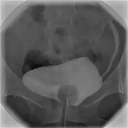
Zystographie

Als Zystographie bezeichnet man die Röntgendarstellung der Harnblase, wobei die im nativen Röntgenbild nicht erkennbare Blase mittels Kontrastmittelfüllung sichtbar gemacht wird. So können Lage, Form und Größe der Harnblase beurteilt werden, ebenso Wandveränderungen oder Fremdkörper.
Das Kontrastmittel kann entweder über die Harnröhre (retrograde Zystographie) appliziert werden oder es wird intravenös verabreicht (i.v. Urografie).
Anwendungsgebiete
Pathologische Veränderungen der Harnblase, bei denen die Zystographie eingesetzt werden kann, sind beispielsweise Tumoren, die oft exophytisch wachsen und so als Aussparungen des Kontrastmittelschattens imponieren, Divertikel, Konkremente („Steine“), Fisteln oder intravesikale Ureterozelen. Auch Funktionsstörungen wie Entleerungsstörungen oder der vesiko-ureterale Reflux können so diagnostiziert werden. Nach einer Prostataresektion wird die Dichtigkeit der neu geschaffenen Verbindung zwischen Harnblase und Harnröhre auf diese Weise überprüft.
Retrograde Zystographie
Die Applikation des Kontrastmittels in die Harnblase erfolgt mit Hilfe eines Katheters. Dabei kommen in der Regel wasserlösliche, jodhaltige Kontrastmittel zum Einsatz, die verdünnt und in einem für eine pralle Füllung der Blase ausreichenden Volumen gegeben werden. Oft werden dann Röntgenaufnahmen sowohl im Stehen als auch im Liegen durchgeführt. Im Anschluss kann bei entsprechender Fragestellung die Ausscheidung des Kontrastmittels auf natürlichem Weg mittels weiterer Aufnahmen dargestellt werden, dann spricht man von einer Miktionszystourethrographie.
Intravenöse Urographie
Diese Variante wird auch als Ausscheidungsurographie bezeichnet. Hier wird (meist ebenfalls jodhaltiges) Kontrastmittel intravenös verabreicht und über die Nieren ausgeschieden, was dann in einer Serie von Röntgenaufnahmen festgehalten wird. Somit können auch Nieren und Harnröhre mit beurteilt werden.
Alternativen
Je nach Fragestellung können auch eine Sonografie der Blase oder eine Urethrozystoskopie in Betracht kommen.
Literatur
- Richard Fotter (Hrsg.): Pediatric Uroradiology, 2. Auflage, Springer-Verlag, Berlin, Heidelberg 2008, ISBN 978-3-540-33004-2, 537 Seiten.