Zystom

Muzinöses Zystadenom des Eierstocks: pathologisches Präparat.
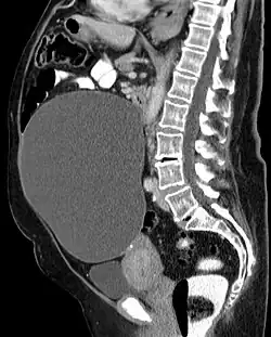
Muzinöses Zystadenom des Eierstocks: Computertomographie.

Ein Zystom (auch Kystom, Kystadenom und Cystadenom, und erstmals 1889 Proliferationszyste[1] genannt) ist eine Drüsengeschwulst, in der sich aufgrund von nichterfolgtem Abfluss des Drüsenproduktes ein Hohlraum bildet.

Zystome sind gutartig, eine Entartung ins Krebsartige geschieht vor allem dann, wenn papillare Wucherungen enthalten sind. Zystome treten am häufigsten in Eierstöcken, Nieren, Brustdrüsen, Leber und Schilddrüsen auf. Auch in der Bauchspeicheldrüse[2] können sie vorkommen.

Commons: Muzinöses Zystadenom des Ovars – Sammlung von Bildern, Videos und Audiodateien

Einzelnachweise

  1. K. Zimmermann: Bauchspeicheldrüse. In: Franz Xaver Sailer, Friedrich Wilhelm Gierhake (Hrsg.): Chirurgie historisch gesehen. Anfang – Entwicklung – Differenzierung. Dustri-Verlag, Deisenhofen bei München 1973, ISBN 3-87185-021-7, S. 89–106, hier: S. 96–98 (Pankreaszysten).
  2. von Petrikowski: Über Kystome (Cystadenome) des Pankreas. Dissertation Würzburg 1889.