Zystizerkose
| Klassifikation nach ICD-10 | |
|---|---|
| B69 | Zystizerkose |
| B69.0 | Zystizerkose des Zentralnervensystems |
| B69.1 | Zystizerkose der Augen |
| B69.8 | Zystizerkose an sonstigen Lokalisationen |
| B69.9 | Zystizerkose, nicht näher bezeichnet |
| ICD-10 online (WHO-Version 2019) | |
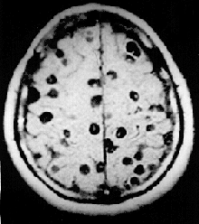
Die Zystizerkose (Cysticercose) ist ein Einlagern der Finnenformen des Typs Cysticercus („Blasenwurm“) von Bandwürmern, insbesondere der Cyclophyllidea, in den Geweben eines Zwischenwirts. Prinzipiell können alle Gewebe Zysten enthalten, häufiger sind Unterhaut, Muskulatur, Leber, Bauchfell und Gehirn (dort etwa eine chronisch-lymphozytäre Meningitis oder seröse Meningoenzephalitis verursachend[1]) betroffen. Als Zoonose ist die Zystizerkose des Schweinebandwurms (Taenia solium, Finne Cysticercus cellulosae) von besonderer Bedeutung.

multiple Finnen im Gehirn (MRT-Aufnahme)
Die Finne wird dabei zuerst bindegewebig eingescheidet, dann verkalkt das Bindegewebe. Da der Zystenträger nur Zwischenwirt ist, stellt es für den Wurm keinen Evolutionsnachteil dar, dem Zwischenwirt erheblich zu schaden, ihn sogar zu töten: ein stark mit muskulären (oder zerebralen) Zysten verseuchtes Stück Wild kommt mit größerer Wahrscheinlichkeit zur Strecke und wird von Jägern oder Aasfressern vertilgt. Dabei springt der Bandwurm wieder auf seinen Hauptwirt über, dem er wenig bis gar nicht schadet.
Die Zystizerkose wird chirurgisch oder chemotherapeutisch (mit Praziquantel oder Albendazol, bei Hirndruck oder Arachnoiditis im Rahmen einer Neurozystizerkose gegebenenfalls unter Zusatz von Prednisolon oder Dexamethason[2]) behandelt. Die Zyste kann auch durch Bestrahlung abgetötet werden, dabei ist jedoch mit Komplikationen durch die folgende Nekrose zu rechnen.
Siehe auch
Zystische Echinokokkose – Alveoläre Echinokokkose
Einzelnachweise
- ↑ Heinz-Walter Delank: Neurologie. 5., neu bearbeitete und ergänzte Auflage. Enke, Stuttgart 1988, ISBN 3-432-89915-7, S. 141 und 148.
- ↑ Marianne Abele-Horn: Antimikrobielle Therapie. Entscheidungshilfen zur Behandlung und Prophylaxe von Infektionskrankheiten. Unter Mitarbeit von Werner Heinz, Hartwig Klinker, Johann Schurz und August Stich, 2., überarbeitete und erweiterte Auflage. Peter Wiehl, Marburg 2009, ISBN 978-3-927219-14-4, S. 290.