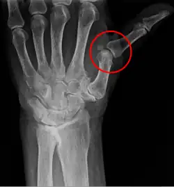
Subluxation

Subluxation bezeichnet eine unvollständige Ausrenkung eines Gelenkes, wobei der verschobene Gelenkkopf sich noch teilweise in der Gelenkpfanne befindet. Typische, meist mit einer Instabilität des Gelenkes verbundene, Fälle sind beispielsweise:

Subluxation in der Chiropraktik

Klassifikation nach ICD-10
M99.1 Subluxation (der Wirbelsäule)
{{{02-BEZEICHNUNG}}}
{{{03-BEZEICHNUNG}}}
{{{04-BEZEICHNUNG}}}
{{{05-BEZEICHNUNG}}}
{{{06-BEZEICHNUNG}}}
{{{07-BEZEICHNUNG}}}
{{{08-BEZEICHNUNG}}}
{{{09-BEZEICHNUNG}}}
{{{10-BEZEICHNUNG}}}
{{{11-BEZEICHNUNG}}}
{{{12-BEZEICHNUNG}}}
{{{13-BEZEICHNUNG}}}
{{{14-BEZEICHNUNG}}}
{{{15-BEZEICHNUNG}}}
{{{16-BEZEICHNUNG}}}
{{{17-BEZEICHNUNG}}}
{{{18-BEZEICHNUNG}}}
{{{19-BEZEICHNUNG}}}
{{{20-BEZEICHNUNG}}}
Vorlage:Infobox ICD/Wartung {{{21BEZEICHNUNG}}}
ICD-10 online (WHO-Version 2019)

In der Chiropraktik findet sich der Begriff in einer etwas veränderten Bedeutung als Verschiebung. Eine Subluxation ist hier ein Zustand eines Wirbels, der seine regelrechte Position im Verhältnis zu dem über oder unter ihm liegenden oder beiden verloren hat (in einem geringeren Ausmaß als eine Luxation), der Nerven bedrängt und die Übertragung von mentalen Impulsen stört.[1]

Das Verrutschen aus der natürlichen Position entsteht aus Sicht der Chiropraktik durch die Interaktion unseres Körpers mit seiner Umwelt. Dazu zählen sowohl Traumata (z. B. Unfälle und Krafteinwirkungen) als auch bereits bei der Geburt auftretende Subluxationen, vor allem im Bereich der Halswirbelsäule (HWS). Als Auslöser im modernen Alltag werden auch physische und psychische Belastungen, wie Bewegungsmangel, Fehlhaltungen bei stundenlangem Sitzen vor Computermonitoren oder psychischer Stress angesehen.

Die amerikanische Chiropraktik geht davon aus, dass eine segmentale Funktionsstörung im Nervensystem auch Folgen für die Organe haben kann, welche von diesen Nerven versorgt werden. Zusätzlich treten fast regelmäßig lokale Beschwerden wie z. B. Rückenschmerz oder Bewegungseinschränkungen auf.[2]

Siehe auch

Einzelnachweise

  1. Greenbooks Band 14 (Stephensons Textbook) S. 2, Kap. 26
  2. H. Winsor: Sympathetic Segmental Disturbances. In: Medical Times. November 1921, S. 1–7.