Wurzelförmiges Zahnimplantat
Ein wurzelförmiges bzw. wurzelanaloges Zahnimplantat (engl. Root Analogue Implant, RAI) – auch als anatomisches oder individuell an die Anatomie angepasstes Zahnimplantat bezeichnet – ist ein Medizinprodukt für den Ersatz einer oder mehrerer Zahnwurzeln unmittelbar nach einer Extraktion. Im Gegensatz zu herkömmlichen Implantaten meistens Titanschrauben, werden diese Implantate individuell patientenspezifisch angefertigt, damit diese genau in die Extraktionsalveole des jeweiligen Patienten passen, ohne diese durch eine Operation verändern zu müssen. Da das Implantat dem extrahierten Zahn in der Form entspricht ist in der Regel keine Operation erforderlich, es muss daher weder die Schleimhaut noch der Knochen an das Implantat anpasst werden.
Da das wurzelförmige (analoge) Zahnimplantat dem Zahnfach entspricht, kann es nur in Verbindung mit der Zahnextraktion eingesetzt werden. Ist der Zahn bereits vor längerer Zeit verloren gegangen und der Knochen bereits ausgeheilt, kann ein RAI nicht mehr eingesetzt werden. Das Grundprinzip wie Zahnimplantate in den Knochen einheilen ist ein biologischer Prozess, der als Osseointegration bezeichnet wird, bei dem ein anorganisches Material, wie Titan oder Keramik eine direkte Verbindung mit dem Knochen eingehen. Es gibt keinen Unterschied in der Osseointegration einer Wurzelform- und einer Implantatschraube.
Nachteile von konventionellen Implantaten

Mit der Verbesserung der Operationstechniken hat sich auch die Erfolgsquote von Implantaten verbessert. Ein grundsätzliches Problem der konventionellen Implantat-Technologie mit Schrauben- oder Zylinderimplantaten bleibt jedoch bestehen: Systemimmanent muss der Knochen des Zahnfachs und damit des Knochenloch nach Zahnextraktion an die schraubenförmige oder zylindrische Implantatform, mit Knochenaufbauten und Bohren angepasst werden, damit das Implantat primärstabil im Knochen verankert werden kann.
Zähne haben eine oder mehrere Wurzeln. Selbst ein einwurzeliger Zahn ist im Querschnitt oval, somit in einer Richtung oft fast doppelt so breit, wie in der anderen. Ein zylindrisches, schraubenförmiges Implantat hat im Grunde absolut keine Ähnlichkeit mit der natürlichen Zahnform, sodass systemimmanent ein invasiver chirurgischer Eingriff erforderlich ist, um das Implantat im Zahnfach im Knochen befestigen zu können. Bei einem solchen chirurgischen Eingriff muss im gesunden Knochen gebohrt und der fehlende Kontakt zwischen Implantat und Knochen muss mit Knochen oder Knochenersatzmaterial aufgefüllt werden. Im Oberkiefer Seitzahnbereich ist sogar in 98 % aller Fälle ein Sinuslift notwendig, um überhaupt ein Zahnimplantat einsetzen zu können.
Titanschrauben sind anfällig für eine Periimplantitis und Ansammlungen von Plaque, die einen hohen Reinigungsaufwand und auch weitere Eingriffe notwendig machen. Die unnatürliche graue metallene Farben von Titan neigt dazu, durch das Zahnfleisch hindurch zu scheinen und damit zu verfärben.[1] Vor allem im Falle von Zahnfleisch- und Knochenrückgang ist das ästhetische Ergebnis oft stark beeinträchtigt.
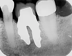
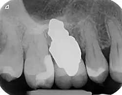
Wurzelförmiges (analoges) Implantat




Wurzelförmige Zahnimplantate werden individuell angefertigt, damit sie unmittelbar nach der Zahnextraktion perfekt in das Zahnfach eines bestimmten Patienten passen. Jedes Implantat ist daher ein Unikat und nur für einen Patienten bestimmt. Dabei muss die ursprüngliche Wurzelform geringfügig optimiert werden, sodass es sich nicht um eine einfache 1:1-Kopie eines Zahns handelt. Das Implantat füllt genau das Knochenloch nach Extraktion aus, sodass ein chirurgischer Eingriff am Knochen oder den Weichteilen nicht erforderlich ist. Die Grundform des Implantates kann vom extrahierten Zahn, aus einem Abdruck des Zahnfaches (Alveole) oder durch Segmentation aus einem CT-Scan oder CBCT-Scan hergestellt werden.[2] Wird das Implantat aus einem CBCT-Scan hergestellt, kann die Extraktion und Implantation in einem Eingriff erfolgen. Bei den anderen beiden Methoden dauert die Herstellung eines Implantats ein bis zwei Tage.
Ein wurzelanaloges Implantat kann aus Zirkoniumdioxid oder Titan hergestellt werden. Zirkoniumdioxid ist das bevorzugte Material, weil diese Keramik die höchste Biokompatibilität hat und durch die ästhetische Farbe können keine grauen Verfärbungen durch das Zahnfleisch sichtbar werden.[3] Zirkoniumdioxid wird mit geringen Mengen Yttriumoxid dotiert, damit das Material entsprechende thermische, mechanische und elektrische Eigenschaften, sowie eine erhöhte Bruchzähigkeit erhält. Damit wird Zirkoniumdioxid zu einem Werkstoff für chirurgische Zahnimplantate.[4][5] Zirkoniumdioxid ist metallfrei, chemisch inert und damit gut verträglich.
Bei einer alternativen Technik wird eine anatomische Wurzel aus Titan verwendet, die durch ein spezielles Sinterverfahren mit einem Zirkoniumdioxid-Abutment verschmolzen wird, wodurch ein möglicher Mikrospalt (der zu Periimplantitis und damit zu Knochenverlust um das Implantat herum führen könnte) eliminiert.[6]
Wurzelanaloge oder anatomische Zahnimplantate sind in der Vergangenheit erforscht worden. Die frühen Versuche scheiterten an unzureichenden Kenntnissen über die unterschiedliche Heilung von kortikalem und spongiösem Knochen, an unausgereiften Methoden, dem schlechten Material, sowie der fehlenden CAD/CAM-Technologie. Das Prinzip der differenzierten Knochenintegration hat in Verbindung mit geeigneten keramischen Materialien erste Erfolge auf diesem Gebiet ermöglicht. Mit der Anwendung modernster CAD/CAM-Technologien konnten weitere Verbesserungen erreicht werden.[7][8][9]
Das Prinzip der differenzierten Osseointegration
Differenzierte Osseointegration[10] beschreibt das geführte Gleichgewicht von Knochen zu Implantat mit einem Abstand, Kontakt oder Kompression unter Berücksichtigung von spongiösem oder kortikalem Knochen, um eine sichere Primärstabilität sowie Osseointegration von individuellen anatomischen Zahnimplantaten zu erreichen.
Die Gestaltung der Implantatoberfläche ist entscheidend für die drei möglichen primären Knochen-Implantat-Kontaktszenarien:
- Kontakt im Bereich der exakten Wurzelnachbildung, für einen sofortigen Beginn der primären Osseointegration ohne vorhergehendes Knochentrauma oder eine Distanz des Knochens zum Implantat;
- Abstand zu den dünnen bukkal und lingual gelegenen Kortikalisplatten, um Frakturen und die Druckresorption dieser empfindlichen dünnen Knochenlamellen auf jeden Fall zu verhindern;
- Kompression durch Makroretentionen nur in Bereichen mit spongiösem Knochen, um eine sichere Primärstabilität zu gewährleisten.
Die ausgeglichene Kombination all dieser Faktoren ist die wichtigste Voraussetzung für die Osseointegration von anatomisch geformten Zahnimplantaten.
Technik

Die Behandlung besteht aus drei Schritten:
- Erstellen der 3D-Form der zu ersetzenden Zahnwurzel. Dies geschieht entweder durch sorgfältige Zahnextraktion und Scannen der Zahnwurzel, Abdrucknahme des Zahnfachs (Alveole), oder durch eine präoperatives CBCT scan. Das wurzelanaloge Implantat wird mit moderner CAD/CAM-Technologie konstruiert und anschließend gefräst. Die Oberfläche wird nach dem Prinzip der differenzierten Osseointegration gestaltet;
- Atraumatische Extraktion der nicht erhaltungswürdigen Zahnwurzel;
- Einsetzen des wurzelanalogen Implantats durch Einklopfen. Im Allgemeinen ist kein chirurgischer Eingriff erforderlich. Insbesondere sind weder ein Sinuslift noch ein invasiver chirurgischer Eingriff mit Veränderung der Hart- und Weichgewebe notwendig. Das Implantat kann gleich nach der Extraktion eingesetzt werden, wenn es zuvor anhand eines CBCT-Scans erstellt wurde, oder am nächsten Tag, wenn die Wurzel gescannt werden muss oder auf Basis eines Abdruckes erstellt wird. Das Implantat wird während der frühen Einheilphase mit einer Schutzschiene oder Maryland-Brücke für 8 Wochen geschützt.
Die Patientenbelastung ist sehr kurz, da weder Weich- noch Hartgewebe durch eine Operation traumatisiert werden, die Schmerzen bereiten und anschwellen können. In der Regel treten nach dem Einsetzen des Implantats daher keine Schwellungen, Blutergüsse und mit Schmerzen ist nur für einen Tag zu rechnen. Nach einer Einheilzeit von 8–12 Wochen kann die endgültige Krone angefertigt werden.
Vorteile
Vorteile eines wurzelförmigen Zahnimplantats sind:[9][11][12]
- Es kann von jedem Allgemeinzahnarzt eingesetzt werden und erfordert keine besonderen chirurgischen Fähigkeiten; außer Indikationen und Kontraindikationen gibt es keine Richtlinien. Das Implantat kann in der Regel in kurzer Zeit mit zwei einfachen chirurgischen Werkzeugen eingesetzt werden.
- Natürliche Form: Ein individuell gefrästes anatomisches Implantat ist der natürlichen Form eines Zahns nachempfunden, so dass es einfach in das Zahnfach passt. Wie der Originalzahn kann ein wurzelanaloges Implantat ein- oder mehrwurzelig ausgeführt werden.
- Ästhetik: Ein keramisches RAI ist in der Farbe kaum von einer natürlichen Zahnwurzel zu unterscheiden. Es kann also nicht zu grauen Verfärbungen des Zahnfleisches, wie dies bei Titanimplantaten häufig zu sehen ist, kommen.
- Es muss nicht im gesunden Knochen gebohrt werden und es sind auch keine Schleimhautlappen oder Knochenaufbauten erforderlich, so wie es bei Schraubenimplantaten regelmäßig notwendig ist. Der Patient braucht dabei keinen Sinuslift. Es gibt keinen zusätzlichen Knochenverlust, im Gegensatz zu einem konventionellen Implantat, bei dem Knochen gebohrt werden muss. Es sind in der Regel präventiv keine Antibiotika erforderlich.
- Äußerst geringes Risiko einer Periimplantitis: Ein herkömmliches Implantat hat ein Schraubengewinde, das anfällig für eine Periimplantitis ist, wenn es im Mund frei liegt. Bei einem RAI-Implantat gibt es diese Probleme nicht. Da es sich meist um ein einteiliges Implantat handelt, gibt es auch keine Spalten, die ein Reservoir für Bakterien darstellen könnten.
- Ein RAI wird sofort nach der Zahnentfernung oder am nächsten Tag in das Zahnfach eingesetzt. Eine Verletzung der benachbarten Wurzeln, Nerven oder der Kieferhöhle ist dabei weitgehend ausgeschlossen.
- Die Nachteile im Falle eines Implantatverlustes sind minimal: Die Anatomie des Patienten wird nicht verändert (das Zahnfach ist unverändert), so dass immer noch die Möglichkeit besteht, auf eine konventionelle Behandlungsmethode umzusteigen.
Nachteile
Bei einer infizierten Alveole oder bei parodontalen Entzündungen kann keine Sofortimplantation durchgeführt werden, da die Gefahr einer Infektion des Operationsgebietes besteht. Bei einem größeren parodontalen Abbau des Kieferknochen s ist die Alveole nicht tief genug, um eine ausreichende Stabilität des Implantats zu gewährleisten. Bei einer notwendigen Abdrucknahme der Alveole kann es zu einer infizierten Alveole kommen, die eine nachfolgende Sofortimplantation verhindert. Sollte ein Zahn verknöchert in der Alveole stecken, was oft bei endodontisch behandelten Zähnen vorkommt, ist eine atraumatische Extraktion kaum durchführbar. Entstehende Mikrofrakturen können eine Osseointegration erschweren oder gar verhindern. Bislang hat noch kein wurzelanaloges Zahnimplantatsystem eine Zulassung.
Risiken und Komplikationen
Notwendige Formveränderungen der RAIs auf Grund von bestehenden Pathologien des Patienten können nur von einem Arzt durchgeführt werden, der über die erforderlichen Kenntnisse, Erfahrungen und Fähigkeiten verfügt.[6][13] Eine Misserfolgsrate von bis zu 10 % erscheint trotz der breiteren Indikationen für diese Implantatlösung noch hoch, zumal diese bei konventionellen Schraubenimplantaten nur bei 5 % liegt. Fast alle Probleme treten innerhalb der ersten 4 Wochen auf. Nach diesem Zeitraum kommt es nur noch sehr selten zu Komplikationen.
Geschichte
Das älteste bekannte Zahnimplantat, wurde in Honduras entdeckt und auf das Jahr 600 n. Chr. datiert wird, stammt von einer Maya-Frau, der mehrere Schneidezähne aus Muscheln implantiert wurden. Mindestens eines dieser Implantate war osseointegriert.[14]
In der Neuzeit berichteten Hodosh und Kollegen bereits 1969 über von ihnen in Pavianen vorgenommene Zahnimplantate, aber das wurzelförmige Implantat aus Polymethacrylat war nur von Weichgewebe eingekapselt und ist nicht knöchern eingeheilt.[15][16]
1992 verwendeten Lundgren und Kollegen wurzelanaloge Titanimplantate in einem experimentellen Modell in der Sofortimplantation bei Hunden, wobei in 88 % der Fälle eine knöcherne Integration erzielt werden, konnte.[17] Eine gute Passung zwischen Implantat und Knochen wurde als wichtiger Faktor für den Implantaterfolg angesehen.
Aus diesem Grund verfeinerten Kohal et al. 1997 (Deutschland) den Ansatz wurzelanaloger Titanimplantate bei Affen weiter, indem sie etwas vergrößerte Implantate verwendeten, um das verlorene parodontale Ligament zu kompensieren. Dadurch wurde eine bessere Passung zwischen Implantat und Extraktionsalveole erreicht. In mehreren Fällen führte das Einsetzen des vergrößerten Implantates jedoch zur Fraktur der dünnen bukkalen Wand des Alveolarknochens.[18]
Eine anschließende klinische Studie am Menschen im Jahr 2002 mit wurzelidentischen Titanimplantaten zeigte eine ausgezeichnete Primärstabilität. Enttäuschend war jedoch, dass fast die Hälfte der Implantate nach 9 Monaten verloren gingen. Dieses spezielle Implantatsystem wurde daher nicht für den klinischen Einsatz empfohlen und die klinischen Studien wurden abgebrochen.[19][20]
Einen neuen Versuch unternahmen Pirker et al. (Österreich) 2004 in einer Humanstudie mit wurzelanalogen Zirkonoxidimplantaten, diesmal jedoch mit Oberflächenbeschichtungen zur differenzierten Osseoingration. Im Jahr 2011 berichtete er über eine Erfolgsquote von 90 % mit dieser Methode in der 2,5-jährigen Studie am Menschen.[9]
Mangano et al. (Italien) berichteten 2012 über den erfolgreichen klinischen Einsatz eines maßgefertigten wurzelanalogen Implantat-System, dass durch direkte Laser-Metallumformung (DLMF) aus einem CBCT-Scan hergestellt wurde. Es war dabei möglich CBCT-3D-Daten und CAD/CAM-Technologie zu kombinieren, um wurzelanaloge Implantate mit ausreichender Präzision herzustellen.[21]
Im Jahr 2012 untersuchten Moin et al. (Niederlanden) die Genauigkeit der CBCT- und CAD/CAM-Technologie bei einzelnen wurzelanalogen Implantaten und kamen zu dem Schluss, dass diese Technik möglicherweise präzise Zahnimplantate für die Sofortimplantation liefern könnte.[22]
Pour et al. aus Deutschland berichteten 2017 über einen Einzelzahnersatz mit einem wurzelanalogen Hybridimplantat, bei dem ein Titanimplantat mit einer Keramikverblendung in der ästhetischen Zone verbunden wurde.[23]
Aktuelle Forschung und kommerzieller Erfolg
Es ist noch nicht lange möglich, RAIs erfolgreich durchzuführen. Im Gegensatz zu konventionellen geometrischen Implantaten haben sich seit 1964 nur wenige Forscher mit diesem Gebiet beschäftigt. Es gibt weiterhin Bestrebungen, CBCT-Scans mit CAD/CAM-Technologie zu optimieren und zu automatisieren, was zu weiteren Verbesserungen auf diesem Gebiet führen würde.[21][22]
In der Implantologie gibt es zunehmend Bedenken hinsichtlich der Ästhetik, der Biokompatibilität und des korrosiven Verhaltens von Metallen.[6] Individuell angefertigte wurzelanaloge Zirkonoxidimplantate lassen erhebliche Vorteile gegenüber herkömmlichen Titanimplantaten erwarten und Nachuntersuchungen mit Patienten zeigen hohe Erfolgsraten mit sehr guten ästhetische Ergebnissen,[11][13] Weitere Studien sind erforderlich, um die Wechselwirkungen zwischen Implantatoberfläche und Knochen und das mechanische Verhalten von Zirkonoxid zu bewerten.[6][11][12]
Ein kommerziell erhältliches wurzelanaloges Zahnimplantat wurde im Jahr 2019 wieder von Markt genommen.[6]
Weblinks
Einzelnachweise
- ↑ H Cai, J Chen, C Li, J Wang, Q Wan, X Liang: Quantitative discoloration assessment of peri-implant soft tissue around zirconia and other abutments with different colours: A systematic review and meta-analysis. In: Journal of Dentistry. 70. Jahrgang, Mar, 2018, S. 110–117, doi:10.1016/j.jdent.2018.01.003, PMID 29371043 (englisch).
- ↑ Zachary P. Evans, Walter G. Renne, Thierry R. Bacro, Anthony S. Mennito, Mark E. Ludlow, Michael K. Lecholop: Anatomic Customization of Root-Analog Dental Implants With Cone-Beam CT and CAD/CAM Fabrication: A Cadaver-Based Pilot Evaluation. In: Journal of Oral Implantology. Band 44, Nr. 1, 2018, S. 15–25, doi:10.1563/aaid-joi-D-17-00090, PMID 29064779.
- ↑ Arndt Happe, Verena Schulte-Mattler, Christian Strassert, Michael Naumann, Michael Stimmelmayr, Joachim Zoller, Daniel Rothamel: In Vitro Color Changes of Soft Tissues Caused by Dyed Fluorescent Zirconia and Nondyed, Nonfluorescent Zirconia in Thin Mucosa. In: The International Journal of Periodontics & Restorative Dentistry. Band 33, Nr. 1, 2013, S. e1–8, doi:10.11607/prd.1303, PMID 23342353.
- ↑ C. Gautam, Jarin Joyner, Amarendra Gautam, Jitendra Rao, Robert Vajtai: Zirconia Based Dental Ceramics: Structure, Mechanical Properties, Biocompatibility and Applications. In: Dalton Transactions. Band 45, Nr. 11, 2016, S. 19194–19215, doi:10.1039/C6DT03484E, PMID 27892564.
- ↑ Ossama Saleh Abd El-Ghany, Ashraf Husein Sherief: Zirconia based ceramics, some clinical and biological aspects: Review. In: Future Dental Journal. Band 2, Nr. 2, 2016, S. 55–64, doi:10.1016/j.fdj.2016.10.002.
- ↑ a b c d e R. Saeidi Pour, C. Freitas Rafael, M.L.P.D. Engler, D. Edelhoff, G. Klaus, O. Prandtner, M. Berthold. A. Liebermann: Historical development of root analogue implants: a review of published papers. In: British Journal of Oral and Maxillofacial Surgery. Band 57, Nr. 6, 2019, S. 496–504, doi:10.1016/j.bjoms.2019.01.021, PMID 31085016.
- ↑ W. Pirker, A. Kocher: Immediate, non-submerged, root-analogue zirconia implant in single tooth replacement. In: International Journal of Oral and Maxillofacial Surgery. Band 37, Nr. 3, 2008, S. 293–5, doi:10.1016/j.ijom.2007.11.008, PMID 18272340.
- ↑ W. Pirker, A. Kocher: Immediate, non-submerged, root-analogue zirconia implants placed into single-rooted extraction sockets: 2-year follow-up of a clinical study. In: International Journal of Oral and Maxillofacial Surgery. Band 38, Nr. 11, 2009, S. 1127–32, doi:10.1016/j.ijom.2009.07.008, PMID 19665354.
- ↑ a b c W. Pirker, D. Wiedemann, A. Lidauer, A. Kocher: Immediate, single stage, truly anatomic zirconia implant in lower molar replacement: a case report with 2.5 years follow-up. In: International Journal of Oral and Maxillofacial Surgery. Band 40, Nr. 2, 2011, S. 212–6, doi:10.1016/j.ijom.2010.08.003, PMID 20833511.
- ↑ W Pirker, A Kocher: True Anatomic Immediate Dental Implant Method: A Clinical Case. In: International Magazine of Oral Implantology. Nr. 4, 2009, S. 10–14 (englisch).
- ↑ a b c Chin Chen Chong, Jacqueline A Pfaff: Clinical Outcome of Root Analog Dental Zirconia Implants: A Systematic Literature Review. In: Online Journal of Dentistry & Oral Health. 3. Jahrgang, Nr. 3, 2020, doi:10.33552/OJDOH.2020.03.000564 (englisch).
- ↑ a b M Pessanha-Andrade, MB Sordi, B Henriques, FS Silva, W Teughels, JCM Souza: Custom-made root-analogue zirconia implants: A scoping review on mechanical and biological benefits. In: Journal of Biomedical Materials Research Part B: Applied Biomaterials. 8. Jahrgang, Nr. 106, 2018, S. 2888–2900, doi:10.1002/jbm.b.34147, PMID 30070423 (englisch).
- ↑ a b MWH Böse, D Hildebrand, F Beuer, C Wesemann, P Schwerdtner, S Pieralli, BC Spies: Clinical Outcomes of Root-Analogue Implants Restored with Single Crowns or Fixed Dental Prostheses: A Retrospective Case Series. In: Journal of Clinical Medicine. 9. Jahrgang, Nr. 8, 2020, S. 2346, doi:10.3390/jcm9082346, PMID 32717843, PMC 7465378 (freier Volltext) – (englisch).
- ↑ Carl E Misch: Dental Implant Prosthetics. 2nd Auflage. Mosby, 2015, ISBN 978-0-323-07845-0, Chapter 2: Generic Root Form Component Terminology, S. 26–45 (englisch, elsevier.com).
- ↑ M Hodosh, M Povar, G Shklar: The dental polymer implant concept. In: The Journal of Prosthetic Dentistry. 22. Jahrgang, Nr. 3, 1969, S. 371–380, doi:10.1016/0022-3913(69)90200-5, PMID 4979523 (englisch).
- ↑ M Hodosh, G Shklar, M Povar: The porous vitreous carbon/polymethacrylate tooth implant: Preliminary studies. In: The Journal of Prosthetic Dentistry. 32. Jahrgang, Nr. 3, 1974, S. 326–334, doi:10.1016/0022-3913(74)90037-7, PMID 4612143 (englisch).
- ↑ D Lundgren, H Rylander, M Andersson, M Johansson, T Albrektsson: Healing-in of root analogue titanium implants placed in extraction sockets. An experimental study in the beagle dog. In: Clinical Oral Implants Research. 3. Jahrgang, Nr. 3, 1992, S. 136–43, doi:10.1034/j.1600-0501.1992.030306.x, PMID 1290794 (englisch).
- ↑ RJ Kohal, MB Hürzeler, LF Mota, G Klaus, RG Caffesse, Strub JR: Custom-made root analogue titanium implants placed into extraction sockets. An experimental study in monkeys. In: Clinical Oral Implants Research. 8. Jahrgang, Nr. 5, 1997, S. 386–392, doi:10.1034/j.1600-0501.1997.080505.x, PMID 9612143 (englisch).
- ↑ G Heydecke, R Kohal, R Gläser: Optimal Esthetics in Single-Tooth Replacement with the Re-Implant System: A Case Report. In: The International Journal of Prosthodontics. 12. Jahrgang, Nr. 2, 1999, S. 184–189, PMID 10371922 (englisch).
- ↑ R Kohal, G Klaus, J Strub: Clinical investigation of a new dental immediate implant system. The ReImplant-System. In: Deutsche Zahnärztliche Zeitschrift. 57. Jahrgang, Nr. 8, 2002, S. 495–497 (englisch).
- ↑ a b F Mangano, B Cirotti, R Sammons, C Mangano: Custom-made, root-analogue direct laser metal forming implant: a case report. In: Lasers in Medical Science. 27. Jahrgang, Nr. 6, 2012, S. 1241–1245, doi:10.1007/s10103-012-1134-z, PMID 22699801 (englisch).
- ↑ a b D Anssari Moin, B Hassan, P Mercelis, D Wismeijer: Designing a novel dental root analogue implant using cone beam computed tomography and CAD/CAM technology. In: Clinical Oral Implants Research. 24. Jahrgang, 2013, S. 25–27, doi:10.1111/j.1600-0501.2011.02359.x, PMID 22092354 (englisch).
- ↑ RS Pour, P Randelzhofer, D Edelhoff, O Prandtner, CF Rafael, A Liebermann: Innovative Single-Tooth Replacement with an Individual Root-Analog Hybrid Implant in the Esthetic Zone: Case Report. In: The International Journal of Oral & Maxillofacial Implants. 32. Jahrgang, Nr. 3, 2017, S. e153–e160, doi:10.11607/jomi.5562, PMID 28494041 (englisch).