Spondylarthrose

Klassifikation nach ICD-10
M47 Spondylose (Inkl.: Degeneration der Gelenkflächen)
{{{02-BEZEICHNUNG}}}
{{{03-BEZEICHNUNG}}}
{{{04-BEZEICHNUNG}}}
{{{05-BEZEICHNUNG}}}
{{{06-BEZEICHNUNG}}}
{{{07-BEZEICHNUNG}}}
{{{08-BEZEICHNUNG}}}
{{{09-BEZEICHNUNG}}}
{{{10-BEZEICHNUNG}}}
{{{11-BEZEICHNUNG}}}
{{{12-BEZEICHNUNG}}}
{{{13-BEZEICHNUNG}}}
{{{14-BEZEICHNUNG}}}
{{{15-BEZEICHNUNG}}}
{{{16-BEZEICHNUNG}}}
{{{17-BEZEICHNUNG}}}
{{{18-BEZEICHNUNG}}}
{{{19-BEZEICHNUNG}}}
{{{20-BEZEICHNUNG}}}
Vorlage:Infobox ICD/Wartung {{{21BEZEICHNUNG}}}
ICD-10 online (WHO-Version 2019)
Die kleinen Wirbelbogengelenke (Facettengelenke)
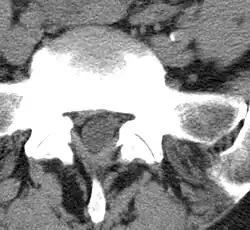
Spondylarthrose im Segment L5/S1 (lumbosakraler Übergang). In dieser CT-Aufnahme ist deutlich zu sehen, wie die degenerativen Veränderungen der Facettengelenke sich in den Spinalkanal vorwölben.

Degenerative Veränderungen der Wirbelbogengelenke (Facettengelenke) werden als Spondylarthrose (synonym Spondylarthrosis deformans) bezeichnet.

Analog zu arthrotischen Deformierungen an den großen Extremitätengelenken, kommt es zu Verbreiterungen der knöchernen Anteile, einer Sklerosierung (Verdichtung) des unter dem Knorpel gelegenen Knochens, einer Schwellung der Gelenkkapsel (Ergussbildung). Da die aus dem Spinalkanal entspringende Nervenwurzel in unmittelbarer Nähe des Wirbelbogengelenkes verläuft, kann es bei degenerativ verursachten Reizzuständen des Gelenkes zu einer Quetschung oder Irritation der Nervenwurzel kommen. Dadurch kann es zu ausstrahlenden Schmerzen in Form einer Lumboischialgie oder Zervikobrachialgie kommen (siehe: Facettengelenksyndrom).

Die Spondylarthrose ist immer mit degenerativen Veränderungen an den Wirbelkörpern (Spondylose) und an den Bandscheiben (Diskose)/ den Intervertebralräumen vergesellschaftet.

Diagnostik

Die Anamnese liefert erste Hinweise, immer wieder auftretende Schmerzzustände, manchmal an die Jahreszeit gekoppelt, haben oft arthrotische Veränderungen der Wirbelgelenke zum Hintergrund. Der klinische Befund ist oft nicht eindeutig, die von außen festzustellenden Schmerzen und Funktionsausfälle können ganz verschiedene Ursachen haben.

Röntgenaufnahmen des betroffenen Wirbelsäulenabschnittes zeigen recht deutlich die Verdichtungen im gelenknahen Bereich des Knochens. Konventionell radiologisch kann die Differenzialdiagnose zur ankylosierenden Spondylitis schwierig sein, erschließt sich jedoch häufig aus der Anamnese.

Mithilfe von Bildgebenden Verfahren, wie Computertomographie oder Magnetresonanztomographie, können degenerative Veränderungen der kleinen Wirbelbogengelenke in Relation zum Spinalkanal bzw. zu den Spinalnerven gut beurteilt werden.

Therapie

Ausgleichssport wie Schwimmen und Laufen sowie stabilisierende Gymnastik sind zur Vorbeugung von Beschwerden wertvoll.

Physiotherapie, wie zum Beispiel verschiedene Formen der Massage oder der Gymnastik, aber auch Übungen zur gezielten Entspannung sind nützlich.

Abhängig von der Stärke der Beschwerden kann eine medikamentöse Schmerztherapie notwendig werden. Eine weitere Option stellt die Facetteninfiltration dar, bei welcher eine Dosis kristallines Cortison zusammen mit einem Mittel zur örtlichen Betäubung in den Bereich der kleinen Wirbelgelenke und deren umgebende Strukturen gespritzt wird.

Additiv kann die Akupunktur zur Schmerzbehandlung eingesetzt werden.

Bei anhaltenden Beschwerden kann mithilfe von bildgebenden Verfahren (wie Röntgen oder CT) auch eine Denervierung der kleinen Nerven, welche die Facettengelenke versorgen, durchgeführt werden.

Bei neurologischen Ausfallserscheinungen durch Kompression der Nerven im Wirbelkanal (Spinalkanalstenose) oder im Foramen intervertebrale kann eine Operation notwendig werden, die vom Prinzip her ähnlich wie bei einer Bandscheibenoperation abläuft. Da es nach der Entfernung von Anteilen der Zwischenwirbelgelenke zu einer Instabilität im entsprechenden Segment kommen kann, ist in einigen Fällen dann auch eine Instrumentierung mit einem Schrauben-Stab-System (Spondylodese) angezeigt.

Literatur

  • Kurt Lindemann, Hans Kuhlendahl: Die Erkrankungen der Wirbelsäule. Enke, Stuttgart 1953.
  • Joachim Grifka, Jürgen Krämer (Hrsg.): Orthopädie Unfallchirurgie. 9. Auflage. Springer Verlag, Berlin 2013, ISBN 978-3-642-28874-6.