Tarsale Koalition

Klassifikation nach ICD-10
Q66.8 Sonstige angeborene Deformitäten der Füße
{{{02-BEZEICHNUNG}}}
{{{03-BEZEICHNUNG}}}
{{{04-BEZEICHNUNG}}}
{{{05-BEZEICHNUNG}}}
{{{06-BEZEICHNUNG}}}
{{{07-BEZEICHNUNG}}}
{{{08-BEZEICHNUNG}}}
{{{09-BEZEICHNUNG}}}
{{{10-BEZEICHNUNG}}}
{{{11-BEZEICHNUNG}}}
{{{12-BEZEICHNUNG}}}
{{{13-BEZEICHNUNG}}}
{{{14-BEZEICHNUNG}}}
{{{15-BEZEICHNUNG}}}
{{{16-BEZEICHNUNG}}}
{{{17-BEZEICHNUNG}}}
{{{18-BEZEICHNUNG}}}
{{{19-BEZEICHNUNG}}}
{{{20-BEZEICHNUNG}}}
Vorlage:Infobox ICD/Wartung {{{21BEZEICHNUNG}}}
ICD-10 online (WHO-Version 2019)

Eine Tarsale Koalition ist eine feste Brücke zwischen zwei oder mehr Knochen des Rück- und Mittelfußes, die durch Bindegewebe (fibrös), knorpelig oder knöchern ausgebildet sein kann, wo normalerweise ein bewegliches Gelenk angelegt ist. Eine knöcherne tarsale Koalition wird auch als Synostose bezeichnet. Eine tarsale Koalition kann isoliert auftreten, dann sind meist nur zwei Knochen verbunden, oder es sind bei einer multiplen Koalition mehrere Knochen involviert, was eher im Rahmen eines Fehlbildungssyndroms beobachtet wird. Eine Assoziation besteht mit dem Kugeltalus.[1] Die genaue Ätiologie ist unbekannt, man nimmt eine ausbleibende Differenzierung des Mesoderms an. Multiple Formen sind eng mit anderen Differenzierungsstörungen der Extremitäten verbunden. Exogene Risikofaktoren wurden bisher nicht beschrieben.

Isolierte Formen

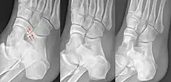
Häufigste Form der tarsalen Koalition, die kalkaneonavikulare Koalition im schrägen Röntgenbild des Fußes (links, Pfeile) mit zwei diesbezüglich unauffälligen Vergleichsfüßen. Die Koalition ist nicht knöchern, sondern bindegewebig oder knorpelig.

Die isolierten Formen können ein Zufallsbefund sein, also niemals symptomatisch werden. In einer älteren Studie an Soldaten zeigte sich eine unbekannte tarsale Koalition in 1 % ohne jegliche Beschwerden.[2] Die immer vorhandene Bewegungseinschränkung fällt oft nicht auf.

In der Regel treten aber belastungsabhängige Schmerzen im Rück- und Mittelfuß im Laufe des Wachstums auf, oft mit einer Knicksenkfußstellung und gelegentlich mit einer schmerzhaften Spastik der Peronealmuskeln an der Außenknöchelseite. Selten findet sich eine volle Ausprägung eines rigiden massiven Knicksenkfußes.

Bei einer symptomatischen tarsalen Koalition besteht die Therapie in deren operativer Resektion, mit oder ohne Interposition von Fettgewebe. Es sind Rezidive in bis zu 10 % beschrieben, die Ergebnisse einer Resektion sind aber in der Regel gut.

Die unterschiedlichen Formen werden oft zu einem anderen Zeitpunkt symptomatisch:

  • Kalkaneo-navikuläre Koalition (53 %[3]) zwischen Fersenbein und Kahnbein oft erste Beschwerden im Alter von 8 bis 12 Jahren. Deutliche Bewegungseinschränkung im unteren Sprunggelenk mit oft rigidem Knicksenkfuß.
  • Talokalkaneare Koalition (37 %) zwischen Sprungbein und Fersenbein. Beschwerden treten meist erst im Jugendalter oder später auf. Ebenfalls mit rigider Knicksenkfußstellung und deutlich eingeschränkter Beweglichkeit des unteren Sprunggelenks.
  • Talonavikuläre Koalition zwischen Sprungbein und Kahnbein, teilweise ab dem dritten Lebensjahr symptomatisch. Meist steht die Fußinnenseite deutlich hervor, oft auch ohne Beschwerden zu verursachen. Das Längsgewölbe ist bei dieser Form oftmals erhalten.
  • Kalkaneokuboidale Koalition (selten) zwischen Fersenbein und Würfelbein
  • Navikulokuneiforme Koalition (selten) zwischen Kahnbein und einem Keilbein

Multiple Formen

Diese sind oft Teil eines Syndroms mit weiteren Differenzierungsstörungen der Extremitäten, wie bei:

Diagnostik

Wegweisend für die Verdachtsdiagnose ist die Rigidität des Rückfußes, das heißt die aufgehobene Beweglichkeit in Teilen des Sprunggelenkes. Auf einer Standard-Röntgenaufnahme ist eine Koalition nicht immer erkennbar, da das schräg und komplex ausgebildete subtalare Gelenk und das Chopartgelenk darauf nicht gut zu beurteilen sind. Eventuell besteht bei einer talocalcanearen Koalition auf der Seitaufnahme eine Überlagerung von Talus und Kalkanaeus ("C-Zeichen") sowie ein Knochensporn ventral am Talushals. Häufiger sind Spezialaufnahmen erforderlich wie 45° schräge Röntgenaufnahmen des Rückfußes oder solche im "Harris-View".[4] Eine genaue Darstellung der knöchernen Veränderung ist im Dünnschicht-CT möglich, während bindegewebige Brücken besser im MRT nachgewiesen werden können.

Therapie

Die Behandlung richtet sich in der Regel nach der Grunderkrankung. Geht die tarsale Koalition über eine simple Fusion zweier Knochen hinaus, ist eine Rekonstruktion in der Regel nicht möglich, so dass komplexere Verfahren zur Fehlstellungskorrektur angewandt werden. Ziel ist dabei eine regelrechte Stellung von Rück- und Mittelfuß ohne Schmerzen, wobei eine Bewegungseinschränkung bis zur Versteifung verbleibt.

Literatur

  • F. Hefti: Kinderorthopädie in der Praxis. Springer-Verlag, Berlin 1998, ISBN 3-540-61480-X, Kapitel 3.4.5.2 "Tarsale Koalition". S. 410 ff.
Commons: Tarsale Koalition – Sammlung von Bildern, Videos und Audiodateien

Einzelnachweise

  1. F. Hefti: Kinderorthopädie in der Praxis. Springer 1998, ISBN 3-540-61480-X, S. 415
  2. W. H. Vaughan, G. Segal: Tarsal coalition with special reference to roentgenographic interpretation. In: Radiology. 1953; 60, S. 855–864.
  3. D. M. Stormont, H. A. Peterson: The relative incidence of tarsal coalition. In: Clin. Orthop. Rel. Res. 1993; 181, S. 28–36.
  4. wheelesonline