Splenomegalie
| Klassifikation nach ICD-10 | |
|---|---|
| R16.1 | Splenomegalie, anderenorts nicht klassifiziert |
| ICD-10 online (WHO-Version 2019) | |
| Klassifikation nach ICD-11 | |
|---|---|
| ME10.01 | Splenomegalie, anderenorts nicht klassifiziert |
| ICD-11: Englisch • Deutsch (Entwurf) | |

Als Splenomegalie wird in der Medizin die Vergrößerung der Milz über ihre normalen Maße hinaus bezeichnet. Sie ist ein Untersuchungsbefund, der bei verschiedenen Erkrankungen gefunden werden kann. In Frage kommen hämatologische Erkrankungen wie Leukämien und Lymphome, Infektionen mit Bakterien oder Viren (zum Beispiel dem Epstein-Barr-Virus), rheumatische Erkrankungen, Speicherkrankheiten und Erkrankungen, die einen Blutrückstau in die Milzvene verursachen (vor allem Leberzirrhose). Die Diagnose der Splenomegalie erfolgt in der Regel durch eine Ultraschalluntersuchung. Eine Splenomegalie kann zu einem sogenannten Hypersplenismus führen: Die gesunde Milz filtert das Blut und sortiert alte rote Blutkörperchen aus; ist sie vergrößert, kann sie Blutzellen einlagern und einen allgemeinen Mangel an Blutzellen (Panzytopenie) verursachen. Die Therapie der Splenomegalie und des Hypersplenismus erfolgt durch die Behandlung der zugrunde liegenden Erkrankung. In seltenen Fällen muss die vergrößerte Milz chirurgisch entfernt werden (Splenektomie). Splenomegalien treten auch bei Tieren auf.[1]
Zugrunde liegende Erkrankungen
Die Splenomegalie kann Symptom verschiedenster Erkrankungen sein. Dies können neben Hämatomen als Folge von Traumen unter anderem hämatologische und lymphatische Grunderkrankungen wie Leukosen, eine Polycythaemia vera, eine essentielle Thrombozythämie, Lymphome, Morbus Castleman oder Leukämien sein. Auch akute und chronische Infektionen, beispielsweise mit dem Epstein-Barr-Virus oder Malaria, können Splenomegalien hervorrufen. Ein akuter und chronischer Blutrückstau aus der Pfortader wie bei portaler Hypertonie, Milzvenenthrombose oder Rechtsherzinsuffizienz kann ebenfalls ursächlich sein. Darüber hinaus können noch rheumatologische Grunderkrankungen, Speicherkrankheiten wie ein Morbus Gaucher, Morbus Niemann-Pick Typ C, Sarkoidose oder Amyloidose, Milzabszesse, Hämangiome, Littoralzellangiome, Zysten, Echinokokkosen, Sarkome, erythropoetische Protoporphyrien, Pfeiffer-Drüsenfieber, eine Brucellose, eine Kugelzellenanämie, Immundefekte wie beim variablen Immundefektsyndrom oder Metastasen von Tumoren eine Splenomegalie verursachen.[2]
Diagnostik
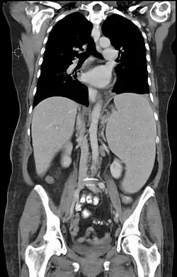
Die Diagnose wird in der Regel durch Ultraschall, Kernspintomographie und/oder Computertomografie gestellt.[3] Neben einer Messung der Milzgröße erlauben diese Untersuchungstechniken auch eine bildliche Darstellung der inneren Struktur der Milz und können Hinweise über die zugrunde liegende Erkrankung liefern.[3] Bei der körperlichen Untersuchung kann sich neben einem lokalen Druckschmerz unterhalb des linken Rippenbogens eine vergrößert tastbare Milz darstellen.[4] Splenomegalien können zu einer Überdehnung des Milzgewebes und somit zu einer spontanen Milzruptur führen. Klinisch zeigen sich hier in Abhängigkeit vom Blutungsausmaß ein hämorrhagischer Schock sowie Schmerzen im linken Oberbauch. Die Diagnose hier wird ebenfalls durch Ultraschall oder Computertomografie gestellt.[5]
Therapie
Die Therapie einer Splenomegalie beinhaltet zunächst die Therapie der jeweiligen Grunderkrankung. Kommt es zu einer Ruptur, ist eine Splenektomie angezeigt.[5]
Literatur
- Herbert Renz-Polster, Steffen Krautzig (Hrsg.): Basislehrbuch Innere Medizin. 5. Auflage. Urban&Fischer, München 2013, ISBN 978-3-437-41114-4, S. 280 f.
- Gerd Herold und Mitarbeiter: Innere Medizin 2013. Eigenverlag, Köln 2013, ISBN 978-3-9814660-2-7, S. 127 f.
- Stichwort „Splenomegalie“ in: Pschyrembel Medizinisches Wörterbuch. 266. Auflage, de Gruyter, Berlin 2014, ISBN 978-3-11-033997-0, S. 1997 f.
Einzelnachweise
- ↑ Michael J. Day: Atlas der klinischen Immunologie bei Hund und Katze. Schlütersche, 2005, S. 262.
- ↑ Grundkurs Hämatologie. Georg Thieme Verlag, 2003, S. 306.
- ↑ a b Günter Schmidt: Kursbuch Ultraschall: nach den Richtlinien der DEGUM und der KBV. Georg Thieme Verlag, 2008, S. 110 ff.
- ↑ Paul Gerhardt Scheurlen: Differentialdiagnose in der Inneren Medizin. Springer-Verlag, 2013, S. 85.
- ↑ a b Carlos Thomas: Spezielle Pathologie. Schattauer Verlag, 1996, S. 501.