Zystisch adenomatoide Malformation der Lunge
| Klassifikation nach ICD-10 | |
|---|---|
| Q33.8 | Sonstige angeborene Fehlbildungen der Lunge |
| ICD-10 online (WHO-Version 2019) | |
Die Zystisch adenomatoide Malformation der Lunge (Abkürzung CCAM von englisch congenital cystic adenomatoid malformation) ist eine Lungenfehlbildung, die zu der Gruppe der Hamartome gehört.[1]


Formen
Typen nach Stocker:
- Typ I: (50 %) Eine oder mehrere Zysten mit 2–10 cm Durchmesser, zum Teil zusätzlich noch kleinere Zysten. Teilweise enthalten die Zysten Schleim.
- Typ II: (40 %) multiple kleine gleichmäßige Zysten von 0,5–2 cm Durchmesser.
- Typ III: (<10 %) mikroskopisch kleine Zysten. In der Bildgebung zeigt sich eine solide Masse.[2]
Symptome
Infekte der Bronchien und der Lunge, Atemnot, respiratorische Insuffizienz, Herzinsuffizienz[3] und Gedeihstörungen.
Es besteht eine Assoziation mit dem Pleuro-pulmonalen Blastom.
Diagnostik
Die CCAM kann bereits vorgeburtlich im Ultraschall gesehen werden. Eine engmaschige Kontrolle nach Diagnosestellung ist notwendig, da es zu einem raschen Wachstum kommen kann.[4] Allerdings regredieren 56 % der entdeckten CCAMs.[2]
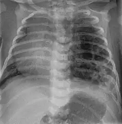
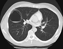
Nach der Geburt: Röntgen der Lunge, CT, ggf. Bronchoskopie, NMR
Therapie
Wenn durch eine starke Größenzunahme vor der Geburt der Tod des Kindes befürchtet wird, kann in einem entsprechenden Zentrum eine vorgeburtliche offene Entfernung des Prozesses durchgeführt werden.[4]
Wenn die CCAM Symptome macht, wird die chirurgische Entfernung empfohlen, asymptomatische Fälle werden noch kontrovers diskutiert.[2]
Weblinks
Einzelnachweise
- ↑ B. T. Sweeney, K. T. Oldham: Pulmonary Malformations. In: P. Puri, M. Höllwarth: Pediatric Surgery. Springer, 2006, S. 107.
- ↑ a b c Gerald Mandell: Imaging in Congenital Cystic Adenomatoid Malformation. In: Medscape.com. 23. Oktober 2013, abgerufen am 26. Dezember 2014 (englisch).
- ↑ Leitlinien-Detailansicht. Arbeitsgemeinschaft der Wissenschaftlichen Medizinischen Fachgesellschaften e. V. (AWMF), archiviert vom (nicht mehr online verfügbar) am 27. Dezember 2014; abgerufen am 26. Dezember 2014 (Leitlinie Kinderchirurgie zu Lungenzysten). Info: Der Archivlink wurde automatisch eingesetzt und noch nicht geprüft. Bitte prüfe Original- und Archivlink gemäß Anleitung und entferne dann diesen Hinweis.
- ↑ a b A. Strauss, M. R. Harrison, H. Hepp, B. Paek: Fetale Chirurgie. In: Speculum – Zeitschrift für Gynäkologie und Geburtshilfe. 19 (4), 2001, S. 14–22.