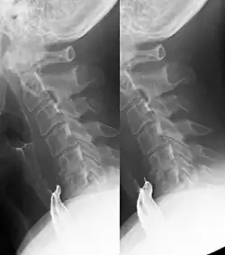
Zervikaler ösophagealer Pouch

Zervikaler Ösophaguspouch in der Breischluckuntersuchung.

Ein zervikaler ösophagealer Pouch ist eine vorübergehende kleine Ausstülpung der Speiseröhre während des Schluckens am häufigsten nach hinten unmittelbar unter dem oberen Ösophagussphinkter im Laimer-Dreieck. Wenn die Ausstülpung auch in der Ruhephase zwischen dem Schlucken konstant nachweisbar ist, handelt es sich um ein Killian-Jamieson-Divertikel.

Die Lage unter dem Sphinkter und dadurch bedingt die Entleerung nach unten in die Speiseröhre helfen bei der Abgrenzung gegen Zenker-Divertikel und -pouches.

Quellen

  • Vogl, Reith, Rummeny: Diagnostische und interventionelle Radiologie, Springer-Verlag, Berlin, 2010 ISBN 978-3-540-87667-0
Commons: Ösophageale Divertikel und Pouches – Sammlung von Bildern, Videos und Audiodateien