Amalgamtätowierung



Die Amalgamtätowierung stellt die häufigste lokalisierte Form der Mundschleimhautpigmentierung dar. Es handelt sich um schmerzlose, blaugraue bis blauschwarze Flecken, die durch Eindringen des Zahnfüllstoffes Amalgam über Schleimhautdefekte im Rahmen von Zahnbehandlungen entstehen. Die Veränderung findet sich meist am Zahnfleisch, am Alveolarkamm und an der Wangenschleimhaut, üblicherweise in Nachbarschaft eines amalgamgefüllten Zahnes. Seltener kann auch die Zungenschleimhaut betroffen sein. Amalgamtätowierungen sind harmlose Zufallsbefunde, die optisch störend sein können, darüber hinaus aber meist keinen Krankheitswert besitzen und in der Regel keiner Therapie bedürfen. Wichtig ist jedoch die Abgrenzung von anderen Läsionen wie der Rauchermelanose, melanozytären Nävi, malignen Melanomen, Hämatomen oder Angiomen.[1][2]
Epidemiologie
Es handelt sich um eine häufigere Veränderung, die je nach Quelle bei bis zu 0,1 bis 8 Prozent der Erwachsenen auftreten soll. Die Prävalenz steigt mit dem Lebensalter, was mutmaßlich auf die zunehmende Zahl an Zahnbehandlungen zurückzuführen ist. Frauen sollen etwas häufiger als Männer betroffen sein.[2][3]
Ursachen
Partikel des als Zahnfüllstoff eingesetzten Silberamalgams, einer Legierung aus Silber, Zinn, Kupfer und Zink mit Quecksilber, gelangen im Rahmen einer Zahnbehandlung (Ausbohren vorhandener Füllungen, Herstellung einer neuen Füllung, Zahnextraktionen) über kleine Defekte in die Schleimhaut und bewirken hier eine lokale Verfärbung. Auch elektrogalvanischer Stromfluss zwischen Gold- und Amalgamfüllungen soll bei älteren Amalgamsorten zu einer verstärkten Korrosion mit Herauslösen von Amalgam und Ablagerung in der benachbarten Mundschleimhaut führen können.[2] Die häufigste Ursache für Amalgamtätowierungen dürfte das Ausbohren alter Füllungen mit der Turbine sein. Durch die enorme Geschwindigkeit werden kleinste Partikel in die Mundschleimhaut hineingeschleudert.
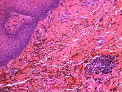
Pathologie
Makroskopisch zeigt sich eine fleckförmige blauschwarze, meist unter 0,5 cm (selten über 3 cm) messende Schleimhautverfärbung mit guter oder auch unscharfer Begrenzung. Feingeweblich finden sich dunkle, bräunliche oder schwarze, lichtundurchlässige, feingranuläre Partikel von Silbersulfid, bevorzugt im Bereich elastischer Fasern des Schleimhautbindegewebes, in der Umgebung von Blutgefäßen, Nerven oder der Muskulatur. Auch eine Assoziation mit kollagenen Fasern wird in der Literatur beschrieben, konnte jedoch elektronenmikroskopisch nicht bestätigt werden.[4] In etwa der Hälfte der Fälle bestehen zusätzlich – makroskopisch in der Regel nicht sichtbare – chronische entzündliche Veränderungen mit Fibrosierungen und fakultativer granulomatöser, teils riesenzellhaltiger Fremdkörperreaktion.[1][3]
Diagnose und Therapie
Die Veränderung gilt als harmlos und bedarf daher nicht notwendigerweise einer Therapie. Eine bioptische Gewebeentnahme oder eine chirurgische Entfernung mit anschließender histologischer Untersuchung kann jedoch indiziert sein, wenn eine hinreichend sichere Einordnung der Läsion als Amalgamtätowierung anders nicht möglich ist. Eine Therapie wird auch aus kosmetischen Gründen durchgeführt, wobei neben der Exzision oder einer freien Transplantation von Bindegewebe auch Laser zum Einsatz kommen können.[5][6] Die Tätowierungen lassen sich problemlos mittels einer Schlingensonde mit dem Elektrotom entfernen.
Prognose
Die Amalgamtätowierung ist eine gutartige und abgesehen vom kosmetischen Aspekt symptomlose Veränderung der Mundschleimhaut. Eine signifikante lokale oder systemische Toxizität der Ablagerungen wurde bislang nicht berichtet. Für ein biologisch weitgehend inertes Verhalten spricht unter anderem auch das Fehlen von Nekrosen innerhalb der Läsion. Allerdings bleiben Amalgamtätowierungen in der Regel lebenslang bestehen, was möglicherweise mit dem geringen Umsatz elastischer Fasern, mit denen die Ablagerungen hauptsächlich assoziiert sind, erklärt werden kann. Auch eine Vergrößerung der Veränderung kann, nächstliegend als Resultat aus Phagozytose und Abtransport von Partikeln durch Makrophagen, vorkommen.[2][4]
Einzelnachweise
- ↑ a b G. Klöppel, H. H. Kreipe, W. Remmele: Pathologie: Kopf-Hals-Region, Weichgewebstumoren, Haut. 3. Auflage. Springer, 2008, ISBN 978-3-540-72885-6.
- ↑ a b c d K. Bork, W. Burgdorf, N. Noede: Mundschleimhaut- und Lippenkrankheiten. Klinik, Diagnostik und Therapie. 3. Auflage. Schattauer, 2008, ISBN 978-3-7945-2486-0.
- ↑ a b Bond's Book of Oral Diseases. 4. Auflage: Amalgam Tattoo ( vom 28. Mai 2010 im Internet Archive)
- ↑ a b W. Mohr, E. Görz: Die Assoziation von Silbergranula mit elastischen Fasern bei der Amalgamose der Mundschleimhaut. In: HNO. 2001; 49, S. 454–457. PMID 11450512
- ↑ G. Shah, T. S. Alster: Treatment of an amalgam tattoo with a Q-switched alexandrite (755 nm) laser. In: Dermatologic Surgery. 2002 Dec;28(12), S. 1180–1181. PMID 12472503.
- ↑ C. M. Campbell, D. E. Deas: Removal of an amalgam tattoo using a subepithelial connective tissue graft and laser deepithelialization. In: J Periodontol. 2009 May;80(5), S. 860–864. PMID 19405840