Snowboarder’s Ankle
| Klassifikation nach ICD-10 | |
|---|---|
| S92.1 | Fraktur des Talus |
| ICD-10 online (WHO-Version 2019) | |
_nach_Gray273.jpg)
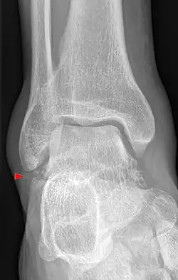
Snowboarder’s Ankle bezeichnet einen früher selten diagnostizierten, speziellen Knochenbruch des Sprungbeins, der mit der Verbreitung des Snowboards im Wintersport deutlich an Häufigkeit zugenommen hat.[1] Betroffen ist der Processus lateralis tali, ein Fortsatz des Sprungbeins, der nach außen weist und einen Teil der Gelenkverbindung mit dem Außenknöchel des Wadenbeins und nach unten zum Fersenbein bildet.
Begriffsbildung
Eine frühe Beschreibung der Fraktur des Processus lateralis tali findet sich schon 1965, hier jedoch noch nicht im Zusammenhang mit dem Snowboarden.[2] Mit der zunehmenden Häufigkeit von Verletzungen beim Snowboarden wurden diese auch systematischer – oft im Vergleich mit typischen Verletzungen bei Skifahrern – wissenschaftlich untersucht.[3] Mit dem Bewusstsein, dass es sich um eine für Snowboarder typische Verletzung handelt, wurde zunächst der Begriff Snowboarder’s fracture geprägt[4], später kam die Bezeichnung Snowboarder’s ankle hinzu.[5] Dabei schließt der englische Begriff ankle im Gegensatz zur deutschen Übersetzung Knöchel das Sprungbein mit ein.



Entstehung
Beim Snowboarden entsteht die Verletzung typischerweise bei einer Landung nach einem Sprung auf unebener Fläche[6], wobei die Frage nach einem Zusammenhang zwischen dem Typ des Snowboardschuhs und der Wahrscheinlichkeit einer Fraktur am Processus lateralis unterschiedlich beantwortet wird.[7][8] Da Anfänger meist noch nicht mit dem Board springen, ist die Fraktur eher eine Verletzung des fortgeschritteneren Snowboarders.
Der genaue Unfallmechanismus wird mit einer Kombination von Dorsalextension, axialer Stauchung und je nach Quelle Außenrotation, Supination oder Pronation angegeben. Hierzu wurden unter anderem Versuche an Leichenbeinen durchgeführt.[9][10][11][12]
Eine weitere Sportart, bei der der Bruch beschrieben wurde, ist das Wakeboarden.[13] Auch bei anderen Unfällen mit gestrecktem Bein und axialer Stauchung (z. B. Bremsversuch mit anschließendem Auffahrunfall) kann ein gleiches Verletzungsmuster auftreten.[2]
Klinik und Diagnostik
Die Verletzung stellt sich mit Schmerzen und Schwellung in der Fußwurzel und außen am Fuß dar. Diese Befunde können leicht mit einer Verstauchung, Zerrung oder einem Bänderriss am Außenknöchel verwechselt werden. Dieses insbesondere, wenn nicht bekannt ist, dass es sich um einen Snowboarder handelt. Auch ist der Knochenbruch auf Übersichtsröntgenbildern manchmal schwer zu erkennen. Eine Computertomographie kann die Bruchlinien überlagerungsfrei darstellen und ist für die Planung der richtigen Therapie hilfreich.[6][14][7][12]
Frakturtypen

Je nachdem, wie die einzelnen Bruchlinien verlaufen und wie groß die Fragmente sind, ist eine unterschiedliche Behandlung anzustreben. Eine Klassifikation in drei verschiedene Frakturtypen wurde schon 1965 vorgeschlagen.[2] Die heute gebräuchliche Einteilung stammt von McCrory und Bladin (1996):[5]
- Typ I: Kleines Fragment an der Spitze des Processus lateralis ohne Gelenkbeteiligung.
- Typ II: Ein größeres Fragment mit Beteiligung der Gelenkflächen zum Außenknöchel und nach caudal zum Calcaneus. Dieser Typ kann operativ verschraubt werden.
- Typ III: Trümmerbruch mit vielen Kleinfragmenten.
Behandlung
Die Möglichkeiten der Behandlung hängen von dem Typ der Fraktur ab. Wenn das äußere Bruchstück groß genug ist (über 1 cm, Typ II nach McCrory-Bladin), kann selbst bei nur geringfügiger Dislokation eine operative Refixation mit Minifragment-Schrauben erfolgen. Eine solche Refixation scheint gegenüber der konservativen Behandlung einen Vorteil für den Patienten zu ergeben.[15] Aber auch die Entfernung von Kleinfragmenten unter 1 cm (Typ I) oder von Trümmerfragmenten einer Typ-III-Fraktur aus dem Gelenkbereich kann zu einem besseren Ergebnis führen, wenn eine Refixation nicht möglich ist.[16] Die konservative Therapie sollte in einer Gipsruhigstellung in einer leichten Spitzfußstellung erfolgen, sie ist aber komplikationsanfällig und im Wesentlichen bei den Patienten empfohlen, bei denen eine Kontraindikation gegen eine Operation vorliegt, da sie häufig zu einer schmerzhaften Pseudarthrose führt, die dann sekundär eine Exzision oder sogar eine subtalare Arthrodese notwendig werden lässt.[17]
Einzelnachweise
- ↑ P. Langer, C. DiGiovanni: Incidence and pattern types of fractures of the lateral process of the talus. (Seite nicht mehr abrufbar, festgestellt im Mai 2019. Suche in Webarchiven) Info: Der Link wurde automatisch als defekt markiert. Bitte prüfe den Link gemäß Anleitung und entferne dann diesen Hinweis. (PDF; 156 kB) In: American journal of orthopedics (Belle Mead, N.J.). Band 37, Nummer 5, Mai 2008, S. 257–258, ISSN 1934-3418. PMID 18587503.
- ↑ a b c L. G. Hawkins: Fracture of the lateral process of the talus. In: The Journal of bone and joint surgery. American volume. Band 47, September 1965, S. 1170–1175, ISSN 0021-9355. PMID 14337775.
- ↑ E. C. Pino, M. R. Colville: Snowboard injuries. In: The American journal of sports medicine. Band 17, Nummer 6, 1989 Nov-Dec, S. 778–781, ISSN 0363-5465. PMID 2624290.
- ↑ R. Nicholas, J. Hadley, C. Paul, P. James: "Snowboarder's fracture": fracture of the lateral process of the talus. In: The Journal of the American Board of Family Practice / American Board of Family Practice. Band 7, Nummer 2, 1994 Mar-Apr, S. 130–133, ISSN 0893-8652. PMID 8184703. (Review).
- ↑ a b P. McCrory, C. Bladin: Fractures of the lateral process of the talus: a clinical review. "Snowboarder’s ankle". In: Clinical Journal of Sport Medicine . Band 6, Nummer 2, April 1996, S. 124–128, ISSN 1050-642X. PMID 8673570. (Review).
- ↑ a b C. C. Young, M. W. Niedfeldt: Snowboarding injuries. In: American family physician. Band 59, Nummer 1, Januar 1999, S. 131–6, 141, ISSN 0002-838X. PMID 9917579. (Review).
- ↑ a b A. Imhoff, R. Linke, R. Baumgartner: Checkliste Orthopädie im Georg Thieme Verlag, 2. Auflage 2011, ISBN 978-3-13-1422828
- ↑ D. P. Kirkpatrick, R. E. Hunter, P. C. Janes, J. Mastrangelo, R. A. Nicholas: The snowboarder’s foot and ankle. In: The American journal of sports medicine. Band 26, Nummer 2, 1998 Mar-Apr, S. 271–277, ISSN 0363-5465. PMID 9548123.
- ↑ J. R. Funk, S. C. Srinivasan, J. R. Crandall: Snowboarder’s talus fractures experimentally produced by eversion and dorsiflexion. In: The American journal of sports medicine. Band 31, Nummer 6, 2003 Nov-Dec, S. 921–928, ISSN 0363-5465. PMID 14623658.
- ↑ A. J. Boon, J. Smith, M. E. Zobitz, K. M. Amrami: Snowboarder’s talus fracture. Mechanism of injury. In: The American journal of sports medicine. Band 29, Nummer 3, 2001 May-Jun, S. 333–338, ISSN 0363-5465. PMID 11394605.
- ↑ J. Grifka: Praxiswissen Halte- und Bewegungsorgane - Sportverletzungen - Sportschäden im Georg Thieme Verlag, Stuttgart, 2005, ISBN 3-13-140041-2
- ↑ a b D. Porter: Baxter’s The Foot and Ankle in Sport Mosby 2008, ISBN 978-0323023580
- ↑ S. E. Mussmann, J. N. Poirier: Snowboarder’s fracture caused by a wakeboarding injury: a case report. In: Journal of chiropractic medicine. Band 9, Nummer 4, Dezember 2010, S. 174–178, ISSN 1556-3715. doi:10.1016/j.jcm.2010.08.001. PMID 22027109. PMC 3206565 (freier Volltext).
- ↑ "Snowboarder’s ankle" may be mistaken for sprain bei http://www.reuters.com/
- ↑ V. Valderrabano, T. Perren, C. Ryf, P. Rillmann, B. Hintermann: Snowboarder’s talus fracture: treatment outcome of 20 cases after 3.5 years. In: The American journal of sports medicine. Band 33, Nummer 6, Juni 2005, S. 871–880, ISSN 0363-5465. doi:10.1177/0363546504271001. PMID 15827363.
- ↑ S. J. Parsons: Relation between the occurrence of bony union and outcome for fractures of the lateral process of the talus: a case report and analysis of published reports. In: British journal of sports medicine. Band 37, Nummer 3, Juni 2003, S. 274–276, ISSN 0306-3674. PMID 12782558. PMC 1724631 (freier Volltext). (Review).
- ↑ Bernhard Weigel, Michael Nerlich: Praxisbuch Unfallchirurgie Springer-Verlag Heidelberg 2005 (Band 1, S. 794; ISBN 3-540-41115-1)