Serothorax
| Klassifikation nach ICD-10 | |
|---|---|
| J94.8 | Sonstige näher bezeichnete Krankheitszustände der Pleura |
| ICD-10 online (WHO-Version 2019) | |

Als Serothorax wird ein fibrin- und eiweißhaltiger Pleuraerguss,[1] also eine Ansammlung seröser Flüssigkeiten im Pleuraspalt bezeichnet.[2] Er tritt als Folge einer entzündlichen oder tumorösen Erkrankung des Brustfelles auf.[1] Ist der Pleuraerguss eiweiß- und zellarm, so wird er als Hydrothorax (früher auch Brustwassersucht)[3] bezeichnet. Der Hydrothorax tritt üblicherweise in Folge einer rechts- oder linksventrikulären Herzinsuffizienz, eines nephrotischen Syndroms oder (als hepatischer Hydrothorax)[4] einer Leberzirrhose auf.[5]
Ursachen
Als Ursachen für einen Serothorax werden in der Literatur Herz-Kreislauf-Erkrankungen, Störungen des Bluteiweißhaushaltes wie Dysproteinämie und Hypoproteinämie, bösartige Brustfellerkrankungen,[2] bei intrathorakalen Erkrankungen beziehungsweise abdominellen Erkrankungen entstehende Entzündungen (wie zum Beispiel Bauchspeicheldrüsenentzündung) und Rheuma genannt.[6]
Diagnose
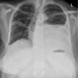
Anzeichen eines Serothorax sind eine spürbare Dämpfung bei der Perkussion des Brustkorbes, ein nur geringes oder nicht wahrnehmbares Atemgeräusch sowie eine Verschattung des erkrankten Thoraxbereiches im Röntgenbild.[7]
Therapie
Der Pleuraerguss wird mittels Pleurapunktion behandelt. Die Punktion dient gegebenenfalls der Minderung von Druckerscheinungen im Thorax sowie der Feststellung der ursächlichen Krankheitserreger. Die den Serothorax verursachende Erkrankung ist abhängig ihrer Genese chirurgisch oder internistisch zu behandeln.[8]
Literatur
- Robert F. Schmidt, Klaus Unsicker: Lehrbuch Vorklinik. Deutscher Ärzte-Verlag, Köln 2003, ISBN 3-7691-0443-9, S. 254.
- Pschyrembel – Klinisches Wörterbuch. 257. Auflage. Verlag de Gruyter, Berlin / New York 1994, ISBN 3-11-014183-3, S. 669 ff. u. 1412.
- Georg Heberer, Wolfgang Köle, Harald Tscherne: Chirurgie – Lehrbuch für Studierende der Medizin und Ärzte. 4. Auflage. Springer-Verlag, Berlin / Heidelberg / New York 1983, ISBN 3-540-11899-3, S. 225 ff.
- Peter Thurn, Egon Bücheler: Einführung in die Röntgendiagnostik. 7. Auflage. Georg Thieme Verlag, Stuttgart / New York 1982, ISBN 3-13-316007-9, S. 199, Abb. 228.
Einzelnachweise
- ↑ a b Pschyrembel, S. 1412.
- ↑ a b Lehrbuch Vorklinik, S. 254.
- ↑ Brustwassersucht. In: Meyers Großes Konversations-Lexikon. 6. Auflage. Band 3: Bismarck-Archipel–Chemnitz. Bibliographisches Institut, Leipzig / Wien 1905, S. 514 (Digitalisat. zeno.org).
- ↑ Berthold Jany, Tobias Welte: Pleuraerguss des Erwachsenen – Ursachen, Diagnostik und Therapie. In: Deutsches Ärzteblatt, Mai 2019, Band 116, Heft 21, S. 377–385, hier S. 379 und 382.
- ↑ Pschyrembel, S. 669 ff.
- ↑ Georg Heberer, Wolfgang Köle, Harald Tscherne: Chirurgie – Lehrbuch für Studierende der Medizin und Ärzte. 4. Auflage. Springer-Verlag, Berlin / Heidelberg / New York 1983, ISBN 3-540-11899-3, S. 225.
- ↑ Georg Heberer, Wolfgang Köle, Harald Tscherne: Chirurgie – Lehrbuch für Studierende der Medizin und Ärzte. 4. Auflage. Springer-Verlag, Berlin / Heidelberg / New York 1983, ISBN 3-540-11899-3, S. 225–226.
- ↑ Georg Heberer, Wolfgang Köle, Harald Tscherne: Chirurgie – Lehrbuch für Studierende der Medizin und Ärzte. 4. Auflage. Springer-Verlag, Berlin / Heidelberg / New York 1983, ISBN 3-540-11899-3, S. 226.