 % in den roten Blutkörperchen. Zwischen Blut und Herz, Lunge, Leber, Niere, Gehirn und Verdauungstrakt stellt sich schnell ein Gleichgewicht ein. Langsamer läuft der Austausch mit Muskeln und Haut.[22] In Weichgewebe hat Blei eine Halbwertszeit von etwa 20 Tagen.[4] Das Blei in diesen Depots wird entweder ausgeschieden oder als Bleiphosphat anstelle von Calciumphosphat in die Knochen und Zähne eingelagert. Dort bildet es ein sehr langlebiges Depot mit einer Halbwertszeit von 5–20 Jahren. Bei Erwachsenen befinden sich 95 % des Bleis im Körper in den Knochen, bei Kindern nur 70 %.[34] Wenn Knochensubstanz abgebaut wird, z. B. bei Calciummangel, Stress, während einer Cortisontherapie, bei Osteoporose, durch Azidose oder während der Schwangerschaft, kann der Blutbleispiegel ansteigen und ohne zusätzliche Bleizufuhr von außen Symptome einer akuten Bleivergiftung auslösen, die sogenannte Bleikrise.
Blei ist plazentagängig; somit kann Blei aus dem Blut einer schwangeren Mutter auf das ungeborene Kind übergehen und es schädigen.
Wirkung
| Auswirkung | Blutkonzentration in µg/l (Kinder) | Blutkonzentration in µg/l (Erwachsene) |
|---|---|---|
| Leicht beeinträchtigte Nierenfunktion | 100 | – |
| Statistisch geringerer IQ | 100–200 | – |
| Statistisch früherer Geburtstermin | – | 140 |
| Enzymhemmung in der Blutbildung | ab 150 | ab 150 |
| BGW (Frauen unter 45 Jahren) | – | 300 |
| Delta-Aminolävulinsäure und Koproporphyrin im Harn erhöht | 400 | 400 |
| BGW | – | 400 |
| Visuomotorische Leistung verringert | 100–200 | 500 |
| Blutarmut | 200 | 500 |
| chronische Enzephalopathie | 500–600 | 800 |
| Lähmungen | 600–800 | 600–800 |
| akute Enzephalopathie | 800–1000 | 1200 |
Die Wirkung von Blei auf den Körper hängt von der Bleikonzentration im Blut ab. Es gilt ein biologischer Grenzwert von 150 µg/l als höchster zulässiger Wert am Arbeitsplatz[35]. Da man in Tierversuchen und breit angelegten Studien bei Kindern und Schwangeren schon ab etwa 150 µg/l Blei im Blut Hinweise darauf gefunden hat, dass IQ und Lernverhalten beeinträchtigt sind, sollte laut WHO seit 2012 ein Blutbleispiegel von 50 µg/l nicht überschritten werden. Dieser Grenzwert lag in den 1970er Jahren noch bei 400 µg/l und wurde mit zunehmender Kenntnis der Folgen chronischer niedrigdosierter Bleiexposition immer weiter nach unten korrigiert. 2012 stellte die WHO zudem fest, dass es bei Kindern gar keinen „sicheren Grenzwert“ gibt.[3][34]
Glatte Muskulatur zieht sich durch Blei zusammen (Muskelkontraktion), was zu Darmkrämpfen führt. Außerdem verengen sich kleine Blutgefäße; dadurch erscheint die Haut blass und der Blutdruck steigt geringfügig an.
Blutbildung
Blei hemmt drei an der Blutbildung beteiligte Enzyme: Delta-Aminolävulinsäure-Dehydratase (ALAD), Coproporphyrinogen-Oxidase (veraltet „Koprogenase“) und Ferrochelatase. Dies führt dazu, dass einerseits die Blutbildung insgesamt gestört ist und sich andererseits Zwischenprodukte (die Substrate der betroffenen Enzyme bzw. ihre Stoffwechselprodukte, d. h. δ-Aminolävulinsäure (ALA), das Dehydrierungsprodukt Koproporphyrin III des Koproporphyrinogen III und Protoporphyrin IX) anreichern.[36]

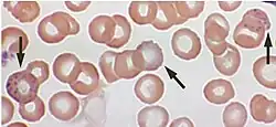
Ab einem Blutbleispiegel von etwa 150 µg/l lässt sich die Hemmung der ALAD nachweisen, ab 400 µg/l ist der ALA-Gehalt im Urin erhöht. Das braune Koproporphyrin III lässt sich ebenfalls ab dieser Blutbleikonzentration im Urin vermehrt nachweisen und färbt ihn in schwereren Fällen (hoher Blutbleispiegel) dunkelbraun. Es trägt auch zur blass-grau-gelben Färbung der Haut bei chronischer Bleivergiftung bei.[2][4] Zwischen 200 und 600 µg/l steigt der Gehalt an Protoporphyrin in den roten Blutkörperchen und verursacht eine sog. „basophile Tüpfelung“ der roten Blutkörperchen, die sich mikroskopisch nachweisen lässt.
Über 500 µg/l (bei Kindern 200 µg/l) Blei im Blut kann Blutarmut verursachen,[3] weil es die Blutbildung einschränkt und die Lebensdauer der roten Blutkörperchen verringert. Zudem können Anulozyten auftreten.
Herz-Kreislauf-System
Blei verursacht eine Erhöhung des Blutdrucks, weil vermindert gefäßerweiternde Hormone (Prostaglandine) freigesetzt werden. Stattdessen werden gefäßverengende produziert. Herzrhythmusstörungen kommen ebenfalls vor, durch Störung des zellulären Kalziumhaushalts. Blei erhöht auch das Risiko für Herzinfarkt, Herzinsuffizienz und Herzrhythmusstörungen meist als Folge von Arteriosklerose. Diese wird unter anderem durch die Bildung freier Radikale und die Vermehrung glatter Muskelzellen in den Blutgefäßen gefördert.[37]
Nervensystem
Bei Kindern sind schon ab 100–200 µg/l Blei im Blut statistisch psychische Veränderungen wie geringfügig verringerte Intelligenz und psychomotorische Defizite feststellbar.[26] Bei Erwachsenen ist die Leistung bei visimotorischen Tests ab 500 µg/l reduziert.[26] Zur Enzephalopathie kommt es bei Erwachsenen ab 1200 µg/l, bei Kindern schon ab 800–1000 µg/l. Diese Enzephalopathie endet bei Kindern unbehandelt häufig tödlich und verursacht bei Überlebenden oft bleibende neurologische und neuropsychologische Schäden.[3] Zu den Symptomen einer solchen Enzephalopathie gehören Kopfschmerzen, Desorientierung, Schlaflosigkeit, Erbrechen, Apathie, Stupor, Überaktivität und Aggressivität.[4] In schweren Fällen führt sie zu Delirium, Krämpfen, Koma und Tod durch Kreislaufversagen.[4]
Chronische Bleivergiftung mit Blutkonzentrationen ab 600–800 µg/l[4] lähmt durch Nervenschäden bevorzugt stärker beanspruchte Extensoren. Erstes Zeichen einer chronischen Bleivergiftung ist häufig die Fallhand, bei der die Hand gegenüber dem Unterarm nicht gehoben werden kann. Diese auch als „Fallhandstellung“ bezeichnete Lähmung ist Folge einer Schädigung des Nervus Radialis (Speichennerv).[2]
Verdauungsorgane
Eine Bleivergiftung verursacht typische Darmkoliken („Bleikolik“) und Verstopfung, in schweren Fällen einen spastischen Ileus. Eine akute Vergiftung durch große Mengen einer Bleiverbindung kann Erbrechen auslösen; das Erbrochene kann durch im Magen mit der Magensäure gebildetes Blei(II)-chlorid weiß gefärbt sein.[1]
Nieren
Die filtrative Nierenfunktion wird bei Kindern ab 100 µg/l Blei im Blut leicht beeinträchtigt.[26] In schweren Vergiftungsfällen kann das Nierengewebe geschädigt werden (akute bleitoxische tubuläre Schrumpfniere, Bleischrumpfniere, Bleiniere, Nephritis saturnina).[38][4] Bei Ratten hat Blei in hohen Dosen über lange Zeiträume Nierentumore ausgelöst.[3]
Fortpflanzung
Bei Ratten und Primaten haben in Tierversuchen Blutbleispiegel ab etwa 150 µg/l vor der Geburt zu bleibender Lern- und Gedächtnisschwäche geführt.[3] Blei hat im Tierversuch auch Wurfgröße, Geburtsgewicht und Überlebensrate der Neugeborenen reduziert.[4] Bei Menschen scheint ein Blutbleispiegel der Mutter von mehr als 140 µg/l das Geburtsalter verringern zu können (Frühgeburt).[26]
Ausscheidung
Blei wird nur sehr langsam ausgeschieden, so dass sich nach Ende der Bleiaufnahme erst nach Jahren normale Werte einstellen.[2] Über die Nieren wird der Großteil (76 %) des Bleis ausgeschieden; über Galle und Darm 16 % und weniger als 8 % mit Haaren, Nägeln, Hautabschilferung und Schweiß.[4][2]
Diagnose und Monitoring
Zu den äußeren Symptomen einer Bleivergiftung gehören das sog. „Bleikolorit“ (blass-grau-gelbe Verfärbung der Haut), Darmkoliken, diffuse zentralnervöse Symptome wie Müdigkeit, Kopfschmerzen, Appetitlosigkeit usw., Lähmungen, ein blauschwarzer, Blei(II)-sulfid enthaltender „Bleisaum“ im Zahnfleisch um die Zahnhälse und in schweren Fällen eine Enzephalopathie.[2]
Um die Bleibelastung von Menschen zu bestimmen, kommen Blut, Harn, Zähne und Haare in Frage. Blut eignet sich am besten zur Diagnose und zur Erfolgskontrolle einer Behandlung.[26]
Der Bleigehalt des Harns schwankt zu stark in Abhängigkeit vom Flüssigkeitskonsum und von der Nierenfunktion; außerdem ist der Bleigehalt im Harn um den Faktor 10 geringer als der im Blut und damit schwieriger zu bestimmen. Da erst ab der bereits schädigenden Blutbleikonzentration von 400 µg/l der Gehalt an ALA und Koproporphyrin III im Harn signifikant erhöht ist, eignen sich diese Parameter nur, um stärkere Belastungen – z. B. berufsbedingte – zu erkennen.[4] Um die Bleibelastung in der Bevölkerung zu überwachen, ist dieser Parameter ungeeignet.[26]
Zähne eignen sich prinzipiell dazu, die Langzeitbelastung mit Blei zu bestimmen, weil der Bleigehalt mit Lebensalter und Bleiexposition ansteigt. Sie sind aber bei Erwachsenen im Allgemeinen nicht verfügbar; um die Bleibelastung bei Kindern zu bestimmen, sind sie aber gut geeignet, weil bei ihnen die ausgefallenen Milchzähne untersucht werden können.[26]
Über die Ablagerung in den Haaren ließe sich die Belastung der vorangegangenen Monate abschätzen; das Ergebnis kann aber durch an den Haaren haftendes Blei verfälscht sein.[26]
Um Bleidepots in den Knochen durch zurückliegende Belastung nachzuweisen, ist der Blutbleispiegel weniger gut geeignet, denn er ist oft nicht mehr erhöht. Stattdessen kann man das Blei entweder direkt über Röntgenfluoreszenzanalyse in den Knochen bestimmen, oder man führt einen EDTA-Provokationstest durch. Dazu injiziert man dem Patienten EDTA und überwacht die Bleiausscheidung. Ist sie signifikant höher als ein typischer Vergleichswert, deutet das auf ein zu großes Bleidepot im Körper hin.[4]
Behandlung
Nach oraler Aufnahme einer bleihaltigen Substanz versucht man zunächst durch Erbrechen und Magenspülung zu verhindern, dass das Blei resorbiert wird. Einer akuten Vergiftung wird mit einer Magenspülung mit dreiprozentiger Natriumsulfatlösung und gleichzeitiger Gabe von Aktivkohle entgegengewirkt.[39] Dadurch werden Bleiionen in schwer lösliches Bleisulfat überführt und an die Kohle gebunden.
Um Blei aus dem Blut und aus leichtverfügbaren Depots zu entfernen, kommt eine Therapie mit Chelatbildnern wie Natrium DMPS (Dimaval) EDTA, DTPA und/oder D-Penicillamin in Frage. Die Chelate werden über die Nieren ausgeschieden. Chelatbildner verursachen aber starke Nebenwirkungen und können nicht über einen längeren Zeitraum gegeben werden, weil sie auch lebensnotwendige Spurenelemente aus dem Körper schwemmen. Bei Kindern ist eine Chelat-Therapie bei einem Blutbleispiegel über 450 µg/kg zu erwägen.[26]
Nach einer Vergiftung mit unklarer Ursache ist es wichtig, die Bleiquelle(n) zu identifizieren und auszuschalten, um eine erneute Intoxikation zu verhindern.
Prävention
Der einzige Schutz vor Blei ist, es möglichst nicht freizusetzen und aufzunehmen. Viele Anwendungen für Blei sind inzwischen verboten oder stark eingeschränkt; dazu gehören Bleiweiß als Weißpigment, Mennige als Rostschutz, Tetraethylblei als Antiklopfmittel, bleihaltiges Lötzinn und viele mehr. Für Bleischrot stehen zwar nicht-bleihaltige Alternativen zur Verfügung, diese erreichen jedoch nicht die gleiche Wirksamkeit, deshalb ist Bleischrot noch nicht flächendeckend verboten. Wo Blei nicht ersetzbar ist, sollen Produktionsverfahren eingesetzt werden, die möglichst wenig bleihaltigen Staub und bleihaltiges Abwasser produzieren. Entstehen unvermeidbar Staub und Abwasser, müssen diese abgesaugt bzw. abgefangen, gesammelt und gereinigt und dann geeignet entsorgt werden. Um potenziell gefährdete Arbeitskräfte, die mit Blei oder bleihaltigen Verbindungen in Kontakt kommen könnten, zu schützen, müssen Arbeitgeber und Arbeitnehmer die einschlägigen Arbeitsschutzvorschriften einhalten. Dazu gehören Überwachung der Luftkonzentration, Überwachung des Blutbleispiegels beim Personal, Hygienemaßnahmen und ggf. Schutzausrüstung.
Bleihaltige Produkte und Abfälle wie alte Autobatterien müssen ggf. gesondert gesammelt und entsorgt werden.
Für Personen, die nicht beruflich mit Blei in Kontakt kommen oder in stark kontaminierten Gegenden wohnen, besteht inzwischen meist keine Gefahr mehr, über Luft und Nahrung zu viel Blei aufzunehmen. Problematisch sind immer noch vorhandene Wasserleitungen aus Blei, die erhebliche Bleimengen ins Trinkwasser abgeben können. Sie sollten wenn möglich durch Wasserleitungen aus geeignetem Material ersetzt werden. „Ablaufenlassen“ des Wassers, das lange in der Leitung stand, ist hier eine sinnvolle Maßnahme für Erwachsene, aber nicht ausreichend für Säuglinge und Schwangere.[40] Für die Zubereitung von Säuglingsnahrung ist Wasser mit zu hohem Bleigehalt unbedingt zu vermeiden, denn Kinder sind besonders durch Blei in der Nahrung gefährdet. Obst und Gemüse sollte man vor dem Verzehr abwaschen, um anhaftenden Staub zu entfernen. Nahrungsmittel mit von Natur aus erhöhtem Bleigehalt wie Wildpilze, Muscheln und Innereien sollte man nur in geringen Mengen verzehren.
Für Lebensmittel darf man nur ausdrücklich als dafür geeignet gekennzeichnete Gefäße und Geräte benutzen. Problematisch können mit bleihaltiger Glasur überzogene Keramikgefäße sein; Vorsicht ist bei „No-Name-Produkten“ und Importen aus dem Ausland geboten. 2007 wurde entdeckt, dass Spielwaren mit Farbe überzogen wurden, die unverhältnismäßig hoch mit Blei belastet war. Hier kam es mehrfach zu Rückrufaktionen beispielsweise des amerikanischen Unternehmens Mattel,[41] das billigst in der Volksrepublik China produzieren ließ, wobei Qualitätssicherung nicht oder zumindest nicht ausreichend stattgefunden hat.
Eisen und EDTA sollen laut einer Studie den Bleispiegel im Blut etwas senken. Eisen gelangt im Dünndarm über das gleiche Transportprotein ins Blut wie Blei, sodass bei Eisenmangel mehr Blei aufgenommen wird.[42]
Siehe auch
Literatur
- Paul Schmidt, Adolf Seiser, Stillfried Litzner: Bleivergiftung. Urban & Schwarzenberg, Berlin u. a. 1930.
- Klaus Schümann: Historische Aspekte der Bleivergiftung. In: Bergknappe. Band 31, Nr. 1, 2007, S. 14–22 (Gesamtes Heft [PDF; 4,9 MB]).
- Franziska P. Busse, Georg Martin Fiedler, Alexander Leichtle, Helmut Hentschel, Michael Stumvoll: Bleiintoxikationen durch gestrecktes Marihuana in Leipzig] [Lead Poisoning Due to Adulterated Marijuana in Leipzig. In: Deutsches Ärzteblatt. Band 105, Nr. 44, 2008, S. 757–756, doi:10.3238/arztebl.2008.0757, PMC 2696942 (freier Volltext) – (aerzteblatt.de).
Weblinks
- Technische Regeln für Gefahrstoffe: Blei und bleihaltige Gefahrstoffe (TRGS 505) (PDF; 66 kB)
- Bibliografie zu Bleivergiftungen in der Antike (englisch)
- Informationen über bleihaltige Cannabisprodukte des Deutschen Hanf Verbandes
- Merkblatt zur BK Nr. 1101: Erkrankungen durch Blei oder seine Verbindungen ( vom 30. Juli 2014 im Internet Archive)
Einzelnachweise
- ↑ a b Reinhard Ludewig, Karlheinz Lohs: Akute Vergiftungen. 6. Auflage. Gustav-Fischer-Verlag, Stuttgart 1981, ISBN 3-437-10697-X, S. 127–129.
- ↑ a b c d e f C.-J. Estler (Hrsg.): Pharmakologie und Toxikologie. 5. Auflage. F. K. Schattauer Verlagsgesellschaft, Stuttgart 2000, ISBN 3-7945-1898-5, S. 735–738.
- ↑ a b c d e f Air quality guidelines for Europe. 2. Auflage. World Health Organization, Regional Office for Europe, Copenhagen 2000, ISBN 978-92-890-1358-1, Kapitel 6.7: Lead. (who.int [PDF]).
- ↑ a b c d e f g h i j k l m n o p q r s Hans Marquardt, Siegfried G. Schäfer (Hrsg.): Lehrbuch der Toxikologie. Spektrum Akademischer Verlag, Heidelberg 1997, ISBN 3-8274-0271-9, S. 513–517.
- ↑ a b c Konrad Lang: Biochemie der Ernährung. 4. Auflage. Steinkopff, Darmstadt 1979, ISBN 3-7985-0553-5, S. 379–381.
- ↑ Leitfaden zur Anwendung umweltverträglicher Stoffe. (PDF; 982 kB) Umweltbundesamt, Februar 2003.
- ↑ DFG legt MAK- und BAT-Werte-Liste 2006 vor. ( vom 10. Februar 2009 im Internet Archive) Deutsche Forschungsgemeinschaft, Pressemitteilung Nr. 34, 5. Juli 2006.
- ↑ Eintrag zu Tetraethylblei. In: Römpp Online. Georg Thieme Verlag, abgerufen am 10. April 2017.
- ↑ Barbara I. Tshisuaka: Lefèvre, Amédée. In: Werner E. Gerabek, Bernhard D. Haage, Gundolf Keil, Wolfgang Wegner (Hrsg.): Enzyklopädie Medizingeschichte. De Gruyter, Berlin / New York 2005, ISBN 3-11-015714-4, S. 834.
- ↑ Quellensammlung zur Geschichte der deutschen Sozialpolitik 1867 bis 1914, II. Abteilung: Von der Kaiserlichen Sozialbotschaft bis zu den Februarerlassen Wilhelms II. (1881–1890), 3. Band: Arbeiterschutz, bearbeitet von Wolfgang Ayaß. Darmstadt 1998, ISBN 3-534-13440-0, Nr. 26 und Nr. 121.
- ↑ Emissionen aus dem Ostseeeinzugsgebiet. ( vom 24. August 2011 im Internet Archive) Umweltbundesamt, Stand: 16. November 2005.
- ↑ Volkert H. U. Koch: August Haake 1889–1915. Herausgegeben vom Kunstverein Fischerhude in Buthmanns Hof e. V. Verlag Atelier im Bauernhaus, Fischerhude 2006. Seite 126.
- ↑ a b Schwermetalle in Lebensmitteln. Verbraucherinformationssystem Bayern (Stand 13. Januar 2006).
- ↑ Michael J. McFarland, Matt E. Hauer, Aaron Reuben: Half of US population exposed to adverse lead levels in early childhood. In: Proceedings of the National Academy of Sciences. Band 119, Nr. 11, 7. März 2022, ISSN 0027-8424, doi:10.1073/pnas.2118631119 (pnas.org [abgerufen am 8. März 2022]).
- ↑ Half of US adults exposed to harmful lead levels as kids. 7. März 2022, abgerufen am 8. März 2022 (englisch).
- ↑ a b The toxic truth. Abgerufen am 18. August 2020 (englisch).
- ↑ a b c d e Anne Backhaus: Unsichtbare Gefahr: Blei in Batterien, Geschirr und Gewürzen vergiftet Millionen Kinder. In: Spiegel Online Politik. Abgerufen am 18. August 2020.
- ↑ Bret Ericson, Howard Hu, Emily Nash, Greg Ferraro, Julia Sinitsky: Blood lead levels in low-income and middle-income countries: a systematic review. In: The Lancet Planetary Health. Band 5, Nr. 3, 1. März 2021, ISSN 2542-5196, S. e145–e153, doi:10.1016/S2542-5196(20)30278-3, PMID 33713615.
- ↑ Larsen B, Sánchez-Triana E: Global health burden and cost of lead exposure in children and adults: a health impact and economic modelling analysis. In: The Lancet Planetary Health. Band 7, Nr. 10, S. e831-e840, doi:10.1016/S2542-5196(23)00166-3 (englisch).
- ↑ a b Blei. ( vom 31. Dezember 2006 im Internet Archive) Umweltbundesamt, Stand: 18. November 1998.
- ↑ Müllverbrennung – ein Gefahrenherd? Abschied von der Dioxinschleuder. ( vom 4. März 2012 im Internet Archive; PDF; 59 kB) S. 4 f. Zur Situation im Jahr 1998 siehe auch die vorherige Fußnote.
- ↑ a b c d e Bruno Streit: Lexikon Ökotoxikologie. VCH, Weinheim 1991. ISBN 3-527-28104-5, S. 104–110.
- ↑ Luftschadstoff Blei. ( vom 7. Oktober 2006 im Internet Archive; PDF) Umweltbundesamt, Stand: November 2005.
- ↑ The Poisoner’s Handbook ( des vom 6. Oktober 2014 im Internet Archive) Info: Der Archivlink wurde automatisch eingesetzt und noch nicht geprüft. Bitte prüfe Original- und Archivlink gemäß Anleitung und entferne dann diesen Hinweis. (Abschrift einer Dokumentarsendung auf PBS).
- ↑ Deborah Blum: Looney Gas and Lead Poisoning: A Short, Sad History.
- ↑ a b c d e f g h i j k l m n Stoffmonographie Blei. (PDF) Kommission „Human-Biomonitoring“ des Umweltbundesamtes. In: Bundesgesundheitsblatt, 1996, Band 39, S. 236–241.
- ↑ a b Blei und Cadmium aus Keramik. ( des vom 16. Juni 2009 im Internet Archive) Info: Der Archivlink wurde automatisch eingesetzt und noch nicht geprüft. Bitte prüfe Original- und Archivlink gemäß Anleitung und entferne dann diesen Hinweis. (PDF; 147 kB) Bundesinstitut für Risikobewertung, 7. Juni 2005.
- ↑ a b c Grenzwert für Blei im Trinkwasser gesenkt. Umweltbundesamt (12. Dezember 2003).
- ↑ Landesarchiv Baden-Württemberg: Bleirohr einer Wasserleitung. Abgerufen am 17. Februar 2024.
- ↑ Thomas Wollstein: Zum Umgang mit Bleileitungen im Haus. In: VDI-Blog. 14. Januar 2019, abgerufen am 17. Februar 2024.
- ↑ Franziska Busse, Leyla Omidi, Alexander Leichtle, Michael Windgassen, Eyleen Kluge, Michael Stumvoll: Lead Poisoning Due to Adulterated Marijuana. In: New England Journal of Medicine. Band 358, Nr. 15, April 2008, S. 1641–1642, doi:10.1056/NEJMc0707784, PMID 18403778 (freier Volltext).
- ↑ Bleiverseuchtes Marihuana in Bayern aufgetaucht.
- ↑ Rose H. Goldman, Lisa Weissmann: A Diagnosis to Chew On New England Journal of Medicine 2019, Band 381, Ausgabe 5 vom 1. August 2019, Seiten 466–473, doi:10.1056/NEJMcps1900774
- ↑ a b Bruce Lanphear, Ana Navas-Acien, David C. Bellinger: Lead Poisoning New England Journal of Medicine 2024, Band 391, Ausgabe 17 vom 31. Oktober 2024, Seiten 1621–1631, DOI: 10.1056/NEJMra2402527
- ↑ TRGS 903 (PDF) Biologische Grenzwerte, BAuA.
- ↑ Rainer Braun: Spezielle Toxikologie für Chemiker: eine Auswahl toxischer Substanzen. Vieweg+Teubner Verlag, 1999, ISBN 978-3-519-03538-1, S. 38.
- ↑ Quecksilber und Blei machen es ihrem Herz schwer. (PDF).
- ↑ Peter Reuter: Springer Klinisches Wörterbuch 2007/2008, 1. Auflage, Heidelberg 2007, ISBN 978-3-540-34601-2, S. 1670.
- ↑ Ernst Mutschler: Arzneimittelwirkungen, Lehrbuch der Pharmakologie und Toxikologie. 8. Auflage. Wissenschaftliche Verlagsgesellschaft, Stuttgart 2001, ISBN 978-3-8047-1763-3, S. 970 f.
- ↑ Trink was – Trinkwasser aus dem Hahn. (PDF; 2,2 MB) Umweltbundesamt.
- ↑ Blei in Fisher-Price-Spielzeug. In: Focus Online. 2. August 2007, abgerufen am 9. Juni 2017.
- ↑ Eisen wirkt gegen giftiges Blei. In: Neue Zürcher Zeitung. 25. Oktober 2016, abgerufen am 9. Juni 2017.