Urothelkarzinom

Klassifikation nach ICD-10
C65 Bösartige Neubildung des Nierenbeckens
C66 Bösartige Neubildung des Ureters
C67.- Bösartige Neubildung der Harnblase
C68.0 Bösartige Neubildung der Urethra
C68.9[1] Bösartige Neubildung Harnorgan, nicht näher bezeichnet
{{{06-BEZEICHNUNG}}}
{{{07-BEZEICHNUNG}}}
{{{08-BEZEICHNUNG}}}
{{{09-BEZEICHNUNG}}}
{{{10-BEZEICHNUNG}}}
{{{11-BEZEICHNUNG}}}
{{{12-BEZEICHNUNG}}}
{{{13-BEZEICHNUNG}}}
{{{14-BEZEICHNUNG}}}
{{{15-BEZEICHNUNG}}}
{{{16-BEZEICHNUNG}}}
{{{17-BEZEICHNUNG}}}
{{{18-BEZEICHNUNG}}}
{{{19-BEZEICHNUNG}}}
{{{20-BEZEICHNUNG}}}
Vorlage:Infobox ICD/Wartung {{{21BEZEICHNUNG}}}
ICD-10 online (WHO-Version 2019)
Vorlage:Infobox ICD/Wartung/Para 05

Als Urothelkarzinom, auch Urothelzellkarzinom, Übergangszellkarzinom oder Transitionalzellkarzinom genannt,[2] werden maligne Tumoren des Übergangsgewebes (Urothel), das die ableitenden Harnwege auskleidet, bezeichnet. Dementsprechend kommen Urothelkarzinome vor als

Urothelkarzinome des oberen Harntrakts (ca. 10 %)

Urothelkarzinome des unteren Harntrakts (ca. 90 %)

Je nach dem Grad der Entdifferenzierung weisen sie ein papilläres bis solides Wachstumsmuster auf. Männer sind häufiger als Frauen betroffen.

Ätiologie und Pathogenese

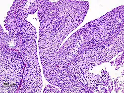
Urothelkarzinom der Harnblase
Lichtmikroskopisches Präparat, gefärbt mit HE

Der Altersgipfel liegt zwischen dem 60. und 70. Lebensjahr, wobei Männer doppelt so häufig betroffen sind wie Frauen. Für Deutschland rechnet man mit etwa 25.000 Neuerkrankungen und etwa 6.400 Todesfällen pro Jahr. In der ganzen Europäischen Gemeinschaft gibt es etwa 104.000 neue Fälle und 36.400 Todesfälle pro Jahr.[4]

Epidemiologisch konnten folgende Risikofaktoren gefunden werden:

Morphologie

Mehr als 90 % der Urothelkarzinome befinden sich in der Harnblase. Wie die Papillome sind sie vor allem an der Blasenrückwand oder der Blasenseitenwand lokalisiert. Zudem wachsen die meisten Tumoren papillär. Dringt der Tumor in die Lamina propria ein, so spricht man von einem invasiven infiltrierenden Urothelkarzinom.[6]

Metastasierung

Die Metastasierung erfolgt frühzeitig über das Lymphsystem (lymphatisch). Erst später erfolgt eine Metastasierung über das Blutsystem (hämatogen) beispielsweise in Leber, Lungen und Knochen. Im metastasierten Zustand ist die Cisplatin-basierte Chemotherapie der derzeitige Therapiestandard. Bei einem Rezidiv nach Cisplatin-haltiger Chemotherapie wird seit 2010 das Vincaalkaloid Vinflunin empfohlen.[7]

Ureterkarzinom

Dieser maligne Uretertumor wird meist mittels einer Nephroureterektomie (auch: Ureteronephrektomie) behandelt.[8] Dabei werden der betroffene Harnleiter und die zugehörige Niere operativ entfernt.

Ureterkarzinome sind nur selten primäre Karzinome. Oft gehen sie sekundär vom Nierenbecken aus. Deshalb spricht man auch von einer Abtropfmetastase.[9]

Urethralkarzinom

Ein Karzinom der Harnröhre ist selten ein Urothelkarzinom; man spricht dann auch vom Übergangsepithelkarzinom.[10] Meistens handelt es sich um ein Plattenepithelkarzinom oder um ein Adenokarzinom. Frauen sind doppelt so häufig betroffen wie Männer. Bei Frauen erfolgt eine partielle oder komplette Urethrektomie,[11] bei Männern eine Penisteilamputation mit Urethrotomie.[12]

Urachus-Tumoren

Gelegentlich werden auch die Tumoren des Urachus zu den Urothelkarzinomen gezählt, obwohl es sich meistens um verschleimende Adenokarzinome handelt. Urachustumoren sind seltene vom Epithel des Urachus ausgehende Neoplasmen.[13]

Literatur

  • Ursus-Nikolaus Riede, Hans-Eckart Schaefer: Allgemeine und spezielle Pathologie. 4. Auflage, Georg Thieme Verlag, Stuttgart / New York 1995, ISBN 3-13-683304-X.
  • Werner Böcker, Helmut Denk, Philipp U. Heitz (Hrsg.): Repetitorium Pathologie. Urban & Fischer, Elsevier, München / Jena 2004, ISBN 3-437-43400-4.
Commons: Urothelkarzinom der Harnblase – Sammlung von Bildern, Videos und Audiodateien

Einzelnachweise

  1. Alphabetisches Verzeichnis zur ICD-10-WHO Version 2019, Band 3. Deutsches Institut für Medizinische Dokumentation und Information (DIMDI), Köln, 2019, S. 917
  2. Hermann Bünte, Klaus Bünte: Das Spektrum der Medizin. Schattauer Verlag, 2004, ISBN 3-7945-2374-1, S. 434. eingeschränkte Vorschau in der Google-Buchsuche
  3. Willibald Pschyrembel: Klinisches Wörterbuch, 269. Auflage, Verlag Walter de Gruyter, Berlin / Boston 2023, ISBN 978-3-11-078334-6, S. 1818.
  4. J. Ferlay, Freddie Bray, Paola Pisani, D. Max Parkin: GLOBOCAN 2002: Cancer Incidence. Mortality and Prevalence Worldwide, IARC CancerBase No. 5, version 2. IARC Press, Lyon 2004.
  5. Yanchun Ma, Michael Karl Melzer, Friedemann Zengerling, Felix Wezel, Christian Bolenz: Urothelkarzinome des oberen Harntrakts. In: Onkologie. Band 31, 2025, S. 112–122, doi:10.1007/s00761-024-01626-8.
  6. a b Hans Bankl (Hrsg.): Arbeitsbuch Pathologie. Band 2+3. Facultas Verlag, 2000, ISBN 3-85076-536-9, S. 344. eingeschränkte Vorschau in der Google-Buchsuche
  7. Arnulf Stenzl, Nigel C. Cowan, Maria de Santis, Gerhard Jakse, Marcus Kuczyk, Axel S. Merseburger, Maria José Ribal, Amir Sherif, J. A. Witjes: EAU Guidelines on Bladder Cancer – Muscle-invasive and Metastatic. (PDF; 299 kB) 2010, abgerufen am 19. Juni 2011 (englisch, Guidelines der European Association of Urology 2010).
  8. Willibald Pschyrembel: Klinisches Wörterbuch, 269. Auflage, Verlag Walter de Gruyter, Berlin / Boston 2023, ISBN 978-3-11-078334-6, S. 1824.
  9. Maxim Zetkin, Herbert Schaldach: Lexikon der Medizin. 16. Auflage. Verlag Ullstein Medical, Wiesbaden 1999, ISBN 3-86126-126-X, S. 2091 f.
  10. Linus Sebastian Geisler: Lexikon Medizin. Das Nachschlagewerk für Ärzte, Apotheker, Patienten. 4., neubearbeitete und erweiterte Auflage. Lexikon-Redaktion Elsevier GmbH München, Sonderausgabe, Naumann & Göbel Verlagsgesellschaft, Köln ohne Jahr [2005], ISBN 3-625-10768-6, S. 701.
  11. Günter Thiele, Heinz Walter (Hrsg.): Reallexikon der Medizin und ihrer Grenzgebiete. Urban & Schwarzenberg, Loseblattsammlung 1966–1977, 6. Ordner (S–Zz), München / Berlin / Wien 1974, ISBN 3-541-84006-4, S. U 37.
  12. Willibald Pschyrembel: Klinisches Wörterbuch, 269. Auflage, Verlag Walter de Gruyter, Berlin / Boston 2023, ISBN 978-3-11-078334-6, S. 1818. – Anmerkung: Hier findet sich der offensichtliche Schreibfehler Uretherektomie statt richtig Urethrektomie.
  13. Günter Thiele, Heinz Walter (Hrsg.): Reallexikon der Medizin und ihrer Grenzgebiete. Urban & Schwarzenberg, Loseblattsammlung 1966–1977, 6. Ordner (S–Zz), München / Berlin / Wien 1974, ISBN 3-541-84006-4, S. U 30.