Transversalebene

Anatomische Ebenen des Körpers

Als Transversalebene (Planum transversale, von lateinisch transversus ‚quer‘), auch Transaxialebene genannt, wird in der Anatomie eine Ebene bezeichnet, die im rechten Winkel zur Längsachse quer liegt. Sie spannt sich bei lotrechter Längsachse horizontal aus und erstreckt sich beim aufrecht stehenden Menschen von vorne nach hinten wie von links nach rechts. Eine solche Transversalebene wird auch Horizontalebene genannt und teilt einen Körper in einen oberen und einen unteren Anteil. Ein Schnitt in dieser Ebene heißt Transversalschnitt beziehungsweise Horizontalschnitt. Die transversale Ansicht eines Körpers ist bei einem Blick im rechten Winkel (orthogonal) zur Transversalebene zu sehen.

Die in der nebenstehenden Abbildung grün dargestellte Ebene ist eine Transversalebene. Alle zu ihr parallelen, nach oben oder unten verschobenen Ebenen sind ebenfalls Transversalebenen. Es gibt unendlich viele parallel zueinander liegende Transversalebenen. Drehungen um die Längsachse sind Bewegungen in diesen Ebenen.

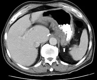
Durch Computertomographie (CT) gewonnenes Schnittbild einer axialen Schichtung – die dargestellte Transversalebene des menschlichen Oberbauchs entspricht der Lage der grünen Ebene in der Abbildung oben

Bei den bildgebenden Verfahren der Radiologie – insbesondere den anhand der Untersuchungsdaten errechneten Darstellungen von Körperquerschnitten bestimmter Schichtdicke (Tomographie) – spielen Transversalschnitte eine wichtige Rolle. Sie stellen die aufgenommenen Bilddaten in verschiedenen Transversalebenen dar, die mit bestimmten Abständen längs der Körperachse aufeinander folgen und so in axialer Schichtung ein Bild des Körpers geben. Bei der tomographischen Untersuchung wird eine Serie transaxialer Schnittbilder erstellt, die den untersuchten Körper Schicht für Schicht transversal darstellen.[1]

Siehe auch

Wiktionary: Transversalebene – Bedeutungserklärungen, Wortherkunft, Synonyme, Übersetzungen

Einzelnachweise

  1. Karl Zilles, Bernhard Tillmann: Anatomie. Springer, Berlin / Heidelberg 2010, ISBN 978-3-540-69483-0, S. 3.