Transiente globale Amnesie
| Klassifikation nach ICD-10 | |
|---|---|
| G45.4 | Transiente globale Amnesie (amnestische Episode) |
| ICD-10 online (WHO-Version 2019) | |
Die Transiente Globale Amnesie (TGA) oder amnestische Episode ist eine neurologische Erkrankung, die gehäuft im höheren Lebensalter auftritt und zu einer vorübergehenden Störung des Gedächtnisses führt. Sie gilt als harmlos, führt aber immer wieder zu großer Besorgnis bei Betroffenen und ihren Angehörigen. Die Ursache ist in einer vorübergehenden Funktionsstörung mediobasaler Temporallappenanteile (inkl. beider Hippokampi) zu sehen, deren Pathogenese jedoch nicht bekannt ist.
Epidemiologie
Die jährliche Neuerkrankungsrate (Inzidenz) wird auf 3/100.000 Einwohner geschätzt. Männer und Frauen sind gleich häufig betroffen. Die zweite Lebenshälfte bzw. das Lebensalter von 50–70 Jahren ist deutlich überrepräsentiert (über 75 % der Betroffenen), am häufigsten ist die transiente globale Amnesie in der sechsten Lebensdekade.
Als mögliche Auslöser konnten bei über 85 % der Fälle einer der folgenden Faktoren identifiziert werden:[1]
- ausgeprägte körperliche Anstrengungen
- emotional-psychische Belastungen
- Eisbaden[2]
- Geschlechtsverkehr
Symptome
Es kommt zu einer bis zu 24 Stunden dauernden Störung der Merkfähigkeit mit Orientierungsstörung zu Zeit, Situation und Ort (anterograde Amnesie). Das Altgedächtnis bleibt weitgehend intakt; die jüngere Vergangenheit ist typischerweise eingeschränkt (retrograde Amnesie), deshalb globale Amnesie. Die Betroffenen machen einen ratlosen Eindruck. Sehr charakteristisch ist das ständige Wiederholen derselben Fragen, obwohl sie schon mehrfach beantwortet wurden. Das prozedurale Gedächtnis, also die Fähigkeit zum Abruf automatisierter motorischer Fähigkeiten wie Autofahren, ist nicht gestört. Die Symptomatik tritt abrupt auf und bildet sich allmählich und vollständig nach einigen Stunden zurück. Sie hinterlässt lediglich eine Gedächtnislücke für die Zeit der Gedächtnisstörung.
Diagnosestellung
Die Diagnose kann meist klinisch (ohne Zusatzuntersuchungen) gestellt werden nach den Kriterien von Caplan (1985) sowie Hodges und Warlow (1990):
- plötzliche und schwere Merkfähigkeitsstörung
- Erhalt des prozeduralen Gedächtnisses (zum Beispiel Fortführung komplexer Tätigkeiten wie Klavierspielen)
- Dauer 1 bis 24 Stunden
- keine weiteren Auffälligkeiten in der neurologischen Untersuchung
- insbesondere keine Bewusstseinsstörung oder Desorientierung zur Person
- kein vorangehendes Trauma oder Epilepsie
Abzugrenzen ist die transiente globale Amnesie insbesondere gegen Gedächtnisstörungen durch:
- Epilepsie, insbesondere die transiente epileptische Amnesie
- Schlaganfall, insbesondere sogenannte amnesic strokes
- Schädel-Hirn-Trauma
- Vergiftungen (einschließlich Alkohol)
- Entzündungen des Gehirns (hier vor allem im Rahmen der Herpes-simplex-Enzephalitis)
- funktionelle Störungen nach emotional belastenden Erlebnissen
Behandlung
Die stationäre Aufnahme ist immer dann erforderlich, wenn die Diagnose nicht eindeutig zu stellen ist oder zu Hause keine ausreichende Betreuung gewährleistet ist. Sie dient aber letztlich der Verlaufsbeobachtung (Abwarten der Besserung) und der Durchführung von Untersuchungen (EEG, MRT) zum Ausschluss der oben genannten ernsthaften Erkrankungen.
Eine rationale Therapie ist nicht möglich, da die Ursache der Erkrankung nicht bekannt ist. Sie scheint auch nicht notwendig, da über die Gedächtnislücke hinaus keine weiteren Folgen verbleiben. Lediglich das Risiko für eine erneute transiente globale Amnesie ist nach einmaliger Episode etwas erhöht.
Überlegungen zur Ursache

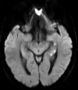
In erster Linie wurde eine transiente Durchblutungsstörung vermutet. Bei der Mehrzahl der Patienten lassen sich in der Magnetresonanztomographie punktförmige Diffusionsstörungen im lateralen Hippocampus nachweisen. Dagegen spricht jedoch, dass die transiente globale Amnesie im Gegensatz zu anderen kurzzeitigen Ischämien des Kopfes (TIA, Amaurosis fugax) kein Risikofaktor für das Erleiden eines Schlaganfalls ist.
Ferner wurde aufgrund der Assoziation zur Migräne eine Streudepolarisierung als gemeinsame Grundlage beider Erkrankungen angenommen. Dies konnte jedoch praktisch nicht weiter untermauert werden, auch das Lebensalter bei erstmaligem Auftreten spricht nicht dafür.
Auch wurde eine venöse Abflussstauung des Blutes aus dem Kopf vermutet. Dafür sprechen Untersuchungen an den Venenklappen der Halsvene von TGA-Patienten. Es gibt jedoch bisher keine Berichte, dass solche Patienten eine transiente globale Amnesie mittels eines Valsalva-Manövers auslösen könnten. Wie bei den meisten Erkrankungen, deren Ursache nicht bekannt ist, wurden auch funktionelle (psychogene/dissoziative) Ursachen diskutiert, wie bei der eher länger andauernden und nicht altersabhängigen dissoziativen Amnesie. Letztlich ist die Ursache weiterhin nicht geklärt.
Literatur
- Sara M Nehring, Benjamin C Spurling, Anil Kumar: Transient Global Amnesia. In: Stat Pearls [Internet]. Treasure Island (FL) StatPearls Publishing; 2024 Jan. PMID 28723030. PDF.
- S1-Leitlinie Transiente globale Amnesie (= amnestische Episode) der Deutschen Gesellschaft für Neurologie (DGN). In: AWMF online (Stand 2012)
- Martina Gertrudis Ramspott: Transiente Globale Amnesie und jugularvenöse Insuffizienz. Universität Ulm, 2007, DNB 987857118, urn:nbn:de:bsz:289-vts-63026 (Online – Dissertation).
- O. Sedlaczek, J. G. Hirsch, E. Grips, C. N. Peters, A. Gass, J. Wohrle, M. Hennerici: Detection of delayed focal MR changes in the lateral hippocampus in transient global amnesia. In: Neurology. Band 62, Nr. 12. Lippincott Williams & Wilkins, 22. Juni 2004, ISSN 0028-3878, S. 2165–2170, doi:10.1212/01.WNL.0000130504.88404.C9 (englisch).
- C. Gandolfo, C. Caponnetto, M. Conti, N. Dagnino, M. Del Sette, A. Primavera: Prognosis of transient global amnesia – A long-term follow-up study. In: European Neurology. Band 32, Nr. 1. Karger, 1992, ISSN 0014-3022, S. 52–57, doi:10.1159/000116787 (englisch).
- Harald Kerbel: Transiente Globale Amnesie. Klinischer Verlauf und Katamnese. Eine Untersuchung an 51 Patienten. Universität Heidelberg, 1990, DNB 911131795 (Dissertation).
- J. R. Hodges, C. P. Warlow: Syndromes of transient amnesia – Towards a classification. A study of 153 cases. In: Journal of Neurology, Neurosurgery, and Psychiatry. Band 53, Nr. 10. BMJ Publishing Group, Oktober 1990, ISSN 0022-3050, S. 834–843, doi:10.1136/jnnp.53.10.834 (englisch).
- L. Caplan: Transient global amnesia. In: J. A. M. Frederiks (Hrsg.): Clinical Neuropsychology (= Pierre J. Vinken, G. W. Bruyn, Harold L. Klawans [Hrsg.]: Handbook of Clinical Neurology. Band 45). Elsevier, Amsterdam 1985, ISBN 0-444-90356-9, S. 205–218 (englisch).
Weblinks
Einzelnachweise
- ↑ Kommission Leitlinien der Deutschen Gesellschaft für Neurologie (DGN): Transiente globale Amnesie, https://register.awmf.org/assets/guidelines/030-083l_S1_Transiente_globale_Amnesie_2023-01_01.pdf
- ↑ Transiente globale Amnesie nach dem Eisbaden, https://www.paulbieber.de/transiente-globale-amnesie-tga-nach-dem-eisbaden/