Schistosoma haematobium
| Schistosoma haematobium | ||||||||||||
|---|---|---|---|---|---|---|---|---|---|---|---|---|
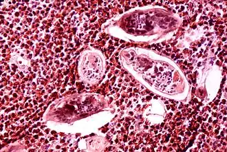
Der Erreger in histopathogischer Untersuchung, umgeben von Eosinophilen Granulozyten | ||||||||||||
| Systematik | ||||||||||||
| ||||||||||||
| Wissenschaftlicher Name | ||||||||||||
| Schistosoma haematobium | ||||||||||||
| (Bilharz, 1852) |
Schistosoma haematobium (ursprünglich Distomum haematobium genannt) ist eine Art der Saugwürmer aus der Gattung der Pärchenegel. Wie alle Pärchenegel lebt das adulte Weibchen ein Leben lang in einer kanalartigen Vertiefung im Körper des adulten Männchen.
Der in Afrika sowie im Nahen und Mittleren Osten vorkommende[1] Erreger kann besonders in Afrika die für zahlreiche Todesfälle verantwortliche Infektionskrankheit Schistosomiasis (Bilharziose) hervorrufen.
Die erwachsenen Organismen finden sich in Venen, die die Harnblase umschließen. Dort geben sie Eier durch die Blasenwand ab und rufen Hämaturie im Urin hervor. In der Blase lagert sich zu viel Calcium ein, was eine Hydronephrose zur Folge hat. Schistosoma haematobium gehört zu den zehn häufigsten Ursachen für durch Infektionen ausgelöste Krebserkrankungen.[2]
In verunreinigtem Wasser schwimmen die Zerkarien und dringen durch die Haut in das Blutsystem der Patienten. In der Leber werden dann erwachsene Saugwürmer daraus. Diese weisen außen Antigene des Wirtes auf, sodass sie dessen Immunsystem entkommen. Die Eier gelangen mit der Miktion in die Gewässer in der Umgebung der Siedlungen. Dort bilden mehrere Eier ein Miracidium, das eine Bulinus-Schnecke als Zwischenwirt befällt, wo das Epithel abgestreift wird und eine Sporozyste entsteht. Innerhalb weniger Wochen entwickeln sich daraus Tochter-Sporozysten, die bald die Schnecken verlassen und dann im Wasser wieder für Wirte infektiös sind.
Zur Diagnose wird der Urin untersucht, die Eier sind ungefähr 112–180 × 40–70 Mikrometer groß. Zur Prävention müssten die Grundregeln der Hygiene beachtet werden. Zur Behandlung kommt Praziquantel in Frage.
Literatur
- International Agency for Research on Cancer (IARC) (2012): Schistosoma haematobium (PDF; 1,4 MB). IARC Monographs on the Evaluation of Carcinogenic Risks to Humans, Volume 100B, S. 371–384.
Weblinks
Einzelnachweise
- ↑ Marianne Abele-Horn: Antimikrobielle Therapie. Entscheidungshilfen zur Behandlung und Prophylaxe von Infektionskrankheiten. Unter Mitarbeit von Werner Heinz, Hartwig Klinker, Johann Schurz und August Stich, 2., überarbeitete und erweiterte Auflage. Peter Wiehl, Marburg 2009, ISBN 978-3-927219-14-4, S. 293.
- ↑ Martyn Plummer, Catherine de Martel, Jerome Vignat, Jacques Ferlay, Freddie Bray, Silvia Franceschi: Global burden of cancers attributable to infections in 2012: a synthetic analysis. In: The Lancet Global Health. Band 4, Nr. 9, 2016, S. e609–e616, doi:10.1016/S2214-109X(16)30143-7.
