Tomografie

Die Tomografie oder Tomographie (von altgriechisch τομή, tome ‚Schnitt‘ und γράφειν, graphein ‚schreiben‘) ist ein bildgebendes Verfahren, das die schichtweise Darstellung eines Objekts liefert. Unter dem Begriff werden verschiedene Aufnahmeverfahren zusammengefasst, die innere räumliche Strukturen eines Objektes ermitteln und in Form von Schnittbildern darstellen können. Synonyme Bezeichnungen sind Schnittbildverfahren,[1] Schnittbildtechnik oder Schichtaufnahmeverfahren. Die Schnittbilder werden auch Schichtbilder oder Tomogramme genannt.
Ein Schnittbild gibt die inneren Strukturen so wieder, wie sie nach dem Aufschneiden des Objekts oder nach dem Herausschneiden einer dünnen Scheibe vorlägen. Man spricht hier von einer überlagerungsfreien Darstellung der entsprechenden Objektschicht – im Unterschied zu Projektionsverfahren wie etwa der gewöhnlichen Röntgenuntersuchung, bei der sich alle Strukturen überlagern, die im Strahlengang hintereinander liegen. Dieser Unterschied wird in der nebenstehenden Abbildung mit zwei tomografischen Schnittbildern (S1 und S2) und einem Projektionsbild (P) des gleichen Volumens illustriert.
Tomografische Methoden können eine einzelne Schicht aufnehmen oder größere Volumina, die dann beispielsweise als Serie paralleler Schnittbilder dargestellt werden können. Auch Methoden, die jeweils einzelne Schichten aufnehmen, können für die Aufnahme dreidimensionaler Datensätze eingesetzt werden, indem das Objekt in einer Serie paralleler Querschnittbilder abgetastet wird.
Tomografische Verfahren sind besonders in der medizinischen Bildgebung von großer Bedeutung, aber auch einige Verfahren der Geowissenschaften, der Physik, der Paläontologie oder der Materialwissenschaften lassen sich unter die tomografischen Methoden einordnen.
Verfahren in der Medizin
In der Medizin sind besonders folgende tomografische Verfahren von Bedeutung:
- die „klassische“ Röntgentomographie,
- die Ultraschalldiagnostik (Sonografie),
- die Computertomographie (CT),
- die Magnetresonanztomographie (MRT, Kernspintomografie),
- die Positronen-Emissions-Tomographie (PET),
- die Einzelphotonen-Emissionscomputertomographie (SPECT),
- die Optische Kohärenztomografie (OCT),
- die Elektrische Impedanz-Tomografie (EIT) und
- die Digitale Volumentomografie (DVT).
Die Grundlagen zur Tomografie in der Medizin in Form der „klassischen“ Röntgentomografie entwickelte der Radiologe Alessandro Vallebona 1930 in Genua.
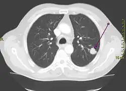
Der Unterschied zwischen der überlagerungsfreien Darstellung in der medizinischen Tomografie und einer Projektionsabbildung ist in den nachfolgenden Abbildungen illustriert. In Projektionsverfahren wie der Radiografie (gewöhnliche Röntgenuntersuchung) wird ein Schattenbild aufgenommen, auf dem sich mehrere Strukturen überlagern, wenn sie im Strahlengang hintereinander liegen. Beispielsweise überlagern beim konventionellen Röntgenbild die Weichteile der vorderen und hinteren Brustwand und die knöchernen Strukturen des Thorax die Lungenstrukturen. Dies würde die Diagnose eines Lungentumors (z. B. Bronchialkarzinom) erschweren. Jedes CT- oder MRT-Schnittbild vom Thorax zeigt dagegen nur eine 0,5 bis 10 mm dicke Schicht, die praktisch überlagerungsfrei ist.
-
Röntgenbild (Projektionsbild) eines kleinen peripheren Bronchialkarzinoms im linken Oberlappen -
Derselbe Tumor in der Computertomografie (axiales Schnittbild) -
Aus den CT-Einzelschichten zusammengesetztes 3D-Bild
Jedes Pixel in einem Schnittbild entspricht einem Volumenelement (Voxel) des gesamten dreidimensionalen Datensatzes. Die Höhe des Voxels entspricht dabei der Schichtdicke. In der Nachbearbeitung lassen sich aus den Voxeln beispielsweise beliebig im Raum angeordnete Schichtbilder (multiplanare Rekonstruktion, MPR), geschichtete (Subvolumen-)Maximumintensitätsprojektionen (MIPs) oder dreidimensionale Bilder des untersuchten Objekts (Volumenrendering) errechnen.
-
3D-Rekonstruktion (Volumenrendering) aus einem Herz-CT-Datensatz -
3D-Rekonstruktion (Volumenrendering) des Beckens aus einem CT-Scan -
Rekonstruiertes 3D-Zahnmodel aus Daten eines DVT-Scans -
3D-Rekonstruktion (Volumenrendering) eines MRT-Datensatzes
Verfahren in den Geowissenschaften
In anderen Gebieten der zerstörungsfreien Untersuchung werden ähnliche Verfahren angewandt, die mit vergleichbaren Inversionsrechnungen arbeiten. Diese sind:
- in der Geophysik z. B. die geoelektrische, die seismische und die Myonentomografie sowie das Bodenradar
- in der Geodäsie das Laserscanning sowie Methoden der Altimetrie und Gravimetrie
Verfahren in der Physik
- Quantentomographie, die mit ähnlichen mathematischen Methoden wie in der Medizin die vollständige Vermessung des Quantenzustandes eines Objektes (z. B. seine Dichtematrix oder seine Ort- und Impulsverteilung) ermöglicht
- Elektronentomografie, bei der die einzelnen Schnittbilder (Projektionen) mit dem Transmissionselektronenmikroskop (TEM) erzeugt werden.
- Astrotomographie, zur Sichtbarmachung von Sternsystemen[2]
Weitere tomografische Verfahren
- Schalltomografie: Anwendung bei der eingehenden Baumuntersuchung und Untersuchung von anderen Festkörpern
- Neutronentomografie: Anwendungen in der Paläontologie und den Materialwissenschaften
- Tomografische Atomsonde, atom-probe tomography (APT) oder dreidimensionale Atomsonde (3DAP): Anwendungen in den Materialwissenschaften
- Photoakustische Tomografie (PAT): Anwendungen in den Materialwissenschaften und der biomedizinischen Forschung
- Computed Tomography Imaging Spectrometer (CTIS): Verfahren zur spektralen Aufnahme von Bildern[3]
- Kurzzeittomosynthese: hat es nicht zur Marktreife geschafft
- Holotomographie, Laseranwendung
Einzelnachweise
- ↑ Willibald Pschyrembel: Klinisches Wörterbuch, 269. Auflage, Verlag Walter de Gruyter, Berlin / Boston 2023, ISBN 978-3-11-078334-6, S. 1577.
- ↑ Vortrag von Axel D. Schwope auf Urknall, Weltall und das Leben vom 20. März 2025, online, abgerufen am 21. März 2025
- ↑ Ralf Habel, Michael Kudenov, Michael Wimmer: Practical Spectral Photography