Sprengel-Deformität
| Klassifikation nach ICD-10 | |
|---|---|
| Q74.0 | Sprengel-Deformität |
| ICD-10 online (WHO-Version 2019) | |
Die Sprengelsche Deformität oder Sprengel-Deformität ist eine Dysostose mit axialer Beteiligung, die sich als einseitiger Schulterhochstand mit zu kleiner Skapula äußert. Die nach dem deutschen Chirurgen Otto Sprengel (1852–1915) benannte Deformität[1] kann im Rahmen des Klippel-Feil-Syndroms auftreten, aber auch zusammen mit weiteren Veränderungen wie Skoliose, Kyphoskoliose, Rippenfehlbildungen oder Spina bifida, Torticollis oder Hypoplasie von Schlüsselbein oder Oberarmknochen.
Ursächlich liegt eine Hemmung des Herabwanderns der Schulterblattanlage von Höhe des 5. HWK nach kaudal vor.[2] Der Zeitpunkt der Schädigung wird im 3. Schwangerschaftsmonat angenommen, familiäre Häufung ist beschrieben[3][4]. Selten kommen familiäre Formen vor mit autosomal-dominanter Vererbung, beispielsweise beim Waaler-Aarskog-Syndrom.[5]
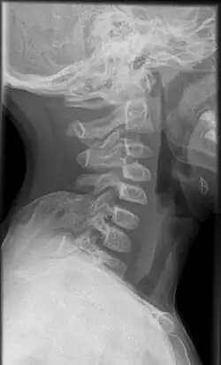
Häufig findet sich neben einer Verkürzung der Halsmuskulatur ein bindegewebiger oder knorpeliger Strang zwischen oberem Skapularand und Wirbelanhangsgebilden der unteren Halswirbelsäule. Ist dieser knöchern ausgeprägt, wird er als Omovertebralknochen, Os omo-vertebrale, bezeichnet und ist auf Röntgenaufnahmen erkennbar. In den anderen Fällen kann dieser Strang im Kernspintomogramm (MRT) dargestellt werden.



Vorzugsweise sind Mädchen betroffen, auch die linke Seite etwas häufiger, obwohl die Erkrankung auch beidseits auftreten kann. Klinisch steht der fixierter Schulterblatthochstand mit Bewegungseinschränkung im Vordergrund sowie die begleitende Kyphoskoliose.
Einteilung
Eine gebräuchliche klinische Einteilung ist die nach M. E. Cavendish:[6]
- Grad I: nur milde Deformierung, die bekleidet kaum sichtbar ist
- Grad II: nur geringe Deformierung mit sichtbarer Vorwölbung
- Grad III: deutlichere Deformierung von 2 bis 5 cm Anhebung der betroffenen Schulter
- Grad IV: ausgeprägte Anhebung von mehr als 5 cm, zusätzlich Hautstrang am Hals
Radiologisch kann nach P. Rigault unterschieden werden nach Lage des superomedialen Winkels des Margo medialis bezogen auf die Wirbelsäule:[7]
- Grad 1: unterhalb von TH2, aber oberhalb des Querfortsatzes von TH4
- Grad 2: zwischen C5 und Querfortsatz von TH2
- Grad 3: oberhalb des Querfortsatzes von C5
Geschichte
Die Erstbeschreibung stammt aus dem Jahre 1863 durch Michael Moritz Eulenburg.[8][9] Die nächste Fallbeschreibung erfolgte 1883 durch Alfred Willett und W. J. Walsham.[10]
Einzelnachweise
- ↑ O. K. Sprengel. Die angeborene Verschiebung des Schulterblattes nach oben. In: Archiv für klinische Chirurgie. Band 42, 1891, S. 545–549.
- ↑ Pschyrembel: Klinisches Wörterbuch.
- ↑ H. Neuhof: Angeborener Schulterhochstand (Sprengel’s Deformität). Familiärer Typ. In: Zeitschrift für Orthopädie und Unfall-Chirurgie. Band 31, 1913, S. 519–525.
- ↑ N. Walker: Familiäres Vorkommen des Schulterblatthochstandes. In: Zeitschrift für Orthopädie und ihre Grenzgebiete. Band 110, 1972, S. 367–372.
- ↑ A. Ferlini, M. Ragno, P. Gobbi, C. Marinucci, R. Rossi, A. Zanetti, M. Milan, G. Camera, E. Calzolari: Hydrocephalus, skeletal anomalies, and mental disturbances in a mother and three daughters: a new syndrome. In: American journal of medical genetics. Band 59, Nummer 4, Dezember 1995, S. 506–511, doi:10.1002/ajmg.1320590419, PMID 8585573.
- ↑ M. E. Cavendish: Congenital elevation of the scapula. In: The Journal of bone and joint surgery. British volume. Band 54, Nummer 3, August 1972, S. 395–408, PMID 4559837.
- ↑ P. Rigault, J. C. Pouliquen, G. Guyonvarch, J. Zujovic: Surélévation congénitale de l’omoplate chez l’enfant. Etude anatomo-pathologique et thérapeutique à propos de 27 observations. In: Revue de chirurgie orthopedique et reparatrice de l'appareil moteur. Band 62, Nummer 1, 1976 Jan-Feb, S. 5–26, PMID 136019.
- ↑ M. Eulenberg: Casuistische Mitteilungen aus dem Gebiete der Orthopädie. In: Archiv für klinische Chirurgie, Band 4, 1863, S. 304.
- ↑ Bruno Valentin: Eulenburg, Michael Moritz. In: Neue Deutsche Biographie (NDB). Band 4, Duncker & Humblot, Berlin 1959, ISBN 3-428-00185-0, S. 684 f. (Digitalisat).
- ↑ A. Willett, W. J. Walsham: A Second Case of Malformation of the Left Shoulder-Girdle; removal of the abnormal portion of bone; with remarks on the probable nature of the deformity. In: Medico-chirurgical transactions. Band 66, 1883, S. 145–158.3, doi:10.1177/095952878306600111, PMID 20896607, PMC 2121460 (freier Volltext).
Literatur
- Hans Zilch: Lehrbuch Orthopädie. De Gruyter, Berlin 1989, ISBN 3-11-010766-X.
- Wolfgang Dihlmann: Gelenke – Wirbelverbindungen. Thieme, Stuttgart 1987, ISBN 3-13-471203-2.
- F. Hefti: Kinderorthopädie in der Praxis. Springer 1998, ISBN 3-540-61480-X, Seite 494f.
Weblinks
- Sprengel-Deformität. In: Online Mendelian Inheritance in Man. (englisch)
- Sprengel's deformity bei whonamedit.com
- Rare Diseases
- Radiopaedia
- emedicine.medscape