Unterarmknochen

Die Unterarmknochen (Ossa antebrachii) gehören zu der oberen Extremität (Arm des Menschen) bzw. Vordergliedmaße der Wirbeltiere.
Anatomie
Zu den Unterarmknochen des Menschen, der anderen Säugetiere sowie Vögel und Reptilien gehören die beiden langen Unterarmknochen
- Elle (medizinischer Name lateinisch Ulna)
- Speiche (medizinischer Name lateinisch Radius)
Diese Knochen sind Röhrenknochen. Die Elle ist am oberen, die Speiche am unteren Ende „dick“; denn die Elle bildet mit dem Humerus das eigentliche Ellbogengelenk und die Speiche trägt das Handgelenk (die proximalen Handwurzelknochen). Übertragen wird die Last (z. B. beim Liegestütz) durch die Membrana interossea antebrachii zwischen den beiden Knochen.
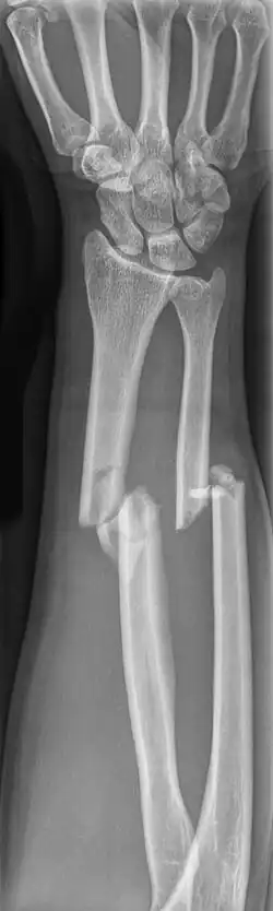
„Komplette Unterarmfrakturen“ (beider Knochen) sind bei Kindern häufiger als bei Erwachsenen.
Literatur
- Rüdiger Döhler, A. Latif Al-Arfaj, Wulf Löffler: Komplette Unterarmfrakturen bei Kindern – Möglichkeiten und Grenzen der konservativen Therapie. Eine Analyse von 195 Fällen. Unfallheilkunde 86 (1983), S. 22–27.