Tibia recurvata
| Klassifikation nach ICD-10 | |
|---|---|
| Q68.4 | Angeborene Verbiegung der Tibia und der Fibula |
| ICD-10 online (WHO-Version 2019) | |
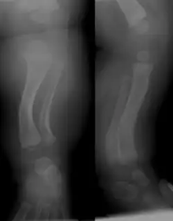
Die sehr seltene angeborene Tibia recurvata (lat. Crus valgum et recurvatum, engl. Posterior medial bowing of the tibia) stellt eine seltene Fehlstellung des Unterschenkels dar mit Rekurvation und Valgusstellung.
Im Gegensatz zum Crus varum et antecurvatum, welches häufig zur kongenitalen Tibiapseudarthrose führt und operativer Behandlung bedarf, hat die Tibia recurvata eine gute Prognose und bildet sich spontan weitgehend zurück. Allerdings verbleiben in der Regel eine Beinverkürzung, eine Hackenfuß-Stellung sowie eventuelle Wachstumsretardierung des Unterschenkels.
Ursachen
Die Ursache ist bislang nicht bekannt.

Diagnose
Leitsymptom ist die Rekurvation mit Valgusdeviation und (fakultativer) Beinverkürzung des Unterschenkels, die Diagnose wird mittels Röntgenbild gestellt. Der Verlauf mit spontaner Ausgradung bestätigt die Diagnose.
Behandlung
Eine primäre Behandlung ist aufgrund des Spontanverlaufes nicht erforderlich, die Beinlängendifferenz aufgrund des verkürzten Unterschenkels bedarf je nach Ausmaß einer operativen Korrektur, siehe dort.[1]
Geschichte
Die Erstbeschreibung stammt wohl aus dem Jahre 1862 durch George Murray Humphry (1820–1896) (zit. nach K. Lubschitz[2])[3]
Einzelnachweise
- ↑ M. Lukoschek, L. Bernd, M. Schiltenwolf, V. Ewerbeck: Tibia recurvata congenita – konservative oder operative Behandlung. In: Orthopädische Praxis. 1995, 31, S. 139–142.
- ↑ K. Lubschitz: A Case of Tibia Recurvata. In: Acta Radiologica. 27, 1946, Nachdruck 2010, S. 81, doi:10.3109/00016924609133776.
- ↑ G. M. Humphry: Reports of Societies. In: British Medical Journal, Bd. 188, Nr. 1, 1889, PMC 2154611 (freier Volltext).
Quellen
- M. Wilke: Der congenitale crurale Segmentdefekt. Neue Erkenntnisse in Ätiologie, Pathogenese, Diagnostik und Therapie der so genannten congenitalen Tibiapseudarthrose‚ Dissertationsschrift. Rheinisch-Westfälische Technische Hochschule, Aachen 2006. (Online, abgerufen am 30. Dezember 2024)
- S. Peltesohn: Über die sogenannte Tibia recurvata und verwandte antero-posteriore Verbiegungen am oberen Schienbeinende. In: Zeitschrift Orthopädie und Chirurgie. 1933, 58.
- H. H. Shah, S. N. Doddabasappa, B. Joseph: Congenital posteromedial bowing of the tibia: a retrospective analysis of growth abnormalities in the leg. In: Journal of pediatric orthopedics. Part B. Band 18, Nummer 3, Mai 2009, S. 120–128. doi:10.1097/BPB.0b013e328329dc86. PMID 19339901.
- A. M. Pappas: Congenital posteromedial bowing of the tibia and fibula. In: Journal of pediatric orthopedics. Band 4, Nummer 5, September 1984, S. 525–531. PMID 6490868.
- C. H. Heyman, C. H. Herndon: Congenital posterior angulation of the tibia. In: The Journal of bone and joint surgery. American volume. Band 31A, Nummer 3, Juli 1949, S. 571–580. PMID 18153899.
- A. Hofmann, D. R. Wenger: Posteromedial bowing of the tibia. Progression of discrepancy in leg lengths. In: The Journal of bone and joint surgery. American volume. Band 63, Nummer 3, März 1981, S. 384–388. PMID 7204436.